JavaScript is disabled in your browser. Please enable JavaScript to view this website.
AB317219

Anti-CCN3 antibody [HL2416]

Be the first to review this product! Submit a review

|

(0 Publication)

Rabbit Monoclonal CCN3 antibody. Suitable for WB, IHC-P and reacts with Transfected cell lysate, Rat samples. Immunogen corresponding to Recombinant Fragment Protein within Human CCN3.

View Alternative Names

IGFBP9, NOV, NOVH, CCN3, CCN family member 3, Cellular communication network factor 3, Insulin-like growth factor-binding protein 9, Nephro blastoma-overexpressed gene protein homolog, Protein NOV homolog, IBP-9, IGF-binding protein 9, IGFBP-9, NovH

2 Images
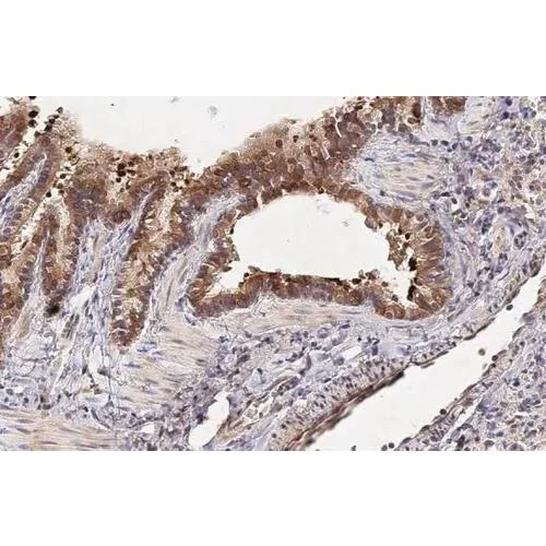
Immunohistochemistry (Formalin/PFA-fixed paraffin-embedded sections) - Anti-CCN3 antibody [HL2416] (AB317219)
  • IHC-P

Supplier Data

Immunohistochemistry (Formalin/PFA-fixed paraffin-embedded sections) - Anti-CCN3 antibody [HL2416] (AB317219)

ab317219 detects secreted CCN3 protein by immunohistochemical analysis. Sample : Paraffin-embedded rat lung. CCN3 stained by ab317219 diluted at 1 : 100. Antigen Retrieval : Citrate buffer pH 6.0 15 min.

Western blot - Anti-CCN3 antibody [HL2416] (AB317219)
  • WB

Supplier Data

Western blot - Anti-CCN3 antibody [HL2416] (AB317219)

Non-transfected (–) and transfected (+) 293T whole cell extracts (30 ug) were separated by 10% SDS-PAGE and the membrane was blotted with ab317219 diluted at 1 : 5000. The HRP-conjugated anti-rabbit IgG antibody was used to detect the primary antibody.

All lanes:

Western blot - Anti-CCN3 antibody [HL2416] (ab317219) at 1/5000 dilution

Lane 1:

Non-transfected (–) 293T whole cell extracts at 30 µg

Lane 2:

NOV transfected (+) 293T whole cell extracts at 30 µg

Secondary

All lanes:

HRP-conjugated anti-rabbit IgG antibody

false

Key facts

Host species

Rabbit

Clonality

Monoclonal

Clone number

HL2416

Isotype

IgG

Carrier free

No

Reacts with

Human, Rat

Applications

IHC-P, WB

applications

Immunogen

Recombinant Fragment Protein within Human CCN3.

P48745

Reactivity data

{ "title": "Reactivity Data", "filters": { "stats": ["", "Species", "Dilution Info", "Notes"], "tabs": { "all-applications": {"fullname" : "All Applications", "shortname": "All Applications"}, "WB" : {"fullname" : "Western blot", "shortname":"WB"}, "IHCP" : {"fullname" : "Immunohistochemistry (Formalin/PFA-fixed paraffin-embedded sections)", "shortname":"IHC-P"} }, "product-promise": { "all": "all", "testedAndGuaranteed": "tested", "guaranteed": "expected", "predicted": "predicted", "notRecommended": "not-recommended" } }, "values": { "Human": { "WB-species-checked": "predicted", "WB-species-dilution-info": "", "WB-species-notes": "", "IHCP-species-checked": "predicted", "IHCP-species-dilution-info": "", "IHCP-species-notes": "" }, "Rat": { "WB-species-checked": "guaranteed", "WB-species-dilution-info": "", "WB-species-notes": "", "IHCP-species-checked": "testedAndGuaranteed", "IHCP-species-dilution-info": "1/100", "IHCP-species-notes": "<p></p> Perform heat-mediated antigen retrieval with citrate buffer pH 6 before commencing with IHC staining protocol." }, "Transfected cell lysate": { "WB-species-checked": "testedAndGuaranteed", "WB-species-dilution-info": "1/5000", "WB-species-notes": "<p></p>", "IHCP-species-checked": "notRecommended", "IHCP-species-dilution-info": "", "IHCP-species-notes": "" } } }

Properties and storage information

Form
Liquid
Storage buffer
pH: 7.4 Constituents: PBS
Shipped at conditions
Blue Ice
Appropriate short-term storage duration
1-2 weeks
Appropriate short-term storage conditions
+4°C
Appropriate long-term storage conditions
-20°C
Aliquoting information
Upon delivery aliquot
Storage information
Avoid freeze / thaw cycle

Supplementary information

This supplementary information is collated from multiple sources and compiled automatically.

CCN3 also known as NOV (Nephroblastoma Overexpressed) is a protein that has important roles in cellular processes. This protein belongs to the CCN family of proteins with an approximate molecular mass of 34-38 kDa. CCN3 is expressed in various tissues including kidney heart and brain reflecting its involvement in diverse physiological activities. It is particularly noted for its role in tissue development and repair processes.
Biological function summary

CCN3 influences several aspects of cell behavior including proliferation differentiation and migration. It does not function as part of a larger complex but acts as an individual entity facilitating communication between cells and the extracellular matrix. CCN3 also affects angiogenesis a critical process in both health and disease by modulating vascular endothelial growth factor (VEGF) pathways therefore impacting blood vessel formation and maintenance.

Pathways

CCN3 interacts primarily with key signaling pathways such as Wnt and TGF-beta signaling. Within the Wnt pathway CCN3 serves as a regulatory component modulating the activity of other proteins involved in cell growth. Similarly in the TGF-beta pathway it contributes to the regulation of cellular proliferation and differentiation by affecting interactions with other proteins like SMADs which are signal transducers in TGF-beta signaling.

CCN3 has connections to conditions like nephroblastoma often referred to as Wilms Tumor and fibrosis. In nephroblastoma altered expression of CCN3 correlates with tumor progression and metastasis. It interacts with proteins like WNT1 influencing tumor growth and development. In fibrosis which affects organs such as the liver and lungs CCN3’s modulation of TGF-beta signaling plays a significant role impacting fibrogenesis through its interaction with ECM components.

Product protocols

For this product, it's our understanding that no specific protocols are required. You can visit:

Target data

Immediate-early protein playing a role in various cellular processes including proliferation, adhesion, migration, differentiation and survival (PubMed : 12050162, PubMed : 12695522, PubMed : 15181016, PubMed : 15611078, PubMed : 21344378). Acts by binding to integrins or membrane receptors such as NOTCH1 (PubMed : 12695522, PubMed : 15611078, PubMed : 21344378). Essential regulator of hematopoietic stem and progenitor cell function (PubMed : 17463287). Inhibits myogenic differentiation through the activation of Notch-signaling pathway (PubMed : 12050162). Inhibits vascular smooth muscle cells proliferation by increasing expression of cell-cycle regulators such as CDKN2B or CDKN1A independently of TGFB1 signaling (PubMed : 20139355). Ligand of integrins ITGAV : ITGB3 and ITGA5 : ITGB1, acts directly upon endothelial cells to stimulate pro-angiogenic activities and induces angiogenesis. In endothelial cells, supports cell adhesion, induces directed cell migration (chemotaxis) and promotes cell survival (PubMed : 12695522). Also plays a role in cutaneous wound healing acting as integrin receptor ligand. Supports skin fibroblast adhesion through ITGA5 : ITGB1 and ITGA6 : ITGB1 and induces fibroblast chemotaxis through ITGAV : ITGB5. Seems to enhance bFGF-induced DNA synthesis in fibroblasts (PubMed : 15611078). Involved in bone regeneration as a negative regulator (By similarity). Enhances the articular chondrocytic phenotype, whereas it repressed the one representing endochondral ossification (PubMed : 21871891). Impairs pancreatic beta-cell function, inhibits beta-cell proliferation and insulin secretion (By similarity). Plays a role as negative regulator of endothelial pro-inflammatory activation reducing monocyte adhesion, its anti-inflammatory effects occur secondary to the inhibition of NF-kappaB signaling pathway (PubMed : 21063504). Contributes to the control and coordination of inflammatory processes in atherosclerosis (By similarity). Attenuates inflammatory pain through regulation of IL1B- and TNF-induced MMP9, MMP2 and CCL2 expression. Inhibits MMP9 expression through ITGB1 engagement (PubMed : 21871891). Brain osteoanabolic hormone (By similarity). Drives osteogenesis in osteochondral skeletal stem cells (PubMed : 38987585). During lactation, maintains the maternal skeleton and viability of offspring (By similarity).
See full target information CCN3

Product promise

We are committed to supporting your work with high-quality reagents, and we're here for you every step of the way. In the unlikely event that one of our products does not perform as expected, you're protected by our Product Promise.
For full details, please see our Terms & Conditions

Please note: All products are 'FOR RESEARCH USE ONLY. NOT FOR USE IN DIAGNOSTIC OR THERAPEUTIC PROCEDURES'.

For licensing inquiries, please contact partnerships@abcam.com