JavaScript is disabled in your browser. Please enable JavaScript to view this website.
AB7346

Anti-CCR5 antibody

Be the first to review this product! Submit a review

|

(14 Publications)

Rabbit Polyclonal CCR5 antibody. Suitable for WB, IHC-P and reacts with Human samples. Cited in 14 publications. Immunogen corresponding to Synthetic Peptide within Human CCR5 aa 1-50.

View Alternative Names

CD195, CMKBR5, CCR5, C-C chemokine receptor type 5, C-C CKR-5, CC-CKR-5, CCR-5, CHEMR13, HIV-1 fusion coreceptor

4 Images
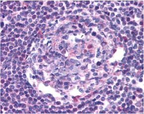
Immunohistochemistry (Formalin/PFA-fixed paraffin-embedded sections) - Anti-CCR5 antibody (AB7346)
  • IHC-P

Supplier Data

Immunohistochemistry (Formalin/PFA-fixed paraffin-embedded sections) - Anti-CCR5 antibody (AB7346)

Immunohistochemistry of CCR5 in human lymph node tissue with ab7346 at 2.5 μg/ml.

Immunohistochemistry (Formalin/PFA-fixed paraffin-embedded sections) - Anti-CCR5 antibody (AB7346)
  • IHC-P

Unknown

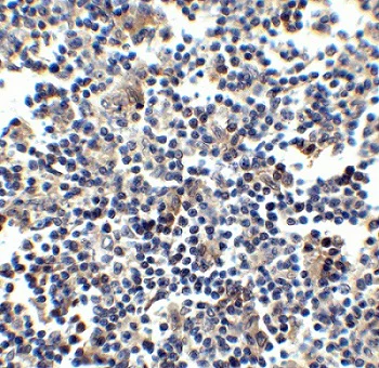
Immunohistochemistry (Formalin/PFA-fixed paraffin-embedded sections) - Anti-CCR5 antibody (AB7346)

ab7346 at 20μg/ml staining CCR5 in human lymph node tissue by IHC

Immunohistochemistry (Formalin/PFA-fixed paraffin-embedded sections) - Anti-CCR5 antibody (AB7346)
  • IHC-P

Supplier Data

Immunohistochemistry (Formalin/PFA-fixed paraffin-embedded sections) - Anti-CCR5 antibody (AB7346)

Immunofluorescence of CCR5 in human lymph node tissue with ab7346 at 20 μg/mL.

Western blot - Anti-CCR5 antibody (AB7346)
  • WB

Unknown

Western blot - Anti-CCR5 antibody (AB7346)

All lanes:

Western blot - Anti-CCR5 antibody (ab7346) at 1/1000 dilution

All lanes:

THP-1 whole cell lysate

Predicted band size: 40 kDa

Observed band size: 40 kDa

false

Key facts

Host species

Rabbit

Clonality

Polyclonal

Isotype

IgG

Carrier free

No

Reacts with

Human

Applications

IHC-P, WB

applications

Immunogen

Synthetic Peptide within Human CCR5 aa 1-50. The exact immunogen used to generate this antibody is proprietary information.

P51681

Specificity

This antibody recognises the N-terminal region of the chemokine receptor CCR5.

Reactivity data

{ "title": "Reactivity Data", "filters": { "stats": ["", "Species", "Dilution Info", "Notes"], "tabs": { "all-applications": {"fullname" : "All Applications", "shortname": "All Applications"}, "WB" : {"fullname" : "Western blot", "shortname":"WB"}, "IHCP" : {"fullname" : "Immunohistochemistry (Formalin/PFA-fixed paraffin-embedded sections)", "shortname":"IHC-P"} }, "product-promise": { "all": "all", "testedAndGuaranteed": "tested", "guaranteed": "expected", "predicted": "predicted", "notRecommended": "not-recommended" } }, "values": { "Human": { "WB-species-checked": "testedAndGuaranteed", "WB-species-dilution-info": "1/1000 - 1/2000", "WB-species-notes": "<p></p>", "IHCP-species-checked": "testedAndGuaranteed", "IHCP-species-dilution-info": "20 µg/mL", "IHCP-species-notes": "<p></p>" } } }

Product details

HIV and chemokine receptor

Properties and storage information

Form
Liquid
Purification technique
Affinity purification
Storage buffer
pH: 7.2 Preservative: 0.02% Sodium azide Constituents: PBS
Shipped at conditions
Blue Ice
Appropriate short-term storage conditions
+4°C
Appropriate long-term storage conditions
-20°C

Supplementary information

This supplementary information is collated from multiple sources and compiled automatically.

CCR5 also known as the C-C chemokine receptor type 5 is a protein that functions as a receptor on the surface of cells predominantly immune cells like T-cells macrophages and dendritic cells. The approximate molecular weight of CCR5 is 40 kDa. This protein belongs to the G-protein-coupled receptor family and it mainly binds to β-chemokines. CCR5 is abundantly expressed in immune tissues such as the spleen thymus and lymph nodes. Researchers often use assays like the CCR5 ELISA kit to detect or quantify its presence in various samples.
Biological function summary

CCR5 acts as a receptor for various chemokines specifically CCL3 CCL4 and CCL5 which are involved in leukocyte trafficking and immune response modulation. It plays an important role in the migration of immune cells to sites of inflammation or injury. This protein does not function in isolation; it sometimes forms part of larger complexes with other cell surface proteins to mediate responses to external signals. For example anti-CCR5 antibodies like 12D1 can modulate its activity and influence immune cell behavior.

Pathways

CCR5 is intricately involved in chemokine signaling pathways and inflammatory response pathways. Through these pathways it interacts with proteins such as CXCR4 and CCR1. CCR5 and CXCR4 another chemokine receptor are well-documented for their role in HIV entry into host cells. These pathways are critical for orchestrating immune cell movement and activating signaling cascades that promote immune defense mechanisms.

CCR5 has a significant association with HIV infection and is a known co-receptor facilitating the virus's entry into immune cells. The presence of mutations like the Δ32 allele in the CCR5 gene provides resistance against HIV infection highlighting its importance in disease dynamics. CCR5 also plays a role in inflammatory diseases such as rheumatoid arthritis where it contributes to the migration of immune cells into joints exacerbating inflammation. In these contexts CCR5 interacts with other inflammatory mediators offering potential therapeutic targets for drug development.

Product protocols

For this product, it's our understanding that no specific protocols are required. You can visit:

Target data

Receptor for a number of inflammatory CC-chemokines including CCL3/MIP-1-alpha, CCL4/MIP-1-beta and RANTES and subsequently transduces a signal by increasing the intracellular calcium ion level. May play a role in the control of granulocytic lineage proliferation or differentiation. Participates in T-lymphocyte migration to the infection site by acting as a chemotactic receptor (PubMed : 30713770).. (Microbial infection) Acts as a coreceptor (CD4 being the primary receptor) of human immunodeficiency virus-1/HIV-1.
See full target information CCR5

Publications (14)

Recent publications for all applications. Explore the full list and refine your search

Science advances 11:eadt6632 PubMed40397747

2025

Astrocyte-derived CCL5-mediated CCR5 neutrophil infiltration drives depression pathogenesis.

Applications

Unspecified application

Species

Unspecified reactive species

Hang Yao,Si-Yuan Jiang,Ying-Ying Jiao,Zhi-Yong Zhou,Zhu Zhu,Cong Wang,Ke-Zhong Zhang,Teng-Fei Ma,Gang Hu,Ren-Hong Du,Ming Lu

International journal of biological sciences 21:2027-2047 PubMed40083697

2025

eNAMPT/Ac-STAT3/DIRAS2 Axis Promotes Development and Cancer Stemness in Triple-Negative Breast Cancer by Enhancing Cytokine Crosstalk Between Tumor-Associated Macrophages and Cancer Cells.

Applications

Unspecified application

Species

Unspecified reactive species

Lifen Zhang,Lu Wang,Ziyao Xu,Xingmei Zhang,Shaoyu Guan,Zhe Liu,Shanzhi Gu,Lin Zhao,Weichao Bai,Tian Li,Xinhan Zhao

Molecular biomedicine 5:68 PubMed39666228

2024

Pentraxin-3 modulates hepatocyte ferroptosis and the innate immune response in LPS-induced liver injury.

Applications

Unspecified application

Species

Unspecified reactive species

Huitong Wang,Zhaojie Su,Yunyun Qian,Baojie Shi,Hao Li,Wenbin An,Yi Xiao,Cheng Qiu,Zhixiang Guo,Jianfa Zhong,Xia Wu,Jiajia Chen,Ying Wang,Wei Zeng,Linghui Zhan,Jie Wang

Theranostics 14:5123-5140 PubMed39267775

2024

EBV-associated epithelial cancers cells promote vasculogenic mimicry formation via a secretory cross-talk with the immune microenvironment.

Applications

Unspecified application

Species

Unspecified reactive species

Tong Xiang,Fengze Sun,Tingting Liu,Jingjing Zhao,Jieying Yang,Dijun Ouyang,Hao Chen,Qian Zhu,Qijing Wang,Yongqiang Li,Jia He,Chaopin Yang,Xinyi Yang,Yuanyuan Chen,Yan Tang,Desheng Weng,Qiuzhong Pan,Qi Yang,Jianchuan Xia

Journal of Crohn's & colitis 17:1988-2001 PubMed37462681

2023

An Intestinal Th17 Subset is Associated with Inflammation in Crohn's Disease and Activated by Adherent-invasive Escherichia coli.

Applications

Unspecified application

Species

Unspecified reactive species

Moira Paroni,Gabriella Leccese,Valeria Ranzani,Giorgia Moschetti,Matteo Chiara,Federica Perillo,Sara Ferri,Francesca Clemente,Daniele Noviello,Francesco Simone Conforti,Stefano Ferrero,Bhavna Karnani,Roberto Bosotti,Chiara Vasco,Serena Curti,Maria Cristina Crosti,Paola Gruarin,Grazisa Rossetti,Maria Pia Conte,Maurizio Vecchi,Massimiliano Pagani,Paolo Landini,Federica Facciotti,Sergio Abrignani,Flavio Caprioli,Jens Geginat

Cancers 15: PubMed37444610

2023

Three-Dimensional Breast Cancer Model to Investigate CCL5/CCR1 Expression Mediated by Direct Contact between Breast Cancer Cells and Adipose-Derived Stromal Cells or Adipocytes.

Applications

Unspecified application

Species

Unspecified reactive species

Martin Watzling,Lorenz Klaus,Tamara Weidemeier,Hannes Horder,Regina Ebert,Torsten Blunk,Petra Bauer-Kreisel

Canadian respiratory journal 2023:8659293 PubMed37200921

2023

MCP-4 and Eotaxin-3 Are Novel Biomarkers for Chronic Obstructive Pulmonary Disease.

Applications

Unspecified application

Species

Unspecified reactive species

Chun Fang,Baoguo Kang,Pan Zhao,Jing Ran,Lifang Wang,Lingqiong Zhao,Hangyu Luo,Ling Tao

Environmental toxicology 38:172-184 PubMed36346222

2022

CCL3-CCR5 axis promotes cell migration and invasion of colon adenocarcinoma via Akt signaling pathway.

Applications

Unspecified application

Species

Unspecified reactive species

Bugao Guan,Hongbo Li,Jian Yao,Jinbao Guo,Fei Yu,Guangrun Li,Benhai Wan,Jun Ma,Desong Huang,Lu Sun,Yan Chen

Frontiers in cell and developmental biology 9:723721 PubMed34490269

2021

Identification of the Immune-Related Genes in Tumor Microenvironment That Associated With the Recurrence of Head and Neck Squamous Cell Carcinoma.

Applications

Unspecified application

Species

Unspecified reactive species

Liu Chengcheng,Qi Wenwen,Gong Ningyue,Zhu Fangyuan,Xu Runtong,Teng Zhenxiao,Xu Fenglei,Qin Yiming,Zhao Miaoqing,Li Xiaoming,Xia Ming

Journal of virology 94: PubMed32350074

2020

Antiapoptotic Clone 11-Derived Peptides Induce Death of CD4 T Cells Susceptible to HIV-1 Infection.

Applications

Unspecified application

Species

Unspecified reactive species

Anastassia Mikhailova,José Carlos Valle-Casuso,Annie David,Valérie Monceaux,Stevenn Volant,Caroline Passaes,Amal Elfidha,Michaela Müller-Trutwin,Jean-Luc Poyet,Asier Sáez-Cirión
View all publications

Product promise

We are committed to supporting your work with high-quality reagents, and we're here for you every step of the way. In the unlikely event that one of our products does not perform as expected, you're protected by our Product Promise.
For full details, please see our Terms & Conditions

Please note: All products are 'FOR RESEARCH USE ONLY. NOT FOR USE IN DIAGNOSTIC OR THERAPEUTIC PROCEDURES'.

For licensing inquiries, please contact partnerships@abcam.com