JavaScript is disabled in your browser. Please enable JavaScript to view this website.
AB243934

Anti-CD10 antibody [SP179] - BSA and Azide free

Be the first to review this product! Submit a review

|

(0 Publication)

Rabbit Recombinant Monoclonal CD10 antibody. Carrier free. Suitable for WB, IHC-P, Flow Cyt (Intra) and reacts with Human, Mouse, Rat samples.

View Alternative Names

CD10, EPN, MME, Neprilysin, Atriopeptidase, Common acute lymphocytic leukemia antigen, Enkephalinase, Neutral endopeptidase 24.11, Skin fibroblast elastase, CALLA, NEP, Neutral endopeptidase, SFE

13 Images
Immunohistochemistry (Formalin/PFA-fixed paraffin-embedded sections) - Anti-CD10 antibody [SP179] - BSA and Azide free (AB243934)
  • IHC-P

Supplier Data

Immunohistochemistry (Formalin/PFA-fixed paraffin-embedded sections) - Anti-CD10 antibody [SP179] - BSA and Azide free (AB243934)

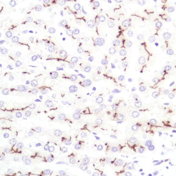
Formalin-fixed, paraffin-embedded human liver tissue stained for CD10 using ab227659 at 1/100 dilution in immunohistochemical analysis.

This data was developed using the same antibody clone in a different buffer formulation containing PBS, BSA and sodium azide (ab227659).

Flow Cytometry (Intracellular) - Anti-CD10 antibody [SP179] - BSA and Azide free (AB243934)
  • Flow Cyt (Intra)

Unknown

Flow Cytometry (Intracellular) - Anti-CD10 antibody [SP179] - BSA and Azide free (AB243934)

Intracellular Flow Cytometry analysis of Raji (Human Burkitt's lymphoma B lymphocyte) labeling CD10 with purified ab227659 at 1/20 dilution (7.05μg/ml) (red). Cells were fixed with 4% paraformaldehyde and permeabilised with 90% methanol. Goat anti rabbit IgG (Alexa Fluor® 488, ab150081) at 1/2000 dilution was used as a secondary antibody. Isotype control -Rabbit monoclonal IgG (ab172730) / Black. Unlableled control -Unlabelled cells / blue. This data was developed using the same antibody clone in a different buffer formulation containing PBS, BSA, glycerol, and sodium azide (ab227659).

Flow Cytometry (Intracellular) - Anti-CD10 antibody [SP179] - BSA and Azide free (AB243934)
  • Flow Cyt (Intra)

Unknown

Flow Cytometry (Intracellular) - Anti-CD10 antibody [SP179] - BSA and Azide free (AB243934)

Intracellular Flow Cytometry analysis of 2.4G2 (Rat B cell lymphoma B lymphocyte) labeling CD10 with purified ab227659 at 1/200 dilution (0.705μg/ml) (red). Cells were fixed with 4% paraformaldehyde and permeabilised with 90% methanol. Goat anti rabbit IgG (Alexa Fluor® 488, ab150081) at 1/2000 dilution was used as a secondary antibody. Isotype control -Rabbit monoclonal IgG (ab172730) / Black. Unlableled control -Unlabelled cells / blue. This data was developed using the same antibody clone in a different buffer formulation containing PBS, BSA, glycerol, and sodium azide (ab227659).

Flow Cytometry (Intracellular) - Anti-CD10 antibody [SP179] - BSA and Azide free (AB243934)
  • Flow Cyt (Intra)

Unknown

Flow Cytometry (Intracellular) - Anti-CD10 antibody [SP179] - BSA and Azide free (AB243934)

Intracellular Flow Cytometry analysis of WEHI-231 (Mouse B cell lymphoma B lymphocyte) labeling CD10 with purified ab227659 at 1/200 dilution (0.705μg/ml) (red). Cells were fixed with 4% paraformaldehyde and permeabilised with 90% methanol. Goat anti rabbit IgG (Alexa Fluor® 488, ab150081) at 1/2000 dilution was used as a secondary antibody. Isotype control -Rabbit monoclonal IgG (ab172730) / Black. Unlableled control -Unlabelled cells / blue. This data was developed using the same antibody clone in a different buffer formulation containing PBS, BSA, glycerol, and sodium azide (ab227659).

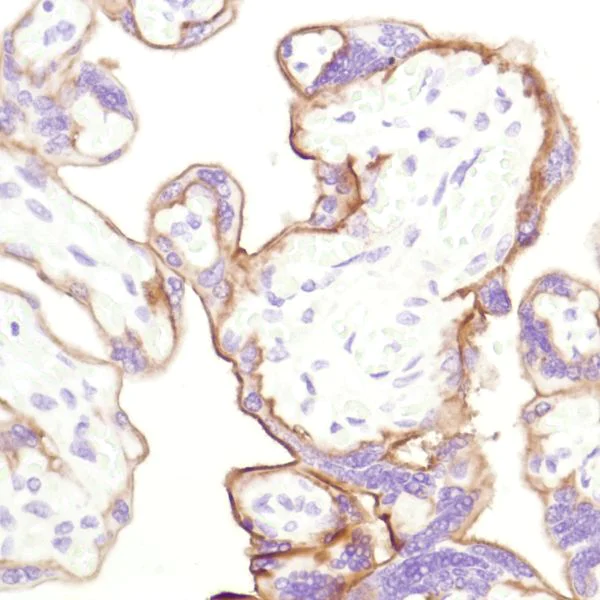
Immunohistochemistry (Formalin/PFA-fixed paraffin-embedded sections) - Anti-CD10 antibody [SP179] - BSA and Azide free (AB243934)
  • IHC-P

Supplier Data

Immunohistochemistry (Formalin/PFA-fixed paraffin-embedded sections) - Anti-CD10 antibody [SP179] - BSA and Azide free (AB243934)

Formalin-fixed, paraffin-embedded human placenta tissue stained for CD10 using ab227659 at 1/100 dilution in immunohistochemical analysis.

This data was developed using the same antibody clone in a different buffer formulation containing PBS, BSA and sodium azide (ab227659).

Immunohistochemistry (Formalin/PFA-fixed paraffin-embedded sections) - Anti-CD10 antibody [SP179] - BSA and Azide free (AB243934)
  • IHC-P

Unknown

Immunohistochemistry (Formalin/PFA-fixed paraffin-embedded sections) - Anti-CD10 antibody [SP179] - BSA and Azide free (AB243934)

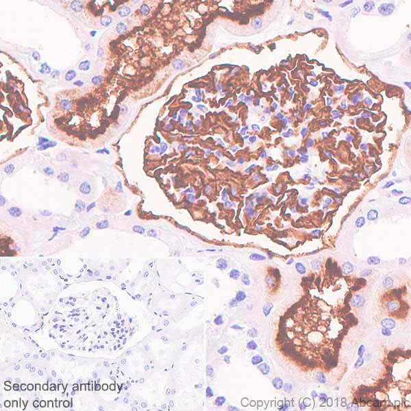
Immunohistochemistry (Formalin/PFA-fixed paraffin-embedded sections) analysis of Rat kidney tissue sections labeling CD10 with ab227659 at 1/100 dilution (1.41 µg/ml). Heat mediated antigen retrieval was performed Heat mediated antigen retrieval with Tris-EDTA buffer (pH 9.0, epitope retrieval solution 2) for 10 mins. Rabbit specific IHC polymer detection kit HRP/DAB (ab209101) was used as the secondary antibody. Negative control : PBS instead of the primary antibody. Hematoxylin was used as a counterstain.
This data was developed using the same antibody clone in a different buffer formulation containing PBS, BSA, glycerol, and sodium azide (ab227659)

Flow Cytometry (Intracellular) - Anti-CD10 antibody [SP179] - BSA and Azide free (AB243934)
  • Flow Cyt (Intra)

Supplier Data

Flow Cytometry (Intracellular) - Anti-CD10 antibody [SP179] - BSA and Azide free (AB243934)

Intracellular flow cytometric analysis ofRamos (human Burkitt's lymphoma cell line) cell line labeling CD10 with ab227659 at 1/400 dilution (green) compared with a Rabbit IgG negative control (blue).

This data was developed using the same antibody clone in a different buffer formulation containing PBS, BSA and sodium azide (ab227659).

Immunohistochemistry (Formalin/PFA-fixed paraffin-embedded sections) - Anti-CD10 antibody [SP179] - BSA and Azide free (AB243934)
  • IHC-P

Supplier Data

Immunohistochemistry (Formalin/PFA-fixed paraffin-embedded sections) - Anti-CD10 antibody [SP179] - BSA and Azide free (AB243934)

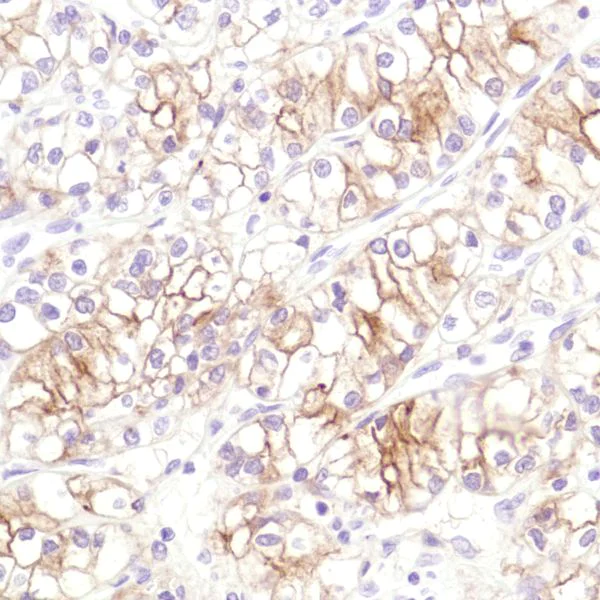
Formalin-fixed, paraffin-embedded human renal cell carcinoma tissue stained for CD10 using ab227659 at 1/100 dilution in immunohistochemical analysis.

This data was developed using the same antibody clone in a different buffer formulation containing PBS, BSA and sodium azide (ab227659).

Immunohistochemistry (Formalin/PFA-fixed paraffin-embedded sections) - Anti-CD10 antibody [SP179] - BSA and Azide free (AB243934)
  • IHC-P

Supplier Data

Immunohistochemistry (Formalin/PFA-fixed paraffin-embedded sections) - Anti-CD10 antibody [SP179] - BSA and Azide free (AB243934)

Formalin-fixed, paraffin-embedded human breast tissue stained for CD10 using ab227659 at 1/100 dilution in immunohistochemical analysis.

This data was developed using the same antibody clone in a different buffer formulation containing PBS, BSA and sodium azide (ab227659).

Immunohistochemistry (Formalin/PFA-fixed paraffin-embedded sections) - Anti-CD10 antibody [SP179] - BSA and Azide free (AB243934)
  • IHC-P

Supplier Data

Immunohistochemistry (Formalin/PFA-fixed paraffin-embedded sections) - Anti-CD10 antibody [SP179] - BSA and Azide free (AB243934)

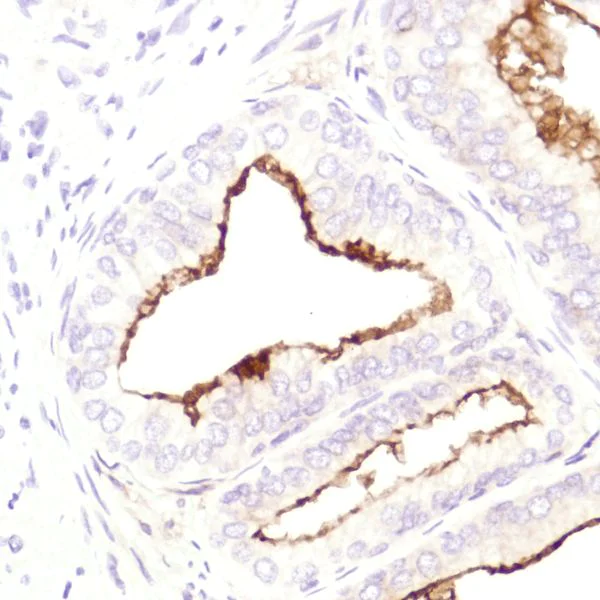
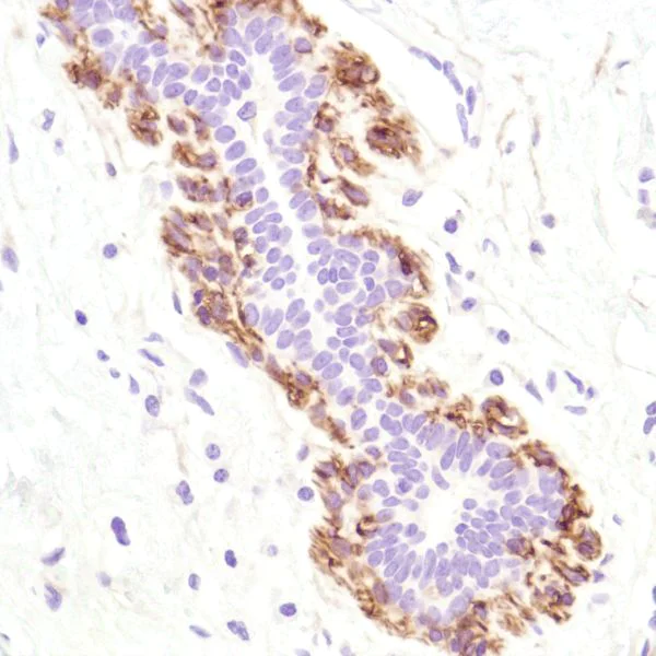
Formalin-fixed, paraffin-embedded human prostate tissue stained for CD10 using ab227659 at 1/100 dilution in immunohistochemical analysis.

This data was developed using the same antibody clone in a different buffer formulation containing PBS, BSA and sodium azide (ab227659).

Immunohistochemistry (Formalin/PFA-fixed paraffin-embedded sections) - Anti-CD10 antibody [SP179] - BSA and Azide free (AB243934)
  • IHC-P

Unknown

Immunohistochemistry (Formalin/PFA-fixed paraffin-embedded sections) - Anti-CD10 antibody [SP179] - BSA and Azide free (AB243934)

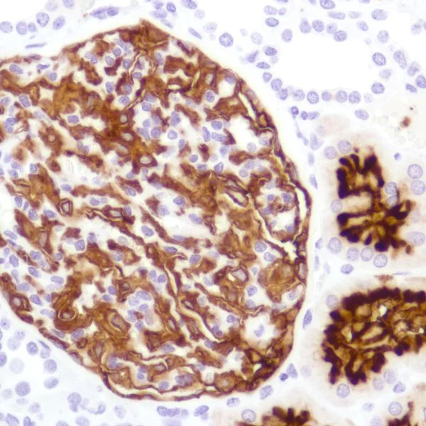
Immunohistochemistry (Formalin/PFA-fixed paraffin-embedded sections) analysis of Mouse kidney tissue sections labeling CD10 with ab227659 at 1/100 dilution (1.41 µg/ml). Heat mediated antigen retrieval was performed Heat mediated antigen retrieval with Tris-EDTA buffer (pH 9.0, epitope retrieval solution 2) for 10 mins. Rabbit specific IHC polymer detection kit HRP/DAB (ab209101) was used as the secondary antibody. Negative control : PBS instead of the primary antibody. Hematoxylin was used as a counterstain.
This data was developed using the same antibody clone in a different buffer formulation containing PBS, BSA, glycerol, and sodium azide (ab227659)

Immunohistochemistry (Formalin/PFA-fixed paraffin-embedded sections) - Anti-CD10 antibody [SP179] - BSA and Azide free (AB243934)
  • IHC-P

Unknown

Immunohistochemistry (Formalin/PFA-fixed paraffin-embedded sections) - Anti-CD10 antibody [SP179] - BSA and Azide free (AB243934)

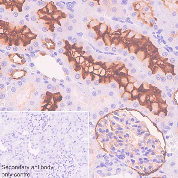
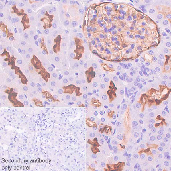
Immunohistochemistry (Formalin/PFA-fixed paraffin-embedded sections) analysis of Human kidney tissue sections labeling CD10 with ab227659 at 1/100 dilution (1.41 µg/ml). Heat mediated antigen retrieval was performed Heat mediated antigen retrieval with Tris-EDTA buffer (pH 9.0, epitope retrieval solution 2) for 10 mins. Rabbit specific IHC polymer detection kit HRP/DAB (ab209101) was used as the secondary antibody. Negative control : PBS instead of the primary antibody. Hematoxylin was used as a counterstain.
This data was developed using the same antibody clone in a different buffer formulation containing PBS, BSA, glycerol, and sodium azide (ab227659)

Immunohistochemistry (Formalin/PFA-fixed paraffin-embedded sections) - Anti-CD10 antibody [SP179] - BSA and Azide free (AB243934)
  • IHC-P

Supplier Data

Immunohistochemistry (Formalin/PFA-fixed paraffin-embedded sections) - Anti-CD10 antibody [SP179] - BSA and Azide free (AB243934)

Formalin-fixed, paraffin-embedded human kidney tissue stained for CD10 using ab227659 at 1/100 dilution in immunohistochemical analysis.

This data was developed using the same antibody clone in a different buffer formulation containing PBS, BSA and sodium azide (ab227659).

  • Unconjugated

    Anti-CD10 antibody [SP179] - N-terminal

  • 775 Alexa Fluor® 750

    Alexa Fluor® 750 Anti-CD10 antibody [SP179] - N-terminal

  • 578 PE

    PE Anti-CD10 antibody [SP179] (N-terminal)

  • 660 APC

    APC Anti-CD10 antibody [SP179] (N-terminal)

  • 519 Alexa Fluor® 488

    Alexa Fluor® 488 Anti-CD10 antibody [SP179] - N-terminal

  • 617 Alexa Fluor® 594

    Alexa Fluor® 594 Anti-CD10 antibody [SP179] - N-terminal

  • 603 Alexa Fluor® 568

    Alexa Fluor® 568 Anti-CD10 antibody [SP179] - N-terminal

  • 565 Alexa Fluor® 555

    Alexa Fluor® 555 Anti-CD10 antibody [SP179] - N-terminal

  • HRP

    HRP Anti-CD10 antibody [SP179] (N-terminal)

  • 665 Alexa Fluor® 647

    Alexa Fluor® 647 Anti-CD10 antibody [SP179] - N-terminal

Key facts

Host species

Rabbit

Clonality

Monoclonal

Clone number

SP179

Isotype

IgG

Carrier free

Yes

Reacts with

Mouse, Rat, Human

Applications

Flow Cyt (Intra), WB, IHC-P

applications

Immunogen

The exact immunogen used to generate this antibody is proprietary information.

Reactivity data

{ "title": "Reactivity Data", "filters": { "stats": ["", "Species", "Dilution Info", "Notes"], "tabs": { "all-applications": {"fullname" : "All Applications", "shortname": "All Applications"}, "WB" : {"fullname" : "Western blot", "shortname":"WB"}, "IHCP" : {"fullname" : "Immunohistochemistry (Formalin/PFA-fixed paraffin-embedded sections)", "shortname":"IHC-P"}, "FlowCytIntra" : {"fullname" : "Flow Cytometry (Intracellular)", "shortname":"Flow Cyt (Intra)"} }, "product-promise": { "all": "all", "testedAndGuaranteed": "tested", "guaranteed": "expected", "predicted": "predicted", "notRecommended": "not-recommended" } }, "values": { "Human": { "WB-species-checked": "testedAndGuaranteed", "WB-species-dilution-info": "", "WB-species-notes": "<p></p>", "IHCP-species-checked": "testedAndGuaranteed", "IHCP-species-dilution-info": "", "IHCP-species-notes": "<p></p>", "FlowCytIntra-species-checked": "testedAndGuaranteed", "FlowCytIntra-species-dilution-info": "1/20", "FlowCytIntra-species-notes": "<p></p>" }, "Mouse": { "WB-species-checked": "guaranteed", "WB-species-dilution-info": "", "WB-species-notes": "", "IHCP-species-checked": "testedAndGuaranteed", "IHCP-species-dilution-info": "", "IHCP-species-notes": "<p></p>", "FlowCytIntra-species-checked": "testedAndGuaranteed", "FlowCytIntra-species-dilution-info": "1/20", "FlowCytIntra-species-notes": "<p></p>" }, "Rat": { "WB-species-checked": "guaranteed", "WB-species-dilution-info": "", "WB-species-notes": "", "IHCP-species-checked": "testedAndGuaranteed", "IHCP-species-dilution-info": "", "IHCP-species-notes": "<p></p>", "FlowCytIntra-species-checked": "testedAndGuaranteed", "FlowCytIntra-species-dilution-info": "1/20", "FlowCytIntra-species-notes": "<p></p>" } } }

You may be interested in:

AB234563

Human Neprilysin ELISA Kit

0

0 Reviews

View product

We recommend this product because it’s often used in the same experiment or related research.

We advise that you always check the datasheet to ensure it fits your experiments, or contact ourtechnical teamfor help.

Product details

Properties and storage information

Form
Liquid
Purification technique
Affinity purification Protein A/G
Purification notes
Purified from TCS by protein A/G.
Storage buffer
pH: 7.2 - 7.4 Constituents: PBS
Shipped at conditions
Blue Ice
Appropriate short-term storage conditions
+4°C
Appropriate long-term storage conditions
+4°C
Storage information
Do Not Freeze

Supplementary information

This supplementary information is collated from multiple sources and compiled automatically.

CD10 also known as neprilysin or neutral endopeptidase is a zinc-dependent metalloprotease enzyme with a mass of approximately 100 kDa. This enzyme is expressed across a variety of tissues including kidney lung and neutrophils. Its expression is also notable in the lymphoid tissues. CD10 functions by cleaving peptides at the N-terminal of hydrophobic residues. Common names used in literature for CD10 include CALLA (common acute lymphoblastic leukemia antigen) and membrane metalloendopeptidase.
Biological function summary

CD10 regulates peptide signaling by inactivating various bioactive peptides such as enkephalins atrial natriuretic peptide and bradykinin. It does not function as part of a complex but rather as a standalone entity. The ability of CD10 to hydrolyze peptides influences signal transmission across cellular membranes impacting cellular communication and signal termination within different systems.

Pathways

Neprilysin plays an essential role in hydrolyzing signaling peptides in several critical pathways. It is especially significant in the natriuretic peptide system and the renin-angiotensin system maintaining blood pressure and fluid balance. Within these pathways CD10 modifies peptides working alongside proteins like atrial natriuretic peptide synthase and angiotensin-converting enzyme ensuring systemic homeostasis and cardiovascular health.

CD10 shows a significant connection to certain types of cancer and Alzheimer's disease. In oncology altered expression of CD10 serves as a CD10 marker in cancers such as lymphomas and some leukemia forms which helps in diagnosis and treatment decisions. Additionally CD10's involvement in neuropeptide degradation links it to Amyloid beta peptide accumulation in Alzheimer's where its dysregulation may promote disease progression. Related proteins are amyloid precursor protein in Alzheimer's and CD19 often co-expressed with CD10 in some lymphomas highlighting its role in both diagnostic and therapeutic contexts.

Product protocols

For this product, it's our understanding that no specific protocols are required. You can visit:

Target data

Thermolysin-like specificity, but is almost confined on acting on polypeptides of up to 30 amino acids (PubMed : 15283675, PubMed : 6208535, PubMed : 6349683, PubMed : 8168535). Biologically important in the destruction of opioid peptides such as Met- and Leu-enkephalins by cleavage of a Gly-Phe bond (PubMed : 17101991, PubMed : 6349683). Catalyzes cleavage of bradykinin, substance P and neurotensin peptides (PubMed : 6208535). Able to cleave angiotensin-1, angiotensin-2 and angiotensin 1-9 (PubMed : 15283675, PubMed : 6349683). Involved in the degradation of atrial natriuretic factor (ANF) and brain natriuretic factor (BNP(1-32)) (PubMed : 16254193, PubMed : 2531377, PubMed : 2972276). Displays UV-inducible elastase activity toward skin preelastic and elastic fibers (PubMed : 20876573).
See full target information MME

Product promise

We are committed to supporting your work with high-quality reagents, and we're here for you every step of the way. In the unlikely event that one of our products does not perform as expected, you're protected by our Product Promise.
For full details, please see our Terms & Conditions

Associated Products

Select an associated product type
Alternative Product
Primary Antibodies

AB267382

APC Anti-CD10 antibody [SN5c]

primary-antibodies

apc-cd10-antibody-sn5c-ab267382

0

(0 reviews)

Alternative Product
Primary Antibodies

AB225480

Alexa Fluor® 647 Anti-CD10 antibody [EPR5904-110]

primary-antibodies

alexa-fluor-647-cd10-antibody-epr5904-110-ab225480

0

(0 reviews)

Alternative Product
Primary Antibodies

AB256494

Anti-CD10 antibody [EPR22867-118]

primary-antibodies

cd10-antibody-epr22867-118-ab256494

5

(5 reviews)

Alternative Product
Primary Antibodies

AB255609

Anti-CD10 antibody [EPR22865-73]

primary-antibodies

cd10-antibody-epr22865-73-ab255609

0

(0 reviews)

Alternative Product
Primary Antibodies

AB256767

Anti-CD10 antibody [EPR22865-73] - BSA and Azide free

primary-antibodies

cd10-antibody-epr22865-73-bsa-and-azide-free-ab256767

4

(1 reviews)

Alternative Product
Primary Antibodies

AB227640

Anti-CD10 antibody [SP67]

primary-antibodies

cd10-antibody-sp67-ab227640

5

(1 reviews)

Alternative Product
Primary Antibodies

AB261729

Anti-CD10 antibody [EPR22867-118] - BSA and Azide free

primary-antibodies

cd10-antibody-epr22867-118-bsa-and-azide-free-ab261729

5

(1 reviews)

Alternative Product
Primary Antibodies

AB236235

Anti-CD10 antibody [SP67] - BSA and Azide free

primary-antibodies

cd10-antibody-sp67-bsa-and-azide-free-ab236235

4

(1 reviews)

Alternative Product
Primary Antibodies

AB306503

PE Anti-CD10 antibody [SP179] (N-terminal)

primary-antibodies

pe-cd10-antibody-sp179-n-terminal-ab306503

0

(0 reviews)

Alternative Product
Primary Antibodies

AB306504

APC Anti-CD10 antibody [SP179] (N-terminal)

primary-antibodies

apc-cd10-antibody-sp179-n-terminal-ab306504

0

(0 reviews)

Alternative Product
Primary Antibodies

AB269339

FITC Anti-CD10 antibody [LT10]

primary-antibodies

fitc-cd10-antibody-lt10-ab269339

0

(0 reviews)

Alternative Product
Primary Antibodies

AB225479

Alexa Fluor® 488 Anti-CD10 antibody [EPR5904-110]

primary-antibodies

alexa-fluor-488-cd10-antibody-epr5904-110-ab225479

0

(0 reviews)

Alternative Product
Primary Antibodies

AB208778

Anti-CD10 antibody [EPR5904-110]

primary-antibodies

cd10-antibody-epr5904-110-ab208778

0

(0 reviews)

Alternative Product
Primary Antibodies

AB222225

Anti-CD10 antibody [EPR5904-110] - Low endotoxin, Azide free

primary-antibodies

cd10-antibody-epr5904-110-low-endotoxin-azide-free-ab222225

0

(0 reviews)

Alternative Product
Primary Antibodies

AB306505

HRP Anti-CD10 antibody [SP179] (N-terminal)

primary-antibodies

hrp-cd10-antibody-sp179-n-terminal-ab306505

0

(0 reviews)

Alternative Version
Primary Antibodies

AB309947

Alexa Fluor® 488 Anti-CD10 antibody [SP179] - N-terminal

primary-antibodies

alexa-fluor-488-cd10-antibody-sp179-n-terminal-ab309947

0

(0 reviews)

Alternative Version
Primary Antibodies

AB310778

Alexa Fluor® 594 Anti-CD10 antibody [SP179] - N-terminal

primary-antibodies

alexa-fluor-594-cd10-antibody-sp179-n-terminal-ab310778

0

(0 reviews)

Alternative Version
Primary Antibodies

AB312800

Alexa Fluor® 568 Anti-CD10 antibody [SP179] - N-terminal

primary-antibodies

alexa-fluor-568-cd10-antibody-sp179-n-terminal-ab312800

0

(0 reviews)

Alternative Version
Primary Antibodies

AB312304

Alexa Fluor® 555 Anti-CD10 antibody [SP179] - N-terminal

primary-antibodies

alexa-fluor-555-cd10-antibody-sp179-n-terminal-ab312304

0

(0 reviews)

Alternative Version
Primary Antibodies

AB310314

Alexa Fluor® 647 Anti-CD10 antibody [SP179] - N-terminal

primary-antibodies

alexa-fluor-647-cd10-antibody-sp179-n-terminal-ab310314

0

(0 reviews)

Please note: All products are 'FOR RESEARCH USE ONLY. NOT FOR USE IN DIAGNOSTIC OR THERAPEUTIC PROCEDURES'.

For licensing inquiries, please contact partnerships@abcam.com