JavaScript is disabled in your browser. Please enable JavaScript to view this website.
AB236235

Anti-CD10 antibody [SP67] - BSA and Azide free

4

(1 Review)

|

(1 Publication)

Rabbit Recombinant Monoclonal CD10 antibody. Carrier free. Suitable for Flow Cyt, WB, IHC-P and reacts with Human samples. Cited in 1 publication.

View Alternative Names

CD10, EPN, MME, Neprilysin, Atriopeptidase, Common acute lymphocytic leukemia antigen, Enkephalinase, Neutral endopeptidase 24.11, Skin fibroblast elastase, CALLA, NEP, Neutral endopeptidase, SFE

4 Images
Flow Cytometry - Anti-CD10 antibody [SP67] - BSA and Azide free (AB236235)
  • Flow Cyt

Unknown

Flow Cytometry - Anti-CD10 antibody [SP67] - BSA and Azide free (AB236235)

Flow Cytometry analysis of Raji (Human Burkitt's lymphoma B lymphocyte) cells labeling CD10 with purified ab227640 at 1 : 200 dilution (1.025 µg/ml) Red. A Goat anti rabbit IgG (Alexa Fluor® 488, ab150081) secondary antibody was used at 1 : 2000 dilution. Isotype control - Rabbit monoclonal IgG (ab172730) / Black. Unlabeled control - Unlabelled cells / Blue.
This data was developed using the same antibody clone in a different buffer formulation containing PBS, BSA, glycerol, and sodium azide (ab227640).

Immunohistochemistry (Formalin/PFA-fixed paraffin-embedded sections) - Anti-CD10 antibody [SP67] - BSA and Azide free (AB236235)
  • IHC-P

Supplier Data

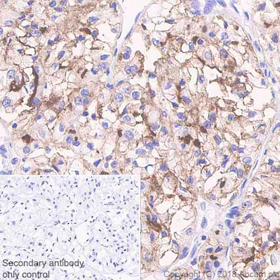
Immunohistochemistry (Formalin/PFA-fixed paraffin-embedded sections) - Anti-CD10 antibody [SP67] - BSA and Azide free (AB236235)

Formalin-fixed, paraffin-embedded human renal cell carcinoma tissue stained for CD10 using ab227640 at 1/100 dilution in immunohistochemical analysis.

This data was developed using the same antibody clone in a different buffer formulation containing PBS, BSA and sodium azide (ab227640).

Immunohistochemistry (Formalin/PFA-fixed paraffin-embedded sections) - Anti-CD10 antibody [SP67] - BSA and Azide free (AB236235)
  • IHC-P

Unknown

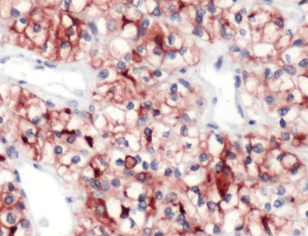
Immunohistochemistry (Formalin/PFA-fixed paraffin-embedded sections) - Anti-CD10 antibody [SP67] - BSA and Azide free (AB236235)

Immunohistochemistry (Formalin/PFA-fixed paraffin-embedded sections) analysis of Human renal cell carcinoma tissue sections labeling CD10 with ab227640 at 1/100 dilution (1.89 μg/ml). Heat mediated antigen retrieval with Tris-EDTA buffer (pH 9.0, epitope retrieval solution 2) for 10mins. Rabbit specific IHC polymer detection kit HRP/DAB (ab209101) was used as the secondary antibody. Hematoxylin was used as a counterstain. Positive staining on human renal cell carcinoma, performed on a Leica Biosystems BOND™ RX instrument.
The section was incubated with ab227640 for 30 mins at room temperature. This image was generated using ab227640, the same clone, but with a different buffer formulation.

Flow Cytometry - Anti-CD10 antibody [SP67] - BSA and Azide free (AB236235)
  • Flow Cyt

Unknown

Flow Cytometry - Anti-CD10 antibody [SP67] - BSA and Azide free (AB236235)

Flow Cytometry analysis of Jurkat(Human T cell leukemia T lymphocyte)_negative control cells labeling CD10 with purified ab227640 at 1 : 200 dilution (1.025 µg/ml) Red. A Goat anti rabbit IgG (Alexa Fluor® 488, ab150077) secondary antibody was used at 1 : 2000 dilution. Isotype control - Rabbit monoclonal IgG (ab172730) / Black. Unlabeled control - Unlabelled cells / Blue.
This data was developed using the same antibody clone in a different buffer formulation containing PBS, BSA, glycerol, and sodium azide (ab227642).

Key facts

Host species

Rabbit

Clonality

Monoclonal

Clone number

SP67

Isotype

IgG

Carrier free

Yes

Reacts with

Human

Applications

IHC-P, WB, Flow Cyt

applications

Immunogen

The exact immunogen used to generate this antibody is proprietary information.

Reactivity data

{ "title": "Reactivity Data", "filters": { "stats": ["", "Species", "Dilution Info", "Notes"], "tabs": { "all-applications": {"fullname" : "All Applications", "shortname": "All Applications"}, "FlowCyt" : {"fullname" : "Flow Cytometry", "shortname":"Flow Cyt"}, "WB" : {"fullname" : "Western blot", "shortname":"WB"}, "IHCP" : {"fullname" : "Immunohistochemistry (Formalin/PFA-fixed paraffin-embedded sections)", "shortname":"IHC-P"} }, "product-promise": { "all": "all", "testedAndGuaranteed": "tested", "guaranteed": "expected", "predicted": "predicted", "notRecommended": "not-recommended" } }, "values": { "Human": { "FlowCyt-species-checked": "testedAndGuaranteed", "FlowCyt-species-dilution-info": "", "FlowCyt-species-notes": "<p></p>", "WB-species-checked": "guaranteed", "WB-species-dilution-info": "", "WB-species-notes": "<p>Primary antibody incubation for 1 hour at room temperature.</p>", "IHCP-species-checked": "testedAndGuaranteed", "IHCP-species-dilution-info": "", "IHCP-species-notes": "<p>Perform heat mediated antigen retrieval with 1mM EDTA buffer pH 8.0 before commencing with IHC staining protocol.Primary antibody incubation for 30 minutes at room temperature.</p>" }, "Mouse": { "FlowCyt-species-checked": "predicted", "FlowCyt-species-dilution-info": "", "FlowCyt-species-notes": "", "WB-species-checked": "predicted", "WB-species-dilution-info": "", "WB-species-notes": "", "IHCP-species-checked": "predicted", "IHCP-species-dilution-info": "", "IHCP-species-notes": "" }, "Rat": { "FlowCyt-species-checked": "predicted", "FlowCyt-species-dilution-info": "", "FlowCyt-species-notes": "", "WB-species-checked": "predicted", "WB-species-dilution-info": "", "WB-species-notes": "", "IHCP-species-checked": "predicted", "IHCP-species-dilution-info": "", "IHCP-species-notes": "" }, "Chicken": { "FlowCyt-species-checked": "predicted", "FlowCyt-species-dilution-info": "", "FlowCyt-species-notes": "", "WB-species-checked": "predicted", "WB-species-dilution-info": "", "WB-species-notes": "", "IHCP-species-checked": "predicted", "IHCP-species-dilution-info": "", "IHCP-species-notes": "" }, "Cow": { "FlowCyt-species-checked": "predicted", "FlowCyt-species-dilution-info": "", "FlowCyt-species-notes": "", "WB-species-checked": "predicted", "WB-species-dilution-info": "", "WB-species-notes": "", "IHCP-species-checked": "predicted", "IHCP-species-dilution-info": "", "IHCP-species-notes": "" } } }

Product details

ab236235 is the carrier-free version of ab227640.

What are the advantages of a recombinant monoclonal antibody?
This product is a recombinant monoclonal antibody, which offers several advantages including:

  • - High batch-to-batch consistency and reproducibility
  • - Improved sensitivity and specificity
  • - Long-term security of supply
  • - Animal-free batch production

For more information, read more on recombinant antibodies.

Conjugation ready
Our carrier-free antibodies are typically supplied in a PBS-only formulation, purified and free of BSA, sodium azide and glycerol. This conjugation-ready format is designed for use with fluorochromes, metal isotopes, oligonucleotides, and enzymes, which makes them ideal for antibody labelling, functional and cell-based assays, flow-based assays (e.g. mass cytometry) and Multiplex Imaging applications.

Use our conjugation kits for antibody conjugates that are ready-to-use in as little as 20 minutes with 1 minute hands-on-time and 100% antibody recovery: available for fluorescent dyes, HRP, biotin and gold.

Compatibility
This product is compatible with the Maxpar® Antibody Labeling Kit from Fluidigm, without the need for antibody preparation. Maxpar® is a trademark of Fluidigm Canada Inc.

Properties and storage information

Form
Liquid
Purification technique
Affinity purification Protein A/G
Purification notes
Purified from TCS by protein A/G.
Storage buffer
pH: 7.2 - 7.4 Constituents: PBS
Shipped at conditions
Blue Ice
Appropriate short-term storage conditions
+4°C
Appropriate long-term storage conditions
+4°C
Storage information
Do Not Freeze

Supplementary information

This supplementary information is collated from multiple sources and compiled automatically.

CD10 also known as neprilysin or neutral endopeptidase is a zinc-dependent metalloprotease enzyme with a mass of approximately 100 kDa. This enzyme is expressed across a variety of tissues including kidney lung and neutrophils. Its expression is also notable in the lymphoid tissues. CD10 functions by cleaving peptides at the N-terminal of hydrophobic residues. Common names used in literature for CD10 include CALLA (common acute lymphoblastic leukemia antigen) and membrane metalloendopeptidase.
Biological function summary

CD10 regulates peptide signaling by inactivating various bioactive peptides such as enkephalins atrial natriuretic peptide and bradykinin. It does not function as part of a complex but rather as a standalone entity. The ability of CD10 to hydrolyze peptides influences signal transmission across cellular membranes impacting cellular communication and signal termination within different systems.

Pathways

Neprilysin plays an essential role in hydrolyzing signaling peptides in several critical pathways. It is especially significant in the natriuretic peptide system and the renin-angiotensin system maintaining blood pressure and fluid balance. Within these pathways CD10 modifies peptides working alongside proteins like atrial natriuretic peptide synthase and angiotensin-converting enzyme ensuring systemic homeostasis and cardiovascular health.

CD10 shows a significant connection to certain types of cancer and Alzheimer's disease. In oncology altered expression of CD10 serves as a CD10 marker in cancers such as lymphomas and some leukemia forms which helps in diagnosis and treatment decisions. Additionally CD10's involvement in neuropeptide degradation links it to Amyloid beta peptide accumulation in Alzheimer's where its dysregulation may promote disease progression. Related proteins are amyloid precursor protein in Alzheimer's and CD19 often co-expressed with CD10 in some lymphomas highlighting its role in both diagnostic and therapeutic contexts.

Product protocols

For this product, it's our understanding that no specific protocols are required. You can visit:

Target data

Thermolysin-like specificity, but is almost confined on acting on polypeptides of up to 30 amino acids (PubMed : 15283675, PubMed : 6208535, PubMed : 6349683, PubMed : 8168535). Biologically important in the destruction of opioid peptides such as Met- and Leu-enkephalins by cleavage of a Gly-Phe bond (PubMed : 17101991, PubMed : 6349683). Catalyzes cleavage of bradykinin, substance P and neurotensin peptides (PubMed : 6208535). Able to cleave angiotensin-1, angiotensin-2 and angiotensin 1-9 (PubMed : 15283675, PubMed : 6349683). Involved in the degradation of atrial natriuretic factor (ANF) and brain natriuretic factor (BNP(1-32)) (PubMed : 16254193, PubMed : 2531377, PubMed : 2972276). Displays UV-inducible elastase activity toward skin preelastic and elastic fibers (PubMed : 20876573).
See full target information MME

Publications (1)

Recent publications for all applications. Explore the full list and refine your search

International journal of molecular sciences 24: PubMed37569332

2023

CD47 Expression in Circulating Tumor Cells and Circulating Tumor Microemboli from Non-Small Cell Lung Cancer Patients Is a Poor Prognosis Factor.

Applications

Unspecified application

Species

Unspecified reactive species

Jacqueline Aparecida Torres,Angelo Borsarelli Carvalho Brito,Virgilio Souza E Silva,Iara Monique Messias,Alexcia Camila Braun,Anna Paula Carreta Ruano,Marcilei E C Buim,Dirce Maria Carraro,Ludmilla Thomé Domingos Chinen
View all publications

Product promise

We are committed to supporting your work with high-quality reagents, and we're here for you every step of the way. In the unlikely event that one of our products does not perform as expected, you're protected by our Product Promise.
For full details, please see our Terms & Conditions

Please note: All products are 'FOR RESEARCH USE ONLY. NOT FOR USE IN DIAGNOSTIC OR THERAPEUTIC PROCEDURES'.

For licensing inquiries, please contact partnerships@abcam.com