JavaScript is disabled in your browser. Please enable JavaScript to view this website.
AB317578

Anti-CCXCR1/XCR1 antibody [CIA207A]

Be the first to review this product! Submit a review

|

(0 Publication)

Rat Recombinant Monoclonal CCXCR1/XCR1 antibody. Suitable for I-ELISA, IHC-P and reacts with Recombinant fragment - Human, Human samples.

View Alternative Names

CCXCR1, GPR5, XCR1, Chemokine XC receptor 1, G-protein coupled receptor 5, Lymphotactin receptor, XC chemokine receptor 1

5 Images
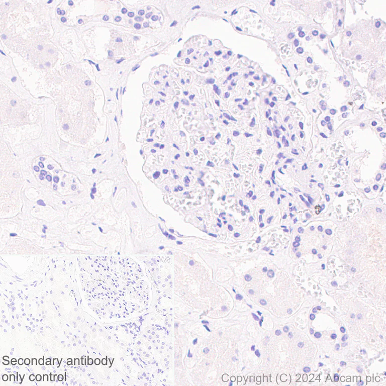
Immunohistochemistry (Formalin/PFA-fixed paraffin-embedded sections) - Anti-CCXCR1/XCR1 antibody [CIA207A] (AB317578)
  • IHC-P

Supplier Data

Immunohistochemistry (Formalin/PFA-fixed paraffin-embedded sections) - Anti-CCXCR1/XCR1 antibody [CIA207A] (AB317578)

Immunohistochemical analysis of paraffin-embedded Human kidney tissue labeling CCXCR1/XCR1 with ab317578 at 1/100 (8.79 ug/ml) dilution, followed by a ready to use Goat Anti-Rat IgG H&L (HRP polymer) (ab214882).

Negative control : No staining on human kidney.
The section was incubated with ab317578 for 30 mins at room temperature.
The immunostaining was performed on a Leica Biosystems BOND® RX instrument

Counterstained with Hematoxylin.

Secondary antibody only control : Secondary antibody is a ready to use Goat Anti-Rat IgG H&L (HRP polymer) (ab214882).

Heat mediated antigen retrieval was performed with Tris-EDTA buffer (pH 9.0, Epitope Retrieval Solution2) for 20 mins

Immunohistochemistry (Formalin/PFA-fixed paraffin-embedded sections) - Anti-CCXCR1/XCR1 antibody [CIA207A] (AB317578)
  • IHC-P

Supplier Data

Immunohistochemistry (Formalin/PFA-fixed paraffin-embedded sections) - Anti-CCXCR1/XCR1 antibody [CIA207A] (AB317578)

Immunohistochemical analysis of paraffin-embedded Human skeletal muscle tissue labeling CCXCR1/XCR1 with ab317578 at 1/100 (8.79 ug/ml) dilution, followed by a ready to use Goat Anti-Rat IgG H&L (HRP polymer) (ab214882).

Negative control : No staining on human skeletal muscle.
The section was incubated with ab317578 for 30 mins at room temperature.
The immunostaining was performed on a Leica Biosystems BOND® RX instrument

Counterstained with Hematoxylin.

Secondary antibody only control : Secondary antibody is a ready to use Goat Anti-Rat IgG H&L (HRP polymer) (ab214882).

Heat mediated antigen retrieval was performed with Tris-EDTA buffer (pH 9.0, Epitope Retrieval Solution2) for 20 mins

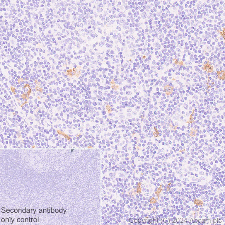
Immunohistochemistry (Formalin/PFA-fixed paraffin-embedded sections) - Anti-CCXCR1/XCR1 antibody [CIA207A] (AB317578)
  • IHC-P

Supplier Data

Immunohistochemistry (Formalin/PFA-fixed paraffin-embedded sections) - Anti-CCXCR1/XCR1 antibody [CIA207A] (AB317578)

Immunohistochemical analysis of paraffin-embedded Human tonsil tissue labeling CCXCR1/XCR1 with ab317578 at 1/100 (8.79 ug/ml) dilution, followed by a ready to use Goat Anti-Rat IgG H&L (HRP polymer) (ab214882).

Positive staining on human tonsil.
The section was incubated with ab317578 for 30 mins at room temperature.
The immunostaining was performed on a Leica Biosystems BOND® RX instrument

Counterstained with Hematoxylin.

Secondary antibody only control : Secondary antibody is a ready to use Goat Anti-Rat IgG H&L (HRP polymer) (ab214882).

Heat mediated antigen retrieval was performed with Tris-EDTA buffer (pH 9.0, Epitope Retrieval Solution2) for 20 mins

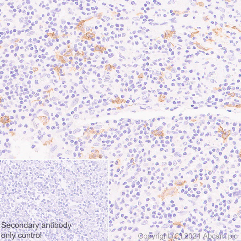
Immunohistochemistry (Formalin/PFA-fixed paraffin-embedded sections) - Anti-CCXCR1/XCR1 antibody [CIA207A] (AB317578)
  • IHC-P

Supplier Data

Immunohistochemistry (Formalin/PFA-fixed paraffin-embedded sections) - Anti-CCXCR1/XCR1 antibody [CIA207A] (AB317578)

Immunohistochemical analysis of paraffin-embedded Human Hodgkin's lymphoma tissue labeling CCXCR1/XCR1 with ab317578 at 1/100 (8.79 ug/ml) dilution, followed by a ready to use Goat Anti-Rat IgG H&L (HRP polymer) (ab214882).

Positive staining on human Hodgkin's lymphoma.
The section was incubated with ab317578 for 30 mins at room temperature.
The immunostaining was performed on a Leica Biosystems BOND® RX instrument

Counterstained with Hematoxylin.

Secondary antibody only control : Secondary antibody is a ready to use Goat Anti-Rat IgG H&L (HRP polymer) (ab214882).

Heat mediated antigen retrieval was performed with Tris-EDTA buffer (pH 9.0, Epitope Retrieval Solution2) for 20 mins

Indirect ELISA - Anti-CCXCR1/XCR1 antibody [CIA207A] (AB317578)
  • I-ELISA

Supplier Data

Indirect ELISA - Anti-CCXCR1/XCR1 antibody [CIA207A] (AB317578)

Indirect ELISA analysis of ab317578 at 2000-0 ng/ml. The Secondary antibody used was Alkaline Phosphatase-conjugated AffiniPure Goat Anti-Rat IgG (H+L) at 1 : 1000 dilution.

Antigen : Human CCXCR1/XCR1.

Antigen concentration : 1000 ng/ml

  • Carrier free

    Anti-CCXCR1/XCR1 antibody [CIA207A] - BSA and Azide free

Key facts

Host species

Rat

Clonality

Monoclonal

Clone number

CIA207A

Isotype

IgG2a

Carrier free

No

Reacts with

Human

Applications

IHC-P, I-ELISA

applications

Reactivity data

{ "title": "Reactivity Data", "filters": { "stats": ["", "Species", "Dilution Info", "Notes"], "tabs": { "all-applications": {"fullname" : "All Applications", "shortname": "All Applications"}, "IELISA" : {"fullname" : "Indirect ELISA", "shortname":"I-ELISA"}, "IHCP" : {"fullname" : "Immunohistochemistry (Formalin/PFA-fixed paraffin-embedded sections)", "shortname":"IHC-P"} }, "product-promise": { "all": "all", "testedAndGuaranteed": "tested", "guaranteed": "expected", "predicted": "predicted", "notRecommended": "not-recommended" } }, "values": { "Human": { "IELISA-species-checked": "guaranteed", "IELISA-species-dilution-info": "", "IELISA-species-notes": "", "IHCP-species-checked": "testedAndGuaranteed", "IHCP-species-dilution-info": "1/100", "IHCP-species-notes": "<p></p> Perform heat-mediated antigen retrieval with Tris/EDTA buffer pH 9.0 before commencing with IHC staining protocol." }, "Recombinant fragment - Human": { "IELISA-species-checked": "testedAndGuaranteed", "IELISA-species-dilution-info": "2000 ng/mL", "IELISA-species-notes": "<p></p>", "IHCP-species-checked": "notRecommended", "IHCP-species-dilution-info": "", "IHCP-species-notes": "" } } }

Product details

This antibody clone is manufactured by Abcam. If you require a custom buffer formulation or conjugation for your experiments, please contact orders@abcam.com.

What are the advantages of a recombinant monoclonal antibody?
This product is a recombinant monoclonal antibody, which offers several advantages including:

  • - High batch-to-batch consistency and reproducibility
  • - Improved sensitivity and specificity
  • - Long-term security of supply
  • - Animal-free batch production

For more information, read more on recombinant antibodies.

Want a custom formulation?
This antibody clone is manufactured by Abcam. If you require a custom buffer formulation or conjugation for your experiments, please contact orders@abcam.com

Properties and storage information

Form
Liquid
Purification technique
Ion exchange chromatography
Storage buffer
pH: 7.2 - 7.4 Preservative: 0.01% Sodium azide Constituents: PBS, 40% Glycerol (glycerin, glycerine), 0.05% BSA
Shipped at conditions
Blue Ice
Appropriate short-term storage duration
1-2 weeks
Appropriate short-term storage conditions
+4°C
Appropriate long-term storage conditions
-20°C
Aliquoting information
Upon delivery aliquot
Storage information
Avoid freeze / thaw cycle

Supplementary information

This supplementary information is collated from multiple sources and compiled automatically.

CCXCR1 also known as XCR1 is a chemokine receptor belonging to the C class of chemokine receptors. It has a molecular mass of approximately 38 kDa. Structurally CCXCR1 is a G protein-coupled receptor (GPCR) with seven transmembrane domains. It is selectively expressed in dendritic cells particularly in lymphoid tissues and a small subset of CD8+ T cells. CCXCR1 interacts specifically with its ligand XCL1 also known as lymphotactin to perform its function.
Biological function summary

CCXCR1 plays a significant role in immune responses by guiding the migration of dendritic cells to regions of inflammation or infection. This receptor is not part of a larger complex but works independently to achieve its function. It is essential in antigen cross-presentation enabling effective activation of cytotoxic T cells. This function is important for maintaining immune surveillance and initiating immune responses against pathogens.

Pathways

CCXCR1 is an important player in the chemokine signaling pathway and immune response regulation. It cooperates with proteins like CCR7 which also direct dendritic cell migration but to different lymphoid compartments. CCXCR1's activity influences the direction of cell migration helping cells find specific locations where their action is needed. Such coordination is vital for appropriate immune cell trafficking and function within immune systems.

CCXCR1 involvement has a significant link with autoimmune diseases like lupus. Its role in dendritic cell trafficking suggests a part in the defective immune responses observed in these disorders. Additionally research indicates its possible connection to certain cancers where its expression may affect tumor immune evasion. CCXCR1 activity and its regulation could influence disease severity or progression making it a potential target for therapeutic strategies.

Product protocols

For this product, it's our understanding that no specific protocols are required. You can visit:

Target data

Receptor for chemokines SCYC1 and SCYC2. Subsequently transduces a signal by increasing the intracellular calcium ions level. Receptor for XCL1/Lymphotactin.
See full target information XCR1

Product promise

We are committed to supporting your work with high-quality reagents, and we're here for you every step of the way. In the unlikely event that one of our products does not perform as expected, you're protected by our Product Promise.
For full details, please see our Terms & Conditions

Please note: All products are 'FOR RESEARCH USE ONLY. NOT FOR USE IN DIAGNOSTIC OR THERAPEUTIC PROCEDURES'.

For licensing inquiries, please contact partnerships@abcam.com