JavaScript is disabled in your browser. Please enable JavaScript to view this website.
AB287963

Anti-CCR5 antibody [EPR24589-95] - BSA and Azide free

Be the first to review this product! Submit a review

|

(0 Publication)

Rabbit Recombinant Monoclonal CCR5 antibody. Carrier free. Suitable for IHC-P and reacts with Human samples.

View Alternative Names

CD195, CMKBR5, CCR5, C-C chemokine receptor type 5, C-C CKR-5, CC-CKR-5, CCR-5, CHEMR13, HIV-1 fusion coreceptor

6 Images
Immunohistochemistry (Formalin/PFA-fixed paraffin-embedded sections) - Anti-CCR5 antibody [EPR24589-95] - BSA and Azide free (AB287963)
  • IHC-P

Supplier Data

Immunohistochemistry (Formalin/PFA-fixed paraffin-embedded sections) - Anti-CCR5 antibody [EPR24589-95] - BSA and Azide free (AB287963)

This data was developed using ab287959, the same antibody clone in a different buffer formulation.

Immunohistochemical analysis of paraffin-embedded Human tonsil tissue labelling CCR5 with ab287959 at 1/500 (1.178 ug/ml) dilution followed by a ready to use Goat Anti-Rabbit IgG H&L (HRP polymer). Positive staining in human tonsil. The section was incubated with ab287959 at 4°C overnight. Counterstained with Hematoxylin.

Secondary antibody only control : Secondary antibody is a ready to use Goat Anti-Rabbit IgG H&L (HRP polymer).

Heat mediated antigen retrieval using ab93678 (citrate buffer, pH 6.0)

Immunohistochemistry (Formalin/PFA-fixed paraffin-embedded sections) - Anti-CCR5 antibody [EPR24589-95] - BSA and Azide free (AB287963)
  • IHC-P

Supplier Data

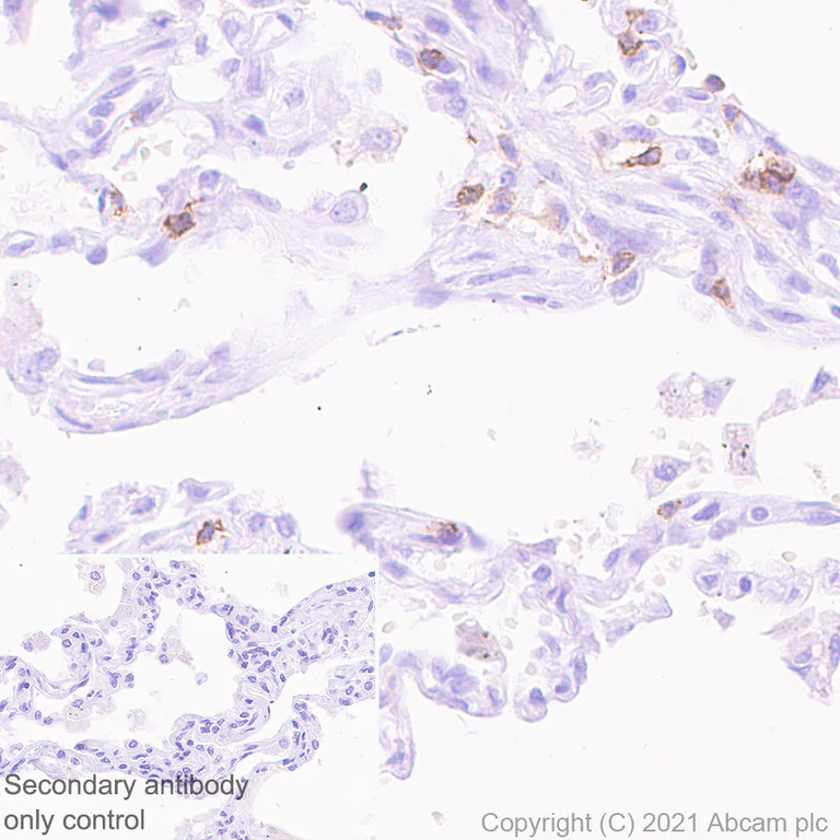
Immunohistochemistry (Formalin/PFA-fixed paraffin-embedded sections) - Anti-CCR5 antibody [EPR24589-95] - BSA and Azide free (AB287963)

This data was developed using ab287959, the same antibody clone in a different buffer formulation.

Immunohistochemical analysis of paraffin-embedded Human lung tissue labelling CCR5 with ab287959 at 1/500 (1.178 ug/ml) dilution followed by a ready to use Goat Anti-Rabbit IgG H&L (HRP polymer). Positive staining in human lung.The section was incubated with ab287959 at 4°C overnight. Counterstained with Hematoxylin.

Secondary antibody only control : Secondary antibody is a ready to use Goat Anti-Rabbit IgG H&L (HRP polymer).

Heat mediated antigen retrieval using ab93678 (citrate buffer, pH 6.0)

Immunohistochemistry (Formalin/PFA-fixed paraffin-embedded sections) - Anti-CCR5 antibody [EPR24589-95] - BSA and Azide free (AB287963)
  • IHC-P

Supplier Data

Immunohistochemistry (Formalin/PFA-fixed paraffin-embedded sections) - Anti-CCR5 antibody [EPR24589-95] - BSA and Azide free (AB287963)

This data was developed using ab287959, the same antibody clone in a different buffer formulation.

Immunohistochemical analysis of paraffin-embedded (A) HEK-293T cells labelling CCR5 with ab287959 at 1/500 (1.178 ug/ml) dilution followed by a ready to use Goat Anti-Rabbit IgG H&L (HRP polymer). Cytoplasmic staining on (A) HEK-293T cells transfected with a CCR5 expression vector containing a GFP tag. No staining on (B) HEK-293T cells transfected with empty vector containing a GFP tag.The section was incubated with ab287959 at 4°C overnight. Counterstained with Hematoxylin.

Secondary antibody only control : Secondary antibody is a ready to use Goat Anti-Rabbit IgG H&L (HRP polymer).

Heat mediated antigen retrieval using ab93678 (citrate buffer, pH 6.0)

Immunohistochemistry (Formalin/PFA-fixed paraffin-embedded sections) - Anti-CCR5 antibody [EPR24589-95] - BSA and Azide free (AB287963)
  • IHC-P

Supplier Data

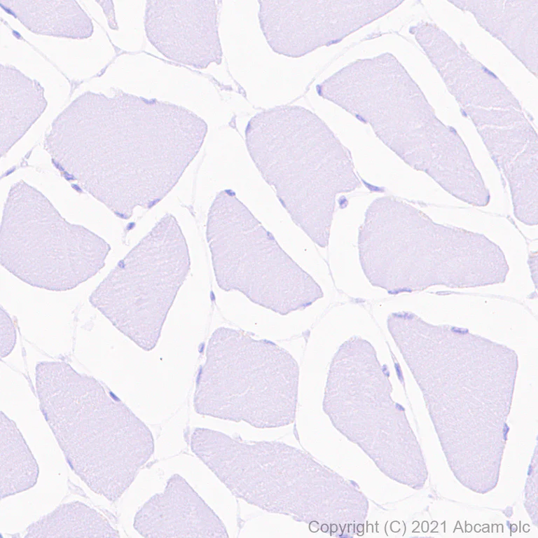
Immunohistochemistry (Formalin/PFA-fixed paraffin-embedded sections) - Anti-CCR5 antibody [EPR24589-95] - BSA and Azide free (AB287963)

This data was developed using ab287959, the same antibody clone in a different buffer formulation.

Immunohistochemical analysis of paraffin-embedded Human skeletal muscl tissue labelling CCR5 with ab287959 at 1/500 (1.178 ug/ml) dilution followed by a ready to use Goat Anti-Rabbit IgG H&L (HRP polymer). Negative control : No staining in human skeletal muscle.The section was incubated with ab287959 at 4°C overnight. Counterstained with Hematoxylin.

Secondary antibody only control : Secondary antibody is a ready to use Goat Anti-Rabbit IgG H&L (HRP polymer).

Heat mediated antigen retrieval using ab93678 (citrate buffer, pH 6.0)

Immunohistochemistry (Formalin/PFA-fixed paraffin-embedded sections) - Anti-CCR5 antibody [EPR24589-95] - BSA and Azide free (AB287963)
  • IHC-P

Supplier Data

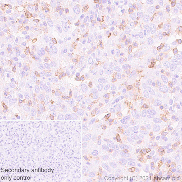
Immunohistochemistry (Formalin/PFA-fixed paraffin-embedded sections) - Anti-CCR5 antibody [EPR24589-95] - BSA and Azide free (AB287963)

This data was developed using ab287959, the same antibody clone in a different buffer formulation.

Immunohistochemical analysis of paraffin-embedded Human cervical cance tissue labelling CCR5 with ab287959 at 1/500 (1.178 ug/ml) dilution followed by a ready to use Goat Anti-Rabbit IgG H&L (HRP polymer). Positive staining in human cervical cancer.The section was incubated with ab287959 at 4°C overnight. Counterstained with Hematoxylin.

Secondary antibody only control : Secondary antibody is a ready to use Goat Anti-Rabbit IgG H&L (HRP polymer).

Heat mediated antigen retrieval using ab93678 (citrate buffer, pH 6.0)

Immunohistochemistry (Formalin/PFA-fixed paraffin-embedded sections) - Anti-CCR5 antibody [EPR24589-95] - BSA and Azide free (AB287963)
  • IHC-P

Supplier Data

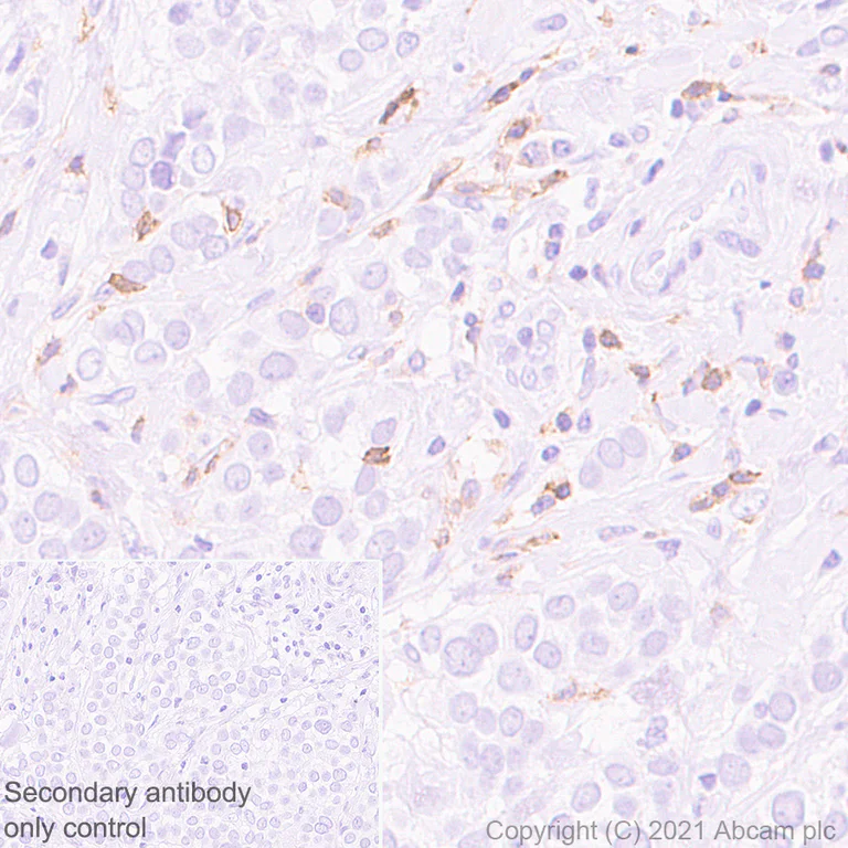
Immunohistochemistry (Formalin/PFA-fixed paraffin-embedded sections) - Anti-CCR5 antibody [EPR24589-95] - BSA and Azide free (AB287963)

This data was developed using ab287959, the same antibody clone in a different buffer formulation.

Immunohistochemical analysis of paraffin-embedded Human breast cancer tissue labelling CCR5 with ab287959 at 1/500 (1.178 ug/ml) dilution followed by a ready to use Goat Anti-Rabbit IgG H&L (HRP polymer). Positive staining on immune cells of human breast cancer.The section was incubated with ab287959 at 4°C overnight. Counterstained with Hematoxylin.

Secondary antibody only control : Secondary antibody is a ready to use Goat Anti-Rabbit IgG H&L (HRP polymer).

Heat mediated antigen retrieval using ab93678 (citrate buffer, pH 6.0)

Key facts

Host species

Rabbit

Clonality

Monoclonal

Clone number

EPR24589-95

Isotype

IgG

Carrier free

Yes

Reacts with

Human

Applications

IHC-P

applications

Immunogen

The exact immunogen used to generate this antibody is proprietary information.

Reactivity data

{ "title": "Reactivity Data", "filters": { "stats": ["", "Species", "Dilution Info", "Notes"], "tabs": { "all-applications": {"fullname" : "All Applications", "shortname": "All Applications"}, "IHCP" : {"fullname" : "Immunohistochemistry (Formalin/PFA-fixed paraffin-embedded sections)", "shortname":"IHC-P"}, "WB" : {"fullname" : "Western blot", "shortname":"WB"}, "IP" : {"fullname" : "Immunoprecipitation", "shortname":"IP"} }, "product-promise": { "all": "all", "testedAndGuaranteed": "tested", "guaranteed": "expected", "predicted": "predicted", "notRecommended": "not-recommended" } }, "values": { "Human": { "IHCP-species-checked": "testedAndGuaranteed", "IHCP-species-dilution-info": "", "IHCP-species-notes": "<p></p>", "WB-species-checked": "notRecommended", "WB-species-dilution-info": "", "WB-species-notes": "<p></p>", "IP-species-checked": "notRecommended", "IP-species-dilution-info": "", "IP-species-notes": "<p></p>" }, "Mouse": { "IHCP-species-checked": "notRecommended", "IHCP-species-dilution-info": "", "IHCP-species-notes": "<p></p>", "WB-species-checked": "notRecommended", "WB-species-dilution-info": "", "WB-species-notes": "<p></p>", "IP-species-checked": "notRecommended", "IP-species-dilution-info": "", "IP-species-notes": "" }, "Rat": { "IHCP-species-checked": "notRecommended", "IHCP-species-dilution-info": "", "IHCP-species-notes": "<p></p>", "WB-species-checked": "notRecommended", "WB-species-dilution-info": "", "WB-species-notes": "<p></p>", "IP-species-checked": "notRecommended", "IP-species-dilution-info": "", "IP-species-notes": "" } } }

Product details

ab287963 is the carrier-free version of ab287959.

Patented technology
Our RabMAb® technology is a patented hybridoma-based technology for making rabbit monoclonal antibodies. For details on our patents, please refer to RabMAb® patents.

What are the advantages of a recombinant monoclonal antibody?
This product is a recombinant monoclonal antibody, which offers several advantages including:

  • - High batch-to-batch consistency and reproducibility
  • - Improved sensitivity and specificity
  • - Long-term security of supply
  • - Animal-free batch production

For more information, read more on recombinant antibodies.

Conjugation ready
Our carrier-free antibodies are typically supplied in a PBS-only formulation, purified and free of BSA, sodium azide and glycerol. This conjugation-ready format is designed for use with fluorochromes, metal isotopes, oligonucleotides, and enzymes, which makes them ideal for antibody labelling, functional and cell-based assays, flow-based assays (e.g. mass cytometry) and Multiplex Imaging applications.

Use our conjugation kits for antibody conjugates that are ready-to-use in as little as 20 minutes with 1 minute hands-on-time and 100% antibody recovery: available for fluorescent dyes, HRP, biotin and gold.

Compatibility
This product is compatible with the Maxpar® Antibody Labeling Kit from Fluidigm, without the need for antibody preparation. Maxpar® is a trademark of Fluidigm Canada Inc.

Properties and storage information

Form
Liquid
Purification technique
Affinity purification Protein A
Storage buffer
pH: 7.2 - 7.4 Constituents: PBS
Shipped at conditions
Blue Ice
Appropriate short-term storage conditions
+4°C
Appropriate long-term storage conditions
+4°C

Supplementary information

This supplementary information is collated from multiple sources and compiled automatically.

CCR5 also known as the C-C chemokine receptor type 5 is a protein that functions as a receptor on the surface of cells predominantly immune cells like T-cells macrophages and dendritic cells. The approximate molecular weight of CCR5 is 40 kDa. This protein belongs to the G-protein-coupled receptor family and it mainly binds to β-chemokines. CCR5 is abundantly expressed in immune tissues such as the spleen thymus and lymph nodes. Researchers often use assays like the CCR5 ELISA kit to detect or quantify its presence in various samples.
Biological function summary

CCR5 acts as a receptor for various chemokines specifically CCL3 CCL4 and CCL5 which are involved in leukocyte trafficking and immune response modulation. It plays an important role in the migration of immune cells to sites of inflammation or injury. This protein does not function in isolation; it sometimes forms part of larger complexes with other cell surface proteins to mediate responses to external signals. For example anti-CCR5 antibodies like 12D1 can modulate its activity and influence immune cell behavior.

Pathways

CCR5 is intricately involved in chemokine signaling pathways and inflammatory response pathways. Through these pathways it interacts with proteins such as CXCR4 and CCR1. CCR5 and CXCR4 another chemokine receptor are well-documented for their role in HIV entry into host cells. These pathways are critical for orchestrating immune cell movement and activating signaling cascades that promote immune defense mechanisms.

CCR5 has a significant association with HIV infection and is a known co-receptor facilitating the virus's entry into immune cells. The presence of mutations like the Δ32 allele in the CCR5 gene provides resistance against HIV infection highlighting its importance in disease dynamics. CCR5 also plays a role in inflammatory diseases such as rheumatoid arthritis where it contributes to the migration of immune cells into joints exacerbating inflammation. In these contexts CCR5 interacts with other inflammatory mediators offering potential therapeutic targets for drug development.

Product protocols

For this product, it's our understanding that no specific protocols are required. You can visit:

Target data

Receptor for a number of inflammatory CC-chemokines including CCL3/MIP-1-alpha, CCL4/MIP-1-beta and RANTES and subsequently transduces a signal by increasing the intracellular calcium ion level. May play a role in the control of granulocytic lineage proliferation or differentiation. Participates in T-lymphocyte migration to the infection site by acting as a chemotactic receptor (PubMed : 30713770).. (Microbial infection) Acts as a coreceptor (CD4 being the primary receptor) of human immunodeficiency virus-1/HIV-1.
See full target information CCR5

Product promise

We are committed to supporting your work with high-quality reagents, and we're here for you every step of the way. In the unlikely event that one of our products does not perform as expected, you're protected by our Product Promise.
For full details, please see our Terms & Conditions

Please note: All products are 'FOR RESEARCH USE ONLY. NOT FOR USE IN DIAGNOSTIC OR THERAPEUTIC PROCEDURES'.

For licensing inquiries, please contact partnerships@abcam.com