JavaScript is disabled in your browser. Please enable JavaScript to view this website.
AB189346

Anti-CCR3 antibody - N-terminal

Be the first to review this product! Submit a review

|

(1 Publication)

Goat Polyclonal CCR3 antibody. N-terminal. Suitable for IHC-P and reacts with Human samples. Cited in 1 publication. Immunogen corresponding to Synthetic Peptide within Mouse Ccr3 aa 1-50.

View Alternative Names

CD193, CMKBR3, CCR3, C-C chemokine receptor type 3, C C CKR3, C-C CKR-3, CC-CKR-3, CCR-3, CKR 3, CKR3, Eosinophil eotaxin receptor

1 Images
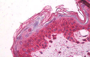
Immunohistochemistry (Formalin/PFA-fixed paraffin-embedded sections) - Anti-CCR3 antibody - N-terminal (AB189346)
  • IHC-P

Supplier Data

Immunohistochemistry (Formalin/PFA-fixed paraffin-embedded sections) - Anti-CCR3 antibody - N-terminal (AB189346)

Immunohistochemical analysis of formalin-fixed paraffin-embedded Human skin tissue labeling CCR3 with ab189346 at 5 μg/ml.

Key facts

Host species

Goat

Clonality

Polyclonal

Isotype

IgG

Carrier free

No

Reacts with

Human

Applications

IHC-P

applications

Immunogen

Synthetic Peptide within Mouse Ccr3 aa 1-50. The exact immunogen used to generate this antibody is proprietary information.

P51678

Specificity

Recognizes mouse CCR3 and the peptide sequence is <50 % identical to other chemokine receptors in this region.

Reactivity data

{ "title": "Reactivity Data", "filters": { "stats": ["", "Species", "Dilution Info", "Notes"], "tabs": { "all-applications": {"fullname" : "All Applications", "shortname": "All Applications"}, "IHCP" : {"fullname" : "Immunohistochemistry (Formalin/PFA-fixed paraffin-embedded sections)", "shortname":"IHC-P"} }, "product-promise": { "all": "all", "testedAndGuaranteed": "tested", "guaranteed": "expected", "predicted": "predicted", "notRecommended": "not-recommended" } }, "values": { "Human": { "IHCP-species-checked": "testedAndGuaranteed", "IHCP-species-dilution-info": "5 µg/mL", "IHCP-species-notes": "<p></p>" } } }

Properties and storage information

Form
Liquid
Purification technique
Affinity purification Immunogen
Storage buffer
pH: 7.2 Preservative: 0.1% Sodium azide Constituents: 0.81% Sodium chloride, 0.21% Tripotassium orthophosphate, 0.1% BSA
Shipped at conditions
Blue Ice
Appropriate short-term storage duration
1-2 weeks
Appropriate short-term storage conditions
+4°C
Appropriate long-term storage conditions
-20°C
Aliquoting information
Upon delivery aliquot
Storage information
Avoid freeze / thaw cycle

Supplementary information

This supplementary information is collated from multiple sources and compiled automatically.

CCR3 also known as C-C chemokine receptor type 3 is a protein that acts as a receptor for chemokines. The molecular weight of CCR3 is approximately 43 kDa. This protein is predominantly expressed in eosinophils and basophils and is also found in specific subsets of T cells. The expression of CCR3 in these cells plays an important role in directing their migration and activity. This receptor is part of the G protein-coupled receptor family which transduce signals across the cell membrane.
Biological function summary

CCR3 facilitates chemokine-directed migration of white blood cells an essential function for immune responses. It binds to several chemokines like eotaxin eotaxin-2 and RANTES which mediates the recruitment of eosinophils and other cells to sites of inflammation. CCR3 does not form part of a protein complex instead it interacts directly with its chemokine ligands. This activity enhances the body's ability to respond to allergic reactions and inflammatory processes.

Pathways

CCR3 plays a role in the signaling pathways that orchestrate immune cell trafficking and activation. It is involved in the chemokine signaling pathway which regulates cell movement and positioning and the calcium mobilization pathway through its ligand interaction. CCR3 along with other receptors like CCR5 and CXCR4 facilitates the communication between immune cells aiding in directed cell movement towards the inflammation site.

CCR3 is notably involved in allergic disorders and asthma. Its expression influences the recruitment of eosinophils which are key players in these conditions. This receptor is linked to heightened inflammatory responses leading to tissue damage in chronic allergic diseases. The interaction of CCR3 with chemokines like eotaxin is significant in the pathophysiology of these diseases making it a potential target for therapeutic intervention to mitigate symptoms of chronic allergic responses.

Product protocols

For this product, it's our understanding that no specific protocols are required. You can visit:

Target data

Receptor for C-C type chemokine. Binds and responds to a variety of chemokines, including CCL11, CCL26, CCL7, CCL13, RANTES(CCL5) and CCL15 (PubMed : 7622448, PubMed : 8642344, PubMed : 8676064). Subsequently transduces a signal by increasing the intracellular calcium ions level (PubMed : 8676064). In addition acts as a possible functional receptor for NARS1 (PubMed : 30171954).. (Microbial infection) Alternative coreceptor with CD4 for HIV-1 infection.
See full target information CCR3

Publications (1)

Recent publications for all applications. Explore the full list and refine your search

Frontiers in cell and developmental biology 9:705182 PubMed34970537

2021

ATXN10 Is Required for Embryonic Heart Development and Maintenance of Epithelial Cell Phenotypes in the Adult Kidney and Pancreas.

Applications

Unspecified application

Species

Unspecified reactive species

Melissa R Bentley-Ford,Reagan S Andersen,Mandy J Croyle,Courtney J Haycraft,Kelsey R Clearman,Jeremy B Foote,Jeremy F Reiter,Bradley K Yoder
View all publications

Product promise

We are committed to supporting your work with high-quality reagents, and we're here for you every step of the way. In the unlikely event that one of our products does not perform as expected, you're protected by our Product Promise.
For full details, please see our Terms & Conditions

Please note: All products are 'FOR RESEARCH USE ONLY. NOT FOR USE IN DIAGNOSTIC OR THERAPEUTIC PROCEDURES'.

For licensing inquiries, please contact partnerships@abcam.com