JavaScript is disabled in your browser. Please enable JavaScript to view this website.
AB137677

Anti-CCN3 antibody

5

(1 Review)

|

(12 Publications)

Rabbit Polyclonal CCN3 antibody. Suitable for IHC-P, WB, ICC/IF and reacts with Human, Recombinant fragment samples. Cited in 12 publications. Immunogen corresponding to Recombinant Fragment Protein within Human CCN3 aa 50 to C-terminus.

View Alternative Names

IGFBP9, NOV, NOVH, CCN3, CCN family member 3, Cellular communication network factor 3, Insulin-like growth factor-binding protein 9, Nephro blastoma-overexpressed gene protein homolog, Protein NOV homolog, IBP-9, IGF-binding protein 9, IGFBP-9, NovH

4 Images
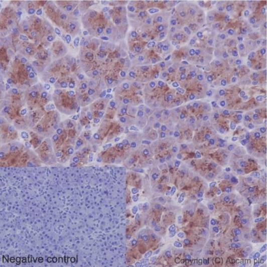
Immunohistochemistry (Formalin/PFA-fixed paraffin-embedded sections) - Anti-CCN3 antibody (AB137677)
  • IHC-P

Unknown

Immunohistochemistry (Formalin/PFA-fixed paraffin-embedded sections) - Anti-CCN3 antibody (AB137677)

Immunohistochemical analysis of paraffin-embedded Human gastric carcinoma N87 xenograft tissue, labelling CCN3 with ab137677 at 1/100 dilution.

Immunocytochemistry/ Immunofluorescence - Anti-CCN3 antibody (AB137677)
  • ICC/IF

Unknown

Immunocytochemistry/ Immunofluorescence - Anti-CCN3 antibody (AB137677)

Immunofluorescence analysis of paraformaldehyde-fixed HeLa cells labelling CCN3 using ab137677 at 1/200 dilution. Lower image is merged with DNA probe.

Western blot - Anti-CCN3 antibody (AB137677)
  • WB

Supplier Data

Western blot - Anti-CCN3 antibody (AB137677)

Samples were separated by 12% SDS-PAGE. Corresponding RNA expression data for the same cell lines are based on Human Protein Atlas program.

All lanes:

Western blot - Anti-CCN3 antibody (ab137677) at 1/1000 dilution

Lane 1:

MJ whole cell lysates at 30 µg

Lane 2:

PC-3 whole cell lysates at 30 µg

Lane 3:

Caco-2 whole cell lysates at 30 µg

Secondary

All lanes:

HRP-conjugated anti-rabbit IgG antibody

Predicted band size: 39 kDa

false

Western blot - Anti-CCN3 antibody (AB137677)
  • WB

Supplier Data

Western blot - Anti-CCN3 antibody (AB137677)

Samples were separated by 10% SDS-PAGE.

All lanes:

Western blot - Anti-CCN3 antibody (ab137677) at 1/5000 dilution

Lane 1:

293T whole cell lysates at 30 µg

Lane 2:

DDDDK tagged CCN3 transfected 293T whole cell lysates at 30 µg

Secondary

All lanes:

HRP-conjugated anti-rabbit IgG antibody

Predicted band size: 39 kDa

false

Key facts

Host species

Rabbit

Clonality

Polyclonal

Isotype

IgG

Carrier free

No

Reacts with

Human

Applications

IHC-P, ICC/IF, WB

applications

Immunogen

Recombinant Fragment Protein within Human CCN3 aa 50 to C-terminus. The exact immunogen used to generate this antibody is proprietary information.

P48745

Reactivity data

{ "title": "Reactivity Data", "filters": { "stats": ["", "Species", "Dilution Info", "Notes"], "tabs": { "all-applications": {"fullname" : "All Applications", "shortname": "All Applications"}, "IHCP" : {"fullname" : "Immunohistochemistry (Formalin/PFA-fixed paraffin-embedded sections)", "shortname":"IHC-P"}, "WB" : {"fullname" : "Western blot", "shortname":"WB"}, "ICCIF" : {"fullname" : "Immunocytochemistry/ Immunofluorescence", "shortname":"ICC/IF"} }, "product-promise": { "all": "all", "testedAndGuaranteed": "tested", "guaranteed": "expected", "predicted": "predicted", "notRecommended": "not-recommended" } }, "values": { "Human": { "IHCP-species-checked": "testedAndGuaranteed", "IHCP-species-dilution-info": "1/100 - 1/1000", "IHCP-species-notes": "<p>or Tris-EDTA buffer (pH8.0)</p> Perform heat-mediated antigen retrieval with citrate buffer pH 6 before commencing with IHC staining protocol.", "WB-species-checked": "testedAndGuaranteed", "WB-species-dilution-info": "1/500 - 1/10000", "WB-species-notes": "<p></p>", "ICCIF-species-checked": "testedAndGuaranteed", "ICCIF-species-dilution-info": "1/100 - 1/1000", "ICCIF-species-notes": "<p></p>" }, "Recombinant fragment": { "IHCP-species-checked": "notRecommended", "IHCP-species-dilution-info": "", "IHCP-species-notes": "", "WB-species-checked": "testedAndGuaranteed", "WB-species-dilution-info": "1/500 - 1/10000", "WB-species-notes": "<p></p>", "ICCIF-species-checked": "notRecommended", "ICCIF-species-dilution-info": "", "ICCIF-species-notes": "" } } }

Properties and storage information

Form
Liquid
Purification technique
Affinity purification Immunogen
Storage buffer
pH: 7 Preservative: 0.01% Thimerosal (merthiolate) Constituents: 10% Glycerol (glycerin, glycerine), 1.21% Tris, 0.75% Glycine
Shipped at conditions
Blue Ice
Appropriate short-term storage conditions
+4°C
Appropriate long-term storage conditions
-20°C
Aliquoting information
Upon delivery aliquot
Storage information
Avoid freeze / thaw cycle

Supplementary information

This supplementary information is collated from multiple sources and compiled automatically.

CCN3 also known as NOV (Nephroblastoma Overexpressed) is a protein that has important roles in cellular processes. This protein belongs to the CCN family of proteins with an approximate molecular mass of 34-38 kDa. CCN3 is expressed in various tissues including kidney heart and brain reflecting its involvement in diverse physiological activities. It is particularly noted for its role in tissue development and repair processes.
Biological function summary

CCN3 influences several aspects of cell behavior including proliferation differentiation and migration. It does not function as part of a larger complex but acts as an individual entity facilitating communication between cells and the extracellular matrix. CCN3 also affects angiogenesis a critical process in both health and disease by modulating vascular endothelial growth factor (VEGF) pathways therefore impacting blood vessel formation and maintenance.

Pathways

CCN3 interacts primarily with key signaling pathways such as Wnt and TGF-beta signaling. Within the Wnt pathway CCN3 serves as a regulatory component modulating the activity of other proteins involved in cell growth. Similarly in the TGF-beta pathway it contributes to the regulation of cellular proliferation and differentiation by affecting interactions with other proteins like SMADs which are signal transducers in TGF-beta signaling.

CCN3 has connections to conditions like nephroblastoma often referred to as Wilms Tumor and fibrosis. In nephroblastoma altered expression of CCN3 correlates with tumor progression and metastasis. It interacts with proteins like WNT1 influencing tumor growth and development. In fibrosis which affects organs such as the liver and lungs CCN3’s modulation of TGF-beta signaling plays a significant role impacting fibrogenesis through its interaction with ECM components.

Product protocols

For this product, it's our understanding that no specific protocols are required. You can visit:

Target data

Immediate-early protein playing a role in various cellular processes including proliferation, adhesion, migration, differentiation and survival (PubMed : 12050162, PubMed : 12695522, PubMed : 15181016, PubMed : 15611078, PubMed : 21344378). Acts by binding to integrins or membrane receptors such as NOTCH1 (PubMed : 12695522, PubMed : 15611078, PubMed : 21344378). Essential regulator of hematopoietic stem and progenitor cell function (PubMed : 17463287). Inhibits myogenic differentiation through the activation of Notch-signaling pathway (PubMed : 12050162). Inhibits vascular smooth muscle cells proliferation by increasing expression of cell-cycle regulators such as CDKN2B or CDKN1A independently of TGFB1 signaling (PubMed : 20139355). Ligand of integrins ITGAV : ITGB3 and ITGA5 : ITGB1, acts directly upon endothelial cells to stimulate pro-angiogenic activities and induces angiogenesis. In endothelial cells, supports cell adhesion, induces directed cell migration (chemotaxis) and promotes cell survival (PubMed : 12695522). Also plays a role in cutaneous wound healing acting as integrin receptor ligand. Supports skin fibroblast adhesion through ITGA5 : ITGB1 and ITGA6 : ITGB1 and induces fibroblast chemotaxis through ITGAV : ITGB5. Seems to enhance bFGF-induced DNA synthesis in fibroblasts (PubMed : 15611078). Involved in bone regeneration as a negative regulator (By similarity). Enhances the articular chondrocytic phenotype, whereas it repressed the one representing endochondral ossification (PubMed : 21871891). Impairs pancreatic beta-cell function, inhibits beta-cell proliferation and insulin secretion (By similarity). Plays a role as negative regulator of endothelial pro-inflammatory activation reducing monocyte adhesion, its anti-inflammatory effects occur secondary to the inhibition of NF-kappaB signaling pathway (PubMed : 21063504). Contributes to the control and coordination of inflammatory processes in atherosclerosis (By similarity). Attenuates inflammatory pain through regulation of IL1B- and TNF-induced MMP9, MMP2 and CCL2 expression. Inhibits MMP9 expression through ITGB1 engagement (PubMed : 21871891). Brain osteoanabolic hormone (By similarity). Drives osteogenesis in osteochondral skeletal stem cells (PubMed : 38987585). During lactation, maintains the maternal skeleton and viability of offspring (By similarity).
See full target information CCN3

Publications (12)

Recent publications for all applications. Explore the full list and refine your search

Nature communications 16:5448 PubMed40593535

2025

Epitenon-derived progenitors drive fibrosis and regeneration after flexor tendon injury in a spatially-dependent manner.

Applications

Unspecified application

Species

Unspecified reactive species

Anne E C Nichols,Lauren Benoodt,Emmanuella Adjei-Sowah,Kyle Jerreld,Alexander Kollar,Constantinos Ketonis,Alayna E Loiselle

Translational oncology 24:101485 PubMed35858494

2022

Single nucleotide mutation changes the capability of CCN3 in osteosarcoma cell invasion and differentiation.

Applications

Unspecified application

Species

Unspecified reactive species

Xuejing Yan,Wei Yan,Xin Fu,Yuqiao Xu,Ning Zhu,Chuan Qiu,Mengmeng Bu,Yan Shen,Meihong Chen

Journal of cellular physiology 236:6884-6896 PubMed33655492

2021

RFX1-mediated CCN3 induction that may support chondrocyte survival under starved conditions.

Applications

Unspecified application

Species

Unspecified reactive species

Tomomi Mizukawa,Takashi Nishida,Sho Akashi,Kazumi Kawata,Sumire Kikuchi,Harumi Kawaki,Masaharu Takigawa,Hiroshi Kamioka,Satoshi Kubota

Frontiers in endocrinology 11:597549 PubMed33304321

2020

CCN3 Signaling Is Differently Regulated in Placental Diseases Preeclampsia and Abnormally Invasive Placenta.

Applications

Unspecified application

Species

Unspecified reactive species

Liyan Duan,Manuela Schimmelmann,Yuqing Wu,Beatrix Reisch,Marijke Faas,Rainer Kimmig,Elke Winterhager,Angela Köninger,Alexandra Gellhaus

Life sciences 257:118013 PubMed32603818

2020

E2F1/SNHG7/miR-186-5p/MMP2 axis modulates the proliferation and migration of vascular endothelial cell in atherosclerosis.

Applications

Unspecified application

Species

Unspecified reactive species

Shengjie Zhang,Xiaotong Zhu,Guangping Li

The Journal of investigative dermatology 140:1427-1434.e5 PubMed31954725

2020

Decreased CCN3 in Systemic Sclerosis Endothelial Cells Contributes to Impaired Angiogenesis.

Applications

Unspecified application

Species

Unspecified reactive species

Pauline Henrot,François Moisan,Paôline Laurent,Pauline Manicki,Priscilla Kaulanjan-Checkmodine,Valérie Jolivel,Hamid Reza Rezvani,Vaianu Leroy,François Picard,Carine Boulon,Thierry Schaeverbeke,Julien Seneschal,Estibaliz Lazaro,Alain Taïeb,Marie-Elise Truchetet,Muriel Cario

The American journal of pathology 189:1451-1461 PubMed31202437

2019

CCN3/Nephroblastoma Overexpressed Is a Functional Mediator of Prostate Cancer Bone Metastasis That Is Associated with Poor Patient Prognosis.

Applications

Unspecified application

Species

Unspecified reactive species

Matthew Dankner,Véronique Ouellet,Laudine Communal,Estelle Schmitt,Dru Perkins,Matthew G Annis,Véronique Barrès,Christine Caron,Anne-Marie Mes-Masson,Fred Saad,Peter M Siegel

Acta pharmacologica Sinica 39:222-229 PubMed28858296

2017

CCN3 suppresses TGF-β1-induced extracellular matrix accumulation in human mesangial cells in vitro.

Applications

Unspecified application

Species

Unspecified reactive species

Hai-Fei Liu,Hong Liu,Lin-Li Lv,Kun-Ling Ma,Yi Wen,Long Chen,Bi-Cheng Liu

Oncotarget 8:26231-26244 PubMed28412738

2017

Reduced NOV expression correlates with disease progression in colorectal cancer and is associated with survival, invasion and chemoresistance of cancer cells.

Applications

Unspecified application

Species

Unspecified reactive species

Jun Li,Lin Ye,Ping-Hui Sun,Fei Zheng,Fiona Ruge,Lucy K Satherley,Yi Feng,Huishan Zhao,Guifang Du,Tingting Wang,Yao Yang,Xuemei Ma,Shan Cheng,Xiaomei Yang,Hefen Yu,Xu Teng,Yang Si,Zhongtao Zhang,Wen G Jiang

Methods in molecular biology (Clifton, N.J.) 1489:63-76 PubMed27734366

2016

Analysis of CCN Expression by Immunofluorescence on Skin Cells, Skin, and Reconstructed Epidermis.

Applications

Unspecified application

Species

Unspecified reactive species

Muriel Cario-Andre
View all publications

Product promise

We are committed to supporting your work with high-quality reagents, and we're here for you every step of the way. In the unlikely event that one of our products does not perform as expected, you're protected by our Product Promise.
For full details, please see our Terms & Conditions

Please note: All products are 'FOR RESEARCH USE ONLY. NOT FOR USE IN DIAGNOSTIC OR THERAPEUTIC PROCEDURES'.

For licensing inquiries, please contact partnerships@abcam.com