JavaScript is disabled in your browser. Please enable JavaScript to view this website.
AB261729

Anti-CD10 antibody [EPR22867-118] - BSA and Azide free

5

(1 Review)

|

(3 Publications)

Rabbit Recombinant Monoclonal CD10 antibody. Carrier free. Suitable for IP, WB, IHC-P, ICC/IF, IHC-Fr and reacts with Human, Mouse, Rat samples. Cited in 3 publications.

View Alternative Names

CD10, EPN, MME, Neprilysin, Atriopeptidase, Common acute lymphocytic leukemia antigen, Enkephalinase, Neutral endopeptidase 24.11, Skin fibroblast elastase, CALLA, NEP, Neutral endopeptidase, SFE

12 Images
Immunocytochemistry/ Immunofluorescence - Anti-CD10 antibody [EPR22867-118] - BSA and Azide free (AB261729)
  • ICC/IF

Unknown

Immunocytochemistry/ Immunofluorescence - Anti-CD10 antibody [EPR22867-118] - BSA and Azide free (AB261729)

Immunofluorescent analysis of 100% Methanol-fixed, Ramos (human Burkitt's lymphoma B lymphocyte) cells labelling CD10 with ab256494 at 1/500 dilution, followed by ab256494 anti- CD10 ab150077 AlexaFluor®488 Goat anti-Rabbit secondary antibody at 1/1000 dilution (Green).Confocal image showing membranous staining in Ramos cell line is observed. ab195889 Anti-alpha Tubulin antibody [DM1A] - Microtubule Marker (Alexa Fluor® 594) was used to counterstain tubulin at 1/200 dilution (Red). The Nuclear counterstain was DAPI (Blue). Negative control : HT-29 (PMID : 19828468)

Secondary antibody only control : Secondary antibody is ab256494 anti- CD10 ab150077 AlexaFluor®488 Goat anti-Rabbit secondary at 1/1000 dilution.

This data was developed using the same antibody clone in a different buffer formulation containing PBS, BSA, glycerol, and sodium azide (ab256494).

Immunohistochemistry (Formalin/PFA-fixed paraffin-embedded sections) - Anti-CD10 antibody [EPR22867-118] - BSA and Azide free (AB261729)
  • IHC-P

Unknown

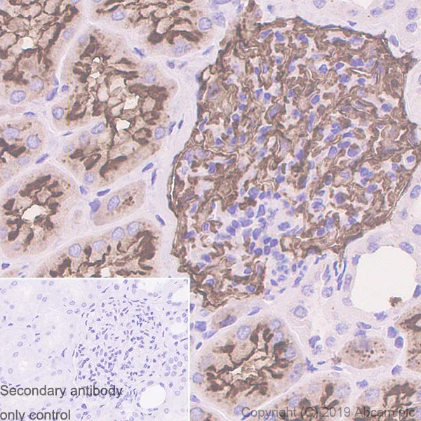
Immunohistochemistry (Formalin/PFA-fixed paraffin-embedded sections) - Anti-CD10 antibody [EPR22867-118] - BSA and Azide free (AB261729)

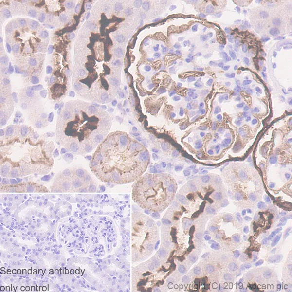
Immunohistochemical analysis of paraffin-embedded Human kidney tissue labeling CD10 with ab256494 at 1/500 dilution followed by a ready to use Goat Anti-Rabbit IgG H&L (HRP). Positive staining on proximal convoluted tubules and glomerular epithelial cells of human kidney (PMID : 10705818) is observed. Counterstained with Hematoxylin.

Secondary antibody only control : Secondary antibody is a ready to use Goat Anti-Rabbit IgG H&L (HRP).

Heat mediated antigen retrieval using ab93684 (Tris/EDTA buffer, pH 9.0).

This data was developed using the same antibody clone in a different buffer formulation containing PBS, BSA, glycerol, and sodium azide (ab256494).

Immunohistochemistry (Formalin/PFA-fixed paraffin-embedded sections) - Anti-CD10 antibody [EPR22867-118] - BSA and Azide free (AB261729)
  • IHC-P

Unknown

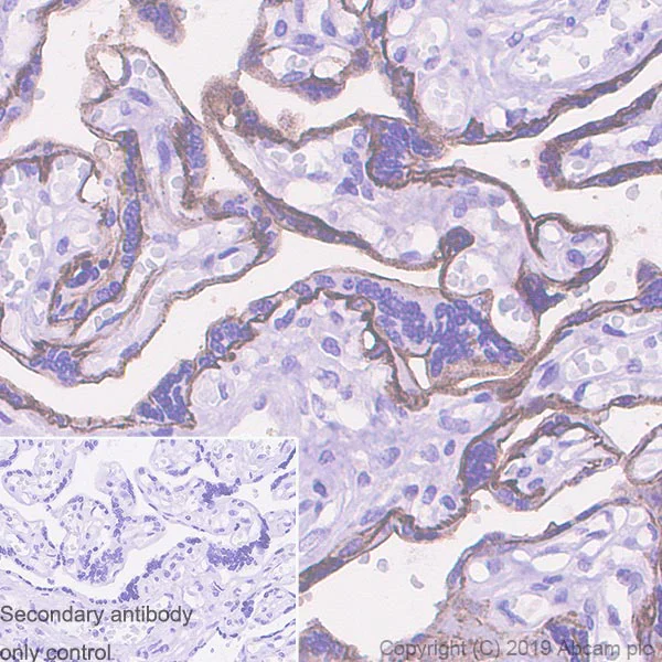
Immunohistochemistry (Formalin/PFA-fixed paraffin-embedded sections) - Anti-CD10 antibody [EPR22867-118] - BSA and Azide free (AB261729)

Immunohistochemical analysis of paraffin-embedded Human placenta tissue labeling CD10 with ab256494 at 1/500 dilution followed by a ready to use Goat Anti-Rabbit IgG H&L (HRP). Membranous staining on syncytiotrophoblast layer of human placenta (PMID : 11092533)is observed. Counterstained with Hematoxylin.

Secondary antibody only control : Secondary antibody is a ready to use Goat Anti-Rabbit IgG H&L (HRP).

Heat mediated antigen retrieval using ab93684 (Tris/EDTA buffer, pH 9.0).

This data was developed using the same antibody clone in a different buffer formulation containing PBS, BSA, glycerol, and sodium azide (ab256494).

Immunohistochemistry (Formalin/PFA-fixed paraffin-embedded sections) - Anti-CD10 antibody [EPR22867-118] - BSA and Azide free (AB261729)
  • IHC-P

AbReview81207****

Immunohistochemistry (Formalin/PFA-fixed paraffin-embedded sections) - Anti-CD10 antibody [EPR22867-118] - BSA and Azide free (AB261729)

Immunohistochemistry (Formalin/PFA-fixed paraffin-embedded sections) analysis of paraformaldehyde-fixed human tonsil tissue staining with ab261729 at 1/100 dilution. Secondary antibody was Alexa Fluor™ 555 Donkey anti-Rabbit IgG (H+L). Samples were incubated with the primary antibody with PBS +1% BSA for 16 hours at 4°C. Blocking was done using 5% serum for 1 hour at room temperature. Heat mediated antigen retrieval with EDTA 1mM PH8.

This image is courtesy of an Abreview submitted by Natalie Papazian

Immunohistochemistry (Formalin/PFA-fixed paraffin-embedded sections) - Anti-CD10 antibody [EPR22867-118] - BSA and Azide free (AB261729)
  • IHC-P

Lab

Immunohistochemistry (Formalin/PFA-fixed paraffin-embedded sections) - Anti-CD10 antibody [EPR22867-118] - BSA and Azide free (AB261729)

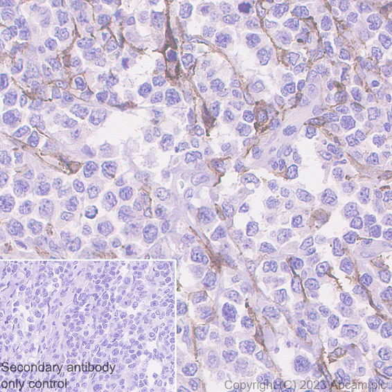
This data was developed using the same antibody clone in a different buffer formulation containing PBS, BSA, glycerol, and sodium azide (ab256494). Immunohistochemical analysis of paraffin-embedded Human diffuse large B-cell lymphoma labelling CD10 with ab256494 at 1/500 dilution, followed by a Goat Anti-Rabbit IgG H&L (HRP polymer) ready to use (ab214880). Positive staining on Human diffuse large B-cell lymphoma is observed. Counter stained with hematoxylin. Secondary antibody only control : Used PBS instead of primary antibody, secondary antibody is a Goat Anti-Rabbit IgG H&L (HRP polymer) ready to use. Heat mediated antigen retrieval using ab93684 (Tris/EDTA buffer, pH 9.0).

Immunoprecipitation - Anti-CD10 antibody [EPR22867-118] - BSA and Azide free (AB261729)
  • IP

Unknown

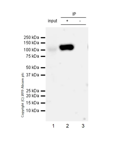
Immunoprecipitation - Anti-CD10 antibody [EPR22867-118] - BSA and Azide free (AB261729)

CD10 was immunoprecipitated from 0.35 mg Raji (human Burkitt's lymphoma B lymphocyte) whole cell lysate with ab256494 at 1/30 (2ug in 0.35mg lysates). Western blot was performed on the immunoprecipitate using ab256494 at 1/1000 dilution. VeriBlot for IP Detection Reagent (HRP) (ab131366) was used at 1/5000 dilution.

Lane 1 : Raji (human Burkitt's lymphoma B lymphocyte) whole cell lysate 10ug

Lane 2 : ab256494 IP in Raji whole cell lysate

Lane 3 : Rabbit monoclonal IgG (ab172730) instead of ab256494 in Raji whole cell lysate

Blocking and dilution buffer and concentration : 5% NFDM/TBST.

Exposure time : 3 min

This data was developed using the same antibody clone in a different buffer formulation containing PBS, BSA, glycerol, and sodium azide (ab256494).

All lanes:

Immunoprecipitation - Anti-CD10 antibody [EPR22867-118] (<a href='/en-us/products/primary-antibodies/cd10-antibody-epr22867-118-ab256494'>ab256494</a>)

Predicted band size: 85 kDa

false

Immunocytochemistry/ Immunofluorescence - Anti-CD10 antibody [EPR22867-118] - BSA and Azide free (AB261729)
  • ICC/IF

Unknown

Immunocytochemistry/ Immunofluorescence - Anti-CD10 antibody [EPR22867-118] - BSA and Azide free (AB261729)

Immunofluorescent analysis of 100% Methanol-fixed WEHI-231 (mouse B cell lymphoma B lymphocyte) cells labelling CD10 with ab256494 at 1/500 dilution, followed by ab256494 anti- CD10 ab150077 AlexaFluor®488 Goat anti-Rabbit secondary antibody at 1/1000 dilution (Green). Confocal image showing staining in WEHI-231 cell line is observed. ab195889 Anti-alpha Tubulin antibody [DM1A] - Microtubule Marker (Alexa Fluor® 594) was used to counterstain tubulin at 1/200 dilution (Red). The Nuclear counterstain was DAPI (Blue).

Secondary antibody only control : Secondary antibody is ab256494 anti- CD10 ab150077 AlexaFluor®488 Goat anti-Rabbit secondary at 1/1000 dilution.

This data was developed using the same antibody clone in a different buffer formulation containing PBS, BSA, glycerol, and sodium azide (ab256494).

Immunocytochemistry/ Immunofluorescence - Anti-CD10 antibody [EPR22867-118] - BSA and Azide free (AB261729)
  • ICC/IF

Unknown

Immunocytochemistry/ Immunofluorescence - Anti-CD10 antibody [EPR22867-118] - BSA and Azide free (AB261729)

Immunofluorescent analysis of 100% Methanol-fixed 2.4G2 (rat B cell lymphoma B lymphocyte) cells labelling CD10 with ab256494 at 1/500 dilution, followed by ab256494 anti- CD10 ab150077 AlexaFluor®488 Goat anti-Rabbit secondary antibody at 1/1000 dilution (Green). Confocal image showing staining in 2.4G2 cell line is observed. ab195889 Anti-alpha Tubulin antibody [DM1A] - Microtubule Marker (Alexa Fluor® 594) was used to counterstain tubulin at 1/200 dilution (Red). The Nuclear counterstain was DAPI (Blue).

Secondary antibody only control : Secondary antibody is ab256494 anti- CD10 ab150077 AlexaFluor®488 Goat anti-Rabbit secondary at 1/1000 dilution.

This data was developed using the same antibody clone in a different buffer formulation containing PBS, BSA, glycerol, and sodium azide (ab256494).

Immunohistochemistry (Formalin/PFA-fixed paraffin-embedded sections) - Anti-CD10 antibody [EPR22867-118] - BSA and Azide free (AB261729)
  • IHC-P

Unknown

Immunohistochemistry (Formalin/PFA-fixed paraffin-embedded sections) - Anti-CD10 antibody [EPR22867-118] - BSA and Azide free (AB261729)

Immunohistochemical analysis of paraffin-embedded Rat kidney tissue labeling CD10 with ab256494 at 1/500 dilution followed by a ready to use Goat Anti-Rabbit IgG H&L (HRP). Membranous staining on renal tubules and of rat kidney (PMID : 10705818) is observed. Counterstained with Hematoxylin.

Secondary antibody only control : Secondary antibody is a ready to use Goat Anti-Rabbit IgG H&L (HRP).

Heat mediated antigen retrieval using ab93684 (Tris/EDTA buffer, pH 9.0).

This data was developed using the same antibody clone in a different buffer formulation containing PBS, BSA, glycerol, and sodium azide (ab256494).

Immunohistochemistry (Frozen sections) - Anti-CD10 antibody [EPR22867-118] - BSA and Azide free (AB261729)
  • IHC-Fr

Unknown

Immunohistochemistry (Frozen sections) - Anti-CD10 antibody [EPR22867-118] - BSA and Azide free (AB261729)

Immunohistochemical analysis of 4% PFA fixed 0.2% Triton X-100 permeabilized frozen Mouse kidney tissue labeling CDK10 with ab256494 at 1/100 (5.45 μg/ml) dilution followed by ab150077 AlexaFluor®488 Goat anti-Rabbit secondary at 1/1000 (2 μg/ml) dilution. The nuclear counterstain was DAPI (Blue). Heat mediated antigen retrieval using sodium citrate buffer (10mM citrate pH 6.0 + 0.05% Tween-20).

Secondary antibody only control : Used PBS instead of primary antibody, secondary antibody was ab150077 AlexaFluor®488 Goat anti-Rabbit secondary at 1 : 1000 (2 μg/ml) dilution.

This data was developed using the same antibody clone in a different buffer formulation containing PBS, BSA, glycerol, and sodium azide (ab256494).

Immunohistochemistry (Formalin/PFA-fixed paraffin-embedded sections) - Anti-CD10 antibody [EPR22867-118] - BSA and Azide free (AB261729)
  • IHC-P

Unknown

Immunohistochemistry (Formalin/PFA-fixed paraffin-embedded sections) - Anti-CD10 antibody [EPR22867-118] - BSA and Azide free (AB261729)

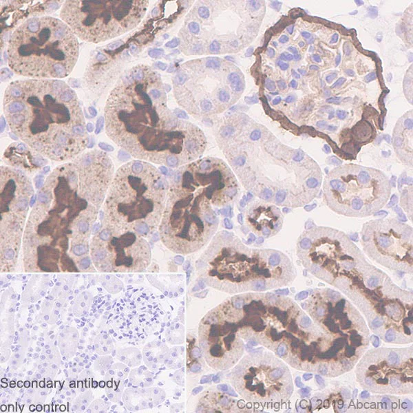
Immunohistochemical analysis of paraffin-embedded Mouse kidney tissue labeling CD10 with ab256494 at 1/500 dilution followed by a ready to use Goat Anti-Rabbit IgG H&L (HRP). Membranous staining on renal tubules and of mouse kidney (PMID : 10705818) is observed. Counterstained with Hematoxylin.

Secondary antibody only control : Secondary antibody is a ready to use Goat Anti-Rabbit IgG H&L (HRP).

Heat mediated antigen retrieval using ab93684 (Tris/EDTA buffer, pH 9.0).

This data was developed using the same antibody clone in a different buffer formulation containing PBS, BSA, glycerol, and sodium azide (ab256494).

Immunohistochemistry (Frozen sections) - Anti-CD10 antibody [EPR22867-118] - BSA and Azide free (AB261729)
  • IHC-Fr

Unknown

Immunohistochemistry (Frozen sections) - Anti-CD10 antibody [EPR22867-118] - BSA and Azide free (AB261729)

Immunohistochemical analysis of 4% PFA fixed 0.2% Triton X-100 permeabilized frozen Rat kidney tissue labeling CDK10 with ab256494 at 1/100 (5.45 μg/ml) dilution followed by ab150077 AlexaFluor®488 Goat anti-Rabbit secondary at 1 : 1000 (2 μg/ml) dilution. The nuclear counterstain was DAPI (Blue). Heat mediated antigen retrieval using sodium citrate buffer (10mM citrate pH 6.0 + 0.05% Tween-20).

Secondary antibody only control : Used PBS instead of primary antibody, secondary antibody was ab150077 AlexaFluor®488 Goat anti-Rabbit secondary at 1 : 1000 (2 μg/ml) dilution.

This data was developed using the same antibody clone in a different buffer formulation containing PBS, BSA, glycerol, and sodium azide (ab256494).

Key facts

Host species

Rabbit

Clonality

Monoclonal

Clone number

EPR22867-118

Isotype

IgG

Carrier free

Yes

Reacts with

Mouse, Rat, Human

Applications

IHC-Fr, WB, ICC/IF, IHC-P, IP

applications

Immunogen

The exact immunogen used to generate this antibody is proprietary information.

Reactivity data

{ "title": "Reactivity Data", "filters": { "stats": ["", "Species", "Dilution Info", "Notes"], "tabs": { "all-applications": {"fullname" : "All Applications", "shortname": "All Applications"}, "FlowCyt" : {"fullname" : "Flow Cytometry", "shortname":"Flow Cyt"}, "IP" : {"fullname" : "Immunoprecipitation", "shortname":"IP"}, "WB" : {"fullname" : "Western blot", "shortname":"WB"}, "IHCP" : {"fullname" : "Immunohistochemistry (Formalin/PFA-fixed paraffin-embedded sections)", "shortname":"IHC-P"}, "ICCIF" : {"fullname" : "Immunocytochemistry/ Immunofluorescence", "shortname":"ICC/IF"}, "IHCFr" : {"fullname" : "Immunohistochemistry (Frozen sections)", "shortname":"IHC-Fr"} }, "product-promise": { "all": "all", "testedAndGuaranteed": "tested", "guaranteed": "expected", "predicted": "predicted", "notRecommended": "not-recommended" } }, "values": { "Human": { "FlowCyt-species-checked": "notRecommended", "FlowCyt-species-dilution-info": "", "FlowCyt-species-notes": "<p></p>", "IP-species-checked": "testedAndGuaranteed", "IP-species-dilution-info": "", "IP-species-notes": "<p></p>", "WB-species-checked": "guaranteed", "WB-species-dilution-info": "", "WB-species-notes": "<p></p>", "IHCP-species-checked": "testedAndGuaranteed", "IHCP-species-dilution-info": "", "IHCP-species-notes": "<p></p>", "ICCIF-species-checked": "testedAndGuaranteed", "ICCIF-species-dilution-info": "", "ICCIF-species-notes": "<p></p>", "IHCFr-species-checked": "guaranteed", "IHCFr-species-dilution-info": "", "IHCFr-species-notes": "" }, "Mouse": { "FlowCyt-species-checked": "notRecommended", "FlowCyt-species-dilution-info": "", "FlowCyt-species-notes": "<p></p>", "IP-species-checked": "guaranteed", "IP-species-dilution-info": "", "IP-species-notes": "", "WB-species-checked": "guaranteed", "WB-species-dilution-info": "", "WB-species-notes": "<p></p>", "IHCP-species-checked": "testedAndGuaranteed", "IHCP-species-dilution-info": "", "IHCP-species-notes": "<p></p>", "ICCIF-species-checked": "testedAndGuaranteed", "ICCIF-species-dilution-info": "", "ICCIF-species-notes": "<p></p>", "IHCFr-species-checked": "testedAndGuaranteed", "IHCFr-species-dilution-info": "1/100", "IHCFr-species-notes": "<p></p>" }, "Rat": { "FlowCyt-species-checked": "notRecommended", "FlowCyt-species-dilution-info": "", "FlowCyt-species-notes": "<p></p>", "IP-species-checked": "guaranteed", "IP-species-dilution-info": "", "IP-species-notes": "", "WB-species-checked": "guaranteed", "WB-species-dilution-info": "", "WB-species-notes": "<p></p>", "IHCP-species-checked": "testedAndGuaranteed", "IHCP-species-dilution-info": "", "IHCP-species-notes": "<p></p>", "ICCIF-species-checked": "testedAndGuaranteed", "ICCIF-species-dilution-info": "", "ICCIF-species-notes": "<p></p>", "IHCFr-species-checked": "testedAndGuaranteed", "IHCFr-species-dilution-info": "1/100", "IHCFr-species-notes": "<p></p>" } } }

Product details

ab261729 is the carrier-free version of ab256494.

Patented technology
Our RabMAb® technology is a patented hybridoma-based technology for making rabbit monoclonal antibodies. For details on our patents, please refer to RabMAb® patents.

What are the advantages of a recombinant monoclonal antibody?
This product is a recombinant monoclonal antibody, which offers several advantages including:

  • - High batch-to-batch consistency and reproducibility
  • - Improved sensitivity and specificity
  • - Long-term security of supply
  • - Animal-free batch production

For more information, read more on recombinant antibodies.

Conjugation ready
Our carrier-free antibodies are typically supplied in a PBS-only formulation, purified and free of BSA, sodium azide and glycerol. This conjugation-ready format is designed for use with fluorochromes, metal isotopes, oligonucleotides, and enzymes, which makes them ideal for antibody labelling, functional and cell-based assays, flow-based assays (e.g. mass cytometry) and Multiplex Imaging applications.

Use our conjugation kits for antibody conjugates that are ready-to-use in as little as 20 minutes with 1 minute hands-on-time and 100% antibody recovery: available for fluorescent dyes, HRP, biotin and gold.

Compatibility
This product is compatible with the Maxpar® Antibody Labeling Kit from Fluidigm, without the need for antibody preparation. Maxpar® is a trademark of Fluidigm Canada Inc.

Properties and storage information

Form
Liquid
Purification technique
Affinity purification Protein A
Storage buffer
pH: 7.2 - 7.4 Constituents: PBS
Shipped at conditions
Blue Ice
Appropriate short-term storage conditions
+4°C
Appropriate long-term storage conditions
+4°C
Storage information
Do Not Freeze

Supplementary information

This supplementary information is collated from multiple sources and compiled automatically.

CD10 also known as neprilysin or neutral endopeptidase is a zinc-dependent metalloprotease enzyme with a mass of approximately 100 kDa. This enzyme is expressed across a variety of tissues including kidney lung and neutrophils. Its expression is also notable in the lymphoid tissues. CD10 functions by cleaving peptides at the N-terminal of hydrophobic residues. Common names used in literature for CD10 include CALLA (common acute lymphoblastic leukemia antigen) and membrane metalloendopeptidase.
Biological function summary

CD10 regulates peptide signaling by inactivating various bioactive peptides such as enkephalins atrial natriuretic peptide and bradykinin. It does not function as part of a complex but rather as a standalone entity. The ability of CD10 to hydrolyze peptides influences signal transmission across cellular membranes impacting cellular communication and signal termination within different systems.

Pathways

Neprilysin plays an essential role in hydrolyzing signaling peptides in several critical pathways. It is especially significant in the natriuretic peptide system and the renin-angiotensin system maintaining blood pressure and fluid balance. Within these pathways CD10 modifies peptides working alongside proteins like atrial natriuretic peptide synthase and angiotensin-converting enzyme ensuring systemic homeostasis and cardiovascular health.

CD10 shows a significant connection to certain types of cancer and Alzheimer's disease. In oncology altered expression of CD10 serves as a CD10 marker in cancers such as lymphomas and some leukemia forms which helps in diagnosis and treatment decisions. Additionally CD10's involvement in neuropeptide degradation links it to Amyloid beta peptide accumulation in Alzheimer's where its dysregulation may promote disease progression. Related proteins are amyloid precursor protein in Alzheimer's and CD19 often co-expressed with CD10 in some lymphomas highlighting its role in both diagnostic and therapeutic contexts.

Product protocols

For this product, it's our understanding that no specific protocols are required. You can visit:

Target data

Thermolysin-like specificity, but is almost confined on acting on polypeptides of up to 30 amino acids (PubMed : 15283675, PubMed : 6208535, PubMed : 6349683, PubMed : 8168535). Biologically important in the destruction of opioid peptides such as Met- and Leu-enkephalins by cleavage of a Gly-Phe bond (PubMed : 17101991, PubMed : 6349683). Catalyzes cleavage of bradykinin, substance P and neurotensin peptides (PubMed : 6208535). Able to cleave angiotensin-1, angiotensin-2 and angiotensin 1-9 (PubMed : 15283675, PubMed : 6349683). Involved in the degradation of atrial natriuretic factor (ANF) and brain natriuretic factor (BNP(1-32)) (PubMed : 16254193, PubMed : 2531377, PubMed : 2972276). Displays UV-inducible elastase activity toward skin preelastic and elastic fibers (PubMed : 20876573).
See full target information MME

Publications (3)

Recent publications for all applications. Explore the full list and refine your search

JCI insight 10: PubMed40857403

2025

The spleen tyrosine kinase inhibitor entospletinib resolves inflammation to promote repair following acute kidney injury.

Applications

Unspecified application

Species

Unspecified reactive species

Esteban E Elias,Arthur Lau,Sisay Getie Belay,Afshin Derakhshani,Graciela Andonegui,Craig N Jenne,Antoine Dufour,Nathan A Bracey,Justin Chun,Daniel A Muruve

Clinical cancer research : an official journal of the American Association for Cancer Research 30:5073-5082 PubMed38922360

2024

Long-Term Follow-up of Levonorgestrel Intrauterine Device for Atypical Hyperplasia and Early Endometrial Cancer Reveals Relapse Characterized by Immune Exhaustion.

Applications

Unspecified application

Species

Unspecified reactive species

Mikayla B Bowen,Brenda Melendez,Qian Zhang,Richard K Yang,Bryan M Fellman,Barrett C Lawson,Naomi N Adjei,Joseph Celestino,Khalida M Wani,Bhavana Singh,Diana L Urbauer,Alexander J Lazar,Karen H Lu,Jennifer A Wargo,Shannon N Westin,Melinda S Yates

Nature 619:606-615 PubMed37438521

2023

Co-transplantation of autologous T cells in a cell therapy for Parkinson's disease.

Applications

Unspecified application

Species

Unspecified reactive species

Tae-Yoon Park,Jeha Jeon,Nayeon Lee,Jisun Kim,Bin Song,Jung-Ho Kim,Sang-Kyou Lee,Dongxin Liu,Young Cha,Minseon Kim,Pierre Leblanc,Todd M Herrington,Bob S Carter,Jeffrey S Schweitzer,Kwang-Soo Kim
View all publications

Product promise

We are committed to supporting your work with high-quality reagents, and we're here for you every step of the way. In the unlikely event that one of our products does not perform as expected, you're protected by our Product Promise.
For full details, please see our Terms & Conditions

Please note: All products are 'FOR RESEARCH USE ONLY. NOT FOR USE IN DIAGNOSTIC OR THERAPEUTIC PROCEDURES'.

For licensing inquiries, please contact partnerships@abcam.com