JavaScript is disabled in your browser. Please enable JavaScript to view this website.
AB251077

Anti-CCN3 antibody [EPR8781(3)] - BSA and Azide free

Be the first to review this product! Submit a review

|

(1 Publication)

Rabbit Recombinant Monoclonal CCN3 antibody. Carrier free. Suitable for WB, IHC-P and reacts with Human samples. Cited in 1 publication.

View Alternative Names

IGFBP9, NOV, NOVH, CCN3, CCN family member 3, Cellular communication network factor 3, Insulin-like growth factor-binding protein 9, Nephro blastoma-overexpressed gene protein homolog, Protein NOV homolog, IBP-9, IGF-binding protein 9, IGFBP-9, NovH

4 Images
Immunohistochemistry (Formalin/PFA-fixed paraffin-embedded sections) - Anti-CCN3 antibody [EPR8781(3)] - BSA and Azide free (AB251077)
  • IHC-P

Supplier Data

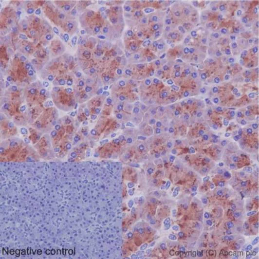
Immunohistochemistry (Formalin/PFA-fixed paraffin-embedded sections) - Anti-CCN3 antibody [EPR8781(3)] - BSA and Azide free (AB251077)

This data was developed using ab191425, the same antibody clone in a different buffer formulation.

Immunohistochemical analysis of paraffin-embedded Human pancreas tissue labeling CCN3 with ab191425 at 1/100 dilution followed by pre-diluted HRP Polymer for Rabbit IgG secondary antibody and counter-stained with Hematoxylin. Inset : Negative control : using PBS instead of primary antibody.

Perform heat mediated antigen retrieval with Tris/EDTA buffer pH 9.0 before commencing with IHC staining protocol.

Immunohistochemistry (Formalin/PFA-fixed paraffin-embedded sections) - Anti-CCN3 antibody [EPR8781(3)] - BSA and Azide free (AB251077)
  • IHC-P

Supplier Data

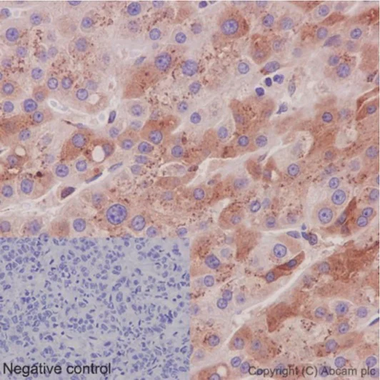
Immunohistochemistry (Formalin/PFA-fixed paraffin-embedded sections) - Anti-CCN3 antibody [EPR8781(3)] - BSA and Azide free (AB251077)

This data was developed using ab191425, the same antibody clone in a different buffer formulation.

Immunohistochemical analysis of paraffin-embedded Human hepatocellular carcinoma tissue labeling CCN3 with ab191425 at 1/100 dilution followed by pre-diluted HRP Polymer for Rabbit IgG secondary antibody and counter-stained with Hematoxylin. Inset : Negative control : using PBS instead of primary antibody.

Perform heat mediated antigen retrieval with Tris/EDTA buffer pH 9.0 before commencing with IHC staining protocol.

Western blot - Anti-CCN3 antibody [EPR8781(3)] - BSA and Azide free (AB251077)
  • WB

Supplier Data

Western blot - Anti-CCN3 antibody [EPR8781(3)] - BSA and Azide free (AB251077)

This data was developed using ab191425, the same antibody clone in a different buffer formulation.

All lanes:

Western blot - Anti-CCN3 antibody [EPR8781(3)] (<a href='/en-us/products/primary-antibodies/ccn3-antibody-epr87813-ab191425'>ab191425</a>) at 1/5000 dilution

All lanes:

TT lysate at 20 µg

Secondary

All lanes:

Goat Anti-Rabbit IgG, (H+L),Peroxidase conjugated at 1/1000 dilution

Predicted band size: 39 kDa

false

Western blot - Anti-CCN3 antibody [EPR8781(3)] - BSA and Azide free (AB251077)
  • WB

Supplier Data

Western blot - Anti-CCN3 antibody [EPR8781(3)] - BSA and Azide free (AB251077)

This data was developed using ab191425, the same antibody clone in a different buffer formulation.

All lanes:

Western blot - Anti-CCN3 antibody [EPR8781(3)] (<a href='/en-us/products/primary-antibodies/ccn3-antibody-epr87813-ab191425'>ab191425</a>) at 1/10000 dilution

Lane 1:

HeLa cell lysate at 20 µg

Lane 2:

293 cell lysate at 20 µg

Lane 3:

Caco-2 cell lysate at 20 µg

Secondary

All lanes:

Goat Anti-Rabbit IgG, (H+L), Peroxidase conjugated at 1/1000 dilution

Predicted band size: 39 kDa

false

Key facts

Host species

Rabbit

Clonality

Monoclonal

Clone number

EPR8781(3)

Isotype

IgG

Carrier free

Yes

Reacts with

Human

Applications

IHC-P, WB

applications

Immunogen

The exact immunogen used to generate this antibody is proprietary information.

Reactivity data

{ "title": "Reactivity Data", "filters": { "stats": ["", "Species", "Dilution Info", "Notes"], "tabs": { "all-applications": {"fullname" : "All Applications", "shortname": "All Applications"}, "WB" : {"fullname" : "Western blot", "shortname":"WB"}, "IHCP" : {"fullname" : "Immunohistochemistry (Formalin/PFA-fixed paraffin-embedded sections)", "shortname":"IHC-P"} }, "product-promise": { "all": "all", "testedAndGuaranteed": "tested", "guaranteed": "expected", "predicted": "predicted", "notRecommended": "not-recommended" } }, "values": { "Human": { "WB-species-checked": "testedAndGuaranteed", "WB-species-dilution-info": "", "WB-species-notes": "<p></p>", "IHCP-species-checked": "testedAndGuaranteed", "IHCP-species-dilution-info": "", "IHCP-species-notes": "<p></p>" }, "Mouse": { "WB-species-checked": "predicted", "WB-species-dilution-info": "", "WB-species-notes": "", "IHCP-species-checked": "predicted", "IHCP-species-dilution-info": "", "IHCP-species-notes": "" }, "Rat": { "WB-species-checked": "predicted", "WB-species-dilution-info": "", "WB-species-notes": "", "IHCP-species-checked": "predicted", "IHCP-species-dilution-info": "", "IHCP-species-notes": "" } } }

Product details

ab251077 is the carrier-free version of ab191425.

Patented technology
Our RabMAb® technology is a patented hybridoma-based technology for making rabbit monoclonal antibodies. For details on our patents, please refer to RabMAb® patents.

What are the advantages of a recombinant monoclonal antibody?
This product is a recombinant monoclonal antibody, which offers several advantages including:

  • - High batch-to-batch consistency and reproducibility
  • - Improved sensitivity and specificity
  • - Long-term security of supply
  • - Animal-free batch production

For more information, read more on recombinant antibodies.

Conjugation ready
Our carrier-free antibodies are typically supplied in a PBS-only formulation, purified and free of BSA, sodium azide and glycerol. This conjugation-ready format is designed for use with fluorochromes, metal isotopes, oligonucleotides, and enzymes, which makes them ideal for antibody labelling, functional and cell-based assays, flow-based assays (e.g. mass cytometry) and Multiplex Imaging applications.

Use our conjugation kits for antibody conjugates that are ready-to-use in as little as 20 minutes with 1 minute hands-on-time and 100% antibody recovery: available for fluorescent dyes, HRP, biotin and gold.

Compatibility
This product is compatible with the Maxpar® Antibody Labeling Kit from Fluidigm, without the need for antibody preparation. Maxpar® is a trademark of Fluidigm Canada Inc.

Properties and storage information

Form
Liquid
Purification technique
Affinity purification Protein A
Storage buffer
pH: 7.2 - 7.4 Constituents: PBS
Shipped at conditions
Blue Ice
Appropriate short-term storage conditions
+4°C
Appropriate long-term storage conditions
+4°C
Storage information
Do Not Freeze

Supplementary information

This supplementary information is collated from multiple sources and compiled automatically.

CCN3 also known as NOV (Nephroblastoma Overexpressed) is a protein that has important roles in cellular processes. This protein belongs to the CCN family of proteins with an approximate molecular mass of 34-38 kDa. CCN3 is expressed in various tissues including kidney heart and brain reflecting its involvement in diverse physiological activities. It is particularly noted for its role in tissue development and repair processes.
Biological function summary

CCN3 influences several aspects of cell behavior including proliferation differentiation and migration. It does not function as part of a larger complex but acts as an individual entity facilitating communication between cells and the extracellular matrix. CCN3 also affects angiogenesis a critical process in both health and disease by modulating vascular endothelial growth factor (VEGF) pathways therefore impacting blood vessel formation and maintenance.

Pathways

CCN3 interacts primarily with key signaling pathways such as Wnt and TGF-beta signaling. Within the Wnt pathway CCN3 serves as a regulatory component modulating the activity of other proteins involved in cell growth. Similarly in the TGF-beta pathway it contributes to the regulation of cellular proliferation and differentiation by affecting interactions with other proteins like SMADs which are signal transducers in TGF-beta signaling.

CCN3 has connections to conditions like nephroblastoma often referred to as Wilms Tumor and fibrosis. In nephroblastoma altered expression of CCN3 correlates with tumor progression and metastasis. It interacts with proteins like WNT1 influencing tumor growth and development. In fibrosis which affects organs such as the liver and lungs CCN3’s modulation of TGF-beta signaling plays a significant role impacting fibrogenesis through its interaction with ECM components.

Product protocols

For this product, it's our understanding that no specific protocols are required. You can visit:

Target data

Immediate-early protein playing a role in various cellular processes including proliferation, adhesion, migration, differentiation and survival (PubMed : 12050162, PubMed : 12695522, PubMed : 15181016, PubMed : 15611078, PubMed : 21344378). Acts by binding to integrins or membrane receptors such as NOTCH1 (PubMed : 12695522, PubMed : 15611078, PubMed : 21344378). Essential regulator of hematopoietic stem and progenitor cell function (PubMed : 17463287). Inhibits myogenic differentiation through the activation of Notch-signaling pathway (PubMed : 12050162). Inhibits vascular smooth muscle cells proliferation by increasing expression of cell-cycle regulators such as CDKN2B or CDKN1A independently of TGFB1 signaling (PubMed : 20139355). Ligand of integrins ITGAV : ITGB3 and ITGA5 : ITGB1, acts directly upon endothelial cells to stimulate pro-angiogenic activities and induces angiogenesis. In endothelial cells, supports cell adhesion, induces directed cell migration (chemotaxis) and promotes cell survival (PubMed : 12695522). Also plays a role in cutaneous wound healing acting as integrin receptor ligand. Supports skin fibroblast adhesion through ITGA5 : ITGB1 and ITGA6 : ITGB1 and induces fibroblast chemotaxis through ITGAV : ITGB5. Seems to enhance bFGF-induced DNA synthesis in fibroblasts (PubMed : 15611078). Involved in bone regeneration as a negative regulator (By similarity). Enhances the articular chondrocytic phenotype, whereas it repressed the one representing endochondral ossification (PubMed : 21871891). Impairs pancreatic beta-cell function, inhibits beta-cell proliferation and insulin secretion (By similarity). Plays a role as negative regulator of endothelial pro-inflammatory activation reducing monocyte adhesion, its anti-inflammatory effects occur secondary to the inhibition of NF-kappaB signaling pathway (PubMed : 21063504). Contributes to the control and coordination of inflammatory processes in atherosclerosis (By similarity). Attenuates inflammatory pain through regulation of IL1B- and TNF-induced MMP9, MMP2 and CCL2 expression. Inhibits MMP9 expression through ITGB1 engagement (PubMed : 21871891). Brain osteoanabolic hormone (By similarity). Drives osteogenesis in osteochondral skeletal stem cells (PubMed : 38987585). During lactation, maintains the maternal skeleton and viability of offspring (By similarity).
See full target information CCN3

Publications (1)

Recent publications for all applications. Explore the full list and refine your search

Journal of cellular and molecular medicine 25:8127-8139 PubMed34350711

2021

Overexpression of let-7d explains down-regulated KDM3A and ENO2 in the pathogenesis of preeclampsia.

Applications

Unspecified application

Species

Unspecified reactive species

Qian Xu,Yonghui Song,Lili Lu
View all publications

Product promise

We are committed to supporting your work with high-quality reagents, and we're here for you every step of the way. In the unlikely event that one of our products does not perform as expected, you're protected by our Product Promise.
For full details, please see our Terms & Conditions

Please note: All products are 'FOR RESEARCH USE ONLY. NOT FOR USE IN DIAGNOSTIC OR THERAPEUTIC PROCEDURES'.

For licensing inquiries, please contact partnerships@abcam.com