JavaScript is disabled in your browser. Please enable JavaScript to view this website.
AB140796

Anti-CCR8 antibody

Be the first to review this product! Submit a review

|

(1 Publication)

Rabbit Polyclonal CCR8 antibody. Suitable for IHC-P and reacts with Human samples. Cited in 1 publication. Immunogen corresponding to Synthetic Peptide within Human CCR8 aa 1-50.

View Alternative Names

CDw198, CKRL1, CMKBR8, CMKBRL2, CCR8, C-C chemokine receptor type 8, C-C CKR-8, CC-CKR-8, CCR-8, CC chemokine receptor CHEMR1, Chemokine receptor-like 1, GPR-CY6, TER1, CKR-L1, GPRCY6

1 Images
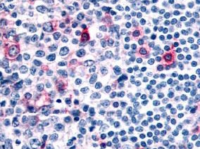
Immunohistochemistry (Formalin/PFA-fixed paraffin-embedded sections) - Anti-CCR8 antibody (AB140796)
  • IHC-P

Unknown

Immunohistochemistry (Formalin/PFA-fixed paraffin-embedded sections) - Anti-CCR8 antibody (AB140796)

Immunohistochemical analysis of paraffin-embedded Human tonsil tissue, germinal center and mantle zone, labelling CCR8 with ab140796 at 28 µg/ml (after heat-induced antigen retrieval).

Key facts

Host species

Rabbit

Clonality

Polyclonal

Isotype

IgG

Carrier free

No

Reacts with

Human

Applications

IHC-P

applications

Immunogen

Synthetic Peptide within Human CCR8 aa 1-50. The exact immunogen used to generate this antibody is proprietary information.

P51685

Specificity

BLAST analysis of the peptide immunogen showed no homology with other Human proteins.

Reactivity data

{ "title": "Reactivity Data", "filters": { "stats": ["", "Species", "Dilution Info", "Notes"], "tabs": { "all-applications": {"fullname" : "All Applications", "shortname": "All Applications"}, "IHCP" : {"fullname" : "Immunohistochemistry (Formalin/PFA-fixed paraffin-embedded sections)", "shortname":"IHC-P"} }, "product-promise": { "all": "all", "testedAndGuaranteed": "tested", "guaranteed": "expected", "predicted": "predicted", "notRecommended": "not-recommended" } }, "values": { "Human": { "IHCP-species-checked": "testedAndGuaranteed", "IHCP-species-dilution-info": "28 µg/mL", "IHCP-species-notes": "<p></p> Perform heat-mediated antigen retrieval before commencing with IHC staining protocol." } } }

Properties and storage information

Form
Liquid
Purification technique
Affinity purification Immunogen
Storage buffer
pH: 7.4 Preservative: 0.1% Sodium azide Constituents: PBS
Shipped at conditions
Blue Ice
Appropriate short-term storage conditions
+4°C
Appropriate long-term storage conditions
-20°C
Aliquoting information
Upon delivery aliquot
Storage information
Avoid freeze / thaw cycle

Supplementary information

This supplementary information is collated from multiple sources and compiled automatically.

The CC chemokine receptor 8 abbreviated as CCR8 is a G protein-coupled receptor with an approximate molecular mass of 41 kDa. It is also known as CDw198. Expression of CCR8 protein is observed mainly in T cells particularly CD4+ T cells and natural killer cells. Antibody against CCR8 like anti-CCR8 can be used to study the expression of this receptor in tissues via immunohistochemistry (IHC) which may be referred to as CCR8 IHC.
Biological function summary

CCR8 plays a role in immune cell signaling and migration. This receptor interacts with its ligand CCL1 to mediate chemotaxis guiding cells to sites of inflammation or injury. CCR8 forms a part of the immune response machinery facilitating communication between cells. Through these interactions it influences the function of various immune cells such as regulatory T cells and supports the maintenance of immune homeostasis.

Pathways

CCR8 is involved in chemokine signaling pathways that regulate immune responses. It operates within the broader context of the chemokine receptor family including receptors like CCR4. These pathways are important for directing lymphocyte migration and are implicated in inflammation and immune surveillance processes. The engagement of CCR8 modulates downstream signaling events that influence T cell differentiation and immune cell recruitment.

Alterations in CCR8 expression or function relate to inflammatory diseases and certain cancers. Aberrant expression of CCR8 associates with disorders such as autoimmune diseases and Hodgkin's lymphoma. In cancer the cross-talk between CCR8 and its ligands can promote a protumorigenic environment aiding tumor progression. Connections exist between CCR8 and other receptors like CCR4 in these pathologies highlighting its role in disease development and potential as a therapeutic target.

Product protocols

For this product, it's our understanding that no specific protocols are required. You can visit:

Target data

G protein-coupled receptor that can bind a variety of chemokines, such as CCL1, CCL8, CCL16, CCL18 (PubMed : 23999500, PubMed : 35041514). Regulates monocyte and eosinophil chemotaxis. Undergoes internalization upon CCL18 binding, leading to induced migration and calcium flux of highly polarized Th2 cells (PubMed : 23999500). In microglial cells, promotes phagocytosis with CCL18 through NF-kappa-B and Src signaling pathways (PubMed : 35041514). Stimulation of the CCL1-CCR8 signaling axis protects the gut from acute intestinal damage (By similarity).. (Microbial infection) Acts as a coreceptor for HIV-1 and HIV-2 viruses.. (Microbial infection) Acts as a receptor for Kaposi virus protein vCCL1/K6 and thereby inhibits apoptosis in the targeted cells.
See full target information CCR8

Publications (1)

Recent publications for all applications. Explore the full list and refine your search

Oncotarget 7:8413-21 PubMed26716905

2015

Positive intratumoral chemokine (C-C motif) receptor 8 expression predicts high recurrence risk of post-operation clear-cell renal cell carcinoma patients.

Applications

Unspecified application

Species

Unspecified reactive species

Qiang Fu,Yuan Chang,Lin Zhou,Huimin An,Yu Zhu,Le Xu,Weijuan Zhang,Jiejie Xu
View all publications

Product promise

We are committed to supporting your work with high-quality reagents, and we're here for you every step of the way. In the unlikely event that one of our products does not perform as expected, you're protected by our Product Promise.
For full details, please see our Terms & Conditions

Please note: All products are 'FOR RESEARCH USE ONLY. NOT FOR USE IN DIAGNOSTIC OR THERAPEUTIC PROCEDURES'.

For licensing inquiries, please contact partnerships@abcam.com