JavaScript is disabled in your browser. Please enable JavaScript to view this website.
AB325842

Anti-CCR1 antibody [HL2840] - BSA and Azide free

Be the first to review this product! Submit a review

|

(0 Publication)

Rabbit Recombinant Monoclonal CCR1 antibody. Carrier free. Suitable for WB, ICC/IF, IHC-P and reacts with Transfected cell lysate - Human, Cat, Human samples. Immunogen corresponding to Recombinant Fragment Protein within Human CCR1.

View Alternative Names

CD191, CMKBR1, CMKR1, SCYAR1, CCR1, C-C chemokine receptor type 1, C-C CKR-1, CC-CKR-1, CCR-1, HM145, LD78 receptor, Macrophage inflammatory protein 1-alpha receptor, RANTES-R, MIP-1alpha-R

4 Images
Immunocytochemistry/ Immunofluorescence - Anti-CCR1 antibody [HL2840] - BSA and Azide free (AB325842)
  • ICC/IF

Supplier Data

Immunocytochemistry/ Immunofluorescence - Anti-CCR1 antibody [HL2840] - BSA and Azide free (AB325842)

ab325842 detects CCR1 protein by immunofluorescent analysis. Sample : THP-1 cells were fixed in 4% paraformaldehyde at RT for 15 min. Green : CCR1 stained by ab325842 diluted at 1 : 100. Blue : Fluoroshield with DAPI.

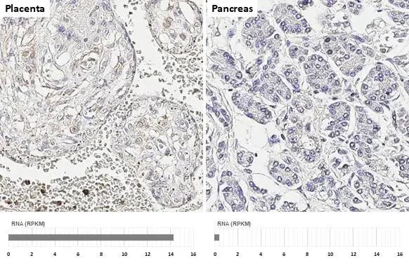
Immunohistochemistry (Formalin/PFA-fixed paraffin-embedded sections) - Anti-CCR1 antibody [HL2840] - BSA and Azide free (AB325842)
  • IHC-P

Supplier Data

Immunohistochemistry (Formalin/PFA-fixed paraffin-embedded sections) - Anti-CCR1 antibody [HL2840] - BSA and Azide free (AB325842)

ab325842 detects CCR1 protein by immunohistochemical analysis. Sample : Paraffin-embedded human tissues. CCR1 stained by ab325842diluted at 1 : 100. Antigen Retrieval : Citrate buffer, pH 6.0, 15 min. Corresponding RNA expression data for the same tissues are based on NCBI.

Western blot - Anti-CCR1 antibody [HL2840] - BSA and Azide free (AB325842)
  • WB

Supplier Data

Western blot - Anti-CCR1 antibody [HL2840] - BSA and Azide free (AB325842)

Whole cell extract (30 μg) was separated by 10% SDS-PAGE, and the membrane was blotted with ab325842 diluted at 1 : 1000. The HRP-conjugated anti-rabbit IgG antibody was used to detect the primary antibody, and the signal was developed with Trident ECL plus-Enhanced.

All lanes:

Western blot - Anti-CCR1 antibody [HL2840] - BSA and Azide free (ab325842) at 1/1000 dilution

All lanes:

PG-4 whole cell extract at 30 µg

Secondary

All lanes:

HRP-conjugated anti-rabbit IgG antibody

true

Western blot - Anti-CCR1 antibody [HL2840] - BSA and Azide free (AB325842)
  • WB

Supplier Data

Western blot - Anti-CCR1 antibody [HL2840] - BSA and Azide free (AB325842)

Non-transfected (–) and transfected (+) boiled and unboiled 293T whole cell extracts (30 ug) were separated by 10% SDS-PAGE, and the membrane was blotted with ab325842 diluted at 1 : 5000. The HRP-conjugated anti-rabbit IgG antibody was used to detect the primary antibody.

All lanes:

Western blot - Anti-CCR1 antibody [HL2840] - BSA and Azide free (ab325842) at 1/5000 dilution

Lanes 1 and 3:

Non-transfected (–) boiled 293T whole cell extracts at 30 µg

Lane 2:

DDDDK-tagged CCR1 transfected (+) boiled 293T whole cell extracts at 30 µg

Lane 4:

DDDDK-tagged CCR1 transfected (+) unboiled 293T whole cell extracts at 30 µg

Secondary

All lanes:

HRP-conjugated anti-rabbit IgG antibody

false

Key facts

Host species

Rabbit

Clonality

Monoclonal

Clone number

HL2840

Isotype

IgG

Carrier free

Yes

Reacts with

Human, Cat

Applications

IHC-P, WB, ICC/IF

applications

Immunogen

Recombinant Fragment Protein within Human CCR1.

P32246

Reactivity data

{ "title": "Reactivity Data", "filters": { "stats": ["", "Species", "Dilution Info", "Notes"], "tabs": { "all-applications": {"fullname" : "All Applications", "shortname": "All Applications"}, "WB" : {"fullname" : "Western blot", "shortname":"WB"}, "ICCIF" : {"fullname" : "Immunocytochemistry/ Immunofluorescence", "shortname":"ICC/IF"}, "IHCP" : {"fullname" : "Immunohistochemistry (Formalin/PFA-fixed paraffin-embedded sections)", "shortname":"IHC-P"} }, "product-promise": { "all": "all", "testedAndGuaranteed": "tested", "guaranteed": "expected", "predicted": "predicted", "notRecommended": "not-recommended" } }, "values": { "Human": { "WB-species-checked": "guaranteed", "WB-species-dilution-info": "", "WB-species-notes": "", "ICCIF-species-checked": "testedAndGuaranteed", "ICCIF-species-dilution-info": "1/100", "ICCIF-species-notes": "<p></p>", "IHCP-species-checked": "testedAndGuaranteed", "IHCP-species-dilution-info": "1/100", "IHCP-species-notes": "<p></p> Perform heat-mediated antigen retrieval with citrate buffer pH 6 before commencing with IHC staining protocol." }, "Cat": { "WB-species-checked": "testedAndGuaranteed", "WB-species-dilution-info": "1/1000", "WB-species-notes": "<p></p>", "ICCIF-species-checked": "guaranteed", "ICCIF-species-dilution-info": "", "ICCIF-species-notes": "", "IHCP-species-checked": "guaranteed", "IHCP-species-dilution-info": "", "IHCP-species-notes": "" }, "Transfected cell lysate - Human": { "WB-species-checked": "testedAndGuaranteed", "WB-species-dilution-info": "1/5000", "WB-species-notes": "<p></p>", "ICCIF-species-checked": "notRecommended", "ICCIF-species-dilution-info": "", "ICCIF-species-notes": "", "IHCP-species-checked": "notRecommended", "IHCP-species-dilution-info": "", "IHCP-species-notes": "" } } }

Properties and storage information

Form
Liquid
Purification technique
Affinity purification Protein A
Storage buffer
pH: 7.4 Constituents: PBS
Shipped at conditions
Blue Ice
Appropriate short-term storage duration
1-2 weeks
Appropriate short-term storage conditions
+4°C
Appropriate long-term storage conditions
-20°C
Aliquoting information
Upon delivery aliquot
Storage information
Avoid freeze / thaw cycle

Product protocols

For this product, it's our understanding that no specific protocols are required. You can visit:

Target data

Chemokine receptor that plays a crucial role in regulating immune cell migration, inflammation, and immune responses (PubMed : 14991608). Contributes to the inflammatory response by recruiting immune cells, such as monocytes, macrophages, T-cells, and dendritic cells, to sites of inflammation for the clearance of pathogens and the resolution of tissue damage. When activated by its ligands including CCL3, CCL5-9, CCL13-16 and CCL23, triggers a signaling cascade within immune cells, leading to their migration towards the source of the chemokine (PubMed : 15905581, PubMed : 38417634). For example, mediates neutrophil migration after activation by CCL3 leading to the sequential release of TNF and leukotriene B4 (By similarity). Also mediates monocyte migration upon CXCL4 binding (PubMed : 29930254). Activation by CCL5 results in neuroinflammation through the ERK1/2 signaling pathway (By similarity).
See full target information CCR1

Product promise

We are committed to supporting your work with high-quality reagents, and we're here for you every step of the way. In the unlikely event that one of our products does not perform as expected, you're protected by our Product Promise.
For full details, please see our Terms & Conditions

Please note: All products are 'FOR RESEARCH USE ONLY. NOT FOR USE IN DIAGNOSTIC OR THERAPEUTIC PROCEDURES'.

For licensing inquiries, please contact partnerships@abcam.com