JavaScript is disabled in your browser. Please enable JavaScript to view this website.
AB203314

Anti-CCNG2 antibody

Be the first to review this product! Submit a review

|

(3 Publications)

Rabbit Polyclonal CCNG2 antibody. Suitable for WB, IHC-P and reacts with Rat samples. Cited in 3 publications. Immunogen corresponding to Synthetic Peptide within Human Cyclin-G2 aa 150-250 conjugated to Keyhole Limpet Haemocyanin.

View Alternative Names

Cyclin-G2, CCNG2

2 Images
Western blot - Anti-CCNG2 antibody (AB203314)
  • WB

Supplier Data

Western blot - Anti-CCNG2 antibody (AB203314)

All lanes:

Western blot - Anti-CCNG2 antibody (ab203314) at 1/200 dilution

All lanes:

Rat brain lysate

Secondary

All lanes:

Goat Anti-Rabbit IgG Antibody (H+L), HRP at 1/3000 dilution

Predicted band size: 39 kDa

Observed band size: 38 kDa

false

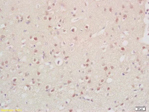
Immunohistochemistry (Formalin/PFA-fixed paraffin-embedded sections) - Anti-CCNG2 antibody (AB203314)
  • IHC-P

Supplier Data

Immunohistochemistry (Formalin/PFA-fixed paraffin-embedded sections) - Anti-CCNG2 antibody (AB203314)

Immunohistochemical analysis of formalin-fixed, paraffin-embedded Rat brain tissue labeling CCNG2 with ab203314 at 1/200 dilution followed by conjugation to the secondary antibody and DAB staining.

Key facts

Host species

Rabbit

Clonality

Polyclonal

Isotype

IgG

Carrier free

No

Reacts with

Rat

Applications

IHC-P, WB

applications

Immunogen

Synthetic Peptide within Human Cyclin-G2 aa 150-250 conjugated to Keyhole Limpet Haemocyanin. The exact immunogen used to generate this antibody is proprietary information.

Q16589

Reactivity data

{ "title": "Reactivity Data", "filters": { "stats": ["", "Species", "Dilution Info", "Notes"], "tabs": { "all-applications": {"fullname" : "All Applications", "shortname": "All Applications"}, "WB" : {"fullname" : "Western blot", "shortname":"WB"}, "IHCP" : {"fullname" : "Immunohistochemistry (Formalin/PFA-fixed paraffin-embedded sections)", "shortname":"IHC-P"} }, "product-promise": { "all": "all", "testedAndGuaranteed": "tested", "guaranteed": "expected", "predicted": "predicted", "notRecommended": "not-recommended" } }, "values": { "Rat": { "WB-species-checked": "testedAndGuaranteed", "WB-species-dilution-info": "1/100 - 1/1000", "WB-species-notes": "<p></p>", "IHCP-species-checked": "testedAndGuaranteed", "IHCP-species-dilution-info": "1/100 - 1/500", "IHCP-species-notes": "<p>When using a fluorescent probe the recommended dilution is 1/50 – 1/200.</p>" } } }

Properties and storage information

Form
Liquid
Purification technique
Affinity purification Protein A
Storage buffer
pH: 7.4 Preservative: 0.02% Proclin 300 Constituents: 50% Glycerol (glycerin, glycerine), 48.98% TBS, 1X, 1% BSA
Shipped at conditions
Blue Ice
Appropriate short-term storage duration
1-2 weeks
Appropriate short-term storage conditions
+4°C
Appropriate long-term storage conditions
-20°C
Aliquoting information
Upon delivery aliquot
Storage information
Avoid freeze / thaw cycle

Supplementary information

This supplementary information is collated from multiple sources and compiled automatically.

CCNG2 also known as Cyclin G2 is a member of the G-type cyclins family. It has a molecular weight of approximately 39 kDa. Cyclin G2 primarily functions as a regulatory protein that plays a role in cell cycle control by interacting with phosphatases and kinases. The expression of CCNG2 occurs in a variety of tissues with higher levels observed in non-proliferating tissues or tissues undergoing differentiation.
Biological function summary

Cyclin G2 acts in cell cycle regulation by inhibiting the G1 to S phase progression contributing to cell cycle arrest. It does not form part of the traditional cyclin/CDK complexes but interacts with different cellular proteins to exert its effects. Its activity is important in maintaining proper cell cycle progression cellular differentiation and response to DNA damage.

Pathways

Cyclin G2 functions within cell cycle regulatory pathways and is involved in the p53 signaling pathway. It influences the cell's choice to proceed through the cell cycle or to undergo cell arrest and repair. CCNG2 interacts with proteins such as 14-3-3 and PP2A facilitating important signaling cascades necessary for cellular stress responses and maintaining genomic integrity.

Cyclin G2 expression relates to cancer progression and therapy resistance. Lower levels of CCNG2 are associated with various cancers including breast and prostate cancers where it may function as a tumor suppressor. It also links to the retinoblastoma protein (Rb) influencing its role in controlling excessive cell proliferation. Researchers continue to study Cyclin G2 for its potential as a biomarker for cancer prognosis and its therapeutic implications.

Product protocols

For this product, it's our understanding that no specific protocols are required. You can visit:

Target data

May play a role in growth regulation and in negative regulation of cell cycle progression.
See full target information Cyclin-G2

Publications (3)

Recent publications for all applications. Explore the full list and refine your search

BMC pregnancy and childbirth 25:957 PubMed41029515

2025

Expression and clinical significance of miR-377-3p and cyclin G2 in preeclampsia patients.

Applications

Unspecified application

Species

Unspecified reactive species

Sanqiang Niu,Kangjun Yu,Weili Wang,Wan Li,Ning Liu,Ping Zhou

Frontiers in pharmacology 16:1528058 PubMed40135235

2025

Gut microbiota-derived metabolite phenylacetylglutamine inhibits the progression of prostate cancer by suppressing the Wnt/β-catenin signaling pathway.

Applications

Unspecified application

Species

Unspecified reactive species

Jing Lv,Shengkai Jin,Yuhua Zhou,Chaowei Fu,Yang Shen,Bo Liu,Jufa Li,Menglu Li,Yuwei Zhang,Ninghan Feng

Journal of cellular and molecular medicine 23:3130-3139 PubMed30873749

2019

CTCF regulates the FoxO signaling pathway to affect the progression of prostate cancer.

Applications

Unspecified application

Species

Unspecified reactive species

Zhengfei Shan,Yongwei Li,Shengqiang Yu,Jitao Wu,Chengjun Zhang,Yue Ma,Guimin Zhuang,Jiantao Wang,Zhenli Gao,Dongfu Liu
View all publications

Product promise

We are committed to supporting your work with high-quality reagents, and we're here for you every step of the way. In the unlikely event that one of our products does not perform as expected, you're protected by our Product Promise.
For full details, please see our Terms & Conditions

Please note: All products are 'FOR RESEARCH USE ONLY. NOT FOR USE IN DIAGNOSTIC OR THERAPEUTIC PROCEDURES'.

For licensing inquiries, please contact partnerships@abcam.com