JavaScript is disabled in your browser. Please enable JavaScript to view this website.
AB216560

Anti-CCR4 antibody

Be the first to review this product! Submit a review

|

(4 Publications)

Rabbit Polyclonal CCR4 antibody. Suitable for IHC-P and reacts with Human, Rat samples. Cited in 4 publications. Immunogen corresponding to Synthetic Peptide within Human CCR4 aa 200-250 conjugated to Keyhole Limpet Haemocyanin.

View Alternative Names

CD194, CMKBR4, CCR4, C-C chemokine receptor type 4, C-C CKR-4, CC-CKR-4, CCR-4, K5-5

2 Images
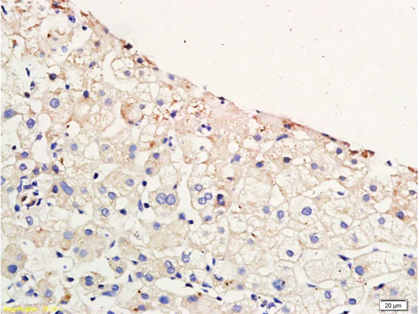
Immunohistochemistry (Formalin/PFA-fixed paraffin-embedded sections) - Anti-CCR4 antibody (AB216560)
  • IHC-P

Supplier Data

Immunohistochemistry (Formalin/PFA-fixed paraffin-embedded sections) - Anti-CCR4 antibody (AB216560)

Immunohistochemistry (Formalin/PFA-fixed paraffin-embedded sections) of Human hepatitides tissue labeling CCR4 with ab216560 at a 1/200 dilution, followed by conjugation to a secondary antibody and DAB staining.

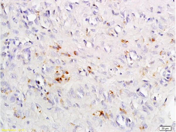
Immunohistochemistry (Formalin/PFA-fixed paraffin-embedded sections) - Anti-CCR4 antibody (AB216560)
  • IHC-P

Supplier Data

Immunohistochemistry (Formalin/PFA-fixed paraffin-embedded sections) - Anti-CCR4 antibody (AB216560)

Immunohistochemistry (Formalin/PFA-fixed paraffin-embedded sections) of Rat exfoliated cell tissue labeling CCR4 with ab216560 at a 1/200 dilution, followed by conjugation to a secondary antibody and DAB staining.

Key facts

Host species

Rabbit

Clonality

Polyclonal

Isotype

IgG

Carrier free

No

Reacts with

Human, Rat

Applications

IHC-P

applications

Immunogen

Synthetic Peptide within Human CCR4 aa 200-250 conjugated to Keyhole Limpet Haemocyanin. The exact immunogen used to generate this antibody is proprietary information.

P51679

Reactivity data

{ "title": "Reactivity Data", "filters": { "stats": ["", "Species", "Dilution Info", "Notes"], "tabs": { "all-applications": {"fullname" : "All Applications", "shortname": "All Applications"}, "IHCP" : {"fullname" : "Immunohistochemistry (Formalin/PFA-fixed paraffin-embedded sections)", "shortname":"IHC-P"} }, "product-promise": { "all": "all", "testedAndGuaranteed": "tested", "guaranteed": "expected", "predicted": "predicted", "notRecommended": "not-recommended" } }, "values": { "Human": { "IHCP-species-checked": "testedAndGuaranteed", "IHCP-species-dilution-info": "1/200 - 1/400", "IHCP-species-notes": "<p></p>" }, "Mouse": { "IHCP-species-checked": "predicted", "IHCP-species-dilution-info": "", "IHCP-species-notes": "" }, "Rat": { "IHCP-species-checked": "testedAndGuaranteed", "IHCP-species-dilution-info": "1/200 - 1/400", "IHCP-species-notes": "<p></p>" } } }

Properties and storage information

Form
Liquid
Purification technique
Affinity purification Protein A
Storage buffer
pH: 7.4 Preservative: 0.02% Proclin 300 Constituents: 50% Glycerol (glycerin, glycerine), 48.98% TBS, 1X, 1% BSA
Shipped at conditions
Blue Ice
Appropriate short-term storage duration
1-2 weeks
Appropriate short-term storage conditions
+4°C
Appropriate long-term storage conditions
-20°C
Aliquoting information
Upon delivery aliquot
Storage information
Avoid freeze / thaw cycle

Supplementary information

This supplementary information is collated from multiple sources and compiled automatically.

CCR4 also known as C-C chemokine receptor type 4 is a G protein-coupled receptor with the molecular mass of approximately 41 kDa. It is predominantly expressed on the surface of T-helper 2 cells regulatory T cells and certain dendritic cells. CCR4 functions by binding chemokines such as CCL17 and CCL22 facilitating chemotaxis of immune cells to sites of inflammation. Researchers often refer to antibodies targeting CCR4 like mogamulizumab when studying immune responses.
Biological function summary

CCR4 plays an important role in the trafficking of immune cells to inflammatory sites therefore regulating immune response and tolerance. It is part of the chemokine receptor family which is integral to the immune system's function. CCR4 helps maintain the balance between effector and regulatory T cells contributing to immunological homeostasis. Its involvement in migration and positioning of immune cells within lymphoid and peripheral tissues highlights its importance in maintaining immune surveillance.

Pathways

CCR4 significantly influences the chemokine signaling pathway which is pivotal in directing the movement and positioning of immune cells. This receptor interacts with key proteins like CCL17 and CCL22 to mediate cell chemotaxis in these pathways. Additionally CCR4 is associated with the T-cell receptor signaling pathway where it coordinates with other receptors and proteins to modulate immune responses.

Increased CCR4 expression has connections with various conditions such as adult T-cell leukemia/lymphoma and cutaneous T-cell lymphomas. In these diseases CCR4 assists tumor cells in evading the immune system fueling disease progression. Proteins like TARC (thymus and activation-regulated chemokine) and MDC (macrophage-derived chemokine) ligands for CCR4 often facilitate tumor cell migration and proliferation. Therapeutic approaches targeting CCR4 such as the anti-CCR4 antibody mogamulizumab have shown potential in treating these malignancies by disrupting these interactions.

Product protocols

For this product, it's our understanding that no specific protocols are required. You can visit:

Target data

High affinity receptor for the C-C type chemokines CCL17/TARC, CCL22/MDC and CKLF isoform 1/CKLF1. The activity of this receptor is mediated by G(i) proteins which activate a phosphatidylinositol-calcium second messenger system. Can function as a chemoattractant homing receptor on circulating memory lymphocytes and as a coreceptor for some primary HIV-2 isolates. In the CNS, could mediate hippocampal-neuron survival.
See full target information CCR4

Publications (4)

Recent publications for all applications. Explore the full list and refine your search

Journal of the National Cancer Center 3:236-249 PubMed39035192

2024

Tumor microenvironment-based signatures distinguish intratumoral heterogeneity, prognosis, and immunogenomic features of clear cell renal cell carcinoma.

Applications

Unspecified application

Species

Unspecified reactive species

Aihetaimujiang Anwaier,Wenhao Xu,Wangrui Liu,Shiyin Wei,Xi Tian,Yuanyuan Qu,Jianfeng Yang,Hailiang Zhang,Dingwei Ye

Liver international : official journal of the International Association for the Study of the Liver 40:1327-1338 PubMed32187823

2020

HBV promotes the recruitment of IL-17 secreting T cells via chemokines CCL22 and CCL17.

Applications

Unspecified application

Species

Unspecified reactive species

Ka Zhang,Yanqiong Liu,Xiaoan Yang,Haixia Sun,Xin Shu,Yeqiong Zhang,Hong Cao,Mengdi Wu,Nan Liu,Yong Zou,Qihuan Xu,Gang Li

Translational research : the journal of laboratory 212:36-53 PubMed31176667

2019

IMM-H004 therapy for permanent focal ischemic cerebral injury via CKLF1/CCR4-mediated NLRP3 inflammasome activation.

Applications

Unspecified application

Species

Unspecified reactive species

Q D Ai,Chen Chen,Shifeng Chu,Zhao Zhang,Yun Luo,Feifei Guan,Meiyu Lin,Dandan Liu,Shasha Wang,Naihong Chen

International journal of molecular sciences 20: PubMed30987181

2019

IMM-H004 Protects against Cerebral Ischemia Injury and Cardiopulmonary Complications via CKLF1 Mediated Inflammation Pathway in Adult and Aged Rats.

Applications

Unspecified application

Species

Unspecified reactive species

Qidi Ai,Chen Chen,Shifeng Chu,Yun Luo,Zhao Zhang,Shuai Zhang,Pengfei Yang,Yan Gao,Xiaoling Zhang,Naihong Chen
View all publications

Product promise

We are committed to supporting your work with high-quality reagents, and we're here for you every step of the way. In the unlikely event that one of our products does not perform as expected, you're protected by our Product Promise.
For full details, please see our Terms & Conditions

Please note: All products are 'FOR RESEARCH USE ONLY. NOT FOR USE IN DIAGNOSTIC OR THERAPEUTIC PROCEDURES'.

For licensing inquiries, please contact partnerships@abcam.com