JavaScript is disabled in your browser. Please enable JavaScript to view this website.
AB32512

Anti-CCR3 antibody [Y31]

4

(2 Reviews)

|

(25 Publications)

Rabbit Recombinant Monoclonal CCR3 antibody. Suitable for IHC-P and reacts with Human samples. Cited in 25 publications.

View Alternative Names

CD193, CMKBR3, CCR3, C-C chemokine receptor type 3, C C CKR3, C-C CKR-3, CC-CKR-3, CCR-3, CKR 3, CKR3, Eosinophil eotaxin receptor

1 Images
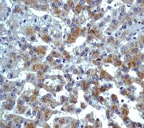
Immunohistochemistry (Formalin/PFA-fixed paraffin-embedded sections) - Anti-CCR3 antibody [Y31] (AB32512)
  • IHC-P

Unknown

Immunohistochemistry (Formalin/PFA-fixed paraffin-embedded sections) - Anti-CCR3 antibody [Y31] (AB32512)

Immunohistochemical analysis of paraffin-embedded human liver tissue using ab32512 at 1/100 dilution.

Perform heat mediated antigen retrieval before commencing with IHC staining protocol.

  • Carrier free

    Anti-CCR3 antibody [Y31] - BSA and Azide free

Key facts

Host species

Rabbit

Clonality

Monoclonal

Clone number

Y31

Isotype

IgG

Carrier free

No

Reacts with

Human

Applications

IHC-P

applications

Immunogen

The exact immunogen used to generate this antibody is proprietary information.

Specificity

We do not guarantee IHC-P for mouse and rat.

Reactivity data

{ "title": "Reactivity Data", "filters": { "stats": ["", "Species", "Dilution Info", "Notes"], "tabs": { "all-applications": {"fullname" : "All Applications", "shortname": "All Applications"}, "IHCP" : {"fullname" : "Immunohistochemistry (Formalin/PFA-fixed paraffin-embedded sections)", "shortname":"IHC-P"}, "IP" : {"fullname" : "Immunoprecipitation", "shortname":"IP"}, "FlowCyt" : {"fullname" : "Flow Cytometry", "shortname":"Flow Cyt"}, "WB" : {"fullname" : "Western blot", "shortname":"WB"}, "ICCIF" : {"fullname" : "Immunocytochemistry/ Immunofluorescence", "shortname":"ICC/IF"} }, "product-promise": { "all": "all", "testedAndGuaranteed": "tested", "guaranteed": "expected", "predicted": "predicted", "notRecommended": "not-recommended" } }, "values": { "Human": { "IHCP-species-checked": "testedAndGuaranteed", "IHCP-species-dilution-info": "1/100", "IHCP-species-notes": "<p>The mouse and rat recommendation is based on the WB results. We do not guarantee IHC-P for mouse and rat.</p> Perform heat-mediated antigen retrieval before commencing with IHC staining protocol.", "IP-species-checked": "notRecommended", "IP-species-dilution-info": "", "IP-species-notes": "<p></p>", "FlowCyt-species-checked": "notRecommended", "FlowCyt-species-dilution-info": "", "FlowCyt-species-notes": "<p></p>", "WB-species-checked": "notRecommended", "WB-species-dilution-info": "", "WB-species-notes": "<p></p>", "ICCIF-species-checked": "notRecommended", "ICCIF-species-dilution-info": "", "ICCIF-species-notes": "<p></p>" }, "Mouse": { "IHCP-species-checked": "predicted", "IHCP-species-dilution-info": "", "IHCP-species-notes": "", "IP-species-checked": "notRecommended", "IP-species-dilution-info": "", "IP-species-notes": "", "FlowCyt-species-checked": "notRecommended", "FlowCyt-species-dilution-info": "", "FlowCyt-species-notes": "", "WB-species-checked": "notRecommended", "WB-species-dilution-info": "", "WB-species-notes": "", "ICCIF-species-checked": "notRecommended", "ICCIF-species-dilution-info": "", "ICCIF-species-notes": "" }, "Rat": { "IHCP-species-checked": "predicted", "IHCP-species-dilution-info": "", "IHCP-species-notes": "", "IP-species-checked": "notRecommended", "IP-species-dilution-info": "", "IP-species-notes": "", "FlowCyt-species-checked": "notRecommended", "FlowCyt-species-dilution-info": "", "FlowCyt-species-notes": "", "WB-species-checked": "notRecommended", "WB-species-dilution-info": "", "WB-species-notes": "", "ICCIF-species-checked": "notRecommended", "ICCIF-species-dilution-info": "", "ICCIF-species-notes": "" }, "Macaque monkey": { "IHCP-species-checked": "predicted", "IHCP-species-dilution-info": "", "IHCP-species-notes": "", "IP-species-checked": "notRecommended", "IP-species-dilution-info": "", "IP-species-notes": "", "FlowCyt-species-checked": "notRecommended", "FlowCyt-species-dilution-info": "", "FlowCyt-species-notes": "", "WB-species-checked": "notRecommended", "WB-species-dilution-info": "", "WB-species-notes": "", "ICCIF-species-checked": "notRecommended", "ICCIF-species-dilution-info": "", "ICCIF-species-notes": "" } } }

Product details

Patented technology
Our RabMAb® technology is a patented hybridoma-based technology for making rabbit monoclonal antibodies. For details on our patents, please refer to RabMAb® patents.

What are the advantages of a recombinant monoclonal antibody?
This product is a recombinant monoclonal antibody, which offers several advantages including:

  • - High batch-to-batch consistency and reproducibility
  • - Improved sensitivity and specificity
  • - Long-term security of supply
  • - Animal-free batch production

For more information, read more on recombinant antibodies.

Properties and storage information

Form
Liquid
Purification technique
Affinity purification Protein A
Storage buffer
pH: 7.2 - 7.4 Preservative: 0.01% Sodium azide Constituents: PBS, 50% Glycerol (glycerin, glycerine), 0.05% BSA
Shipped at conditions
Blue Ice
Appropriate short-term storage duration
1-2 weeks
Appropriate short-term storage conditions
+4°C
Appropriate long-term storage conditions
-20°C
Aliquoting information
Upon delivery aliquot
Storage information
Avoid freeze / thaw cycle

Supplementary information

This supplementary information is collated from multiple sources and compiled automatically.

CCR3 also known as C-C chemokine receptor type 3 is a protein that acts as a receptor for chemokines. The molecular weight of CCR3 is approximately 43 kDa. This protein is predominantly expressed in eosinophils and basophils and is also found in specific subsets of T cells. The expression of CCR3 in these cells plays an important role in directing their migration and activity. This receptor is part of the G protein-coupled receptor family which transduce signals across the cell membrane.
Biological function summary

CCR3 facilitates chemokine-directed migration of white blood cells an essential function for immune responses. It binds to several chemokines like eotaxin eotaxin-2 and RANTES which mediates the recruitment of eosinophils and other cells to sites of inflammation. CCR3 does not form part of a protein complex instead it interacts directly with its chemokine ligands. This activity enhances the body's ability to respond to allergic reactions and inflammatory processes.

Pathways

CCR3 plays a role in the signaling pathways that orchestrate immune cell trafficking and activation. It is involved in the chemokine signaling pathway which regulates cell movement and positioning and the calcium mobilization pathway through its ligand interaction. CCR3 along with other receptors like CCR5 and CXCR4 facilitates the communication between immune cells aiding in directed cell movement towards the inflammation site.

CCR3 is notably involved in allergic disorders and asthma. Its expression influences the recruitment of eosinophils which are key players in these conditions. This receptor is linked to heightened inflammatory responses leading to tissue damage in chronic allergic diseases. The interaction of CCR3 with chemokines like eotaxin is significant in the pathophysiology of these diseases making it a potential target for therapeutic intervention to mitigate symptoms of chronic allergic responses.

Product protocols

For this product, it's our understanding that no specific protocols are required. You can visit:

Target data

Receptor for C-C type chemokine. Binds and responds to a variety of chemokines, including CCL11, CCL26, CCL7, CCL13, RANTES(CCL5) and CCL15 (PubMed : 7622448, PubMed : 8642344, PubMed : 8676064). Subsequently transduces a signal by increasing the intracellular calcium ions level (PubMed : 8676064). In addition acts as a possible functional receptor for NARS1 (PubMed : 30171954).. (Microbial infection) Alternative coreceptor with CD4 for HIV-1 infection.
See full target information CCR3

Publications (25)

Recent publications for all applications. Explore the full list and refine your search

Cell death & disease 15:84 PubMed38267432

2024

Mechanical stiffness promotes skin fibrosis via Piezo1-Wnt2/Wnt11-CCL24 positive feedback loop.

Applications

Unspecified application

Species

Unspecified reactive species

Jiahao He,Xinwei Cheng,Bin Fang,Shengzhou Shan,Qingfeng Li

Developmental neurobiology 84:18-31 PubMed38105470

2023

LKB1 and CRMP1 cooperatively promote the repair of the sciatic nerve injury.

Applications

Unspecified application

Species

Unspecified reactive species

Yang Liu,You-Jia Xu

JCI insight 7: PubMed36173680

2022

Increased joint loading induces subchondral bone loss of the temporomandibular joint via the RANTES-CCRs-Akt2 axis.

Applications

Unspecified application

Species

Unspecified reactive species

Shi-Yang Feng,Jie Lei,Yu-Xiang Li,Wen-Ge Shi,Ran-Ran Wang,Adrian Ujin Yap,Yi-Xiang Wang,Kai-Yuan Fu

Cell death & disease 13:478 PubMed35589690

2022

Cancer associated fibroblast-derived CCL5 promotes hepatocellular carcinoma metastasis through activating HIF1α/ZEB1 axis.

Applications

Unspecified application

Species

Unspecified reactive species

Haixu Xu,Jie Zhao,Jinping Li,Zhifeng Zhu,Zhaohai Cui,Ran Liu,Rong Lu,Zhi Yao,Qiong Xu

Evidence-based complementary and alternative medicine : eCAM 2022:4571981 PubMed35069759

2022

Acupuncture Alleviates Menstrual Pain in Rat Model via Suppressing Eotaxin/CCR3 Axis to Weak EOS-MC Activation.

Applications

Unspecified application

Species

Unspecified reactive species

Wen-Yan Yu,Liang-Xiao Ma,Yuan Tian,Jie-Dan Mu,Zhou Zhang,Tian-Yi Sun,Xu Qian,Jun-Xiang Wang

International journal of molecular sciences 22: PubMed33671469

2021

The Chemokine Receptor CCR3 Is Potentially Involved in the Homing of Prostate Cancer Cells to Bone: Implication of Bone-Marrow Adipocytes.

Applications

Unspecified application

Species

Unspecified reactive species

Adrien Guérard,Victor Laurent,Gaëlle Fromont,David Estève,Julia Gilhodes,Edith Bonnelye,Sophie Le Gonidec,Philippe Valet,Bernard Malavaud,Nicolas Reina,Camille Attané,Catherine Muller

Open medicine (Warsaw, Poland) 15:483-491 PubMed33313407

2020

miR-30a-3p participates in the development of asthma by targeting CCR3.

Applications

Unspecified application

Species

Unspecified reactive species

Xiaobo Li,Binliang Wang,Mao Huang,Xiaomi Wang

Experimental and therapeutic medicine 20:1030-1038 PubMed32742345

2020

CCR3-shRNA promotes apoptosis and inhibits chemotaxis and degranulation of mouse mast cells.

Applications

Unspecified application

Species

Unspecified reactive species

Haisen Peng,Bing Liao,Xinhua Zhu,Yuehui Liu,Yinli Jiang,Shuhong Wu

Molecular medicine reports 21:2522-2532 PubMed32323817

2020

CCL11 increases the proportion of CD4+CD25+Foxp3+ Treg cells and the production of IL‑2 and TGF‑β by CD4+ T cells via the STAT5 signaling pathway.

Applications

Unspecified application

Species

Unspecified reactive species

Rong Wang,Keliang Huang

Cell death & disease 11:117 PubMed32051393

2020

Blocking the autocrine regulatory loop of Gankyrin/STAT3/CCL24/CCR3 impairs the progression and pazopanib resistance of clear cell renal cell carcinoma.

Applications

Unspecified application

Species

Unspecified reactive species

Chao Wang,Yuning Wang,Tianyu Hong,Bing Cheng,Sishun Gan,Linbao Chen,Jing Zhang,Li Zuo,Jian Li,Xingang Cui
View all publications

Product promise

We are committed to supporting your work with high-quality reagents, and we're here for you every step of the way. In the unlikely event that one of our products does not perform as expected, you're protected by our Product Promise.
For full details, please see our Terms & Conditions

Please note: All products are 'FOR RESEARCH USE ONLY. NOT FOR USE IN DIAGNOSTIC OR THERAPEUTIC PROCEDURES'.

For licensing inquiries, please contact partnerships@abcam.com