JavaScript is disabled in your browser. Please enable JavaScript to view this website.
AB313773

Anti-CCR9 antibody [EPR26524-59]

  • BOND RX™ Validated
  • 20ul selling size
  • RabMAb
  • Recombinant
  • What is this?

Be the first to review this product! Submit a review

|

(0 Publication)

Rabbit Recombinant Monoclonal CCR9 antibody. Suitable for IHC-P, Flow Cyt, ICC/IF, WB and reacts with Human, Mouse, Rat samples.

View Alternative Names

CDw199, GPR28, CCR9, C-C chemokine receptor type 9, C-C CKR-9, CC-CKR-9, CCR-9, G-protein coupled receptor 28, GPR-9-6

11 Images
Flow Cytometry - Anti-CCR9 antibody [EPR26524-59] (AB313773)
  • Flow Cyt

Supplier Data

Flow Cytometry - Anti-CCR9 antibody [EPR26524-59] (AB313773)

Flow cytometric analysis of Jurkat (human T cell leukemia T lymphocyte from peripheral blood, Left) / MOLT-4 (human lymphoblastic leukemia T lymphoblast, Right) cells labelling CCR9 with ab313773 at 1/50 dilution (1 ug)/Red compared with a Rabbit monoclonal IgG (ab172730) (Black) isotype control and an unlabelled control (cells without incubation with primary antibody and secondary antibody) (Blue). Goat Anti-Rabbit IgG (Alexa Fluor® 488, ab150081) at 1/5000 dilution was used as the secondary antibody. Negative control : Jurkat (PMID : 19525985). Gated on viable cells.

Immunohistochemistry (Formalin/PFA-fixed paraffin-embedded sections) - Anti-CCR9 antibody [EPR26524-59] (AB313773)
  • IHC-P

Supplier Data

Immunohistochemistry (Formalin/PFA-fixed paraffin-embedded sections) - Anti-CCR9 antibody [EPR26524-59] (AB313773)

Immunohistochemical analysis of paraffin-embedded Human lung tissue labeling CCR9 with ab313773 at 1/500 (0.988 µg/ml) followed by a ready to use LeicaDS9800 (Bond™ Polymer Refine Detection). Negative control : No staining on human lung. (PMID : 26168791) The section was incubated with ab313773 for 30 mins at room temperature. The immunostaining was performed on a Leica Biosystems BOND® RX instrument Counterstained with Hematoxylin. Secondary antibody only control : Secondary antibody is a ready to use LeicaDS9800 (Bond™ Polymer Refine Detection).Heat mediated antigen retrieval was performed with Tris-EDTA buffer (pH 9.0, Epitope Retrieval Solution2) for 20 mins

Immunohistochemistry (Formalin/PFA-fixed paraffin-embedded sections) - Anti-CCR9 antibody [EPR26524-59] (AB313773)
  • IHC-P

Supplier Data

Immunohistochemistry (Formalin/PFA-fixed paraffin-embedded sections) - Anti-CCR9 antibody [EPR26524-59] (AB313773)

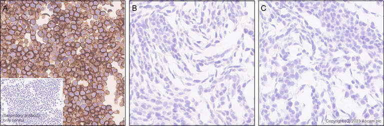
Immunohistochemical analysis of paraffin-embedded (A) MOLT-4 (human lymphoblastic tissue labeling CCR9 with ab313773 at 1/500 (0.988 µg/ml) followed by a ready to use LeicaDS9800 (Bond™ Polymer Refine Detection). Positive staining on (A) MOLT-4 (human lymphoblastic leukemia T lymphoblast) cell pellets, no staining on (B) HepG2 (human hepatocellular carcinoma epithelial cell) cell pellets and (C) Jurkat (human T cell leukemia T lymphocyte from peripheral blood) cell pellets. The section was incubated with ab313773 for 30 mins at room temperature. The immunostaining was performed on a Leica Biosystems BOND® RX instrument Counterstained with Hematoxylin. Secondary antibody only control : Secondary antibody is a ready to use LeicaDS9800 (Bond™ Polymer Refine Detection). Heat mediated antigen retrieval was performed with Tris-EDTA buffer (pH 9.0, Epitope Retrieval Solution2) for 20 mins

Immunocytochemistry/ Immunofluorescence - Anti-CCR9 antibody [EPR26524-59] (AB313773)
  • ICC/IF

Supplier Data

Immunocytochemistry/ Immunofluorescence - Anti-CCR9 antibody [EPR26524-59] (AB313773)

Immunofluorescent analysis of 4% Paraformaldehyde-fixed, 0.1% Tween-20 permeabilized MOLT-4 (human lymphoblastic leukemia T lymphoblast) cells labelling CCR9 with ab313773 at 1/50 (9.88 µg/ml) dilution, followed by ab150081 Goat Anti-Rabbit IgG H&L (Alexa Fluor® 488) preadsorbed antibody at 1/1000 (2 µg/ml) dilution (Green). Confocal image showing membrane staining in MOLT-4 cell line. Negative control : Jurkat (PMID : 19525985). Image was taken with a confocal microscope(Leica-Microsystems, TCS SP8) ab195889 Anti-alpha Tubulin mouse monoclonal antibody - Microtubule Marker (Alexa Fluor® 594) was used to counterstain tubulin at 1/200 (2.5 µg/ml) dilution (Red). The Nuclear counterstain was DAPI (Blue). Secondary antibody only control : Secondary antibody is ab150081 Goat Anti-Rabbit IgG H&L (Alexa Fluor® 488) preadsorbed at 1/1000 (2 µg/ml) dilution.

Flow Cytometry - Anti-CCR9 antibody [EPR26524-59] (AB313773)
  • Flow Cyt

Supplier Data

Flow Cytometry - Anti-CCR9 antibody [EPR26524-59] (AB313773)

Flow cytometric analysis of Human PBMC (human peripheral blood mononuclear cell) cells labelling CCR9 with ab313773 at 1/50 dilution (1 ug)/Right compared with a Rabbit monoclonal IgG (ab172730) / Left isotype control and an unlabelled control (cells without incubation with primary antibody and secondary antibody. Goat Anti-Rabbit IgG (Alexa Fluor® 488, ab150081) at 1/5000 dilution was used as the secondary antibody. Cells are co-stained with CD4 conjugated to APC/Fire750. Gated on viable cells.

Flow Cytometry - Anti-CCR9 antibody [EPR26524-59] (AB313773)
  • Flow Cyt

Supplier Data

Flow Cytometry - Anti-CCR9 antibody [EPR26524-59] (AB313773)

Flow cytometric analysis of Human PBMC (human peripheral blood mononuclear cell) cells labelling CCR9 with ab313773 at 1/50 dilution (1 ug)/Right compared with a Rabbit monoclonal IgG (ab172730) / Left isotype control and an unlabelled control (cells without incubation with primary antibody and secondary antibody). Goat Anti-Rabbit IgG (Alexa Fluor® 488, ab150081) at 1/5000 dilution was used as the secondary antibody. Cells are co-stained with CD56 conjugated to BV421. Gated on viable cells.

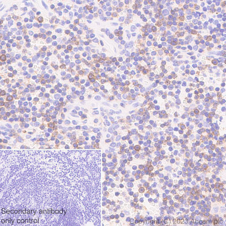
Immunohistochemistry (Formalin/PFA-fixed paraffin-embedded sections) - Anti-CCR9 antibody [EPR26524-59] (AB313773)
  • IHC-P

Supplier Data

Immunohistochemistry (Formalin/PFA-fixed paraffin-embedded sections) - Anti-CCR9 antibody [EPR26524-59] (AB313773)

Immunohistochemical analysis of paraffin-embedded Human thymus tissue labeling CCR9 with ab313773 at 1/500 (0.988 µg/ml) followed by a ready to use LeicaDS9800 (Bond™ Polymer Refine Detection). Positive staining on human thymus. The section was incubated with ab313773 for 30 mins at room temperature. The immunostaining was performed on a Leica Biosystems BOND® RX instrument Counterstained with Hematoxylin. Secondary antibody only control : Secondary antibody is a ready to use LeicaDS9800 (Bond™ Polymer Refine Detection).Heat mediated antigen retrieval was performed with Tris-EDTA buffer (pH 9.0, Epitope Retrieval Solution2) for 20 mins

Immunohistochemistry (Formalin/PFA-fixed paraffin-embedded sections) - Anti-CCR9 antibody [EPR26524-59] (AB313773)
  • IHC-P

Supplier Data

Immunohistochemistry (Formalin/PFA-fixed paraffin-embedded sections) - Anti-CCR9 antibody [EPR26524-59] (AB313773)

Immunohistochemical analysis of paraffin-embedded Mouse lung tissue labeling CCR9 with ab313773 at 1/100 (4.94 µg/ml) followed by a ready to use LeicaDS9800 (Bond™ Polymer Refine Detection). Negative control : No staining on mouse lung. The section was incubated with ab313773 for 30 mins at room temperature. The immunostaining was performed on a Leica Biosystems BOND® RX instrument Counterstained with Hematoxylin. Secondary antibody only control : Secondary antibody is a ready to use LeicaDS9800 (Bond™ Polymer Refine Detection).Heat mediated antigen retrieval was performed with Tris-EDTA buffer (pH 9.0, Epitope Retrieval Solution2) for 20 mins

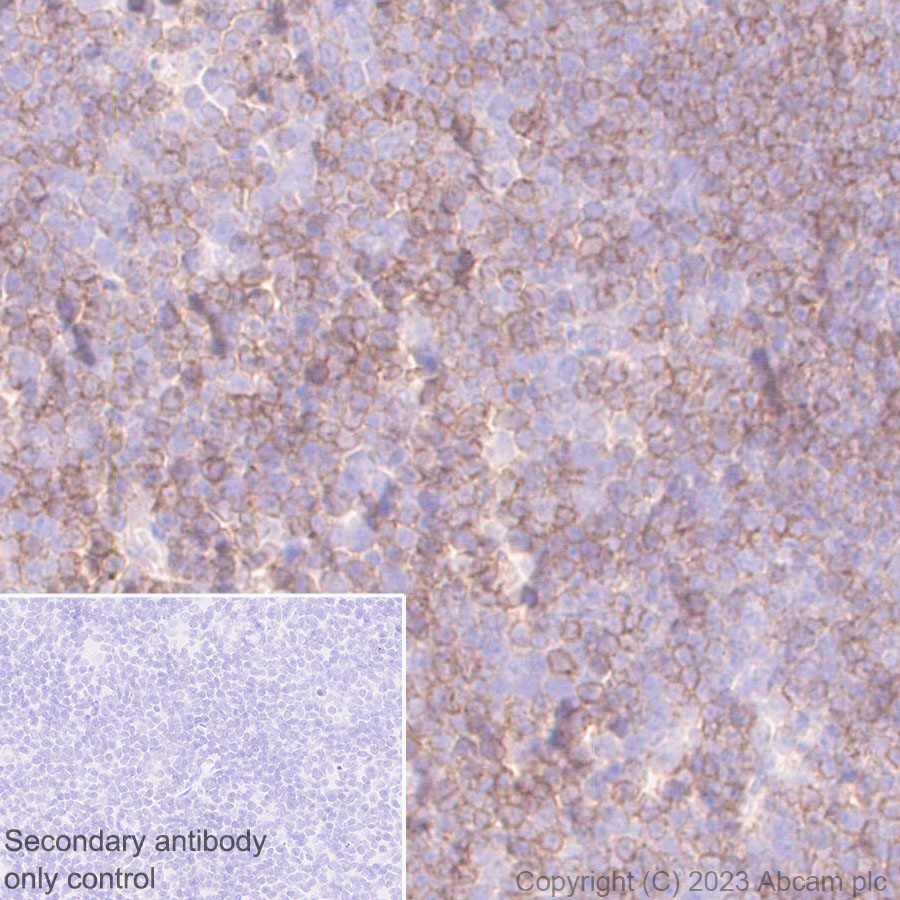
Immunohistochemistry (Formalin/PFA-fixed paraffin-embedded sections) - Anti-CCR9 antibody [EPR26524-59] (AB313773)
  • IHC-P

Supplier Data

Immunohistochemistry (Formalin/PFA-fixed paraffin-embedded sections) - Anti-CCR9 antibody [EPR26524-59] (AB313773)

Immunohistochemical analysis of paraffin-embedded Mouse thymus tissue labeling CCR9 with ab313773 at 1/100 (4.94 µg/ml) followed by a ready to use LeicaDS9800 (Bond™ Polymer Refine Detection). Positive staining on mouse thymus. The section was incubated with ab313773 for 30 mins at room temperature. The immunostaining was performed on a Leica Biosystems BOND® RX instrument Counterstained with Hematoxylin. Secondary antibody only control : Secondary antibody is a ready to use LeicaDS9800 (Bond™ Polymer Refine Detection).Heat mediated antigen retrieval was performed with Tris-EDTA buffer (pH 9.0, Epitope Retrieval Solution2) for 20 mins

Flow Cytometry - Anti-CCR9 antibody [EPR26524-59] (AB313773)
  • Flow Cyt

Supplier Data

Flow Cytometry - Anti-CCR9 antibody [EPR26524-59] (AB313773)

Flow cytometric analysis of Mouse thymocytes cells labelling CCR9 with ab313773 at 1/50 dilution (1 ug)/Red compared with a Rabbit monoclonal IgG (ab172730) (Black) isotype control and an unlabelled control (cells without incubation with primary antibody and secondary antibody) (Blue). Goat Anti-Rabbit IgG (Alexa Fluor® 488, ab150081) at 1/5000 dilution was used as the secondary antibody. Gated on viable double positive CD4+ CD8+ cells.

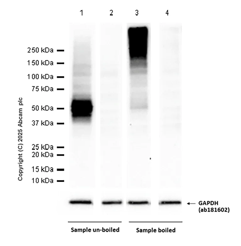
Western blot - Anti-CCR9 antibody [EPR26524-59] (AB313773)
  • WB

Lab

Western blot - Anti-CCR9 antibody [EPR26524-59] (AB313773)

Jurkat cells serve as a negative control for CCR9 protein expression (PMID : 10544196).

We recommend not boiling the lysate before loading it onto the gel.

In Western blot, Anti-GAPDH antibody [EPR16891] - Loading Control (ab181602) staining at 1/1000000 dilution.

All lanes:

Western blot - Anti-CCR9 antibody [EPR26524-59] (ab313773) at 1/1000 dilution

Lane 1:

Un-boiled MOLT-4 (human lymphoblastic leukemia T lymphoblast) whole cell lysate

Lane 2:

Un-boiled Jurkat (human T cell leukemia T lymphocyte) whole cell lysate

Lane 3:

Boiled MOLT-4 (human lymphoblastic leukemia T lymphoblast) whole cell lysate

Lane 4:

Boiled Jurkat (human T cell leukemia T lymphocyte) whole cell lysate

Secondary

All lanes:

Western blot - Goat Anti-Rabbit IgG H&L (HRP) (<a href='/en-us/products/secondary-antibodies/goat-rabbit-igg-h-l-hrp-ab97051'>ab97051</a>) at 1/20000 dilution

Observed band size: 45-50 kDa

false

Exposure time: 60s

Key facts

Host species

Rabbit

Clonality

Monoclonal

Clone number

EPR26524-59

Isotype

IgG

Carrier free

No

Reacts with

Human, Mouse

Applications

ICC/IF, WB, IHC-P, Flow Cyt

applications

Immunogen

The exact immunogen used to generate this antibody is proprietary information.

Reactivity data

{ "title": "Reactivity Data", "filters": { "stats": ["", "Species", "Dilution Info", "Notes"], "tabs": { "all-applications": {"fullname" : "All Applications", "shortname": "All Applications"}, "IHCP" : {"fullname" : "Immunohistochemistry (Formalin/PFA-fixed paraffin-embedded sections)", "shortname":"IHC-P"}, "FlowCyt" : {"fullname" : "Flow Cytometry", "shortname":"Flow Cyt"}, "ICCIF" : {"fullname" : "Immunocytochemistry/ Immunofluorescence", "shortname":"ICC/IF"}, "WB" : {"fullname" : "Western blot", "shortname":"WB"}, "IP" : {"fullname" : "Immunoprecipitation", "shortname":"IP"} }, "product-promise": { "all": "all", "testedAndGuaranteed": "tested", "guaranteed": "expected", "predicted": "predicted", "notRecommended": "not-recommended" } }, "values": { "Human": { "IHCP-species-checked": "testedAndGuaranteed", "IHCP-species-dilution-info": "1/100 - 1/500", "IHCP-species-notes": "<p></p> Perform heat-mediated antigen retrieval with Tris/EDTA buffer pH 9.0 before commencing with IHC staining protocol.", "FlowCyt-species-checked": "testedAndGuaranteed", "FlowCyt-species-dilution-info": "1/50", "FlowCyt-species-notes": "<p></p>", "ICCIF-species-checked": "testedAndGuaranteed", "ICCIF-species-dilution-info": "1/50", "ICCIF-species-notes": "<p></p>", "WB-species-checked": "testedAndGuaranteed", "WB-species-dilution-info": "1/1000", "WB-species-notes": "<p>We recommend not boiling the lysate before loading it onto the gel.</p>", "IP-species-checked": "notRecommended", "IP-species-dilution-info": "", "IP-species-notes": "<p></p>" }, "Mouse": { "IHCP-species-checked": "testedAndGuaranteed", "IHCP-species-dilution-info": "1/100 - 1/500", "IHCP-species-notes": "<p></p> Perform heat-mediated antigen retrieval with Tris/EDTA buffer pH 9.0 before commencing with IHC staining protocol.", "FlowCyt-species-checked": "testedAndGuaranteed", "FlowCyt-species-dilution-info": "1/50", "FlowCyt-species-notes": "<p></p>", "ICCIF-species-checked": "guaranteed", "ICCIF-species-dilution-info": "", "ICCIF-species-notes": "", "WB-species-checked": "guaranteed", "WB-species-dilution-info": "", "WB-species-notes": "<p></p>", "IP-species-checked": "notRecommended", "IP-species-dilution-info": "", "IP-species-notes": "" }, "Rat": { "IHCP-species-checked": "notRecommended", "IHCP-species-dilution-info": "", "IHCP-species-notes": "<p></p> Perform heat-mediated antigen retrieval with Tris/EDTA buffer pH 9.0 before commencing with IHC staining protocol.", "FlowCyt-species-checked": "notRecommended", "FlowCyt-species-dilution-info": "", "FlowCyt-species-notes": "", "ICCIF-species-checked": "notRecommended", "ICCIF-species-dilution-info": "", "ICCIF-species-notes": "", "WB-species-checked": "guaranteed", "WB-species-dilution-info": "", "WB-species-notes": "<p></p>", "IP-species-checked": "notRecommended", "IP-species-dilution-info": "", "IP-species-notes": "" } } }

Product details

Patented technology
Our RabMAb® technology is a patented hybridoma-based technology for making rabbit monoclonal antibodies. For details on our patents, please refer to RabMAb® patents.

What are the advantages of a recombinant monoclonal antibody?
This product is a recombinant monoclonal antibody, which offers several advantages including:

  • - High batch-to-batch consistency and reproducibility
  • - Improved sensitivity and specificity
  • - Long-term security of supply
  • - Animal-free batch production

For more information, read more on recombinant antibodies.

Properties and storage information

Form
Liquid
Purification technique
Affinity purification Protein A
Storage buffer
pH: 7.2 - 7.4 Preservative: 0.01% Sodium azide Constituents: PBS, 40% Glycerol (glycerin, glycerine), 0.05% BSA
Shipped at conditions
Blue Ice
Appropriate short-term storage duration
1-2 weeks
Appropriate short-term storage conditions
+4°C
Appropriate long-term storage conditions
-20°C
Aliquoting information
Upon delivery aliquot
Storage information
Avoid freeze / thaw cycle

Supplementary information

This supplementary information is collated from multiple sources and compiled automatically.

CCR9 also known as CD199 is a chemokine receptor known for its role in guiding cell traffic. It is a G-protein-coupled receptor with a mass of approximately 43 kDa. CCR9 is mainly expressed on the surface of thymocytes T lymphocytes and some subsets of dendritic cells. Its presence is especially noted in the small intestine correlated with its role in the migration and function of immune cells in the gut. This receptor is important for the homing of these cells to the intestinal mucosa engaging specifically with its ligand CCL25.
Biological function summary

CCR9 plays a significant role in the immune system particularly in the gut. It is part of chemokine receptor-ligand complexes that are integral to leukocyte trafficking. By interacting with CCL25 CCR9 facilitates the directed movement of immune cells across intestinal tissue impacting the immune surveillance and response within this environment. The receptor's expression pattern also suggests involvement in thymocyte development supporting the immune system's ability to generate a diverse repertoire of T cells.

Pathways

CCR9 is an important component of the chemokine signaling pathway. It is intricately connected to G-protein signaling events triggering downstream effects that drive cell migration and adhesion. This pathway is important for the function and maintenance of mucosal immunity linking CCR9 with CCR7 and its role in guiding T cell migration to specific tissue sites. These pathways collectively support immune functionality and homeostasis underlining CCR9's significance in tissue-specific immunity.

CCR9 has associations with inflammatory disorders like Crohn's disease and ulcerative colitis. Inflammatory bowel disease (IBD) is marked by aberrant immune cell movement and function areas where CCR9 is particularly influential. The receptor's interaction with CCL25 is pivotal in these pathological conditions often being a therapeutic target to modulate immune cell trafficking in disease management. Additionally the altered expression of CCR9 may contribute to the progression of specific T-cell leukemias further emphasizing its clinical relevance.

Product protocols

For this product, it's our understanding that no specific protocols are required. You can visit:

Target data

Receptor for chemokine SCYA25/TECK. Subsequently transduces a signal by increasing the intracellular calcium ions level.. (Microbial infection) Alternative coreceptor with CD4 for HIV-1 infection.
See full target information CCR9

Product promise

We are committed to supporting your work with high-quality reagents, and we're here for you every step of the way. In the unlikely event that one of our products does not perform as expected, you're protected by our Product Promise.
For full details, please see our Terms & Conditions

Please note: All products are 'FOR RESEARCH USE ONLY. NOT FOR USE IN DIAGNOSTIC OR THERAPEUTIC PROCEDURES'.

For licensing inquiries, please contact partnerships@abcam.com