JavaScript is disabled in your browser. Please enable JavaScript to view this website.
AB222225

Anti-CD10 antibody [EPR5904-110] - Low endotoxin, Azide free

Be the first to review this product! Submit a review

|

(1 Publication)

Rabbit Recombinant Monoclonal CD10 antibody. Carrier free. Suitable for IP, WB, IHC-P and reacts with Human samples. Cited in 1 publication.

View Alternative Names

CD10, EPN, MME, Neprilysin, Atriopeptidase, Common acute lymphocytic leukemia antigen, Enkephalinase, Neutral endopeptidase 24.11, Skin fibroblast elastase, CALLA, NEP, Neutral endopeptidase, SFE

6 Images
Immunohistochemistry (Formalin/PFA-fixed paraffin-embedded sections) - Anti-CD10 antibody [EPR5904-110] - Low endotoxin, Azide free (AB222225)
  • IHC-P

Supplier Data

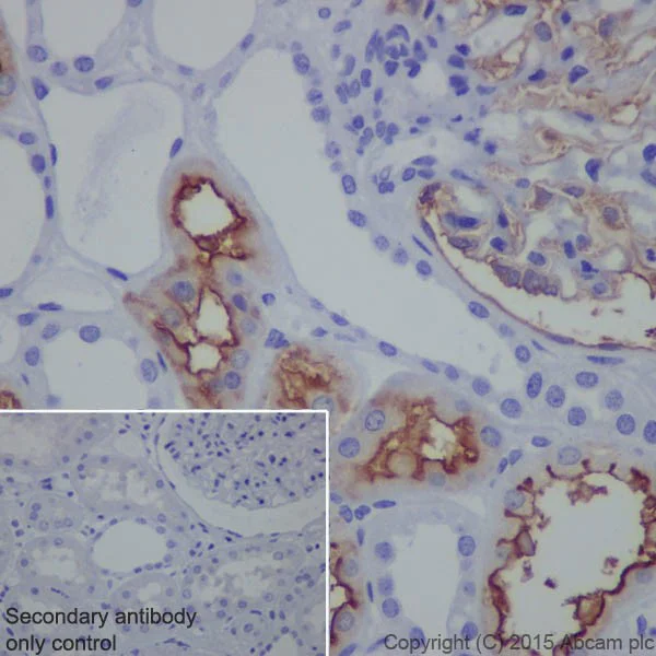
Immunohistochemistry (Formalin/PFA-fixed paraffin-embedded sections) - Anti-CD10 antibody [EPR5904-110] - Low endotoxin, Azide free (AB222225)

Immunohistochemical analysis of paraffin-embedded Human kidney tissue labeling CD10 with ab208778 at 1/4000 dilution followed by Goat Anti-Rabbit IgG H&L (HRP) (ab97051) at 1/500 dilution. Surface membrane staining was found in the glomerular epithelium and proximal tubular cells of the Human kidney. Counter stained with Hematoxylin.

Secondary antibody only control : Used PBS instead of primary antibody secondary antibody is ab97051 at 1/500 dilution.

This data was developed using the same antibody clone in a different buffer formulation containing PBS BSA glycerol and sodium azide (ab208778).

Perform heat mediated antigen retrieval with Tris/EDTA buffer pH 9.0 before commencing with IHC staining protocol.

Immunohistochemistry (Formalin/PFA-fixed paraffin-embedded sections) - Anti-CD10 antibody [EPR5904-110] - Low endotoxin, Azide free (AB222225)
  • IHC-P

Supplier Data

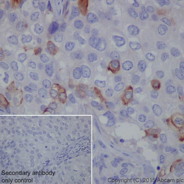
Immunohistochemistry (Formalin/PFA-fixed paraffin-embedded sections) - Anti-CD10 antibody [EPR5904-110] - Low endotoxin, Azide free (AB222225)

Immunohistochemical analysis of paraffin-embedded Human breast cancer tissue labeling CD10 with ab208778 at 1/4000 dilution followed by Goat Anti-Rabbit IgG H&L (HRP) (ab97051) at 1/500 dilution. Membrane staining was found in the subset cells of the Human breast cancer. Counter stained with Hematoxylin.

Secondary antibody only control : Used PBS instead of primary antibody secondary antibody is ab97051 at 1/500 dilution.

This data was developed using the same antibody clone in a different buffer formulation containing PBS BSA glycerol and sodium azide (ab208778).

Perform heat mediated antigen retrieval with Tris/EDTA buffer pH 9.0 before commencing with IHC staining protocol.

Immunoprecipitation - Anti-CD10 antibody [EPR5904-110] - Low endotoxin, Azide free (AB222225)
  • IP

Supplier Data

Immunoprecipitation - Anti-CD10 antibody [EPR5904-110] - Low endotoxin, Azide free (AB222225)

CD10 was immunoprecipitated from 1mg of LNCaP (Human prostate cancer cell line) whole cell lysate with ab208778 at 1/20 dilution.

Western blot was performed from the immunoprecipitate using ab208778 at 1/1000 dilution.

VeriBlot for IP Detection Reagent (HRP) (ab131366), was used for detection at 1/10000 dilution.

Lane 1 : LNCaP whole cell lysate, 10μg (Input).

Lane 2 : ab208778 IP in LNCaP whole cell lysate.

Lane 3 : Rabbit IgG,monoclonal [EPR25A] - Isotype Control (ab172730) instead of ab208778 in LNCaP whole cell lysate.

Blocking and dilution buffer and concentration : 5% NFDM/TBST.

Exposure time : 3 minutes.

This data was developed using the same antibody clone in a different buffer formulation containing PBS, BSA, glycerol, and sodium azide (ab208778).

All lanes:

Immunoprecipitation - Anti-CD10 antibody [EPR5904-110] (<a href='/en-us/products/primary-antibodies/cd10-antibody-epr5904-110-ab208778'>ab208778</a>)

Predicted band size: 85 kDa

false

Western blot - Anti-CD10 antibody [EPR5904-110] - Low endotoxin, Azide free (AB222225)
  • WB

Supplier Data

Western blot - Anti-CD10 antibody [EPR5904-110] - Low endotoxin, Azide free (AB222225)

This data was developed using the same antibody clone in a different buffer formulation containing PBS, BSA, glycerol, and sodium azide (ab208778).

Blocking/Dilution buffer : 5% NFDM/TBST.

Lane 1:

LNCaP (Human prostate cancer cell line) whole cell lysate at 10 µg

Lane 2:

Raji (Human Burkitt's lymphoma cell line) whole cell lysate at 10 µg

Lane 3:

Ramos (Human Burkitt's lymphoma cell line) whole cell lysate at 10 µg

Secondary

All lanes:

Western blot - Goat Anti-Rabbit IgG H&L (HRP) (<a href='/en-us/products/secondary-antibodies/goat-rabbit-igg-h-l-hrp-ab97051'>ab97051</a>) at 1/100000 dilution

Predicted band size: 85 kDa

Observed band size: 90-110 kDa

false

Exposure time: 15s

Western blot - Anti-CD10 antibody [EPR5904-110] - Low endotoxin, Azide free (AB222225)
  • WB

Supplier Data

Western blot - Anti-CD10 antibody [EPR5904-110] - Low endotoxin, Azide free (AB222225)

This data was developed using the same antibody clone in a different buffer formulation containing PBS, BSA, glycerol, and sodium azide (ab208778).

Blocking/Dilution buffer : 5% NFDM/TBST.

All lanes:

Human fetal kidney lysate at 10 µg

Secondary

All lanes:

Goat Anti-Rabbit IgG Peroxidase Conjugate, specific to the non-reduced form of IgG at 1/10000 dilution

false

Exposure time: 5s

Western blot - Anti-CD10 antibody [EPR5904-110] - Low endotoxin, Azide free (AB222225)
  • WB

Unknown

Western blot - Anti-CD10 antibody [EPR5904-110] - Low endotoxin, Azide free (AB222225)

This data was developed using the same antibody clone in a different buffer formulation containing PBS, BSA, glycerol, and sodium azide (ab208778).

Lane 1 : Wild type HAP1 whole cell lysate (20 μg)
Lane 2 : CD10 knockout HAP1 whole cell lysate (20 μg)
Lane 3 : RAJI whole cell lysate (20 μg)
Lanes 1 - 3 : Merged signal (red and green). Green - ab208778 observed at 100 kDa. Red - loading control, ab8245, observed at 37 kDa.

ab208778 was shown to recognize CD10 when CD10 knockout samples were used, along with additional cross-reactive bands. Wild-type and CD10 knockout samples were subjected to SDS-PAGE. ab208778 and ab8245 (Mouse anti GAPDH loading control) were incubated overnight at 4°C at 100 dilution and 1/10000 dilution respectively. Blots were developed with 800CW Goat anti Rabbit and 680CW Goat anti Mouse secondary antibodies at 1/10000 dilution for 1 hour at room temperature before imaging.

All lanes:

Western blot - Anti-CD10 antibody [EPR5904-110] - Low endotoxin, Azide free (ab222225)

Predicted band size: 85 kDa

false

Key facts

Host species

Rabbit

Clonality

Monoclonal

Clone number

EPR5904-110

Isotype

IgG

Carrier free

Yes

Reacts with

Human

Applications

IHC-P, WB, IP

applications

Immunogen

The exact immunogen used to generate this antibody is proprietary information.

Reactivity data

{ "title": "Reactivity Data", "filters": { "stats": ["", "Species", "Dilution Info", "Notes"], "tabs": { "all-applications": {"fullname" : "All Applications", "shortname": "All Applications"}, "IP" : {"fullname" : "Immunoprecipitation", "shortname":"IP"}, "WB" : {"fullname" : "Western blot", "shortname":"WB"}, "IHCP" : {"fullname" : "Immunohistochemistry (Formalin/PFA-fixed paraffin-embedded sections)", "shortname":"IHC-P"} }, "product-promise": { "all": "all", "testedAndGuaranteed": "tested", "guaranteed": "expected", "predicted": "predicted", "notRecommended": "not-recommended" } }, "values": { "Human": { "IP-species-checked": "testedAndGuaranteed", "IP-species-dilution-info": "", "IP-species-notes": "<p></p>", "WB-species-checked": "testedAndGuaranteed", "WB-species-dilution-info": "", "WB-species-notes": "<p></p>", "IHCP-species-checked": "testedAndGuaranteed", "IHCP-species-dilution-info": "", "IHCP-species-notes": "<p></p>" } } }

Product details

ab222225 is the carrier-free version of ab208778.

Patented technology
Our RabMAb® technology is a patented hybridoma-based technology for making rabbit monoclonal antibodies. For details on our patents, please refer to RabMAb® patents.

What are the advantages of a recombinant monoclonal antibody?
This product is a recombinant monoclonal antibody, which offers several advantages including:

  • - High batch-to-batch consistency and reproducibility
  • - Improved sensitivity and specificity
  • - Long-term security of supply
  • - Animal-free batch production

For more information, read more on recombinant antibodies.

Conjugation ready
Our carrier-free antibodies are typically supplied in a PBS-only formulation, purified and free of BSA, sodium azide and glycerol. This conjugation-ready format is designed for use with fluorochromes, metal isotopes, oligonucleotides, and enzymes, which makes them ideal for antibody labelling, functional and cell-based assays, flow-based assays (e.g. mass cytometry) and Multiplex Imaging applications.

Use our conjugation kits for antibody conjugates that are ready-to-use in as little as 20 minutes with 1 minute hands-on-time and 100% antibody recovery: available for fluorescent dyes, HRP, biotin and gold.

Compatibility
This product is compatible with the Maxpar® Antibody Labeling Kit from Fluidigm, without the need for antibody preparation. Maxpar® is a trademark of Fluidigm Canada Inc.

What does low endotoxin mean?
Our low endotoxin, azide-free formats have low endotoxin level (1 EU/mg, determined by the TAL assay) and are free from azide, to achieve consistent experimental results in functional assays.

Properties and storage information

Form
Liquid
Purification technique
Affinity purification Protein A
Storage buffer
pH: 7.2 - 7.4 Constituents: PBS
Shipped at conditions
Blue Ice
Appropriate short-term storage conditions
+4°C
Appropriate long-term storage conditions
+4°C
Storage information
Do Not Freeze

Supplementary information

This supplementary information is collated from multiple sources and compiled automatically.

CD10 also known as neprilysin or neutral endopeptidase is a zinc-dependent metalloprotease enzyme with a mass of approximately 100 kDa. This enzyme is expressed across a variety of tissues including kidney lung and neutrophils. Its expression is also notable in the lymphoid tissues. CD10 functions by cleaving peptides at the N-terminal of hydrophobic residues. Common names used in literature for CD10 include CALLA (common acute lymphoblastic leukemia antigen) and membrane metalloendopeptidase.
Biological function summary

CD10 regulates peptide signaling by inactivating various bioactive peptides such as enkephalins atrial natriuretic peptide and bradykinin. It does not function as part of a complex but rather as a standalone entity. The ability of CD10 to hydrolyze peptides influences signal transmission across cellular membranes impacting cellular communication and signal termination within different systems.

Pathways

Neprilysin plays an essential role in hydrolyzing signaling peptides in several critical pathways. It is especially significant in the natriuretic peptide system and the renin-angiotensin system maintaining blood pressure and fluid balance. Within these pathways CD10 modifies peptides working alongside proteins like atrial natriuretic peptide synthase and angiotensin-converting enzyme ensuring systemic homeostasis and cardiovascular health.

CD10 shows a significant connection to certain types of cancer and Alzheimer's disease. In oncology altered expression of CD10 serves as a CD10 marker in cancers such as lymphomas and some leukemia forms which helps in diagnosis and treatment decisions. Additionally CD10's involvement in neuropeptide degradation links it to Amyloid beta peptide accumulation in Alzheimer's where its dysregulation may promote disease progression. Related proteins are amyloid precursor protein in Alzheimer's and CD19 often co-expressed with CD10 in some lymphomas highlighting its role in both diagnostic and therapeutic contexts.

Product protocols

For this product, it's our understanding that no specific protocols are required. You can visit:

Target data

Thermolysin-like specificity, but is almost confined on acting on polypeptides of up to 30 amino acids (PubMed : 15283675, PubMed : 6208535, PubMed : 6349683, PubMed : 8168535). Biologically important in the destruction of opioid peptides such as Met- and Leu-enkephalins by cleavage of a Gly-Phe bond (PubMed : 17101991, PubMed : 6349683). Catalyzes cleavage of bradykinin, substance P and neurotensin peptides (PubMed : 6208535). Able to cleave angiotensin-1, angiotensin-2 and angiotensin 1-9 (PubMed : 15283675, PubMed : 6349683). Involved in the degradation of atrial natriuretic factor (ANF) and brain natriuretic factor (BNP(1-32)) (PubMed : 16254193, PubMed : 2531377, PubMed : 2972276). Displays UV-inducible elastase activity toward skin preelastic and elastic fibers (PubMed : 20876573).
See full target information MME

Publications (1)

Recent publications for all applications. Explore the full list and refine your search

Laboratory investigation; a journal of technical m 100:1208-1222 PubMed32457352

2020

Sustained hedgehog signaling in medulloblastoma tumoroids is attributed to stromal astrocytes and astrocyte-derived extracellular matrix.

Applications

Unspecified application

Species

Unspecified reactive species

Yan Cheng,Janusz Franco-Barraza,Yuan Wang,Chaonan Zheng,Li Zhang,Yanghui Qu,Yaqiu Long,Edna Cukierman,Zeng-Jie Yang
View all publications

Product promise

We are committed to supporting your work with high-quality reagents, and we're here for you every step of the way. In the unlikely event that one of our products does not perform as expected, you're protected by our Product Promise.
For full details, please see our Terms & Conditions

Please note: All products are 'FOR RESEARCH USE ONLY. NOT FOR USE IN DIAGNOSTIC OR THERAPEUTIC PROCEDURES'.

For licensing inquiries, please contact partnerships@abcam.com