JavaScript is disabled in your browser. Please enable JavaScript to view this website.
AB243852

Anti-CCR6 antibody [EPR22259] - BSA and Azide free

4

(1 Review)

|

(4 Publications)

Rabbit Recombinant Monoclonal CCR6 antibody. Carrier free. Suitable for I-ELISA, IP, WB, IHC-P and reacts with Synthetic peptide - Human, Human samples. Cited in 4 publications.

View Alternative Names

CD196, CKRL3, CMKBR6, GPR29, STRL22, CCR6, C-C chemokine receptor type 6, C-C CKR-6, CC-CKR-6, CCR-6, Chemokine receptor-like 3, DRY6, G-protein coupled receptor 29, GPR-CY4, LARC receptor, CKR-L3, GPRCY4

5 Images
Immunohistochemistry (Formalin/PFA-fixed paraffin-embedded sections) - Anti-CCR6 antibody [EPR22259] - BSA and Azide free (AB243852)
  • IHC-P

Lab

Immunohistochemistry (Formalin/PFA-fixed paraffin-embedded sections) - Anti-CCR6 antibody [EPR22259] - BSA and Azide free (AB243852)

This data was developed using the same antibody clone in a different buffer formulation containing PBS, BSA, glycerol, and sodium azide (ab227036).

Tissue Microarrays stained for CCR6 using ab227036 in immunohistochemical analysis. This table provides a detailed overview of positive (tick mark) and negative (cross mark) staining per sample type tested. The sections were pre-treated using Heat mediated antigen retrieval using Bond™ Epitope Retrieval Solution 2 (pH 9.0) for 20 minutes. The sections were incubated with ab227036 for 30 mins at 37°C followed by a ready to use Rabbit specific IHC polymer detection kit HRP/DAB (ab209101). The immunostaining was performed on a Leica Biosystems BOND® RX instrument.

Immunohistochemistry (Formalin/PFA-fixed paraffin-embedded sections) - Anti-CCR6 antibody [EPR22259] - BSA and Azide free (AB243852)
  • IHC-P

Supplier Data

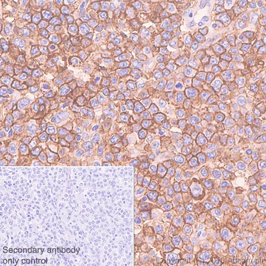
Immunohistochemistry (Formalin/PFA-fixed paraffin-embedded sections) - Anti-CCR6 antibody [EPR22259] - BSA and Azide free (AB243852)

Immunohistochemical analysis of paraffin-embedded human Hodgkin's lymphoma tissue labeling CCR6 with ab227036 at 1/1000 dilution, followed by the ready to use Rabbit specific IHC polymer detection kit HRP/DAB (ab209101). Membranous staining on human Hodgkin's lymphoma (PMID : 12514792) is observed. Counterstained with hematoxylin.

Secondary antibody only control : Used PBS instead of primary antibody, secondary antibody is the ready to use Rabbit specific IHC polymer detection kit HRP/DAB (ab209101).

Heat mediated antigen retrieval with Tris-EDTA buffer (pH 9.0, epitope retrieval solution 2) for 20 mins.

The section was incubated with ab227036 for 30 mins at 37°C. The immunostaining was performed on a Leica Biosystems BOND® RX instrument.

This data was developed using the same antibody clone in a different buffer formulation containing PBS, BSA, glycerol, and sodium azide (ab227036).

Immunohistochemistry (Formalin/PFA-fixed paraffin-embedded sections) - Anti-CCR6 antibody [EPR22259] - BSA and Azide free (AB243852)
  • IHC-P

Supplier Data

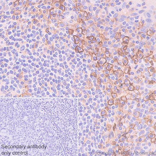
Immunohistochemistry (Formalin/PFA-fixed paraffin-embedded sections) - Anti-CCR6 antibody [EPR22259] - BSA and Azide free (AB243852)

Immunohistochemical analysis of paraffin-embedded human tonsil tissue labeling CCR6 with ab227036 at 1/1000 dilution, followed by the ready to use Rabbit specific IHC polymer detection kit HRP/DAB (ab209101). Membranous staining on human tonsil (PMID : 12514792) is observed. Counterstained with hematoxylin.

Secondary antibody only control : Used PBS instead of primary antibody, secondary antibody is the ready to use Rabbit specific IHC polymer detection kit HRP/DAB (ab209101).

The section was incubated with ab227036 for 30 mins at 37°C. The immunostaining was performed on a Leica Biosystems BOND® RX instrument.

Heat mediated antigen retrieval with Tris-EDTA buffer (pH 9.0, epitope retrieval solution 2) for 20 mins.

This data was developed using the same antibody clone in a different buffer formulation containing PBS, BSA, glycerol, and sodium azide (ab227036).

Immunoprecipitation - Anti-CCR6 antibody [EPR22259] - BSA and Azide free (AB243852)
  • IP

Supplier Data

Immunoprecipitation - Anti-CCR6 antibody [EPR22259] - BSA and Azide free (AB243852)

CCR6 was immunoprecipitated from 0.35 mg HL-60 (Human acute promyelocytic leukemia promyeloblast) whole cell lysate with ab227036 at 1/30 dilution. Western blot was performed on the immunoprecipitate using ab227036 at 1/500 dilution. VeriBlot for IP Detection Reagent (HRP) (ab131366) was used for detection at 1/1000 dilution.

Lane 1 : HL-60 whole cell lysate 10 μg (input).
Lane 2 : ab227036 IP in HL-60 whole cell lysate.
Lane 3 : Rabbit monoclonal IgG (ab172730) instead of ab227036 in HL-60 whole cell lysate.

Blocking and dilution buffer and concentration : 5% NFDM/TBST.
Exposure time : 1 second.

This data was developed using the same antibody clone in a different buffer formulation containing PBS, BSA, glycerol, and sodium azide (ab227036).

All lanes:

Immunoprecipitation - Anti-CCR6 antibody [EPR22259] (<a href='/en-us/products/primary-antibodies/ccr6-antibody-epr22259-ab227036'>ab227036</a>)

Predicted band size: 42 kDa

false

Indirect ELISA - Anti-CCR6 antibody [EPR22259] - BSA and Azide free (AB243852)
  • I-ELISA

Lab

Indirect ELISA - Anti-CCR6 antibody [EPR22259] - BSA and Azide free (AB243852)

This data was developed using the same antibody clone in a different buffer formulation containing PBS, BSA, glycerol, and sodium azide (ab227036). Indirect ELISA showing primary antibody ab227036 binding to Human CCR6. Antigen concentration is 1000 ng/ml. Binding of ab227036 was assessed in a serial dilution range 1000-0 ng/ml. Binding was detected using the secondary antibody, Alkaline Phosphatase-conjugated AffiniPure Goat Anti-Rabbit IgG(H+L) at 1/2500 dilution.

Key facts

Host species

Rabbit

Clonality

Monoclonal

Clone number

EPR22259

Isotype

IgG

Carrier free

Yes

Reacts with

Human

Applications

IHC-P, IP, I-ELISA, WB

applications

Immunogen

The exact immunogen used to generate this antibody is proprietary information.

Reactivity data

{ "title": "Reactivity Data", "filters": { "stats": ["", "Species", "Dilution Info", "Notes"], "tabs": { "all-applications": {"fullname" : "All Applications", "shortname": "All Applications"}, "IELISA" : {"fullname" : "Indirect ELISA", "shortname":"I-ELISA"}, "IP" : {"fullname" : "Immunoprecipitation", "shortname":"IP"}, "FlowCyt" : {"fullname" : "Flow Cytometry", "shortname":"Flow Cyt"}, "WB" : {"fullname" : "Western blot", "shortname":"WB"}, "ICCIF" : {"fullname" : "Immunocytochemistry/ Immunofluorescence", "shortname":"ICC/IF"}, "IHCP" : {"fullname" : "Immunohistochemistry (Formalin/PFA-fixed paraffin-embedded sections)", "shortname":"IHC-P"} }, "product-promise": { "all": "all", "testedAndGuaranteed": "tested", "guaranteed": "expected", "predicted": "predicted", "notRecommended": "not-recommended" } }, "values": { "Human": { "IELISA-species-checked": "guaranteed", "IELISA-species-dilution-info": "", "IELISA-species-notes": "", "IP-species-checked": "testedAndGuaranteed", "IP-species-dilution-info": "", "IP-species-notes": "<p></p>", "FlowCyt-species-checked": "notRecommended", "FlowCyt-species-dilution-info": "", "FlowCyt-species-notes": "<p></p>", "WB-species-checked": "guaranteed", "WB-species-dilution-info": "", "WB-species-notes": "<p></p>", "ICCIF-species-checked": "notRecommended", "ICCIF-species-dilution-info": "", "ICCIF-species-notes": "<p></p>", "IHCP-species-checked": "testedAndGuaranteed", "IHCP-species-dilution-info": "", "IHCP-species-notes": "<p></p> Perform heat-mediated antigen retrieval with Tris/EDTA buffer pH 9.0 before commencing with IHC staining protocol." }, "Synthetic peptide - Human": { "IELISA-species-checked": "testedAndGuaranteed", "IELISA-species-dilution-info": "", "IELISA-species-notes": "<p></p>", "IP-species-checked": "notRecommended", "IP-species-dilution-info": "", "IP-species-notes": "", "FlowCyt-species-checked": "notRecommended", "FlowCyt-species-dilution-info": "", "FlowCyt-species-notes": "", "WB-species-checked": "notRecommended", "WB-species-dilution-info": "", "WB-species-notes": "", "ICCIF-species-checked": "notRecommended", "ICCIF-species-dilution-info": "", "ICCIF-species-notes": "", "IHCP-species-checked": "notRecommended", "IHCP-species-dilution-info": "", "IHCP-species-notes": "" } } }

Product details

ab243852 is the carrier-free version of ab227036.

Patented technology
Our RabMAb® technology is a patented hybridoma-based technology for making rabbit monoclonal antibodies. For details on our patents, please refer to RabMAb® patents.

What are the advantages of a recombinant monoclonal antibody?
This product is a recombinant monoclonal antibody, which offers several advantages including:

  • - High batch-to-batch consistency and reproducibility
  • - Improved sensitivity and specificity
  • - Long-term security of supply
  • - Animal-free batch production

For more information, read more on recombinant antibodies.

Conjugation ready
Our carrier-free antibodies are typically supplied in a PBS-only formulation, purified and free of BSA, sodium azide and glycerol. This conjugation-ready format is designed for use with fluorochromes, metal isotopes, oligonucleotides, and enzymes, which makes them ideal for antibody labelling, functional and cell-based assays, flow-based assays (e.g. mass cytometry) and Multiplex Imaging applications.

Use our conjugation kits for antibody conjugates that are ready-to-use in as little as 20 minutes with 1 minute hands-on-time and 100% antibody recovery: available for fluorescent dyes, HRP, biotin and gold.

Compatibility
This product is compatible with the Maxpar® Antibody Labeling Kit from Fluidigm, without the need for antibody preparation. Maxpar® is a trademark of Fluidigm Canada Inc.

Properties and storage information

Form
Liquid
Purification technique
Affinity purification Protein A
Storage buffer
pH: 7.2 - 7.4 Constituents: PBS
Shipped at conditions
Blue Ice
Appropriate short-term storage conditions
+4°C
Appropriate long-term storage conditions
+4°C
Storage information
Do Not Freeze

Supplementary information

This supplementary information is collated from multiple sources and compiled automatically.

CCR6 also known as CD196 is a chemokine receptor with a molecular mass of approximately 44 kDa. This protein is primarily expressed on the surface of various immune cells including T cells B cells and dendritic cells. Through its interaction with its only known ligand CCL20 also known as MIP-3α CCR6 mediates chemotaxis which guides the targeted migration of cells to sites of inflammation or injury. In murine models (mouse) CCR6 expression helps researchers examine immune responses in vivo and its presence is detected using recombinant proteins or antibodies specific for CCR6 such as 'CCR6 antibodies' with techniques including flow cytometry utilizing labels like CCR6-APC or CCR6-fluorochrome.
Biological function summary

CCR6 plays an essential role in the regulation of immune responses and maintaining mucosal immunity. It is involved in the recruitment of Th17 cells and dendritic cells to inflamed tissues which plays a critical role in initiating and sustaining immune responses. While CCR6 operates primarily as a standalone receptor its engagement influences diverse cellular functions linked to immune surveillance and tolerance. This receptor's expression on lymphoid tissue inducer cells indicates its relevance in the formation of secondary lymphoid organs and in dynamic interactions within the immune system.

Pathways

CCR6 is a significant component in pathways related to immune cell trafficking and inflammatory responses particularly the MAPK/ERK pathway and the JAK/STAT pathway. In these pathways CCR6 often interacts with related proteins such as CCL20 and other chemokine receptors facilitating cellular migration and activation processes. These interactions underpin the migration of regulatory T cells and B cells which modulate inflammation and affect pathogen clearance ensuring a controlled immune response.

CCR6 has links to conditions such as autoimmune diseases with rheumatoid arthritis and inflammatory bowel disease being notable examples. In rheumatoid arthritis the dysregulated expression of CCR6 attracts Th17 cells into synovial tissues promoting inflammation. Meanwhile inflammatory bowel disease shows a similar pattern of CCR6-mediated chemotaxis that encourages Th17 cell recruitment. In these contexts CCR6 cooperates with other immune mediators like CCL20 to perpetuate disease-related inflammatory processes highlighting its potential as a therapeutic target in immune modulation.

Product protocols

For this product, it's our understanding that no specific protocols are required. You can visit:

Target data

Receptor for the C-C type chemokine CCL20 (PubMed : 9169459). Binds to CCL20 and subsequently transduces a signal by increasing the intracellular calcium ion levels (PubMed : 20068036). Although CCL20 is its major ligand it can also act as a receptor for non-chemokine ligands such as beta-defensins (PubMed : 25585877). Binds to defensin DEFB1 leading to increase in intracellular calcium ions and cAMP levels. Its binding to DEFB1 is essential for the function of DEFB1 in regulating sperm motility and bactericidal activity (PubMed : 25122636). Binds to defensins DEFB4 and DEFB4A/B and mediates their chemotactic effects (PubMed : 20068036). The ligand-receptor pair CCL20-CCR6 is responsible for the chemotaxis of dendritic cells (DC), effector/ memory T-cells and B-cells and plays an important role at skin and mucosal surfaces under homeostatic and inflammatory conditions, as well as in pathology, including cancer and various autoimmune diseases. CCR6-mediated signals are essential for immune responses to microbes in the intestinal mucosa and in the modulation of inflammatory responses initiated by tissue insult and trauma (PubMed : 21376174). CCR6 is essential for the recruitment of both the pro-inflammatory IL17 producing helper T-cells (Th17) and the regulatory T-cells (Treg) to sites of inflammation. Required for the normal migration of Th17 cells in Peyers-patches and other related tissue sites of the intestine and plays a role in regulating effector T-cell balance and distribution in inflamed intestine. Plays an important role in the coordination of early thymocyte precursor migration events important for normal subsequent thymocyte precursor development, but is not required for the formation of normal thymic natural regulatory T-cells (nTregs). Required for optimal differentiation of DN2 and DN3 thymocyte precursors. Essential for B-cell localization in the subepithelial dome of Peyers-patches and for efficient B-cell isotype switching to IgA in the Peyers-patches. Essential for appropriate anatomical distribution of memory B-cells in the spleen and for the secondary recall response of memory B-cells (By similarity). Positively regulates sperm motility and chemotaxis via its binding to CCL20 (PubMed : 23765988).
See full target information CCR6

Publications (4)

Recent publications for all applications. Explore the full list and refine your search

Frontiers in immunology 14:1162669 PubMed37207208

2023

Naproxen chemoprevention induces proliferation of cytotoxic lymphocytes in Lynch Syndrome colorectal mucosa.

Applications

Unspecified application

Species

Unspecified reactive species

Charles M Bowen,Nan Deng,Laura Reyes-Uribe,Edwin Roger Parra,Pedro Rocha,Luisa M Solis,Ignacio I Wistuba,Valerie O Sepeda,Lana Vornik,Marjorie Perloff,Eva Szabo,Asad Umar,Krishna M Sinha,Powel H Brown,Eduardo Vilar

Cancer cell 41:871-886.e10 PubMed37059105

2023

Lymphocyte networks are dynamic cellular communities in the immunoregulatory landscape of lung adenocarcinoma.

Applications

Unspecified application

Species

Unspecified reactive species

Giorgio Gaglia,Megan L Burger,Cecily C Ritch,Danae Rammos,Yang Dai,Grace E Crossland,Sara Z Tavana,Simon Warchol,Alex M Jaeger,Santiago Naranjo,Shannon Coy,Ajit J Nirmal,Robert Krueger,Jia-Ren Lin,Hanspeter Pfister,Peter K Sorger,Tyler Jacks,Sandro Santagata

Cell 184:4996-5014.e26 PubMed34534464

2021

Antigen dominance hierarchies shape TCF1 progenitor CD8 T cell phenotypes in tumors.

Applications

Unspecified application

Species

Unspecified reactive species

Megan L Burger,Amanda M Cruz,Grace E Crossland,Giorgio Gaglia,Cecily C Ritch,Sarah E Blatt,Arjun Bhutkar,David Canner,Tamina Kienka,Sara Z Tavana,Alexia L Barandiaran,Andrea Garmilla,Jason M Schenkel,Michelle Hillman,Izumi de Los Rios Kobara,Amy Li,Alex M Jaeger,William L Hwang,Peter M K Westcott,Michael P Manos,Marta M Holovatska,F Stephen Hodi,Aviv Regev,Sandro Santagata,Tyler Jacks

Immunology 57:231-7 PubMed2936678

1986

MRC OX-43: a monoclonal antibody which reacts with all vascular endothelium in the rat except that of brain capillaries.

Applications

Unspecified application

Species

Unspecified reactive species

A P Robinson,T M White,D W Mason
View all publications

Product promise

We are committed to supporting your work with high-quality reagents, and we're here for you every step of the way. In the unlikely event that one of our products does not perform as expected, you're protected by our Product Promise.
For full details, please see our Terms & Conditions

Please note: All products are 'FOR RESEARCH USE ONLY. NOT FOR USE IN DIAGNOSTIC OR THERAPEUTIC PROCEDURES'.

For licensing inquiries, please contact partnerships@abcam.com