JavaScript is disabled in your browser. Please enable JavaScript to view this website.
AB247598

Anti-CCT2 antibody [EPR4084] - BSA and Azide free

Be the first to review this product! Submit a review

|

(1 Publication)

Rabbit Recombinant Monoclonal CCT2 antibody. Carrier free. Suitable for IHC-P, IP, WB, ICC/IF, Flow Cyt (Intra) and reacts with Rat, Mouse, Human samples. Cited in 1 publication.

View Alternative Names

99D8.1, CCTB, CCT2, T-complex protein 1 subunit beta, TCP-1-beta, CCT-beta, Chaperonin containing T-complex polypeptide 1 subunit 2

7 Images
Immunohistochemistry (Formalin/PFA-fixed paraffin-embedded sections) - Anti-CCT2 antibody [EPR4084] - BSA and Azide free (AB247598)
  • IHC-P

Unknown

Immunohistochemistry (Formalin/PFA-fixed paraffin-embedded sections) - Anti-CCT2 antibody [EPR4084] - BSA and Azide free (AB247598)

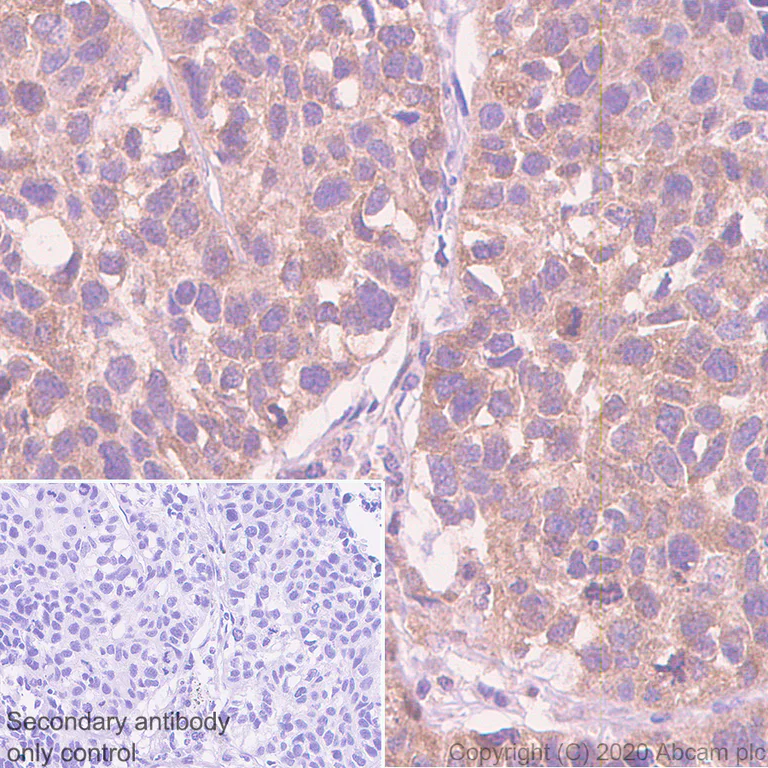
Immunohistochemistry (Formalin/PFA-fixed paraffin-embedded sections) analysis of human lung carcinoma tissue sections labeling CCT2 with purified ab92746 at 1/24000 dilution (0.012 μg/mL). Heat mediated antigen retrieval was performed using Bond™ Epitope Retrieval Solution 1 (pH 6.0). Rabbit specific IHC polymer detection kit HRP/DAB (ab209101) was used as the secondary antibody. Negative control : PBS instead of the primary antibody. Hematoxylin was used as a counterstain.
The immunostaining was performed on a Leica Biosystems BOND® RX instrument.

This data was developed using the same antibody clone in a different buffer formulation containing PBS, BSA, glycerol, and sodium azide (ab92746).

Flow Cytometry (Intracellular) - Anti-CCT2 antibody [EPR4084] - BSA and Azide free (AB247598)
  • Flow Cyt (Intra)

Unknown

Flow Cytometry (Intracellular) - Anti-CCT2 antibody [EPR4084] - BSA and Azide free (AB247598)

Intracellular Flow Cytometry analysis of HeLa (Human cervix adenocarcinoma epithelial cell) cells labeling CCT2 with Purified ab92746 at 1/30 dilution (10μg/mL) (Red). Cells were fixed with 4% Paraformaldehyde and permeabilised with 90% Methanol. A Goat anti rabbit IgG (Alexa Fluor® 488, ab150077) secondary antibody was used at 1/2000. Isotype control - Rabbit monoclonal IgG (Black). Unlabeled control - Cell without incubation with primary antibody and secondary antibody (Blue). This data was developed using the same antibody clone in a different buffer formulation containing PBS,BSA,glycerol,and sodium azide (ab92746).

Immunocytochemistry/ Immunofluorescence - Anti-CCT2 antibody [EPR4084] - BSA and Azide free (AB247598)
  • ICC/IF

Unknown

Immunocytochemistry/ Immunofluorescence - Anti-CCT2 antibody [EPR4084] - BSA and Azide free (AB247598)

Immunocytochemistry/ Immunofluorescence analysis of MCF7 (Human breast adenocarcinoma epithelial cell) cells labeling CCT2 with Purified ab92746 at 1 : 500 dilution (0.6 μg/mL). Cells were fixed in 4% Paraformaldehyde and permeabilized with 0.1% tritonX-100. Cells were counterstained with ab195889 Anti-alpha Tubulin antibody [DM1A] - Microtubule Marker (Alexa Fluor® 594) 1 : 200 (2.5 μg/mL). Goat anti rabbit IgG (Alexa Fluor® 488, ab150077) was used as the secondary antibody at 1 : 1000 (2 μg/ml) dilution. DAPI (blue) was used as nuclear counterstain. PBS instead of the primary antibody was used as the secondary antibody only control.

This data was developed using the same antibody clone in a different buffer formulation containing PBS, BSA, glycerol, and sodium azide (ab92746).

Immunoprecipitation - Anti-CCT2 antibody [EPR4084] - BSA and Azide free (AB247598)
  • IP

Unknown

Immunoprecipitation - Anti-CCT2 antibody [EPR4084] - BSA and Azide free (AB247598)

Purified ab92746 at 1 : 30 dilution (2μg) immunoprecipitating CCT2 in HeLa whole cell lysate.
Lane 1 (input) : HeLa (Human cervix adenocarcinoma epithelial cell) whole cell lysate 10μg
Lane 2 (+) : ab92746 + HeLa whole cell lysate.
Lane 3 (-) : Rabbit monoclonal IgG (ab172730) instead of ab92746 in HeLa whole cell lysate.
Blocking Buffer and concentration : 5% NFDM/TBST.
Diluting buffer and concentration : 5% NFDM/TBST.
Observed band size : 57 kDa

This data was developed using the same antibody clone in a different buffer formulation containing PBS, BSA, glycerol, and sodium azide (ab92746).

All lanes:

Immunoprecipitation - Anti-CCT2 antibody [EPR4084] (<a href='/en-us/products/primary-antibodies/cct2-antibody-epr4084-ab92746'>ab92746</a>)

Predicted band size: 57 kDa

false

Immunohistochemistry (Formalin/PFA-fixed paraffin-embedded sections) - Anti-CCT2 antibody [EPR4084] - BSA and Azide free (AB247598)
  • IHC-P

Unknown

Immunohistochemistry (Formalin/PFA-fixed paraffin-embedded sections) - Anti-CCT2 antibody [EPR4084] - BSA and Azide free (AB247598)

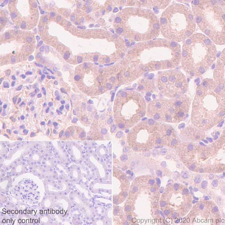
Immunohistochemistry (Formalin/PFA-fixed paraffin-embedded sections) analysis of mouse kidney tissue sections labeling CCT2 with purified ab92746 at 1/24000 dilution (0.012 μg/mL). Heat mediated antigen retrieval was performed using Bond™ Epitope Retrieval Solution 1 (pH 6.0). Rabbit specific IHC polymer detection kit HRP/DAB (ab209101) was used as the secondary antibody. Negative control : PBS instead of the primary antibody. Hematoxylin was used as a counterstain.
The immunostaining was performed on a Leica Biosystems BOND® RX instrument.

This data was developed using the same antibody clone in a different buffer formulation containing PBS, BSA, glycerol, and sodium azide (ab92746).

Immunohistochemistry (Formalin/PFA-fixed paraffin-embedded sections) - Anti-CCT2 antibody [EPR4084] - BSA and Azide free (AB247598)
  • IHC-P

Unknown

Immunohistochemistry (Formalin/PFA-fixed paraffin-embedded sections) - Anti-CCT2 antibody [EPR4084] - BSA and Azide free (AB247598)

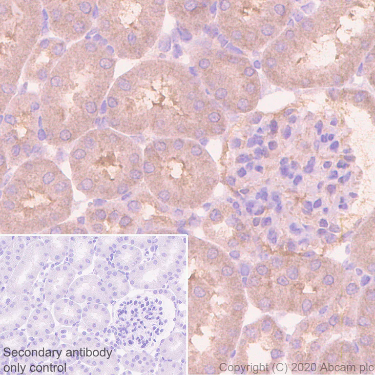
Immunohistochemistry (Formalin/PFA-fixed paraffin-embedded sections) analysis of rat kidney tissue sections labeling CCT2 with purified ab92746 at 1/24000 dilution (0.012 μg/mL). Heat mediated antigen retrieval was performed using Bond™ Epitope Retrieval Solution 1 (pH 6.0). Rabbit specific IHC polymer detection kit HRP/DAB (ab209101) was used as the secondary antibody. Negative control : PBS instead of the primary antibody. Hematoxylin was used as a counterstain.
The immunostaining was performed on a Leica Biosystems BOND® RX instrument.

This data was developed using the same antibody clone in a different buffer formulation containing PBS, BSA, glycerol, and sodium azide (ab92746).

Western blot - Anti-CCT2 antibody [EPR4084] - BSA and Azide free (AB247598)
  • WB

Unknown

Western blot - Anti-CCT2 antibody [EPR4084] - BSA and Azide free (AB247598)

Blocking/Diluting buffer : 5% NFDM/TBST

This data was developed using the same antibody clone in a different buffer formulation containing PBS, BSA, glycerol, and sodium azide (ab92746).

All lanes:

Western blot - Anti-CCT2 antibody [EPR4084] (<a href='/en-us/products/primary-antibodies/cct2-antibody-epr4084-ab92746'>ab92746</a>) at 1/10000 dilution

Lane 1:

HeLa (Human cervix adenocarcinoma epithelial cell) whole cell lysate at 15 µg

Lane 2:

Human brain lysate at 15 µg

Lane 3:

Mouse brain lysate at 15 µg

Lane 4:

Rat brain lysate at 15 µg

Secondary

All lanes:

Goat Anti-Rabbit IgG (HRP) with minimal cross-reactivity with human IgG at 1/2000 dilution

Predicted band size: 57 kDa

Observed band size: 57 kDa

false

Key facts

Host species

Rabbit

Clonality

Monoclonal

Clone number

EPR4084

Isotype

IgG

Carrier free

Yes

Reacts with

Mouse, Rat, Human

Applications

IHC-P, ICC/IF, Flow Cyt (Intra), IP, WB

applications

Immunogen

The exact immunogen used to generate this antibody is proprietary information.

Reactivity data

{ "title": "Reactivity Data", "filters": { "stats": ["", "Species", "Dilution Info", "Notes"], "tabs": { "all-applications": {"fullname" : "All Applications", "shortname": "All Applications"}, "IHCP" : {"fullname" : "Immunohistochemistry (Formalin/PFA-fixed paraffin-embedded sections)", "shortname":"IHC-P"}, "IP" : {"fullname" : "Immunoprecipitation", "shortname":"IP"}, "WB" : {"fullname" : "Western blot", "shortname":"WB"}, "ICCIF" : {"fullname" : "Immunocytochemistry/ Immunofluorescence", "shortname":"ICC/IF"}, "FlowCytIntra" : {"fullname" : "Flow Cytometry (Intracellular)", "shortname":"Flow Cyt (Intra)"} }, "product-promise": { "all": "all", "testedAndGuaranteed": "tested", "guaranteed": "expected", "predicted": "predicted", "notRecommended": "not-recommended" } }, "values": { "Human": { "IHCP-species-checked": "testedAndGuaranteed", "IHCP-species-dilution-info": "", "IHCP-species-notes": "<p></p>", "IP-species-checked": "testedAndGuaranteed", "IP-species-dilution-info": "", "IP-species-notes": "<p></p>", "WB-species-checked": "testedAndGuaranteed", "WB-species-dilution-info": "", "WB-species-notes": "<p></p>", "ICCIF-species-checked": "testedAndGuaranteed", "ICCIF-species-dilution-info": "", "ICCIF-species-notes": "<p></p>", "FlowCytIntra-species-checked": "testedAndGuaranteed", "FlowCytIntra-species-dilution-info": "", "FlowCytIntra-species-notes": "<p></p>" }, "Mouse": { "IHCP-species-checked": "testedAndGuaranteed", "IHCP-species-dilution-info": "", "IHCP-species-notes": "<p></p>", "IP-species-checked": "guaranteed", "IP-species-dilution-info": "", "IP-species-notes": "", "WB-species-checked": "testedAndGuaranteed", "WB-species-dilution-info": "", "WB-species-notes": "<p></p>", "ICCIF-species-checked": "guaranteed", "ICCIF-species-dilution-info": "", "ICCIF-species-notes": "", "FlowCytIntra-species-checked": "guaranteed", "FlowCytIntra-species-dilution-info": "", "FlowCytIntra-species-notes": "" }, "Rat": { "IHCP-species-checked": "testedAndGuaranteed", "IHCP-species-dilution-info": "", "IHCP-species-notes": "<p></p>", "IP-species-checked": "guaranteed", "IP-species-dilution-info": "", "IP-species-notes": "", "WB-species-checked": "testedAndGuaranteed", "WB-species-dilution-info": "", "WB-species-notes": "<p></p>", "ICCIF-species-checked": "guaranteed", "ICCIF-species-dilution-info": "", "ICCIF-species-notes": "", "FlowCytIntra-species-checked": "guaranteed", "FlowCytIntra-species-dilution-info": "", "FlowCytIntra-species-notes": "" } } }

Product details

ab247598 is the carrier-free version of ab92746.

Patented technology
Our RabMAb® technology is a patented hybridoma-based technology for making rabbit monoclonal antibodies. For details on our patents, please refer to RabMAb® patents.

What are the advantages of a recombinant monoclonal antibody?
This product is a recombinant monoclonal antibody, which offers several advantages including:

  • - High batch-to-batch consistency and reproducibility
  • - Improved sensitivity and specificity
  • - Long-term security of supply
  • - Animal-free batch production

For more information, read more on recombinant antibodies.

Conjugation ready
Our carrier-free antibodies are typically supplied in a PBS-only formulation, purified and free of BSA, sodium azide and glycerol. This conjugation-ready format is designed for use with fluorochromes, metal isotopes, oligonucleotides, and enzymes, which makes them ideal for antibody labelling, functional and cell-based assays, flow-based assays (e.g. mass cytometry) and Multiplex Imaging applications.

Use our conjugation kits for antibody conjugates that are ready-to-use in as little as 20 minutes with 1 minute hands-on-time and 100% antibody recovery: available for fluorescent dyes, HRP, biotin and gold.

Compatibility
This product is compatible with the Maxpar® Antibody Labeling Kit from Fluidigm, without the need for antibody preparation. Maxpar® is a trademark of Fluidigm Canada Inc.

Properties and storage information

Form
Liquid
Purification technique
Affinity purification Protein A
Storage buffer
pH: 7.2 - 7.4 Constituents: PBS
Shipped at conditions
Blue Ice
Appropriate short-term storage conditions
+4°C
Appropriate long-term storage conditions
+4°C
Storage information
Do Not Freeze

Supplementary information

This supplementary information is collated from multiple sources and compiled automatically.

CCT2 also known as Chaperonin Containing TCP1 Subunit 2 is part of a group of proteins responsible for facilitating the correct folding of other proteins. It functions as a molecular chaperone and has a molecular weight of approximately 58 kDa. CCT2 is expressed in many tissues with high levels detected in testis and brain tissues. This protein is integral to the chaperonin CCT (or TRiC) complex contributing to essential cellular processes through its role in protein homeostasis.
Biological function summary

CCT2 assists in the folding of cytoskeletal proteins like actin and tubulin which are vital for maintaining the structure and function of cells. As part of the CCT complex which consists of eight different subunits CCT2 plays a significant role in ensuring the proper assembly of multi-protein complexes. The activity of CCT2 is important for the prevention of aggregate formation which otherwise leads to cellular stress.

Pathways

CCT2 significantly influences the protein folding and degradation pathways. It participates in the cellular pathways that govern the proteostasis network collaborating with other chaperones to oversee protein quality control. Related proteins interacting with CCT2 within these pathways include other CCT complex components like CCT3 and CCT4 all contributing to maintaining cellular homeostasis and protecting cells from proteotoxic damage.

CCT2 is connected to cancer and neurodegenerative diseases. Altered expression of CCT2 is linked to the progression of tumor growth interacting with proteins involved in cell cycle regulation and signaling such as p53. Additionally deficits in CCT2 function can exacerbate protein misfolding disorders like Alzheimer's disease where proteins like tau become aggregated contributing to the pathology. Efforts to understand CCT2's role in these conditions highlight the importance of protein homeostasis in maintaining health.

Product protocols

For this product, it's our understanding that no specific protocols are required. You can visit:

Target data

Component of the chaperonin-containing T-complex (TRiC), a molecular chaperone complex that assists the folding of proteins upon ATP hydrolysis (PubMed : 25467444). The TRiC complex mediates the folding of WRAP53/TCAB1, thereby regulating telomere maintenance (PubMed : 25467444). As part of the TRiC complex may play a role in the assembly of BBSome, a complex involved in ciliogenesis regulating transports vesicles to the cilia (PubMed : 20080638). The TRiC complex plays a role in the folding of actin and tubulin (Probable).
See full target information CCT2

Publications (1)

Recent publications for all applications. Explore the full list and refine your search

TH open : companion journal to thrombosis and haemostasis 7:e217-e225 PubMed37501780

2023

Levels of Fibrinogen Variants Are Altered in Severe COVID-19.

Applications

Unspecified application

Species

Unspecified reactive species

Judith J de Vries,Chantal Visser,Maureen van Ommen,Casper Rokx,Els van Nood,Eric C M van Gorp,Marco Goeijenbier,Johannes P C van den Akker,Henrik Endeman,Dingeman C Rijken,Marieke J H A Kruip,Miranda Weggeman,Jaap Koopman,Moniek P M de Maat
View all publications

Product promise

We are committed to supporting your work with high-quality reagents, and we're here for you every step of the way. In the unlikely event that one of our products does not perform as expected, you're protected by our Product Promise.
For full details, please see our Terms & Conditions

Please note: All products are 'FOR RESEARCH USE ONLY. NOT FOR USE IN DIAGNOSTIC OR THERAPEUTIC PROCEDURES'.

For licensing inquiries, please contact partnerships@abcam.com