JavaScript is disabled in your browser. Please enable JavaScript to view this website.
AB92746

Anti-CCT2 antibody [EPR4084]

5

(2 Reviews)

|

(16 Publications)

Rabbit Recombinant Monoclonal CCT2 antibody. Suitable for IHC-P, IP, WB, ICC/IF, Flow Cyt (Intra) and reacts with Mouse, Rat, Human samples. Cited in 16 publications.

View Alternative Names

99D8.1, CCTB, CCT2, T-complex protein 1 subunit beta, TCP-1-beta, CCT-beta, Chaperonin containing T-complex polypeptide 1 subunit 2

11 Images
Immunohistochemistry (Formalin/PFA-fixed paraffin-embedded sections) - Anti-CCT2 antibody [EPR4084] (AB92746)
  • IHC-P

Unknown

Immunohistochemistry (Formalin/PFA-fixed paraffin-embedded sections) - Anti-CCT2 antibody [EPR4084] (AB92746)

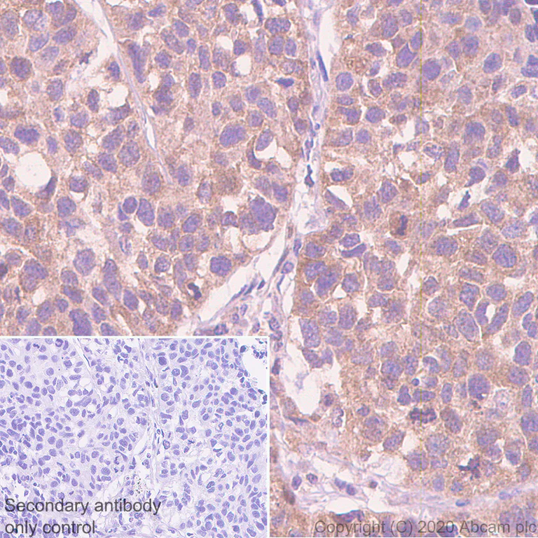
Immunohistochemistry (Formalin/PFA-fixed paraffin-embedded sections) analysis of human lung carcinoma tissue sections labeling CCT2 with purified ab92746 at 1/24000 dilution (0.012 μg/mL). Heat mediated antigen retrieval was performed using Bond™ Epitope Retrieval Solution 1 (pH 6.0). Rabbit specific IHC polymer detection kit HRP/DAB (ab209101) was used as the secondary antibody. Negative control : PBS instead of the primary antibody. Hematoxylin was used as a counterstain.
The immunostaining was performed on a Leica Biosystems BOND® RX instrument.

Immunohistochemistry (Formalin/PFA-fixed paraffin-embedded sections) - Anti-CCT2 antibody [EPR4084] (AB92746)
  • IHC-P

Unknown

Immunohistochemistry (Formalin/PFA-fixed paraffin-embedded sections) - Anti-CCT2 antibody [EPR4084] (AB92746)

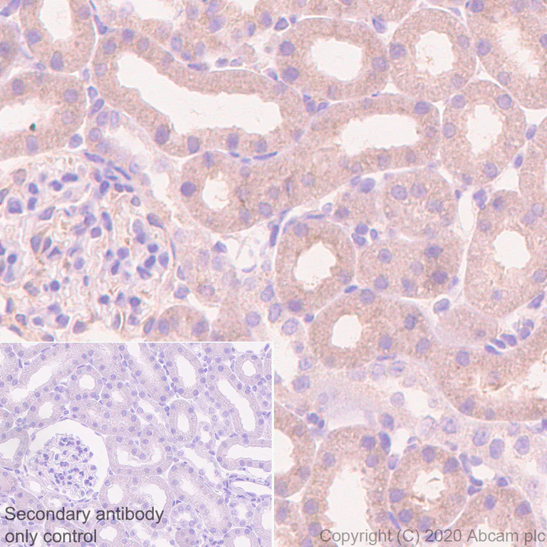
ab92746, unpurified, at a 1/100 dilution, staining CCT2 in formalin fixed, paraffin embedded (1) Human colon tissue and (2) Human kidney tissue by Immunohistochemistry. Detection : DAB staining.

Perform heat mediated antigen retrieval via the pressure cooker method before commencing with IHC staining protocol.

Immunocytochemistry/ Immunofluorescence - Anti-CCT2 antibody [EPR4084] (AB92746)
  • ICC/IF

Unknown

Immunocytochemistry/ Immunofluorescence - Anti-CCT2 antibody [EPR4084] (AB92746)

Immunocytochemistry/Immunofluorescence analysis of MCF7 (Human breast adenocarcinoma epithelial cell) cells labeling CCT2 with Purified ab92746 at 1 : 500 dilution (0.6 μg/mL). Cells were fixed in 4% Paraformaldehyde and permeabilized with 0.1% tritonX-100. Cells were counterstained with ab195889 Anti-alpha Tubulin antibody [DM1A] - Microtubule Marker (Alexa Fluor® 594) 1 : 200 (2.5 μg/mL). Goat anti rabbit IgG (Alexa Fluor® 488, ab150077) was used as the secondary antibody at 1 : 1000 (2 μg/mL) dilution. DAPI (blue) was used as nuclear counterstain. PBS instead of the primary antibody was used as the secondary antibody only control.

Flow Cytometry (Intracellular) - Anti-CCT2 antibody [EPR4084] (AB92746)
  • Flow Cyt (Intra)

Unknown

Flow Cytometry (Intracellular) - Anti-CCT2 antibody [EPR4084] (AB92746)

Intracellular Flow Cytometry analysis of HeLa (Human cervix adenocarcinoma epithelial cell) cells, labeling CCT2 with Purified ab92746 at 1/30 dilution (10μg/mL) (Red). Cells were fixed with 4% Paraformaldehyde and permeabilised with 90% Methanol. A Goat anti rabbit IgG (Alexa Fluorr® 488, ab150077) secondary antibody was used at 1/2000. Isotype control - Rabbit monoclonal IgG (Black). Unlabeled control - Cell without incubation with primary antibody and secondary antibody (Blue).

Flow Cytometry (Intracellular) - Anti-CCT2 antibody [EPR4084] (AB92746)
  • Flow Cyt (Intra)

Unknown

Flow Cytometry (Intracellular) - Anti-CCT2 antibody [EPR4084] (AB92746)

Overlay histogram showing HeLa cells stained with ab92746, unpurified, (red line), unpurified. The cells were fixed with 80% methanol (5 min) and then permeabilized with 0.1% PBS-Tween for 20 min. The cells were then incubated in 1x PBS / 10% normal goat serum / 0.3M glycine to block non-specific protein-protein interactions followed by the antibody (ab92746, 1/100 dilution) for 30 min at 22°C. The secondary antibody used was DyLight® 488 goat anti-rabbit IgG (H+L) (ab96899) at 1/500 dilution for 30 min at 22°C. Isotype control antibody (black line) was rabbit IgG (monclonal) (1μg/1x106 cells) used under the same conditions. Acquisition of >5,000 events was performed.

Immunocytochemistry/ Immunofluorescence - Anti-CCT2 antibody [EPR4084] (AB92746)
  • ICC/IF

Unknown

Immunocytochemistry/ Immunofluorescence - Anti-CCT2 antibody [EPR4084] (AB92746)

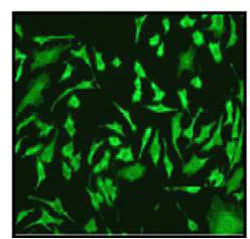
ab92746, unpurified, at a 1/100 dilution, staining CCT2 in HeLa cells by Immunofluorescence.

Immunoprecipitation - Anti-CCT2 antibody [EPR4084] (AB92746)
  • IP

Unknown

Immunoprecipitation - Anti-CCT2 antibody [EPR4084] (AB92746)

Purified ab92746 at 1 : 30 dilution (2μg) immunoprecipitating CCT2 in HeLa whole cell lysate.
Lane 1 (input) : HeLa (Human cervix adenocarcinoma epithelial cell) whole cell lysate 10μg
Lane 2 (+) : ab92746 + HeLa whole cell lysate.
Lane 3 (-) : Rabbit monoclonal IgG (ab172730) instead of ab92746 in HeLa whole cell lysate.
Blocking Buffer and concentration : 5% NFDM/TBST.
Diluting buffer and concentration : 5% NFDM/TBST.
Observed band size : 57 kDa

All lanes:

Immunoprecipitation - Anti-CCT2 antibody [EPR4084] (ab92746)

Predicted band size: 57 kDa

false

Immunohistochemistry (Formalin/PFA-fixed paraffin-embedded sections) - Anti-CCT2 antibody [EPR4084] (AB92746)
  • IHC-P

Unknown

Immunohistochemistry (Formalin/PFA-fixed paraffin-embedded sections) - Anti-CCT2 antibody [EPR4084] (AB92746)

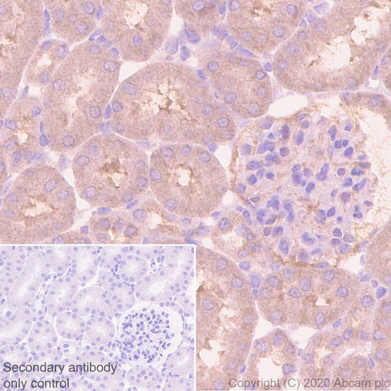
Immunohistochemistry (Formalin/PFA-fixed paraffin-embedded sections) analysis of mouse kidney tissue sections labeling CCT2 with purified ab92746 at 1/24000 dilution (0.012 μg/mL). Heat mediated antigen retrieval was performed using Bond™ Epitope Retrieval Solution 1 (pH 6.0). Rabbit specific IHC polymer detection kit HRP/DAB (ab209101) was used as the secondary antibody. Negative control : PBS instead of the primary antibody. Hematoxylin was used as a counterstain.
The immunostaining was performed on a Leica Biosystems BOND® RX instrument.

Immunohistochemistry (Formalin/PFA-fixed paraffin-embedded sections) - Anti-CCT2 antibody [EPR4084] (AB92746)
  • IHC-P

Unknown

Immunohistochemistry (Formalin/PFA-fixed paraffin-embedded sections) - Anti-CCT2 antibody [EPR4084] (AB92746)

Immunohistochemistry (Formalin/PFA-fixed paraffin-embedded sections) analysis of rat kidney tissue sections labeling CCT2 with purified ab92746 at 1/24000 dilution (0.012 μg/mL). Heat mediated antigen retrieval was performed using Bond™ Epitope Retrieval Solution 1 (pH 6.0). Rabbit specific IHC polymer detection kit HRP/DAB (ab209101) was used as the secondary antibody. Negative control : PBS instead of the primary antibody. Hematoxylin was used as a counterstain.
The immunostaining was performed on a Leica Biosystems BOND® RX instrument.

Western blot - Anti-CCT2 antibody [EPR4084] (AB92746)
  • WB

Unknown

Western blot - Anti-CCT2 antibody [EPR4084] (AB92746)

Blocking/Diluting buffer : 5% NFDM/TBST

All lanes:

Western blot - Anti-CCT2 antibody [EPR4084] (ab92746) at 1/10000 dilution

Lane 1:

HeLa (Human cervix adenocarcinoma epithelial cell) whole cell lysate at 15 µg

Lane 2:

Human brain lysate at 15 µg

Lane 3:

Mouse brain lysate at 15 µg

Lane 4:

Rat brain lysate at 15 µg

Secondary

All lanes:

Goat Anti-Rabbit IgG (HRP) with minimal cross-reactivity with human IgG at 1/2000 dilution

Predicted band size: 57 kDa

Observed band size: 57 kDa

false

Western blot - Anti-CCT2 antibody [EPR4084] (AB92746)
  • WB

Unknown

Western blot - Anti-CCT2 antibody [EPR4084] (AB92746)

All lanes:

Western blot - Anti-CCT2 antibody [EPR4084] (ab92746) at 1/10000 dilution

Lane 1:

HeLa cell lysate at 10 µg

Lane 2:

MCF-7 cell lysate at 10 µg

Lane 3:

Daudi cell lysate at 10 µg

Secondary

All lanes:

HRP labelled goat anti-rabbit at 1/2000 dilution

Predicted band size: 57 kDa

false

  • 578 PE

    PE Anti-TCP1 beta antibody [EPR4084]

  • 660 APC

    APC Anti-TCP1 beta antibody [EPR4084]

  • HRP

    HRP Anti-TCP1 beta antibody [EPR4084]

  • 665 Alexa Fluor® 647

    Alexa Fluor® 647 Anti-TCP1 beta antibody [EPR4084]

  • 603 Alexa Fluor® 568

    Alexa Fluor® 568 Anti-CCT2 antibody [EPR4084]

  • 565 Alexa Fluor® 555

    Alexa Fluor® 555 Anti-TCP1 beta antibody [EPR4084]

  • Carrier free

    Anti-CCT2 antibody [EPR4084] - BSA and Azide free

  • 617 Alexa Fluor® 594

    Alexa Fluor® 594 Anti-TCP1 beta antibody [EPR4084]

  • 519 Alexa Fluor® 488

    Alexa Fluor® 488 Anti-TCP1 beta antibody [EPR4084]

  • 775 Alexa Fluor® 750

    Alexa Fluor® 750 Anti-CCT2 antibody [EPR4084]

Key facts

Host species

Rabbit

Clonality

Monoclonal

Clone number

EPR4084

Isotype

IgG

Carrier free

No

Reacts with

Mouse, Rat, Human

Applications

IHC-P, ICC/IF, Flow Cyt (Intra), WB, IP

applications

Immunogen

The exact immunogen used to generate this antibody is proprietary information.

Reactivity data

{ "title": "Reactivity Data", "filters": { "stats": ["", "Species", "Dilution Info", "Notes"], "tabs": { "all-applications": {"fullname" : "All Applications", "shortname": "All Applications"}, "IHCP" : {"fullname" : "Immunohistochemistry (Formalin/PFA-fixed paraffin-embedded sections)", "shortname":"IHC-P"}, "IP" : {"fullname" : "Immunoprecipitation", "shortname":"IP"}, "WB" : {"fullname" : "Western blot", "shortname":"WB"}, "ICCIF" : {"fullname" : "Immunocytochemistry/ Immunofluorescence", "shortname":"ICC/IF"}, "FlowCytIntra" : {"fullname" : "Flow Cytometry (Intracellular)", "shortname":"Flow Cyt (Intra)"} }, "product-promise": { "all": "all", "testedAndGuaranteed": "tested", "guaranteed": "expected", "predicted": "predicted", "notRecommended": "not-recommended" } }, "values": { "Human": { "IHCP-species-checked": "testedAndGuaranteed", "IHCP-species-dilution-info": "1/100 - 1/250", "IHCP-species-notes": "<p></p>", "IP-species-checked": "testedAndGuaranteed", "IP-species-dilution-info": "1/10 - 1/100", "IP-species-notes": "<p></p>", "WB-species-checked": "testedAndGuaranteed", "WB-species-dilution-info": "1/10000 - 1/50000", "WB-species-notes": "<p></p>", "ICCIF-species-checked": "testedAndGuaranteed", "ICCIF-species-dilution-info": "1/500", "ICCIF-species-notes": "<p><strong>For unpurified use at 1/100 - 1/250</strong></p>", "FlowCytIntra-species-checked": "testedAndGuaranteed", "FlowCytIntra-species-dilution-info": "1/10 - 1/100", "FlowCytIntra-species-notes": "<p><a href='/en-us/products/primary-antibodies/rabbit-igg-monoclonal-epr25a-isotype-control-ab172730'>ab172730</a> - Rabbit monoclonal IgG, is suitable for use as an isotype control with this antibody.</p>" }, "Mouse": { "IHCP-species-checked": "testedAndGuaranteed", "IHCP-species-dilution-info": "1/100 - 1/250", "IHCP-species-notes": "<p></p>", "IP-species-checked": "guaranteed", "IP-species-dilution-info": "", "IP-species-notes": "", "WB-species-checked": "testedAndGuaranteed", "WB-species-dilution-info": "1/10000 - 1/50000", "WB-species-notes": "<p></p>", "ICCIF-species-checked": "guaranteed", "ICCIF-species-dilution-info": "", "ICCIF-species-notes": "", "FlowCytIntra-species-checked": "guaranteed", "FlowCytIntra-species-dilution-info": "", "FlowCytIntra-species-notes": "" }, "Rat": { "IHCP-species-checked": "testedAndGuaranteed", "IHCP-species-dilution-info": "1/100 - 1/250", "IHCP-species-notes": "<p></p>", "IP-species-checked": "guaranteed", "IP-species-dilution-info": "", "IP-species-notes": "", "WB-species-checked": "testedAndGuaranteed", "WB-species-dilution-info": "1/10000 - 1/50000", "WB-species-notes": "<p></p>", "ICCIF-species-checked": "guaranteed", "ICCIF-species-dilution-info": "", "ICCIF-species-notes": "", "FlowCytIntra-species-checked": "guaranteed", "FlowCytIntra-species-dilution-info": "", "FlowCytIntra-species-notes": "" } } }

Product details

Patented technology
Our RabMAb® technology is a patented hybridoma-based technology for making rabbit monoclonal antibodies. For details on our patents, please refer to RabMAb® patents.

What are the advantages of a recombinant monoclonal antibody?
This product is a recombinant monoclonal antibody, which offers several advantages including:

  • - High batch-to-batch consistency and reproducibility
  • - Improved sensitivity and specificity
  • - Long-term security of supply
  • - Animal-free batch production

For more information, read more on recombinant antibodies.

Properties and storage information

Form
Liquid
Purification technique
Affinity purification Protein A
Storage buffer
pH: 7.2 - 7.4 Preservative: 0.01% Sodium azide Constituents: PBS, 40% Glycerol (glycerin, glycerine), 0.05% BSA
Shipped at conditions
Blue Ice
Appropriate short-term storage duration
1-2 weeks
Appropriate short-term storage conditions
+4°C
Appropriate long-term storage conditions
-20°C
Aliquoting information
Upon delivery aliquot
Storage information
Avoid freeze / thaw cycle

Supplementary information

This supplementary information is collated from multiple sources and compiled automatically.

CCT2 also known as Chaperonin Containing TCP1 Subunit 2 is part of a group of proteins responsible for facilitating the correct folding of other proteins. It functions as a molecular chaperone and has a molecular weight of approximately 58 kDa. CCT2 is expressed in many tissues with high levels detected in testis and brain tissues. This protein is integral to the chaperonin CCT (or TRiC) complex contributing to essential cellular processes through its role in protein homeostasis.
Biological function summary

CCT2 assists in the folding of cytoskeletal proteins like actin and tubulin which are vital for maintaining the structure and function of cells. As part of the CCT complex which consists of eight different subunits CCT2 plays a significant role in ensuring the proper assembly of multi-protein complexes. The activity of CCT2 is important for the prevention of aggregate formation which otherwise leads to cellular stress.

Pathways

CCT2 significantly influences the protein folding and degradation pathways. It participates in the cellular pathways that govern the proteostasis network collaborating with other chaperones to oversee protein quality control. Related proteins interacting with CCT2 within these pathways include other CCT complex components like CCT3 and CCT4 all contributing to maintaining cellular homeostasis and protecting cells from proteotoxic damage.

CCT2 is connected to cancer and neurodegenerative diseases. Altered expression of CCT2 is linked to the progression of tumor growth interacting with proteins involved in cell cycle regulation and signaling such as p53. Additionally deficits in CCT2 function can exacerbate protein misfolding disorders like Alzheimer's disease where proteins like tau become aggregated contributing to the pathology. Efforts to understand CCT2's role in these conditions highlight the importance of protein homeostasis in maintaining health.

Product protocols

For this product, it's our understanding that no specific protocols are required. You can visit:

Target data

Component of the chaperonin-containing T-complex (TRiC), a molecular chaperone complex that assists the folding of actin, tubulin and other proteins upon ATP hydrolysis (PubMed : 25467444, PubMed : 36493755, PubMed : 35449234, PubMed : 37193829). The TRiC complex mediates the folding of WRAP53/TCAB1, thereby regulating telomere maintenance (PubMed : 25467444). As part of the TRiC complex may play a role in the assembly of BBSome, a complex involved in ciliogenesis regulating transports vesicles to the cilia (PubMed : 20080638).
See full target information CCT2

Publications (16)

Recent publications for all applications. Explore the full list and refine your search

Nature 637:983-990 PubMed39663456

2024

In situ analysis reveals the TRiC duty cycle and PDCD5 as an open-state cofactor.

Applications

Unspecified application

Species

Unspecified reactive species

Huaipeng Xing,Remus R E Rosenkranz,Piere Rodriguez-Aliaga,Ting-Ting Lee,Tomáš Majtner,Stefanie Böhm,Beata Turoňová,Judith Frydman,Martin Beck

STAR protocols 5:103116 PubMed38848218

2024

Protocol to study CCT-mediated folding of Gβ by single-particle cryo-EM.

Applications

Unspecified application

Species

Unspecified reactive species

Mikaila I Sass,Shuxin Wang,Deirdre Mack,Samuel L Cottam,Peter S Shen,Barry M Willardson

mBio 15:e0049924 PubMed38470055

2024

The recruitment of TRiC chaperonin in rotavirus viroplasms correlates with virus replication.

Applications

Unspecified application

Species

Unspecified reactive species

Janine Vetter,Guido Papa,Kurt Tobler,Javier M Rodriguez,Manuel Kley,Michael Myers,Mahesa Wiesendanger,Elisabeth M Schraner,Daniel Luque,Oscar R Burrone,Cornel Fraefel,Catherine Eichwald

Cancer 130:1435-1448 PubMed38358781

2024

Discovery of a proliferation essential gene signature and actin-like 6A as potential biomarkers for predicting prognosis and neoadjuvant chemotherapy response in triple-positive breast cancer.

Applications

Unspecified application

Species

Unspecified reactive species

Xiaofen Li,Shiping Luo,Wenfen Fu,Mingyao Huang,Xiewei Huang,Shaohong Kang,Jie Zhang,Qingshui Wang,Chuangui Song

Nature communications 13:4848 PubMed35977928

2022

Direct control of lysosomal catabolic activity by mTORC1 through regulation of V-ATPase assembly.

Applications

Unspecified application

Species

Unspecified reactive species

Edoardo Ratto,S Roy Chowdhury,Nora S Siefert,Martin Schneider,Marten Wittmann,Dominic Helm,Wilhelm Palm

Scientific reports 11:13084 PubMed34158536

2021

Native mass spectrometry analyses of chaperonin complex TRiC/CCT reveal subunit N-terminal processing and re-association patterns.

Applications

Unspecified application

Species

Unspecified reactive species

Miranda P Collier,Karen Betancourt Moreira,Kathy H Li,Yu-Chan Chen,Daniel Itzhak,Rahul Samant,Alexander Leitner,Alma Burlingame,Judith Frydman

Nucleic acid therapeutics : PubMed33534636

2021

Solid-Phase Separation of Toxic Phosphorothioate Antisense Oligonucleotide-Protein Nucleolar Aggregates Is Cytoprotective.

Applications

Unspecified application

Species

Unspecified reactive species

Xue-Hai Liang,Cheryl Li De Hoyos,Wen Shen,Lingdi Zhang,Michael Fazio,Stanley T Crooke

Molecular cell 78:346-358.e9 PubMed32268123

2020

DNAJB6, a Key Factor in Neuronal Sensitivity to Amyloidogenesis.

Applications

Unspecified application

Species

Unspecified reactive species

Arun Thiruvalluvan,Eduardo P de Mattos,Jeanette F Brunsting,Rob Bakels,Despina Serlidaki,Lara Barazzuol,Paola Conforti,Azra Fatima,Seda Koyuncu,Elena Cattaneo,David Vilchez,Steven Bergink,Erik H W G Boddeke,Sjef Copray,Harm H Kampinga

Cell death & disease 10:644 PubMed31501420

2019

CCT3 acts upstream of YAP and TFCP2 as a potential target and tumour biomarker in liver cancer.

Applications

Unspecified application

Species

Unspecified reactive species

Ya Liu,Xiao Zhang,Jiafei Lin,Yuxin Chen,Yongxia Qiao,Susu Guo,Yueyue Yang,Guoqing Zhu,Qiuhui Pan,Jiayi Wang,Fenyong Sun

Proceedings of the National Academy of Sciences of 115:E5756-E5765 PubMed29866826

2018

A stress-induced response complex (SIRC) shuttles miRNAs, siRNAs, and oligonucleotides to the nucleus.

Applications

Unspecified application

Species

Unspecified reactive species

Daniela Castanotto,Xiaowei Zhang,Jessica Alluin,Xizhe Zhang,Jacqueline Rüger,Brian Armstrong,John Rossi,Arthur Riggs,C A Stein
View all publications

Product promise

We are committed to supporting your work with high-quality reagents, and we're here for you every step of the way. In the unlikely event that one of our products does not perform as expected, you're protected by our Product Promise.
For full details, please see our Terms & Conditions

Please note: All products are 'FOR RESEARCH USE ONLY. NOT FOR USE IN DIAGNOSTIC OR THERAPEUTIC PROCEDURES'.

For licensing inquiries, please contact partnerships@abcam.com