JavaScript is disabled in your browser. Please enable JavaScript to view this website.
AB139399

Anti-CCR1 antibody

5

(1 Review)

|

(3 Publications)

Goat Polyclonal CCR1 antibody. Suitable for IHC-P and reacts with Human samples. Cited in 3 publications. Immunogen corresponding to Synthetic Peptide within Human CCR1 aa 1-50.

View Alternative Names

CD191, CMKBR1, CMKR1, SCYAR1, CCR1, C-C chemokine receptor type 1, C-C CKR-1, CC-CKR-1, CCR-1, HM145, LD78 receptor, Macrophage inflammatory protein 1-alpha receptor, RANTES-R, MIP-1alpha-R

1 Images
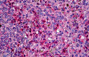
Immunohistochemistry (Formalin/PFA-fixed paraffin-embedded sections) - Anti-CCR1 antibody (AB139399)
  • IHC-P

Unknown

Immunohistochemistry (Formalin/PFA-fixed paraffin-embedded sections) - Anti-CCR1 antibody (AB139399)

Immunohistochemical analysis of paraffin embedded Human spleen tissue labelling CCR1 with ab139399 at 5 μg/ml.

Key facts

Host species

Goat

Clonality

Polyclonal

Isotype

IgG

Carrier free

No

Reacts with

Human

Applications

IHC-P

applications

Immunogen

Synthetic Peptide within Human CCR1 aa 1-50. The exact immunogen used to generate this antibody is proprietary information.

P32246

Reactivity data

{ "title": "Reactivity Data", "filters": { "stats": ["", "Species", "Dilution Info", "Notes"], "tabs": { "all-applications": {"fullname" : "All Applications", "shortname": "All Applications"}, "IHCP" : {"fullname" : "Immunohistochemistry (Formalin/PFA-fixed paraffin-embedded sections)", "shortname":"IHC-P"} }, "product-promise": { "all": "all", "testedAndGuaranteed": "tested", "guaranteed": "expected", "predicted": "predicted", "notRecommended": "not-recommended" } }, "values": { "Human": { "IHCP-species-checked": "testedAndGuaranteed", "IHCP-species-dilution-info": "5 µg/mL", "IHCP-species-notes": "<p></p> Perform heat-mediated antigen retrieval before commencing with IHC staining protocol." } } }

Properties and storage information

Form
Liquid
Purification technique
Affinity purification Immunogen
Storage buffer
pH: 7.2 Preservative: 0.1% Sodium azide Constituents: PBS, 0.1% BSA
Shipped at conditions
Blue Ice
Appropriate short-term storage conditions
+4°C
Appropriate long-term storage conditions
-20°C
Aliquoting information
Upon delivery aliquot
Storage information
Avoid freeze / thaw cycle

Supplementary information

This supplementary information is collated from multiple sources and compiled automatically.

The target CCR1 also known as C-C chemokine receptor type 1 plays a mechanical role in mediating cellular responses to chemokines. It is a protein with a molecular mass of approximately 45 kDa. CCR1 expresses on a variety of cells including immune cells like monocytes macrophages and certain lymphocytes as well as some non-hematopoietic cells. This receptor resides on the cell membrane and contributes to the directed movement of these cells in response to chemokine gradients.
Biological function summary

CCR1 involves itself in processes such as leukocyte migration and inflammatory response. The receptor interacts with specific chemokines of the C-C motif like CCL3 and CCL5. CCR1 does not operate within a higher-order protein complex but binds directly to these chemokines leading to signal transduction that alters cell functions. By modulating immune cell behaviors CCR1 helps orchestrate immune surveillance and inflammation.

Pathways

CCR1 plays a significant part in immune-related pathways such as chemokine signaling and the inflammatory response. It transduces signals via G-protein coupled receptor pathways influencing downstream signaling molecules including PI3K and AKT. Apart from its direct chemokine interactions CCR1 regulates functions in concert with proteins like CCR5 another chemokine receptor coordinating the migration and activation of immune cells across tissues.

CCR1 contributes to conditions such as rheumatoid arthritis and multiple sclerosis. Its role in directing immune cell trafficking makes it a potential player in autoimmune inflammation observed in these diseases. CCR1's interaction with other proteins such as CCR5 and their combined roles in these conditions suggest a target for therapeutic intervention. Research continues to explore how modulating CCR1 activity might impact disease progression and symptom severity in affected individuals.

Product protocols

For this product, it's our understanding that no specific protocols are required. You can visit:

Target data

Chemokine receptor that plays a crucial role in regulating immune cell migration, inflammation, and immune responses (PubMed : 14991608). Contributes to the inflammatory response by recruiting immune cells, such as monocytes, macrophages, T-cells, and dendritic cells, to sites of inflammation for the clearance of pathogens and the resolution of tissue damage. When activated by its ligands including CCL3, CCL5-9, CCL13-16 and CCL23, triggers a signaling cascade within immune cells, leading to their migration towards the source of the chemokine (PubMed : 15905581). For example, mediates neutrophil migration after activation by CCL3 leading to the sequential release of TNF-alpha and leukotriene B4 (By similarity). Mediates also monocyte migration upon CXCL4 binding (PubMed : 29930254). Activation by CCL5 results in neuroinflammation through the ERK1/2 signaling pathway (By similarity).
See full target information CCR1

Publications (3)

Recent publications for all applications. Explore the full list and refine your search

Journal of extracellular vesicles 13:e12486 PubMed39104279

2024

A Predictive Model for Initial Platinum-Based Chemotherapy Efficacy in Patients with Postoperative Epithelial Ovarian Cancer Using Tissue-Derived Small Extracellular Vesicles.

Applications

Unspecified application

Species

Unspecified reactive species

Shizhen Shen,Conghui Wang,Jiaxin Gu,Feifei Song,Xiaodong Wu,Fangfang Qian,Xiaojing Chen,Lingfang Wang,Qiaohua Peng,Ziyu Xing,Lingkai Gu,Fenfen Wang,Xiaodong Cheng

Cell reports 42:112525 PubMed37243592

2023

Systemic alterations in neutrophils and their precursors in early-stage chronic obstructive pulmonary disease.

Applications

Unspecified application

Species

Unspecified reactive species

Theodore S Kapellos,Kevin Baßler,Wataru Fujii,Christina Nalkurthi,Anna C Schaar,Lorenzo Bonaguro,Tal Pecht,Izabela Galvao,Shobhit Agrawal,Adem Saglam,Erica Dudkin,Amit Frishberg,Elena de Domenico,Arik Horne,Chantal Donovan,Richard Y Kim,David Gallego-Ortega,Tessa E Gillett,Meshal Ansari,Jonas Schulte-Schrepping,Nina Offermann,Ignazio Antignano,Burcu Sivri,Wenying Lu,Mathew S Eapen,Martina van Uelft,Collins Osei-Sarpong,Maarten van den Berge,Hylke C Donker,Harry J M Groen,Sukhwinder S Sohal,Johanna Klein,Tina Schreiber,Andreas Feißt,Ali Önder Yildirim,Herbert B Schiller,Martijn C Nawijn,Matthias Becker,Kristian Händler,Marc Beyer,Melania Capasso,Thomas Ulas,Jan Hasenauer,Carmen Pizarro,Fabian J Theis,Philip M Hansbro,Dirk Skowasch,Joachim L Schultze

Journal of experimental & clinical cancer research 38:159 PubMed30979374

2019

TRIM47 is up-regulated in colorectal cancer, promoting ubiquitination and degradation of SMAD4.

Applications

Unspecified application

Species

Unspecified reactive species

Qian Liang,Chaotao Tang,Mingyu Tang,Qingwei Zhang,Yunjie Gao,Zhizheng Ge
View all publications

Product promise

We are committed to supporting your work with high-quality reagents, and we're here for you every step of the way. In the unlikely event that one of our products does not perform as expected, you're protected by our Product Promise.
For full details, please see our Terms & Conditions

Please note: All products are 'FOR RESEARCH USE ONLY. NOT FOR USE IN DIAGNOSTIC OR THERAPEUTIC PROCEDURES'.

For licensing inquiries, please contact partnerships@abcam.com