JavaScript is disabled in your browser. Please enable JavaScript to view this website.
AB227640

Anti-CD10 antibody [SP67]

5

(1 Review)

|

(4 Publications)

Anti-CD10 antibody [SP67] (ab227640) is a rabbit monoclonal antibody detecting CD10 in Western Blot, Flow Cytometry, IHC-P. Suitable for Human.

- Biophysical QC for unrivalled batch-batch consistency

View Alternative Names

CD10, EPN, MME, Neprilysin, Atriopeptidase, Common acute lymphocytic leukemia antigen, Enkephalinase, Neutral endopeptidase 24.11, Skin fibroblast elastase, CALLA, NEP, Neutral endopeptidase, SFE

5 Images
Flow Cytometry - Anti-CD10 antibody [SP67] (AB227640)
  • Flow Cyt

Unknown

Flow Cytometry - Anti-CD10 antibody [SP67] (AB227640)

Flow Cytometry analysis of Raji (Human Burkitt's lymphoma B lymphocyte) cells labeling CD10 with purified ab227640 at 1 : 200 dilution (1.025 µg/ml) Red. A Goat anti rabbit IgG (Alexa Fluor® 488, ab150081) secondary antibody was used at 1 : 2000 dilution. Isotype control - Rabbit monoclonal IgG (ab172730) / Black. Unlabeled control - Unlabelled cells / Blue.

Immunohistochemistry (Formalin/PFA-fixed paraffin-embedded sections) - Anti-CD10 antibody [SP67] (AB227640)
  • IHC-P

Supplier Data

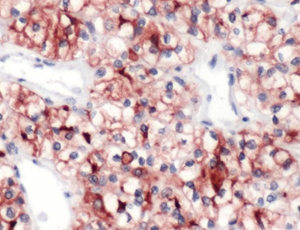
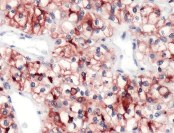
Immunohistochemistry (Formalin/PFA-fixed paraffin-embedded sections) - Anti-CD10 antibody [SP67] (AB227640)

Formalin-fixed, paraffin-embedded human renal cell carcinoma tissue stained for CD10 using ab227640 at 1/100 dilution in immunohistochemical analysis.

Immunohistochemistry (Formalin/PFA-fixed paraffin-embedded sections) - Anti-CD10 antibody [SP67] (AB227640)
  • IHC-P

Unknown

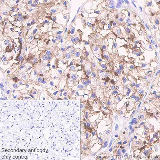
Immunohistochemistry (Formalin/PFA-fixed paraffin-embedded sections) - Anti-CD10 antibody [SP67] (AB227640)

Immunohistochemistry (Formalin/PFA-fixed paraffin-embedded sections) analysis of Human renal cell carcinoma tissue sections labeling CD10 with ab227640 at 1/100 dilution (1.89 μg/ml). Heat mediated antigen retrieval with Tris-EDTA buffer (pH 9.0, epitope retrieval solution 2) for 10mins. Rabbit specific IHC polymer detection kit HRP/DAB (ab209101) was used as the secondary antibody. Hematoxylin was used as a counterstain. Positive staining on human renal cell carcinoma, performed on a Leica Biosystems BOND™ RX instrument.
The section was incubated with ab227640 for 30 mins at room temperature.

Flow Cytometry - Anti-CD10 antibody [SP67] (AB227640)
  • Flow Cyt

Unknown

Flow Cytometry - Anti-CD10 antibody [SP67] (AB227640)

Flow Cytometry analysis of Jurkat(Human T cell leukemia T lymphocyte)_negative control cells labeling CD10 with purified ab227640 at 1 : 200 dilution (1.025 µg/ml) Red. A Goat anti rabbit IgG (Alexa Fluor® 488, ab150077) secondary antibody was used at 1 : 2000 dilution. Isotype control - Rabbit monoclonal IgG (ab172730) / Black. Unlabeled control - Unlabelled cells / Blue.

Western blot - Anti-CD10 antibody [SP67] (AB227640)
  • WB

Supplier Data

Western blot - Anti-CD10 antibody [SP67] (AB227640)

All lanes:

Western blot - Anti-CD10 antibody [SP67] (ab227640) at 1/25 dilution

All lanes:

Ramos (human Burkitt's lymphoma cell line) cell lysate

Predicted band size: 85 kDa

false

  • Carrier free

    Anti-CD10 antibody [SP67] - BSA and Azide free

Key facts

Host species

Rabbit

Clonality

Monoclonal

Clone number

SP67

Isotype

IgG

Carrier free

No

Reacts with

Human

Applications

IHC-P, WB, Flow Cyt

applications

Immunogen

The exact immunogen used to generate this antibody is proprietary information.

Reactivity data

{ "title": "Reactivity Data", "filters": { "stats": ["", "Species", "Dilution Info", "Notes"], "tabs": { "all-applications": {"fullname" : "All Applications", "shortname": "All Applications"}, "FlowCyt" : {"fullname" : "Flow Cytometry", "shortname":"Flow Cyt"}, "WB" : {"fullname" : "Western blot", "shortname":"WB"}, "IHCP" : {"fullname" : "Immunohistochemistry (Formalin/PFA-fixed paraffin-embedded sections)", "shortname":"IHC-P"} }, "product-promise": { "all": "all", "testedAndGuaranteed": "tested", "guaranteed": "expected", "predicted": "predicted", "notRecommended": "not-recommended" } }, "values": { "Human": { "FlowCyt-species-checked": "testedAndGuaranteed", "FlowCyt-species-dilution-info": "1/200", "FlowCyt-species-notes": "<p></p>", "WB-species-checked": "testedAndGuaranteed", "WB-species-dilution-info": "1/25", "WB-species-notes": "<p>Primary antibody incubation for 1 hour at room temperature.</p>", "IHCP-species-checked": "testedAndGuaranteed", "IHCP-species-dilution-info": "1/100", "IHCP-species-notes": "<p>Perform heat mediated antigen retrieval with 1mM EDTA buffer pH 8.0 before commencing with IHC staining protocol.</p><p>Primary antibody incubation for 30 minutes at room temperature.</p>" }, "Mouse": { "FlowCyt-species-checked": "predicted", "FlowCyt-species-dilution-info": "", "FlowCyt-species-notes": "", "WB-species-checked": "predicted", "WB-species-dilution-info": "", "WB-species-notes": "", "IHCP-species-checked": "predicted", "IHCP-species-dilution-info": "", "IHCP-species-notes": "" }, "Rat": { "FlowCyt-species-checked": "predicted", "FlowCyt-species-dilution-info": "", "FlowCyt-species-notes": "", "WB-species-checked": "predicted", "WB-species-dilution-info": "", "WB-species-notes": "", "IHCP-species-checked": "predicted", "IHCP-species-dilution-info": "", "IHCP-species-notes": "" }, "Chicken": { "FlowCyt-species-checked": "predicted", "FlowCyt-species-dilution-info": "", "FlowCyt-species-notes": "", "WB-species-checked": "predicted", "WB-species-dilution-info": "", "WB-species-notes": "", "IHCP-species-checked": "predicted", "IHCP-species-dilution-info": "", "IHCP-species-notes": "" }, "Cow": { "FlowCyt-species-checked": "predicted", "FlowCyt-species-dilution-info": "", "FlowCyt-species-notes": "", "WB-species-checked": "predicted", "WB-species-dilution-info": "", "WB-species-notes": "", "IHCP-species-checked": "predicted", "IHCP-species-dilution-info": "", "IHCP-species-notes": "" } } }

Product details

What is this antibody validated in?
Anti-CD10 antibody [SP67] (ab227640) is a rabbit recombinant monoclonal antibody and is validated for use in Western Blot (WB), Flow Cytometry (Flow Cyt), Immunohistochemistry (IHC-P) in Human samples.

What is the molecular weight of CD10?
Anti-CD10 [SP67] (ab227640) specifically detects a band for CD10 (UniProt: P08473) at a molecular weight of 86kDa.

Collaboration
Anti-CD10 [SP67] (ab227640) is a clone from the portfolio of Spring Bioscience (Roche) SP clones which have been optimised for immunohistochemistry (IHC).

Other related products
We have a range of other formats of antibody clone [SP67] also available for your convenience: ab227640, Carrier free - ab236235

Patented technology
Our RabMAb® technology is a patented hybridoma-based technology for making rabbit monoclonal antibodies. For details on our patents, please refer to RabMAb® patents.

What are the advantages of a recombinant monoclonal antibody?
This product is a recombinant monoclonal antibody, which offers several advantages including:

  • - High batch-to-batch consistency and reproducibility
  • - Improved sensitivity and specificity
  • - Long-term security of supply
  • - Animal-free batch production

For more information, read more on recombinant antibodies.

Properties and storage information

Form
Liquid
Purification technique
Affinity purification Protein A
Storage buffer
pH: 7.2 - 7.4 Preservative: 0.1% Sodium azide Constituents: PBS, 1% BSA
Shipped at conditions
Blue Ice
Appropriate short-term storage duration
1-2 weeks
Appropriate short-term storage conditions
+4°C
Appropriate long-term storage conditions
-20°C
Aliquoting information
Upon delivery aliquot
Storage information
Avoid freeze / thaw cycle

Supplementary information

This supplementary information is collated from multiple sources and compiled automatically.

CD10 also known as neprilysin or neutral endopeptidase is a zinc-dependent metalloprotease enzyme with a mass of approximately 100 kDa. This enzyme is expressed across a variety of tissues including kidney lung and neutrophils. Its expression is also notable in the lymphoid tissues. CD10 functions by cleaving peptides at the N-terminal of hydrophobic residues. Common names used in literature for CD10 include CALLA (common acute lymphoblastic leukemia antigen) and membrane metalloendopeptidase.
Biological function summary

CD10 regulates peptide signaling by inactivating various bioactive peptides such as enkephalins atrial natriuretic peptide and bradykinin. It does not function as part of a complex but rather as a standalone entity. The ability of CD10 to hydrolyze peptides influences signal transmission across cellular membranes impacting cellular communication and signal termination within different systems.

Pathways

Neprilysin plays an essential role in hydrolyzing signaling peptides in several critical pathways. It is especially significant in the natriuretic peptide system and the renin-angiotensin system maintaining blood pressure and fluid balance. Within these pathways CD10 modifies peptides working alongside proteins like atrial natriuretic peptide synthase and angiotensin-converting enzyme ensuring systemic homeostasis and cardiovascular health.

CD10 shows a significant connection to certain types of cancer and Alzheimer's disease. In oncology altered expression of CD10 serves as a CD10 marker in cancers such as lymphomas and some leukemia forms which helps in diagnosis and treatment decisions. Additionally CD10's involvement in neuropeptide degradation links it to Amyloid beta peptide accumulation in Alzheimer's where its dysregulation may promote disease progression. Related proteins are amyloid precursor protein in Alzheimer's and CD19 often co-expressed with CD10 in some lymphomas highlighting its role in both diagnostic and therapeutic contexts.

Product protocols

For this product, it's our understanding that no specific protocols are required. You can visit:

Target data

Thermolysin-like specificity, but is almost confined on acting on polypeptides of up to 30 amino acids (PubMed : 15283675, PubMed : 6208535, PubMed : 6349683, PubMed : 8168535). Biologically important in the destruction of opioid peptides such as Met- and Leu-enkephalins by cleavage of a Gly-Phe bond (PubMed : 17101991, PubMed : 6349683). Catalyzes cleavage of bradykinin, substance P and neurotensin peptides (PubMed : 6208535). Able to cleave angiotensin-1, angiotensin-2 and angiotensin 1-9 (PubMed : 15283675, PubMed : 6349683). Involved in the degradation of atrial natriuretic factor (ANF) and brain natriuretic factor (BNP(1-32)) (PubMed : 16254193, PubMed : 2531377, PubMed : 2972276). Displays UV-inducible elastase activity toward skin preelastic and elastic fibers (PubMed : 20876573).
See full target information MME

Publications (4)

Recent publications for all applications. Explore the full list and refine your search

Balkan medical journal 42:440-451 PubMed40888349

2025

Inhibition of PI3K and Hedgehog Signaling Pathway Inhibits Hypoxia-Induced Vasculogenic Mimicry Formation in Ovarian Cancer Stem Cells.

Applications

Unspecified application

Species

Unspecified reactive species

Jun Liang,Yun Bai,Huan Zhao

Oncology letters 30:456 PubMed40762017

2025

Acute myeloid leukemia with plasmacytoid dendritic cell proliferation: A case report and literature review.

Applications

Unspecified application

Species

Unspecified reactive species

Zhixin Pei,Yi Zhang,Han Xu,Pei Pei,Zhengyang Zhang,Hongxia Wang,Bei Zhang,Junjun Bai,Yingxin Zhao,Jingjing Gu,Zhiyu Fang,Miaomiao Liu,Qinglin Song

Frontiers in oncology 13:1116648 PubMed36816933

2023

Clinical and pathological heterogeneity of four common fusion subtypes in Xp11.2 translocation renal cell carcinoma.

Applications

Unspecified application

Species

Unspecified reactive species

Wei Guo,Yiqi Zhu,Xiaohong Pu,Hongqian Guo,Weidong Gan

Nature communications 11:4061 PubMed32792541

2020

Elucidating the fundamental fibrotic processes driving abdominal adhesion formation.

Applications

Unspecified application

Species

Unspecified reactive species

Deshka S Foster,Clement D Marshall,Gunsagar S Gulati,Malini S Chinta,Alan Nguyen,Ankit Salhotra,R Ellen Jones,Austin Burcham,Tristan Lerbs,Lu Cui,Megan E King,Ashley L Titan,R Chase Ransom,Anoop Manjunath,Michael S Hu,Charles P Blackshear,Shamik Mascharak,Alessandra L Moore,Jeffrey A Norton,Cindy J Kin,Andrew A Shelton,Michael Januszyk,Geoffrey C Gurtner,Gerlinde Wernig,Michael T Longaker
View all publications

Product promise

We are committed to supporting your work with high-quality reagents, and we're here for you every step of the way. In the unlikely event that one of our products does not perform as expected, you're protected by our Product Promise.
For full details, please see our Terms & Conditions

Please note: All products are 'FOR RESEARCH USE ONLY. NOT FOR USE IN DIAGNOSTIC OR THERAPEUTIC PROCEDURES'.

For licensing inquiries, please contact partnerships@abcam.com