JavaScript is disabled in your browser. Please enable JavaScript to view this website.
AB252986

Anti-CCRK antibody

Be the first to review this product! Submit a review

|

(1 Publication)

Rabbit Polyclonal CCRK antibody. Suitable for IHC-P, WB and reacts with Human samples. Cited in 1 publication. Immunogen corresponding to Recombinant Fragment Protein within Human CDK20 aa 1-100.

View Alternative Names

CCRK, CDCH, CDK20, Cyclin-dependent kinase 20, CDK-activating kinase p42, Cell cycle-related kinase, Cell division protein kinase 20, Cyclin-dependent protein kinase H, Cyclin-kinase-activating kinase p42, CAK-kinase p42

2 Images
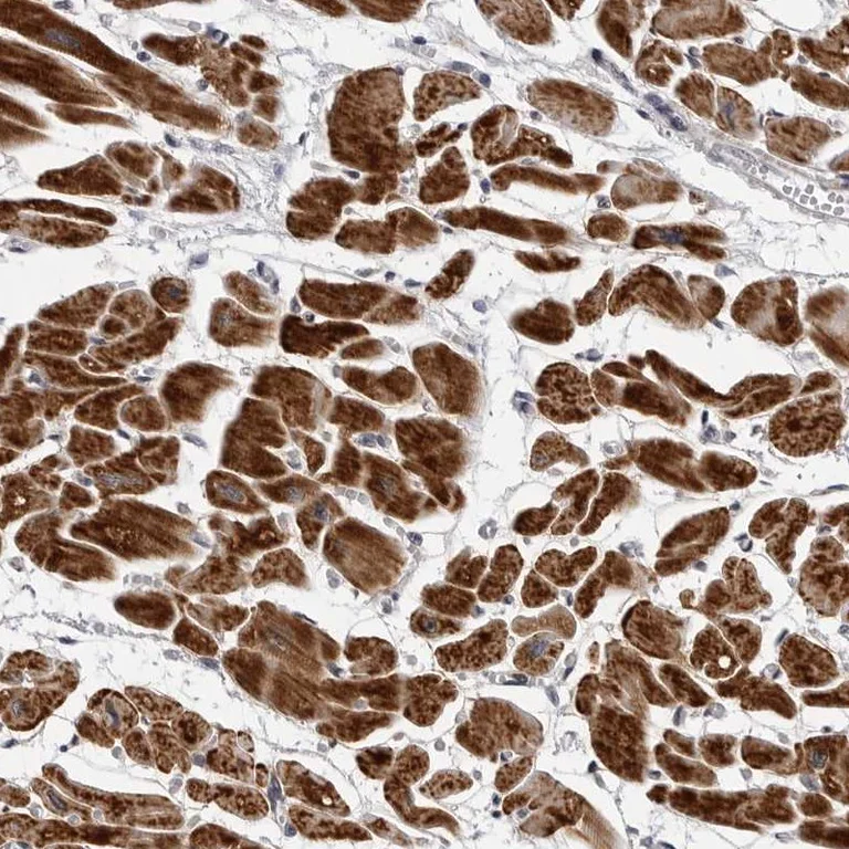
Immunohistochemistry (Formalin/PFA-fixed paraffin-embedded sections) - Anti-CCRK antibody (AB252986)
  • IHC-P

Unknown

Immunohistochemistry (Formalin/PFA-fixed paraffin-embedded sections) - Anti-CCRK antibody (AB252986)

Paraffin-embedded human heart-muscle tissue stained for CCRK using ab252986 at 1/20 dilution in immunohistochemical analysis.

Western blot - Anti-CCRK antibody (AB252986)
  • WB

Unknown

Western blot - Anti-CCRK antibody (AB252986)

All lanes:

Western blot - Anti-CCRK antibody (ab252986) at 0.4 µg/mL

Lane 1:

Vector only transfected HEK-293T (Human epithelial cell line from embryonic kidney transformed with large T antigen) lysate

Lane 2:

CCRK overexpression HEK-293T lysate

Predicted band size: 39 kDa

false

Key facts

Host species

Rabbit

Clonality

Polyclonal

Isotype

IgG

Carrier free

No

Reacts with

Human

Applications

WB, IHC-P

applications

Immunogen

Recombinant Fragment Protein within Human CDK20 aa 1-100. The exact immunogen used to generate this antibody is proprietary information.

Q8IZL9

Reactivity data

{ "title": "Reactivity Data", "filters": { "stats": ["", "Species", "Dilution Info", "Notes"], "tabs": { "all-applications": {"fullname" : "All Applications", "shortname": "All Applications"}, "IHCP" : {"fullname" : "Immunohistochemistry (Formalin/PFA-fixed paraffin-embedded sections)", "shortname":"IHC-P"}, "WB" : {"fullname" : "Western blot", "shortname":"WB"} }, "product-promise": { "all": "all", "testedAndGuaranteed": "tested", "guaranteed": "expected", "predicted": "predicted", "notRecommended": "not-recommended" } }, "values": { "Human": { "IHCP-species-checked": "testedAndGuaranteed", "IHCP-species-dilution-info": "1/20 - 1/50", "IHCP-species-notes": "<p></p> Perform heat-mediated antigen retrieval with citrate buffer pH 6 before commencing with IHC staining protocol.", "WB-species-checked": "testedAndGuaranteed", "WB-species-dilution-info": "0.04-0.4 µg/mL", "WB-species-notes": "<p></p>" }, "Mouse": { "IHCP-species-checked": "predicted", "IHCP-species-dilution-info": "", "IHCP-species-notes": "", "WB-species-checked": "predicted", "WB-species-dilution-info": "", "WB-species-notes": "" }, "Rat": { "IHCP-species-checked": "predicted", "IHCP-species-dilution-info": "", "IHCP-species-notes": "", "WB-species-checked": "predicted", "WB-species-dilution-info": "", "WB-species-notes": "" }, "Orangutan": { "IHCP-species-checked": "predicted", "IHCP-species-dilution-info": "", "IHCP-species-notes": "", "WB-species-checked": "predicted", "WB-species-dilution-info": "", "WB-species-notes": "" }, "Rhesus monkey": { "IHCP-species-checked": "predicted", "IHCP-species-dilution-info": "", "IHCP-species-notes": "", "WB-species-checked": "predicted", "WB-species-dilution-info": "", "WB-species-notes": "" }, "Zebrafish": { "IHCP-species-checked": "predicted", "IHCP-species-dilution-info": "", "IHCP-species-notes": "", "WB-species-checked": "predicted", "WB-species-dilution-info": "", "WB-species-notes": "" } } }

Properties and storage information

Form
Liquid
Purification technique
Affinity purification Immunogen
Storage buffer
pH: 7.2 Preservative: 0.02% Sodium azide Constituents: PBS, 40% Glycerol (glycerin, glycerine)
Shipped at conditions
Blue Ice
Appropriate short-term storage duration
1-2 weeks
Appropriate short-term storage conditions
+4°C
Appropriate long-term storage conditions
-20°C
Aliquoting information
Upon delivery aliquot
Storage information
Avoid freeze / thaw cycle

Supplementary information

This supplementary information is collated from multiple sources and compiled automatically.

CCRK or Cell Cycle-Related Kinase is a protein kinase with significant roles in cellular processes. It is also referred to as CDK20 (Cyclin-Dependent Kinase 20) and possesses a molecular mass of approximately 39 kDa. Researchers observe CCRK expression mainly in human tissues such as the brain heart and testis. This protein exhibits activity in regulating various stages of the cell cycle and phosphorylation of target substrates during cell division.
Biological function summary

This protein plays a role in facilitating cell cycle progression and cellular proliferation. CCRK often associates with other cyclins to form active complexes necessary for its kinase activity. The protein's interaction with cyclins emphasizes its ability to drive cells through different phases of the cell cycle. Aside from cell cycle control CCRK also influences ciliogenesis suggesting a broader range of biological functions.

Pathways

CCRK integrates into specific cellular pathways including the cell cycle control and Wnt signaling pathways. In the cell cycle pathway CCRK influences progression at critical checkpoints interacting with related proteins like Cyclin D1. In the context of Wnt signaling CCRK may modulate signaling outputs influencing downstream gene expression events. These interactions align CCRK with key regulatory networks essential for maintaining normal cellular physiology.

CCRK shows involvement in conditions such as cancer and ciliopathies. In several cancers aberrant expression or activity of CCRK contributes to uncontrolled cell proliferation due to interactions with proteins like Cyclin D1 which in turn drive oncogenic signaling. As for ciliopathies CCRK-related dysfunction affects cilia formation leading to related disorders. Understanding these pathways and interactions highlights CCRK as a target for therapeutic interventions in specific diseases.

Product protocols

For this product, it's our understanding that no specific protocols are required. You can visit:

Target data

Required for high-level Shh responses in the developing neural tube. Together with TBC1D32, controls the structure of the primary cilium by coordinating assembly of the ciliary membrane and axoneme, allowing GLI2 to be properly activated in response to SHH signaling (By similarity). Involved in cell growth. Activates CDK2, a kinase involved in the control of the cell cycle, by phosphorylating residue 'Thr-160'.
See full target information CDK20

Publications (1)

Recent publications for all applications. Explore the full list and refine your search

Frontiers in cell and developmental biology 10:836041 PubMed35281088

2022

iTRAQ-Based Proteome Profiling of Differentially Expressed Proteins in Insulin-Resistant Human Hepatocellular Carcinoma.

Applications

Unspecified application

Species

Unspecified reactive species

Jing Yan,Bei Xie,Ye Tian,Li Huang,Shuli Zou,Zhiheng Peng,Zhuan Liu,Linjing Li
View all publications

Product promise

We are committed to supporting your work with high-quality reagents, and we're here for you every step of the way. In the unlikely event that one of our products does not perform as expected, you're protected by our Product Promise.
For full details, please see our Terms & Conditions

Please note: All products are 'FOR RESEARCH USE ONLY. NOT FOR USE IN DIAGNOSTIC OR THERAPEUTIC PROCEDURES'.

For licensing inquiries, please contact partnerships@abcam.com