JavaScript is disabled in your browser. Please enable JavaScript to view this website.
AB325844

Anti-CCR9 antibody [HL3054] - BSA and Azide free

Be the first to review this product! Submit a review

|

(0 Publication)

Rabbit Recombinant Monoclonal CCR9 antibody. Carrier free. Suitable for Flow Cyt, ICC/IF, WB, IHC-P and reacts with Human, Transfected cell line - Human, Transfected cell lysate - Human samples. Immunogen corresponding to Synthetic Peptide within Human CCR9.

View Alternative Names

CDw199, GPR28, CCR9, C-C chemokine receptor type 9, C-C CKR-9, CC-CKR-9, CCR-9, G-protein coupled receptor 28, GPR-9-6

5 Images
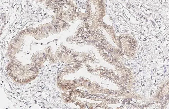
Immunohistochemistry (Formalin/PFA-fixed paraffin-embedded sections) - Anti-CCR9 antibody [HL3054] - BSA and Azide free (AB325844)
  • IHC-P

Supplier Data

Immunohistochemistry (Formalin/PFA-fixed paraffin-embedded sections) - Anti-CCR9 antibody [HL3054] - BSA and Azide free (AB325844)

ab325844 detects CCR9 protein by immunohistochemical analysis. Sample : Paraffin-embedded human pancreatic cancer. CCR9 stained by ab325844 diluted at 1 : 100. Antigen Retrieval : Citrate buffer, pH 6.0, 15 min.

Immunocytochemistry/ Immunofluorescence - Anti-CCR9 antibody [HL3054] - BSA and Azide free (AB325844)
  • ICC/IF

Supplier Data

Immunocytochemistry/ Immunofluorescence - Anti-CCR9 antibody [HL3054] - BSA and Azide free (AB325844)

ab325844 detects CCR9 protein by immunofluorescent analysis. Sample : Molt-4 cells were fixed in 4% paraformaldehyde at RT for 15 min. Green : CCR9 stained by ab325844 diluted at 1 : 100. Blue : Fluoroshield with DAPI.

Flow Cytometry - Anti-CCR9 antibody [HL3054] - BSA and Azide free (AB325844)
  • Flow Cyt

Supplier Data

Flow Cytometry - Anti-CCR9 antibody [HL3054] - BSA and Azide free (AB325844)

ab325844 detects CCR9 protein by flow cytometry analysis. Sample : non-fixed and non-permeabilized Molt-4 or HeLa cells were stained with 5 ug/ml (red) or a Rabbit monoclonal IgG isotype control (grey) in 1% FBS/ 5mM EDTA/PBS at 4ºC for 1 hour. Molt-4 cells staining with FcR Blocking treatment 10 mins at 4ºC.

Immunocytochemistry/ Immunofluorescence - Anti-CCR9 antibody [HL3054] - BSA and Azide free (AB325844)
  • ICC/IF

Supplier Data

Immunocytochemistry/ Immunofluorescence - Anti-CCR9 antibody [HL3054] - BSA and Azide free (AB325844)

ab325844 detects CCR9 protein by immunofluorescent analysis. Sample : Mock and transfected 293T cells were fixed in ice-cold MeOH for 5 min. Green : CCR9 stained by ab325844 diluted at 1 : 500. Blue : Fluoroshield with DAPI.

Western blot - Anti-CCR9 antibody [HL3054] - BSA and Azide free (AB325844)
  • WB

Supplier Data

Western blot - Anti-CCR9 antibody [HL3054] - BSA and Azide free (AB325844)

Non-transfected (–) and transfected (+) boiled and unboiled 293T whole cell extracts (30 ug) were separated by 10% SDS-PAGE, and the membrane was blotted with ab325844 diluted at 1 : 5000. The HRP-conjugated anti-rabbit IgG antibody was used to detect the primary antibody, and the signal was developed with Trident femto Western HRP Substrate.

All lanes:

Western blot - Anti-CCR9 antibody [HL3054] - BSA and Azide free (ab325844) at 1/5000 dilution

Lane 1:

Non-transfected (–) boiled 293T whole cell extracts at 30 µg

Lane 2:

DDDDK-tagged CCR9 transfected (+) boiled 293T whole cell extracts at 30 µg

Lane 3:

Non-transfected (–) unboiled 293T whole cell extracts at 30 µg

Lane 4:

DDDDK-tagged CCR9 transfected (+) unboiled 293T whole cell extracts at 30 µg

Secondary

All lanes:

HRP-conjugated anti-rabbit IgG antibody

false

Key facts

Host species

Rabbit

Clonality

Monoclonal

Clone number

HL3054

Isotype

IgG

Carrier free

Yes

Reacts with

Human

Applications

Flow Cyt, WB, ICC/IF, IHC-P

applications

Immunogen

Synthetic Peptide within Human CCR9.

P51686

Reactivity data

{ "title": "Reactivity Data", "filters": { "stats": ["", "Species", "Dilution Info", "Notes"], "tabs": { "all-applications": {"fullname" : "All Applications", "shortname": "All Applications"}, "FlowCyt" : {"fullname" : "Flow Cytometry", "shortname":"Flow Cyt"}, "ICCIF" : {"fullname" : "Immunocytochemistry/ Immunofluorescence", "shortname":"ICC/IF"}, "WB" : {"fullname" : "Western blot", "shortname":"WB"}, "IHCP" : {"fullname" : "Immunohistochemistry (Formalin/PFA-fixed paraffin-embedded sections)", "shortname":"IHC-P"} }, "product-promise": { "all": "all", "testedAndGuaranteed": "tested", "guaranteed": "expected", "predicted": "predicted", "notRecommended": "not-recommended" } }, "values": { "Human": { "FlowCyt-species-checked": "testedAndGuaranteed", "FlowCyt-species-dilution-info": "5 µg/mL", "FlowCyt-species-notes": "<p></p>", "ICCIF-species-checked": "testedAndGuaranteed", "ICCIF-species-dilution-info": "1/100", "ICCIF-species-notes": "<p></p>", "WB-species-checked": "guaranteed", "WB-species-dilution-info": "", "WB-species-notes": "", "IHCP-species-checked": "testedAndGuaranteed", "IHCP-species-dilution-info": "1/100", "IHCP-species-notes": "<p></p> Perform heat-mediated antigen retrieval with citrate buffer pH 6 before commencing with IHC staining protocol." }, "Transfected cell line - Human": { "FlowCyt-species-checked": "notRecommended", "FlowCyt-species-dilution-info": "", "FlowCyt-species-notes": "", "ICCIF-species-checked": "testedAndGuaranteed", "ICCIF-species-dilution-info": "1/500", "ICCIF-species-notes": "<p></p>", "WB-species-checked": "notRecommended", "WB-species-dilution-info": "", "WB-species-notes": "", "IHCP-species-checked": "notRecommended", "IHCP-species-dilution-info": "", "IHCP-species-notes": "" }, "Transfected cell lysate - Human": { "FlowCyt-species-checked": "notRecommended", "FlowCyt-species-dilution-info": "", "FlowCyt-species-notes": "", "ICCIF-species-checked": "notRecommended", "ICCIF-species-dilution-info": "", "ICCIF-species-notes": "", "WB-species-checked": "testedAndGuaranteed", "WB-species-dilution-info": "1/5000", "WB-species-notes": "<p></p>", "IHCP-species-checked": "notRecommended", "IHCP-species-dilution-info": "", "IHCP-species-notes": "" } } }

Properties and storage information

Form
Liquid
Purification technique
Affinity purification Protein A
Storage buffer
pH: 7.4 Constituents: PBS
Shipped at conditions
Blue Ice
Appropriate short-term storage duration
1-2 weeks
Appropriate short-term storage conditions
+4°C
Appropriate long-term storage conditions
-20°C
Aliquoting information
Upon delivery aliquot
Storage information
Avoid freeze / thaw cycle

Product protocols

For this product, it's our understanding that no specific protocols are required. You can visit:

Target data

Receptor for chemokine SCYA25/TECK. Subsequently transduces a signal by increasing the intracellular calcium ions level.. (Microbial infection) Alternative coreceptor with CD4 for HIV-1 infection.
See full target information CCR9

Product promise

We are committed to supporting your work with high-quality reagents, and we're here for you every step of the way. In the unlikely event that one of our products does not perform as expected, you're protected by our Product Promise.
For full details, please see our Terms & Conditions

Please note: All products are 'FOR RESEARCH USE ONLY. NOT FOR USE IN DIAGNOSTIC OR THERAPEUTIC PROCEDURES'.

For licensing inquiries, please contact partnerships@abcam.com