JavaScript is disabled in your browser. Please enable JavaScript to view this website.
AB228341

Anti-CCR3 antibody [Y31] - Low endotoxin, Azide free

4

(1 Review)

|

(13 Publications)

Rabbit Recombinant Monoclonal CCR3 antibody. Carrier free. Suitable for IHC-P and reacts with Human samples. Cited in 13 publications.

View Alternative Names

CD193, CMKBR3, CCR3, C-C chemokine receptor type 3, C C CKR3, C-C CKR-3, CC-CKR-3, CCR-3, CKR 3, CKR3, Eosinophil eotaxin receptor

1 Images
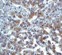
Immunohistochemistry (Formalin/PFA-fixed paraffin-embedded sections) - Anti-CCR3 antibody [Y31] - Low endotoxin, Azide free (AB228341)
  • IHC-P

Unknown

Immunohistochemistry (Formalin/PFA-fixed paraffin-embedded sections) - Anti-CCR3 antibody [Y31] - Low endotoxin, Azide free (AB228341)

This IHC data was generated using the same anti-CCR3 antibody clone Y31 in a different buffer formulation (cat# ab32152).

Immunohistochemical analysis of paraffin-embedded human liver tissue using ab32512 at 1/100 dilution.

Perform heat mediated antigen retrieval before commencing with IHC staining protocol.

Key facts

Host species

Rabbit

Clonality

Monoclonal

Clone number

Y31

Isotype

IgG

Carrier free

Yes

Reacts with

Human

Applications

IHC-P

applications

Immunogen

The exact immunogen used to generate this antibody is proprietary information.

Specificity

The mouse and rat recommendation is for WB use only. We do not guarantee IHC-P for mouse and rat.

Reactivity data

{ "title": "Reactivity Data", "filters": { "stats": ["", "Species", "Dilution Info", "Notes"], "tabs": { "all-applications": {"fullname" : "All Applications", "shortname": "All Applications"}, "IHCP" : {"fullname" : "Immunohistochemistry (Formalin/PFA-fixed paraffin-embedded sections)", "shortname":"IHC-P"}, "IP" : {"fullname" : "Immunoprecipitation", "shortname":"IP"}, "FlowCyt" : {"fullname" : "Flow Cytometry", "shortname":"Flow Cyt"}, "WB" : {"fullname" : "Western blot", "shortname":"WB"}, "ICCIF" : {"fullname" : "Immunocytochemistry/ Immunofluorescence", "shortname":"ICC/IF"} }, "product-promise": { "all": "all", "testedAndGuaranteed": "tested", "guaranteed": "expected", "predicted": "predicted", "notRecommended": "not-recommended" } }, "values": { "Human": { "IHCP-species-checked": "testedAndGuaranteed", "IHCP-species-dilution-info": "", "IHCP-species-notes": "<p></p>", "IP-species-checked": "notRecommended", "IP-species-dilution-info": "", "IP-species-notes": "<p></p>", "FlowCyt-species-checked": "notRecommended", "FlowCyt-species-dilution-info": "", "FlowCyt-species-notes": "<p></p>", "WB-species-checked": "notRecommended", "WB-species-dilution-info": "", "WB-species-notes": "<p></p>", "ICCIF-species-checked": "notRecommended", "ICCIF-species-dilution-info": "", "ICCIF-species-notes": "<p></p>" }, "Mouse": { "IHCP-species-checked": "predicted", "IHCP-species-dilution-info": "", "IHCP-species-notes": "", "IP-species-checked": "notRecommended", "IP-species-dilution-info": "", "IP-species-notes": "", "FlowCyt-species-checked": "notRecommended", "FlowCyt-species-dilution-info": "", "FlowCyt-species-notes": "", "WB-species-checked": "notRecommended", "WB-species-dilution-info": "", "WB-species-notes": "", "ICCIF-species-checked": "notRecommended", "ICCIF-species-dilution-info": "", "ICCIF-species-notes": "" }, "Rat": { "IHCP-species-checked": "predicted", "IHCP-species-dilution-info": "", "IHCP-species-notes": "", "IP-species-checked": "notRecommended", "IP-species-dilution-info": "", "IP-species-notes": "", "FlowCyt-species-checked": "notRecommended", "FlowCyt-species-dilution-info": "", "FlowCyt-species-notes": "", "WB-species-checked": "notRecommended", "WB-species-dilution-info": "", "WB-species-notes": "", "ICCIF-species-checked": "notRecommended", "ICCIF-species-dilution-info": "", "ICCIF-species-notes": "" }, "Macaque monkey": { "IHCP-species-checked": "predicted", "IHCP-species-dilution-info": "", "IHCP-species-notes": "", "IP-species-checked": "notRecommended", "IP-species-dilution-info": "", "IP-species-notes": "", "FlowCyt-species-checked": "notRecommended", "FlowCyt-species-dilution-info": "", "FlowCyt-species-notes": "", "WB-species-checked": "notRecommended", "WB-species-dilution-info": "", "WB-species-notes": "", "ICCIF-species-checked": "notRecommended", "ICCIF-species-dilution-info": "", "ICCIF-species-notes": "" } } }

Product details

ab228341 is the carrier-free version of ab32512.

Conjugation ready
Our carrier-free antibodies are typically supplied in a PBS-only formulation, purified and free of BSA, sodium azide and glycerol. This conjugation-ready format is designed for use with fluorochromes, metal isotopes, oligonucleotides, and enzymes, which makes them ideal for antibody labelling, functional and cell-based assays, flow-based assays (e.g. mass cytometry) and Multiplex Imaging applications.

Use our conjugation kits for antibody conjugates that are ready-to-use in as little as 20 minutes with 1 minute hands-on-time and 100% antibody recovery: available for fluorescent dyes, HRP, biotin and gold.

Compatibility
This product is compatible with the Maxpar® Antibody Labeling Kit from Fluidigm, without the need for antibody preparation. Maxpar® is a trademark of Fluidigm Canada Inc.

What does low endotoxin mean?
Our low endotoxin, azide-free formats have low endotoxin level (1 EU/mg, determined by the TAL assay) and are free from azide, to achieve consistent experimental results in functional assays.

Properties and storage information

Form
Liquid
Purification technique
Affinity purification Protein A
Storage buffer
pH: 7.2 - 7.4 Constituents: PBS
Shipped at conditions
Blue Ice
Appropriate short-term storage conditions
+4°C
Appropriate long-term storage conditions
+4°C
Storage information
Do Not Freeze

Supplementary information

This supplementary information is collated from multiple sources and compiled automatically.

CCR3 also known as C-C chemokine receptor type 3 is a protein that acts as a receptor for chemokines. The molecular weight of CCR3 is approximately 43 kDa. This protein is predominantly expressed in eosinophils and basophils and is also found in specific subsets of T cells. The expression of CCR3 in these cells plays an important role in directing their migration and activity. This receptor is part of the G protein-coupled receptor family which transduce signals across the cell membrane.
Biological function summary

CCR3 facilitates chemokine-directed migration of white blood cells an essential function for immune responses. It binds to several chemokines like eotaxin eotaxin-2 and RANTES which mediates the recruitment of eosinophils and other cells to sites of inflammation. CCR3 does not form part of a protein complex instead it interacts directly with its chemokine ligands. This activity enhances the body's ability to respond to allergic reactions and inflammatory processes.

Pathways

CCR3 plays a role in the signaling pathways that orchestrate immune cell trafficking and activation. It is involved in the chemokine signaling pathway which regulates cell movement and positioning and the calcium mobilization pathway through its ligand interaction. CCR3 along with other receptors like CCR5 and CXCR4 facilitates the communication between immune cells aiding in directed cell movement towards the inflammation site.

CCR3 is notably involved in allergic disorders and asthma. Its expression influences the recruitment of eosinophils which are key players in these conditions. This receptor is linked to heightened inflammatory responses leading to tissue damage in chronic allergic diseases. The interaction of CCR3 with chemokines like eotaxin is significant in the pathophysiology of these diseases making it a potential target for therapeutic intervention to mitigate symptoms of chronic allergic responses.

Product protocols

For this product, it's our understanding that no specific protocols are required. You can visit:

Target data

Receptor for C-C type chemokine. Binds and responds to a variety of chemokines, including CCL11, CCL26, CCL7, CCL13, RANTES(CCL5) and CCL15 (PubMed : 7622448, PubMed : 8642344, PubMed : 8676064). Subsequently transduces a signal by increasing the intracellular calcium ions level (PubMed : 8676064). In addition acts as a possible functional receptor for NARS1 (PubMed : 30171954).. (Microbial infection) Alternative coreceptor with CD4 for HIV-1 infection.
See full target information CCR3

Publications (13)

Recent publications for all applications. Explore the full list and refine your search

Cell reports methods 3:100595 PubMed37741277

2023

Dual-modality imaging of immunofluorescence and imaging mass cytometry for whole-slide imaging and accurate segmentation.

Applications

Unspecified application

Species

Unspecified reactive species

Eun Na Kim,Phyllis Zixuan Chen,Dario Bressan,Monika Tripathi,Ahmad Miremadi,Massimiliano di Pietro,Lisa M Coussens,Gregory J Hannon,Rebecca C Fitzgerald,Lizhe Zhuang,Young Hwan Chang

Frontiers in pharmacology 8:207 PubMed28458639

2017

CCR3 Is Associated with the Death of a Photoreceptor Cell-line Induced by Light Exposure.

Applications

WB

Species

Mouse

Yoshiki Kuse,Kazuhiro Tsuruma,Yusuke Kanno,Masamitsu Shimazawa,Hideaki Hara

The Journal of biological chemistry 291:19532-44 PubMed27458015

2016

CC-Chemokine Ligand 2 (CCL2) Suppresses High Density Lipoprotein (HDL) Internalization and Cholesterol Efflux via CC-Chemokine Receptor 2 (CCR2) Induction and p42/44 Mitogen-activated Protein Kinase (MAPK) Activation in Human Endothelial Cells.

Applications

WB

Species

Human

Run-Lu Sun,Can-Xia Huang,Jin-Lan Bao,Jie-Yu Jiang,Bo Zhang,Shu-Xian Zhou,Wei-Bin Cai,Hong Wang,Jing-Feng Wang,Yu-Ling Zhang

Oncotarget 7:36842-36853 PubMed27167205

2016

Crosstalk between CCL7 and CCR3 promotes metastasis of colon cancer cells via ERK-JNK signaling pathways.

Applications

Flow Cyt

Species

Unspecified reactive species

Yeo Song Lee,So-Young Kim,Su Jeong Song,Hye Kyung Hong,Yura Lee,Bo Young Oh,Woo Yong Lee,Yong Beom Cho

Nature communications 7:10230 PubMed26756352

2016

Periprostatic adipocytes act as a driving force for prostate cancer progression in obesity.

Applications

Unspecified application

Species

Unspecified reactive species

Victor Laurent,Adrien Guérard,Catherine Mazerolles,Sophie Le Gonidec,Aurélie Toulet,Laurence Nieto,Falek Zaidi,Bilal Majed,David Garandeau,Youri Socrier,Muriel Golzio,Thomas Cadoudal,Karima Chaoui,Cedric Dray,Bernard Monsarrat,Odile Schiltz,Yuan Yuan Wang,Bettina Couderc,Philippe Valet,Bernard Malavaud,Catherine Muller

Cell reports 10:1173-86 PubMed25704819

2015

ROCK-isoform-specific polarization of macrophages associated with age-related macular degeneration.

Applications

Unspecified application

Species

Unspecified reactive species

Souska Zandi,Shintaro Nakao,Kwang-Hoon Chun,Paolo Fiorina,Dawei Sun,Ryoichi Arita,Ming Zhao,Enoch Kim,Olivier Schueller,Stewart Campbell,Mahdi Taher,Mark Ivan Melhorn,Alexander Schering,Francesca Gatti,Sara Tezza,Fang Xie,Andrea Vergani,Shigeo Yoshida,Keijiro Ishikawa,Muneo Yamaguchi,Fumiyuki Sasaki,Ruth Schmidt-Ullrich,Yasuaki Hata,Hiroshi Enaida,Mitsuko Yuzawa,Takehiko Yokomizo,Young-Bum Kim,Paul Sweetnam,Tatsuro Ishibashi,Ali Hafezi-Moghadam

Biomedical optics express 5:3521-40 PubMed25360369

2014

Probing the immune and healing response of murine intestinal mucosa by time-lapse 2-photon microscopy of laser-induced lesions with real-time dosimetry.

Applications

Unspecified application

Species

Unspecified reactive species

Regina Orzekowsky-Schroeder,Antje Klinger,Sebastian Freidank,Norbert Linz,Sebastian Eckert,Gereon Hüttmann,Andreas Gebert,Alfred Vogel

Human reproduction (Oxford, England) 28:1497-507 PubMed23477905

2013

Control of extravillous trophoblast function by the eotaxins CCL11, CCL24 and CCL26.

Applications

ICC/IF

Species

Human

Simon E Chau,Padma Murthi,May H Wong,Guy StJ Whitley,Shaun P Brennecke,Rosemary J Keogh

Journal of allergy 2012:819176 PubMed22523501

2012

Immunolocalization of NLRP3 Inflammasome in Normal Murine Airway Epithelium and Changes following Induction of Ovalbumin-Induced Airway Inflammation.

Applications

IHC-P

Species

Mouse

Hai B Tran,Martin D Lewis,Lor Wai Tan,Susan E Lester,Leonie M Baker,Jia Ng,Monica A Hamilton-Bruce,Catherine L Hill,Simon A Koblar,Maureen Rischmueller,Richard E Ruffin,Peter J Wormald,Peter D Zalewski,Carol J Lang

Annals of dermatology 22:412-7 PubMed21165210

2010

Chemokine Receptor CCR3 Expression in Malignant Cutaneous Tumors.

Applications

WB, IHC-P

Species

Human, Human

Yoon-Jin Lee,Dae-Hyun Kim,Sang-Han Lee,Hae-Seon Nam,Mi Ryung Roh,Moon-Kyun Cho
View all publications

Product promise

We are committed to supporting your work with high-quality reagents, and we're here for you every step of the way. In the unlikely event that one of our products does not perform as expected, you're protected by our Product Promise.
For full details, please see our Terms & Conditions

Please note: All products are 'FOR RESEARCH USE ONLY. NOT FOR USE IN DIAGNOSTIC OR THERAPEUTIC PROCEDURES'.

For licensing inquiries, please contact partnerships@abcam.com