JavaScript is disabled in your browser. Please enable JavaScript to view this website.
AB256494

Anti-CD10 antibody [EPR22867-118]

5

(5 Reviews)

|

(12 Publications)

Anti-CD10 antibody [EPR22867-118] (ab256494) is a rabbit monoclonal antibody detecting CD10 in Western Blot, IP, IHC-P, IHC-Fr, ICC/IF. Suitable for Human, Mouse, Rat.

- KO validated for confirmed specificity
- Biophysical QC for unrivalled batch-batch consistency

View Alternative Names

CD10, EPN, MME, Neprilysin, Atriopeptidase, Common acute lymphocytic leukemia antigen, Enkephalinase, Neutral endopeptidase 24.11, Skin fibroblast elastase, CALLA, NEP, Neutral endopeptidase, SFE

13 Images
Immunocytochemistry/ Immunofluorescence - Anti-CD10 antibody [EPR22867-118] (AB256494)
  • ICC/IF

Unknown

Immunocytochemistry/ Immunofluorescence - Anti-CD10 antibody [EPR22867-118] (AB256494)

Immunofluorescent analysis of 100% Methanol-fixed, Ramos (human Burkitt's lymphoma B lymphocyte) cells labelling CD10 with ab256494 at 1/500 dilution, followed by ab256494 anti- CD10 ab150077 AlexaFluor®488 Goat anti-Rabbit secondary antibody at 1/1000 dilution (Green).Confocal image showing membranous staining in Ramos cell line is observed. ab195889 Anti-alpha Tubulin antibody [DM1A] - Microtubule Marker (Alexa Fluor® 594) was used to counterstain tubulin at 1/200 dilution (Red). The Nuclear counterstain was DAPI (Blue). Negative control : HT-29 (PMID : 19828468)

Secondary antibody only control : Secondary antibody is ab256494 anti- CD10 ab150077 AlexaFluor®488 Goat anti-Rabbit secondary at 1/1000 dilution.

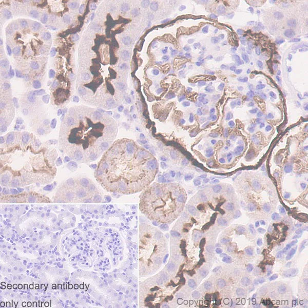
Immunohistochemistry (Formalin/PFA-fixed paraffin-embedded sections) - Anti-CD10 antibody [EPR22867-118] (AB256494)
  • IHC-P

Unknown

Immunohistochemistry (Formalin/PFA-fixed paraffin-embedded sections) - Anti-CD10 antibody [EPR22867-118] (AB256494)

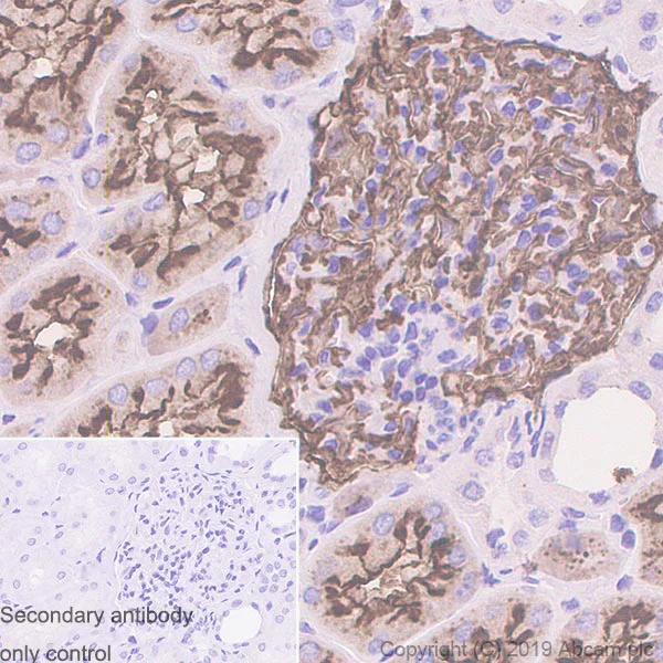
Immunohistochemical analysis of paraffin-embedded Human kidney tissue labeling CD10 with ab256494 at 1/500 dilution followed by a ready to use Goat Anti-Rabbit IgG H&L (HRP). Positive staining on proximal convoluted tubules and glomerular epithelial cells of human kidney (PMID : 10705818) is observed. Counterstained with Hematoxylin.

Secondary antibody only control : Secondary antibody is a ready to use Goat Anti-Rabbit IgG H&L (HRP).

Heat mediated antigen retrieval using ab93684 (Tris/EDTA buffer, pH 9.0).

Immunohistochemistry (Formalin/PFA-fixed paraffin-embedded sections) - Anti-CD10 antibody [EPR22867-118] (AB256494)
  • IHC-P

Unknown

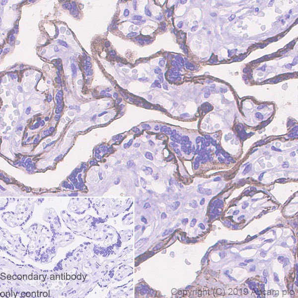
Immunohistochemistry (Formalin/PFA-fixed paraffin-embedded sections) - Anti-CD10 antibody [EPR22867-118] (AB256494)

Immunohistochemical analysis of paraffin-embedded Human placenta tissue labeling CD10 with ab256494 at 1/500 dilution followed by a ready to use Goat Anti-Rabbit IgG H&L (HRP). Membranous staining on syncytiotrophoblast layer of human placenta (PMID : 11092533) is observed. Counterstained with Hematoxylin.

Secondary antibody only control : Secondary antibody is a ready to use Goat Anti-Rabbit IgG H&L (HRP).

Heat mediated antigen retrieval using ab93684 (Tris/EDTA buffer, pH 9.0).

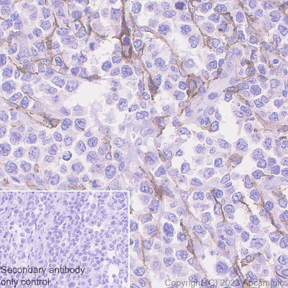
Immunohistochemistry (Formalin/PFA-fixed paraffin-embedded sections) - Anti-CD10 antibody [EPR22867-118] (AB256494)
  • IHC-P

Lab

Immunohistochemistry (Formalin/PFA-fixed paraffin-embedded sections) - Anti-CD10 antibody [EPR22867-118] (AB256494)

Immunohistochemical analysis of paraffin-embedded Human diffuse large B-cell lymphoma labelling CD10 with ab256494 at 1/500 dilution, followed by a Goat Anti-Rabbit IgG H&L (HRP polymer) ready to use (ab214880). Positive staining on Human diffuse large B-cell lymphoma is observed. Counter stained with hematoxylin. Secondary antibody only control : Used PBS instead of primary antibody, secondary antibody is a Goat Anti-Rabbit IgG H&L (HRP polymer) ready to use. Heat mediated antigen retrieval using ab93684 (Tris/EDTA buffer, pH 9.0).

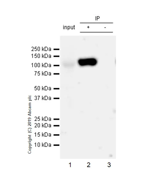
Immunoprecipitation - Anti-CD10 antibody [EPR22867-118] (AB256494)
  • IP

Unknown

Immunoprecipitation - Anti-CD10 antibody [EPR22867-118] (AB256494)

CD10 was immunoprecipitated from 0.35 mg Raji (human Burkitt's lymphoma B lymphocyte) whole cell lysate with ab256494 at 1/30 (2ug in 0.35mg lysates). Western blot was performed on the immunoprecipitate using ab256494 at 1/1000 dilution. VeriBlot for IP Detection Reagent (HRP) (ab131366) was used at 1/5000 dilution.

Lane 1 : Raji (human Burkitt's lymphoma B lymphocyte) whole cell lysate 10ug

Lane 2 : ab256494 IP in Raji whole cell lysate

Lane 3 : Rabbit monoclonal IgG (ab172730) instead of ab256494 in Raji whole cell lysate

Blocking and dilution buffer and concentration : 5% NFDM/TBST.

Exposure time : 3 min

All lanes:

Immunoprecipitation - Anti-CD10 antibody [EPR22867-118] (ab256494)

Predicted band size: 85 kDa

false

Immunohistochemistry (Formalin/PFA-fixed paraffin-embedded sections) - Anti-CD10 antibody [EPR22867-118] (AB256494)
  • IHC-P

Unknown

Immunohistochemistry (Formalin/PFA-fixed paraffin-embedded sections) - Anti-CD10 antibody [EPR22867-118] (AB256494)

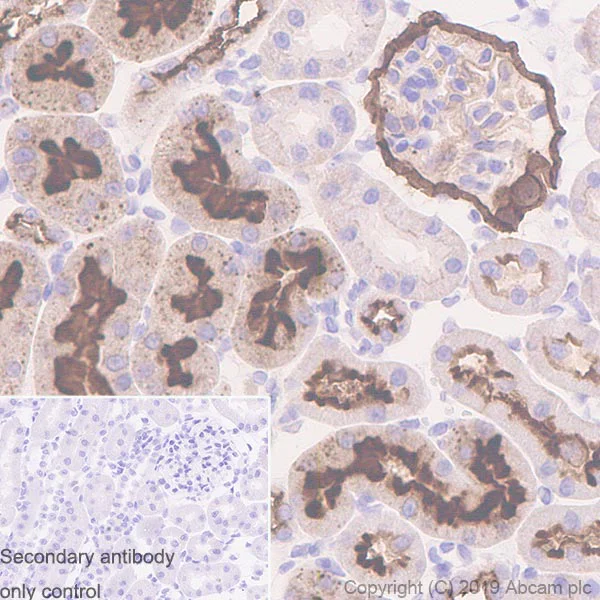
Immunohistochemical analysis of paraffin-embedded Rat kidney tissue labeling CD10 with ab256494 at 1/500 dilution followed by a ready to use Goat Anti-Rabbit IgG H&L (HRP). Membranous staining on renal tubules and of rat kidney (PMID : 10705818) is observed. Counterstained with Hematoxylin.

Secondary antibody only control : Secondary antibody is a ready to use Goat Anti-Rabbit IgG H&L (HRP).

Heat mediated antigen retrieval using ab93684 (Tris/EDTA buffer, pH 9.0).

Immunocytochemistry/ Immunofluorescence - Anti-CD10 antibody [EPR22867-118] (AB256494)
  • ICC/IF

Unknown

Immunocytochemistry/ Immunofluorescence - Anti-CD10 antibody [EPR22867-118] (AB256494)

Immunofluorescent analysis of 100% Methanol-fixed WEHI-231 (mouse B cell lymphoma B lymphocyte) cells labelling CD10 with ab256494 at 1/500 dilution, followed by ab256494 anti- CD10 ab150077 AlexaFluor®488 Goat anti-Rabbit secondary antibody at 1/1000 dilution (Green). Confocal image showing staining in WEHI-231 cell line is observed. ab195889 Anti-alpha Tubulin antibody [DM1A] - Microtubule Marker (Alexa Fluor® 594) was used to counterstain tubulin at 1/200 dilution (Red). The Nuclear counterstain was DAPI (Blue).

Secondary antibody only control : Secondary antibody is ab256494 anti- CD10 ab150077 AlexaFluor®488 Goat anti-Rabbit secondary at 1/1000 dilution.

Immunohistochemistry (Frozen sections) - Anti-CD10 antibody [EPR22867-118] (AB256494)
  • IHC-Fr

Unknown

Immunohistochemistry (Frozen sections) - Anti-CD10 antibody [EPR22867-118] (AB256494)

Immunohistochemical analysis of 4% PFA fixed 0.2% Triton X-100 permeabilized frozen Rat kidney tissue labeling CD10 with ab256494 at 1/100 (5.45 μg/ml) dilution followed by ab150077 AlexaFluor®488 Goat anti-Rabbit secondary at 1/1000 (2 μg/ml) dilution. The nuclear counterstain was DAPI (Blue). Heat mediated antigen retrieval using sodium citrate buffer (10mM citrate pH 6.0 + 0.05% Tween-20).

Secondary antibody only control : Used PBS instead of primary antibody, secondary antibody was ab150077 AlexaFluor®488 Goat anti-Rabbit secondary at 1/1000 (2 μg/ml) dilution.

Immunocytochemistry/ Immunofluorescence - Anti-CD10 antibody [EPR22867-118] (AB256494)
  • ICC/IF

Unknown

Immunocytochemistry/ Immunofluorescence - Anti-CD10 antibody [EPR22867-118] (AB256494)

Immunofluorescent analysis of 100% Methanol-fixed 2.4G2 (rat B cell lymphoma B lymphocyte) cells labelling CD10 with ab256494 at 1/500 dilution, followed by ab256494 anti- CD10 ab150077 AlexaFluor®488 Goat anti-Rabbit secondary antibody at 1/1000 dilution (Green). Confocal image showing staining in 2.4G2 cell line is observed. ab195889 Anti-alpha Tubulin antibody [DM1A] - Microtubule Marker (Alexa Fluor® 594) was used to counterstain tubulin at 1/200 dilution (Red). The Nuclear counterstain was DAPI (Blue).

Secondary antibody only control : Secondary antibody is ab256494 anti- CD10 ab150077 AlexaFluor®488 Goat anti-Rabbit secondary at 1/1000 dilution.

Immunohistochemistry (Formalin/PFA-fixed paraffin-embedded sections) - Anti-CD10 antibody [EPR22867-118] (AB256494)
  • IHC-P

Unknown

Immunohistochemistry (Formalin/PFA-fixed paraffin-embedded sections) - Anti-CD10 antibody [EPR22867-118] (AB256494)

Immunohistochemical analysis of paraffin-embedded Mouse kidney tissue labeling CD10 with ab256494 at 1/500 dilution followed by a ready to use Goat Anti-Rabbit IgG H&L (HRP). Membranous staining on renal tubules and of mouse kidney (PMID : 10705818) is observed. Counterstained with Hematoxylin.

Secondary antibody only control : Secondary antibody is a ready to use Goat Anti-Rabbit IgG H&L (HRP).

Heat mediated antigen retrieval using ab93684 (Tris/EDTA buffer, pH 9.0).

Immunohistochemistry (Frozen sections) - Anti-CD10 antibody [EPR22867-118] (AB256494)
  • IHC-Fr

Unknown

Immunohistochemistry (Frozen sections) - Anti-CD10 antibody [EPR22867-118] (AB256494)

Immunohistochemical analysis of 4% PFA fixed 0.2% Triton X-100 permeabilized frozen Mouse kidney tissue labeling CD10 with ab256494 at 1 : 100 (5.45 μg/ml) dilution followed by ab150077 AlexaFluor®488 Goat anti-Rabbit secondary at 1/1000 (2 μg/ml) dilution. The nuclear counterstain was DAPI (Blue). Heat mediated antigen retrieval using sodium citrate buffer (10mM citrate pH 6.0 + 0.05% Tween-20).

Secondary antibody only control : Used PBS instead of primary antibody, secondary antibody was ab150077 AlexaFluor®488 Goat anti-Rabbit secondary at 1 : 1000 (2 μg/ml) dilution.

Western blot - Anti-CD10 antibody [EPR22867-118] (AB256494)
  • WB

Lab

Western blot - Anti-CD10 antibody [EPR22867-118] (AB256494)

Blocking and diluting buffer and concentration : 5% NFDM/TBST

The molecular weight observed is consistent with what has been described in the literature (PMID : 15286660)

Exposure time : Lane 1/3 : 8 seconds Lane 2 : 1 second Lane 4 : 3 seconds

All lanes:

Western blot - Anti-CD10 antibody [EPR22867-118] (ab256494) at 1/1000 dilution

Lane 1:

Rat lung tissue lysate at 10 µg

Lane 2:

Rat kidney tissue lysate at 10 µg

Lane 3:

Human tonsil tissue lysate at 10 µg

Lane 4:

Mouse lung tissue lysate at 20 µg

Secondary

All lanes:

Western blot - Goat Anti-Rabbit IgG H&L (HRP) (<a href='/en-us/products/secondary-antibodies/goat-rabbit-igg-h-l-hrp-ab97051'>ab97051</a>) at 1/50000 dilution

Predicted band size: 85 kDa

Observed band size: 100 kDa

false

Western blot - Anti-CD10 antibody [EPR22867-118] (AB256494)
  • WB

Lab

Western blot - Anti-CD10 antibody [EPR22867-118] (AB256494)

Blocking and diluting buffer and concentration : 5% NFDM/TBST

ab256494 was shown to specifically react with CD10 in wild-type HAP1 cells as signal was lost in CD10 knockout cells. Wild-type and CD10 knockout samples were subjected to SDS-PAGE. ab256494 and ab181602 (Rabbit anti-GAPDH loading control) were incubated 1 hour at room temperature at 1/1000 dilution and 1/200,000 dilution respectively. Blots were developed with Goat Anti-Rabbit IgG, (H+L), Peroxidase conjugated (ab97051) secondary antibody at 1/100,000 dilution for 1 hour at room temperature before imaging.

The molecular weight observed is consistent with what has been described in the literature (PMID : 15286660) Negative control : HT-29 (PMID : 19828468).

Exposure time : 59 seconds

All lanes:

Western blot - Anti-CD10 antibody [EPR22867-118] (ab256494) at 1/1000 dilution

Lane 1:

Wild type HAP1 whole cell lysate at 20 µg

Lane 2:

CD10 knockout HAP1 whole cell lysate at 20 µg

Lane 3:

Raji (human Burkitts lymphoma B lymphocyte), whole cell lysate at 20 µg

Lane 4:

Ramos (human Burkitts lymphoma B lymphocyte), whole cell lysate at 20 µg

Lane 5:

HT-29 (human colorectal adenocarcinoma epithelial cell), whole cell lysate at 20 µg

Secondary

Lanes 1 - 2:

Western blot - Goat Anti-Rabbit IgG H&L (HRP) (<a href='/en-us/products/secondary-antibodies/goat-rabbit-igg-h-l-hrp-ab97051'>ab97051</a>)

Lanes 3 - 5:

Western blot - Goat Anti-Rabbit IgG H&L (HRP) (<a href='/en-us/products/secondary-antibodies/goat-rabbit-igg-h-l-hrp-ab97051'>ab97051</a>) at 1/100000 dilution

Predicted band size: 85 kDa

Observed band size: 100 kDa

false

Key facts

Host species

Rabbit

Clonality

Monoclonal

Clone number

EPR22867-118

Isotype

IgG

Carrier free

No

Reacts with

Mouse, Rat, Human

Applications

IP, WB, IHC-P, IHC-Fr, ICC/IF

applications

Immunogen

The exact immunogen used to generate this antibody is proprietary information.

Reactivity data

{ "title": "Reactivity Data", "filters": { "stats": ["", "Species", "Dilution Info", "Notes"], "tabs": { "all-applications": {"fullname" : "All Applications", "shortname": "All Applications"}, "IP" : {"fullname" : "Immunoprecipitation", "shortname":"IP"}, "FlowCyt" : {"fullname" : "Flow Cytometry", "shortname":"Flow Cyt"}, "WB" : {"fullname" : "Western blot", "shortname":"WB"}, "IHCP" : {"fullname" : "Immunohistochemistry (Formalin/PFA-fixed paraffin-embedded sections)", "shortname":"IHC-P"}, "ICCIF" : {"fullname" : "Immunocytochemistry/ Immunofluorescence", "shortname":"ICC/IF"}, "IHCFr" : {"fullname" : "Immunohistochemistry (Frozen sections)", "shortname":"IHC-Fr"} }, "product-promise": { "all": "all", "testedAndGuaranteed": "tested", "guaranteed": "expected", "predicted": "predicted", "notRecommended": "not-recommended" } }, "values": { "Human": { "IP-species-checked": "testedAndGuaranteed", "IP-species-dilution-info": "1/30", "IP-species-notes": "<p></p>", "FlowCyt-species-checked": "notRecommended", "FlowCyt-species-dilution-info": "", "FlowCyt-species-notes": "<p></p>", "WB-species-checked": "testedAndGuaranteed", "WB-species-dilution-info": "1/1000", "WB-species-notes": "<p></p>", "IHCP-species-checked": "testedAndGuaranteed", "IHCP-species-dilution-info": "1/500", "IHCP-species-notes": "<p></p>", "ICCIF-species-checked": "testedAndGuaranteed", "ICCIF-species-dilution-info": "1/500", "ICCIF-species-notes": "<p></p>", "IHCFr-species-checked": "guaranteed", "IHCFr-species-dilution-info": "", "IHCFr-species-notes": "" }, "Mouse": { "IP-species-checked": "guaranteed", "IP-species-dilution-info": "", "IP-species-notes": "", "FlowCyt-species-checked": "notRecommended", "FlowCyt-species-dilution-info": "", "FlowCyt-species-notes": "<p></p>", "WB-species-checked": "testedAndGuaranteed", "WB-species-dilution-info": "1/1000", "WB-species-notes": "<p></p>", "IHCP-species-checked": "testedAndGuaranteed", "IHCP-species-dilution-info": "1/500", "IHCP-species-notes": "<p></p>", "ICCIF-species-checked": "testedAndGuaranteed", "ICCIF-species-dilution-info": "1/500", "ICCIF-species-notes": "<p></p>", "IHCFr-species-checked": "testedAndGuaranteed", "IHCFr-species-dilution-info": "1/100", "IHCFr-species-notes": "<p></p>" }, "Rat": { "IP-species-checked": "guaranteed", "IP-species-dilution-info": "", "IP-species-notes": "", "FlowCyt-species-checked": "notRecommended", "FlowCyt-species-dilution-info": "", "FlowCyt-species-notes": "", "WB-species-checked": "testedAndGuaranteed", "WB-species-dilution-info": "1/1000", "WB-species-notes": "<p></p>", "IHCP-species-checked": "testedAndGuaranteed", "IHCP-species-dilution-info": "1/500", "IHCP-species-notes": "<p></p>", "ICCIF-species-checked": "testedAndGuaranteed", "ICCIF-species-dilution-info": "1/500", "ICCIF-species-notes": "<p></p>", "IHCFr-species-checked": "testedAndGuaranteed", "IHCFr-species-dilution-info": "1/100", "IHCFr-species-notes": "<p></p>" } } }

Product details

What is this antibody validated in?
Anti-CD10 antibody [EPR22867-118] (ab256494) is a rabbit recombinant monoclonal antibody and is validated for use in Western Blot (WB), Immunoprecipitation (IP), Immunohistochemistry (IHC-P), Immunohistochemistry (IHC-Fr), Immunocytochemistry/immunofluorescence (ICC/IF) in Human, Mouse, Rat samples.

What is the molecular weight of CD10?
Anti-CD10 [EPR22867-118] (ab256494) specifically detects a band for CD10 (UniProt: P08473) at a molecular weight of 85kDa.

Reviewed by scientists
Anti-CD10 [EPR22867-118] (ab256494) has over 5 independent reviews from customers.

Trial sizes available!
Test your antibody or perform pre-screening before committing to a larger quantity. Sold in 10µl. Discover our selection of trial-size antibodies.

Specificity confirmed
The specificity of Anti-CD10 antibody [EPR22867-118] (ab256494) has been confirmed by Western blot testing in MME Knockout HAP1 cells.

Other related products
We have a range of other formats of antibody clone [EPR22867-118] also available for your convenience: ab256494, Carrier free - ab261729, ab301316, Alexa Fluor® 488 - ab308601, Alexa Fluor® 647 - ab309082

Patented technology
Our RabMAb® technology is a patented hybridoma-based technology for making rabbit monoclonal antibodies. For details on our patents, please refer to RabMAb® patents.

What are the advantages of a recombinant monoclonal antibody?
This product is a recombinant monoclonal antibody, which offers several advantages including:

  • - High batch-to-batch consistency and reproducibility
  • - Improved sensitivity and specificity
  • - Long-term security of supply
  • - Animal-free batch production

For more information, read more on recombinant antibodies.

Properties and storage information

Form
Liquid
Purification technique
Affinity purification Protein A
Storage buffer
pH: 7.2 - 7.4 Preservative: 0.01% Sodium azide Constituents: PBS, 40% Glycerol (glycerin, glycerine), 0.5% BSA
Shipped at conditions
Blue Ice
Appropriate short-term storage duration
1-2 weeks
Appropriate short-term storage conditions
+4°C
Appropriate long-term storage conditions
-20°C
Aliquoting information
Upon delivery aliquot
Storage information
Avoid freeze / thaw cycle

Supplementary information

This supplementary information is collated from multiple sources and compiled automatically.

CD10 also known as neprilysin or neutral endopeptidase is a zinc-dependent metalloprotease enzyme with a mass of approximately 100 kDa. This enzyme is expressed across a variety of tissues including kidney lung and neutrophils. Its expression is also notable in the lymphoid tissues. CD10 functions by cleaving peptides at the N-terminal of hydrophobic residues. Common names used in literature for CD10 include CALLA (common acute lymphoblastic leukemia antigen) and membrane metalloendopeptidase.
Biological function summary

CD10 regulates peptide signaling by inactivating various bioactive peptides such as enkephalins atrial natriuretic peptide and bradykinin. It does not function as part of a complex but rather as a standalone entity. The ability of CD10 to hydrolyze peptides influences signal transmission across cellular membranes impacting cellular communication and signal termination within different systems.

Pathways

Neprilysin plays an essential role in hydrolyzing signaling peptides in several critical pathways. It is especially significant in the natriuretic peptide system and the renin-angiotensin system maintaining blood pressure and fluid balance. Within these pathways CD10 modifies peptides working alongside proteins like atrial natriuretic peptide synthase and angiotensin-converting enzyme ensuring systemic homeostasis and cardiovascular health.

CD10 shows a significant connection to certain types of cancer and Alzheimer's disease. In oncology altered expression of CD10 serves as a CD10 marker in cancers such as lymphomas and some leukemia forms which helps in diagnosis and treatment decisions. Additionally CD10's involvement in neuropeptide degradation links it to Amyloid beta peptide accumulation in Alzheimer's where its dysregulation may promote disease progression. Related proteins are amyloid precursor protein in Alzheimer's and CD19 often co-expressed with CD10 in some lymphomas highlighting its role in both diagnostic and therapeutic contexts.

Product protocols

For this product, it's our understanding that no specific protocols are required. You can visit:

Target data

Thermolysin-like specificity, but is almost confined on acting on polypeptides of up to 30 amino acids (PubMed : 15283675, PubMed : 6208535, PubMed : 6349683, PubMed : 8168535). Biologically important in the destruction of opioid peptides such as Met- and Leu-enkephalins by cleavage of a Gly-Phe bond (PubMed : 17101991, PubMed : 6349683). Catalyzes cleavage of bradykinin, substance P and neurotensin peptides (PubMed : 6208535). Able to cleave angiotensin-1, angiotensin-2 and angiotensin 1-9 (PubMed : 15283675, PubMed : 6349683). Involved in the degradation of atrial natriuretic factor (ANF) and brain natriuretic factor (BNP(1-32)) (PubMed : 16254193, PubMed : 2531377, PubMed : 2972276). Displays UV-inducible elastase activity toward skin preelastic and elastic fibers (PubMed : 20876573).
See full target information MME

Publications (12)

Recent publications for all applications. Explore the full list and refine your search

Nature genetics 57:1966-1980 PubMed40691407

2025

NKX2-1 drives neuroendocrine transdifferentiation of prostate cancer via epigenetic and 3D chromatin remodeling.

Applications

Unspecified application

Species

Unspecified reactive species

Xiaodong Lu,Viriya Keo,Irina Cheng,Wanqing Xie,Galina Gritsina,Juan Wang,Lina Lu,Cheng-Kai Shiau,Yueying He,Qiushi Jin,Peng Jin,Martin G Sanda,Victor G Corces,Nicolas Altemose,Ruli Gao,Jonathan C Zhao,Jindan Yu

Biomedicines 12: PubMed39767614

2025

Precision Treatment of Metachronous Multiple Primary Malignancies Based on Constructing Patient Tumor-Derived Organoids.

Applications

Unspecified application

Species

Unspecified reactive species

Yicheng Wang,Haotian Chen,Zhijin Zhang,Yanyan He,Ji Liu,Baoshuang Zhao,Qinwan Wang,Jiangmei Xu,Shiyu Mao,Wentao Zhang,Xudong Yao,Wei Li

Nature communications 13:4420 PubMed35906206

2022

Neprilysins regulate muscle contraction and heart function via cleavage of SERCA-inhibitory micropeptides.

Applications

Unspecified application

Species

Unspecified reactive species

Ronja Schiemann,Annika Buhr,Eva Cordes,Stefan Walter,Jürgen J Heinisch,Paola Ferrero,Hendrik Milting,Achim Paululat,Heiko Meyer

Cell death and differentiation 29:642-656 PubMed34743203

2021

Glycoprotein PTGDS promotes tumorigenesis of diffuse large B-cell lymphoma by MYH9-mediated regulation of Wnt-β-catenin-STAT3 signaling.

Applications

Unspecified application

Species

Unspecified reactive species

Shunfeng Hu,Shuai Ren,Yiqing Cai,Jiarui Liu,Yang Han,Yi Zhao,Juan Yang,Xiangxiang Zhou,Xin Wang

Cancer science 113:65-78 PubMed34699654

2021

Ferroptosis resistance determines high susceptibility of murine A/J strain to iron-induced renal carcinogenesis.

Applications

Unspecified application

Species

Unspecified reactive species

Zhen Cheng,Shinya Akatsuka,Guang Hua Li,Kiyoshi Mori,Takashi Takahashi,Shinya Toyokuni

Pathology oncology research : POR 27:1609809 PubMed34512202

2021

Clear Cell Papillary Renal Cell Carcinoma Shares Distinct Molecular Characteristics and may be Significantly Associated With Higher Risk of Developing Second Primary Malignancy.

Applications

Unspecified application

Species

Unspecified reactive species

Xi Tian,Wen-Hao Xu,Jun-Long Wu,Hua-Lei Gan,Hong-Kai Wang,Wei-Jie Gu,Yuan-Yuan Qu,Hai-Liang Zhang,Ding-Wei Ye

Cell proliferation 54:e13018 PubMed33945189

2021

PTH-induced EndMT via miR-29a-5p/GSAP/Notch1 pathway contributed to valvular calcification in rats with CKD.

Applications

Unspecified application

Species

Unspecified reactive species

Liting Wang,Rining Tang,Yuxia Zhang,Sijie Chen,Yu Guo,Xiaochen Wang,Zixiao Liu,Hong Liu,Xiaoliang Zhang,Bi-Cheng Liu

Frontiers in oncology 10:609839 PubMed33585230

2021

Whole-Exome Sequencing Reveals New Potential Mutations Genes for Primary Mucosa-Associated Lymphoid Tissue Lymphoma Arising From the Kidney.

Applications

Unspecified application

Species

Unspecified reactive species

Shuang Wen,Tianqing Liu,Hongshuo Zhang,Xu Zhou,Huidan Jin,Man Sun,Zhifei Yun,Hong Luo,Ze Ni,Rui Zhao,Bo Fan

Molecular and cellular biochemistry 476:2159-2170 PubMed33548010

2021

Rho-kinase inhibitor hydroxyfasudil protects against HIV-1 Tat-induced dysfunction of tight junction and neprilysin/Aβ transfer receptor expression in mouse brain microvessels.

Applications

Unspecified application

Species

Unspecified reactive species

Qiangtang Chen,Yu Wu,Yachun Yu,Junxiang Wei,Wen Huang

Frontiers in genetics 11:565479 PubMed33250918

2020

Comprehensive Proteomic Profiling of Urinary Exosomes and Identification of Potential Non-invasive Early Biomarkers of Alzheimer's Disease in 5XFAD Mouse Model.

Applications

Unspecified application

Species

Unspecified reactive species

Zhiqi Song,Yanfeng Xu,Ling Zhang,Li Zhou,Yu Zhang,Yunlin Han,Xianglei Li,Pin Yu,Yajin Qu,Wenjie Zhao,Chuan Qin
View all publications

Product promise

We are committed to supporting your work with high-quality reagents, and we're here for you every step of the way. In the unlikely event that one of our products does not perform as expected, you're protected by our Product Promise.
For full details, please see our Terms & Conditions

Please note: All products are 'FOR RESEARCH USE ONLY. NOT FOR USE IN DIAGNOSTIC OR THERAPEUTIC PROCEDURES'.

For licensing inquiries, please contact partnerships@abcam.com