JavaScript is disabled in your browser. Please enable JavaScript to view this website.
AB188896

Anti-CCXCR1/XCR1 antibody - Cytoplasmic domain

Be the first to review this product! Submit a review

|

(2 Publications)

Rabbit Polyclonal CCXCR1/XCR1 antibody. Cytoplasmic domain. Suitable for IHC-P and reacts with Human samples. Cited in 2 publications. Immunogen corresponding to Synthetic Peptide within Human XCR1.

View Alternative Names

CCXCR1, GPR5, XCR1, Chemokine XC receptor 1, G-protein coupled receptor 5, Lymphotactin receptor, XC chemokine receptor 1

1 Images
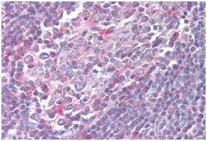
Immunohistochemistry (Formalin/PFA-fixed paraffin-embedded sections) - Anti-CCXCR1/XCR1 antibody - Cytoplasmic domain (AB188896)
  • IHC-P

Supplier Data

Immunohistochemistry (Formalin/PFA-fixed paraffin-embedded sections) - Anti-CCXCR1/XCR1 antibody - Cytoplasmic domain (AB188896)

Immunohistochemical analysis of formalin-fixed, paraffin-embedded Human tonsil tissue labeling CCXCR1/XCR1 with ab188896 at 5 μg/ml.

Key facts

Host species

Rabbit

Clonality

Polyclonal

Isotype

IgG

Carrier free

No

Reacts with

Human

Applications

IHC-P

applications

Immunogen

Synthetic Peptide within Human XCR1. The exact immunogen used to generate this antibody is proprietary information.

P46094

Specificity

BLAST analysis of the peptide immunogen showed no homology with other Human proteins.

Reactivity data

{ "title": "Reactivity Data", "filters": { "stats": ["", "Species", "Dilution Info", "Notes"], "tabs": { "all-applications": {"fullname" : "All Applications", "shortname": "All Applications"}, "IHCP" : {"fullname" : "Immunohistochemistry (Formalin/PFA-fixed paraffin-embedded sections)", "shortname":"IHC-P"} }, "product-promise": { "all": "all", "testedAndGuaranteed": "tested", "guaranteed": "expected", "predicted": "predicted", "notRecommended": "not-recommended" } }, "values": { "Human": { "IHCP-species-checked": "testedAndGuaranteed", "IHCP-species-dilution-info": "5 µg/mL", "IHCP-species-notes": "<p></p> Perform heat-mediated antigen retrieval before commencing with IHC staining protocol." }, "Gorilla": { "IHCP-species-checked": "predicted", "IHCP-species-dilution-info": "", "IHCP-species-notes": "" }, "Monkey": { "IHCP-species-checked": "predicted", "IHCP-species-dilution-info": "", "IHCP-species-notes": "" } } }

Properties and storage information

Form
Liquid
Purification technique
Affinity purification Immunogen
Storage buffer
pH: 7.4 Preservative: 0.1% Sodium azide Constituents: PBS
Shipped at conditions
Blue Ice
Appropriate short-term storage duration
1-2 weeks
Appropriate short-term storage conditions
+4°C
Appropriate long-term storage conditions
-20°C
Aliquoting information
Upon delivery aliquot
Storage information
Avoid freeze / thaw cycle

Supplementary information

This supplementary information is collated from multiple sources and compiled automatically.

CCXCR1 also known as XCR1 is a chemokine receptor belonging to the C class of chemokine receptors. It has a molecular mass of approximately 38 kDa. Structurally CCXCR1 is a G protein-coupled receptor (GPCR) with seven transmembrane domains. It is selectively expressed in dendritic cells particularly in lymphoid tissues and a small subset of CD8+ T cells. CCXCR1 interacts specifically with its ligand XCL1 also known as lymphotactin to perform its function.
Biological function summary

CCXCR1 plays a significant role in immune responses by guiding the migration of dendritic cells to regions of inflammation or infection. This receptor is not part of a larger complex but works independently to achieve its function. It is essential in antigen cross-presentation enabling effective activation of cytotoxic T cells. This function is important for maintaining immune surveillance and initiating immune responses against pathogens.

Pathways

CCXCR1 is an important player in the chemokine signaling pathway and immune response regulation. It cooperates with proteins like CCR7 which also direct dendritic cell migration but to different lymphoid compartments. CCXCR1's activity influences the direction of cell migration helping cells find specific locations where their action is needed. Such coordination is vital for appropriate immune cell trafficking and function within immune systems.

CCXCR1 involvement has a significant link with autoimmune diseases like lupus. Its role in dendritic cell trafficking suggests a part in the defective immune responses observed in these disorders. Additionally research indicates its possible connection to certain cancers where its expression may affect tumor immune evasion. CCXCR1 activity and its regulation could influence disease severity or progression making it a potential target for therapeutic strategies.

Product protocols

For this product, it's our understanding that no specific protocols are required. You can visit:

Target data

Receptor for chemokines SCYC1 and SCYC2. Subsequently transduces a signal by increasing the intracellular calcium ions level. Receptor for XCL1/Lymphotactin.
See full target information XCR1

Publications (2)

Recent publications for all applications. Explore the full list and refine your search

PloS one 15:e0230190 PubMed32203550

2020

The effects of intra-stomach obestatin administration on intestinal contractility in neonatal piglets fed milk formula.

Applications

Unspecified application

Species

Unspecified reactive species

Monika Słupecka-Ziemilska,Paulina Szczurek,Maria Boryczka,Małgorzata Gajewska,Piotr Wychowański,Atsukazu Kuwahara,Ikuo Kato,Żaneta Dzięgelewska,Jarosław Woliński

Anesthesiology 125:573-89 PubMed27387353

2016

Microglial Inhibition Influences XCL1/XCR1 Expression and Causes Analgesic Effects in a Mouse Model of Diabetic Neuropathy.

Applications

Unspecified application

Species

Unspecified reactive species

Magdalena Zychowska,Ewelina Rojewska,Anna Piotrowska,Grzegorz Kreiner,Joanna Mika
View all publications

Product promise

We are committed to supporting your work with high-quality reagents, and we're here for you every step of the way. In the unlikely event that one of our products does not perform as expected, you're protected by our Product Promise.
For full details, please see our Terms & Conditions

Please note: All products are 'FOR RESEARCH USE ONLY. NOT FOR USE IN DIAGNOSTIC OR THERAPEUTIC PROCEDURES'.

For licensing inquiries, please contact partnerships@abcam.com