JavaScript is disabled in your browser. Please enable JavaScript to view this website.
AB224202

Anti-CD103 antibody [EPR22590-27]

  • BOND RX™ Validated
  • RabMAb
  • Recombinant
  • 20ul selling size
  • What is this?

4

(3 Reviews)

|

(37 Publications)

Anti-CD103 antibody [EPR22590-27] (ab224202) is a rabbit monoclonal antibody detecting CD103 in Western Blot, IHC-P, IHC-Fr. Suitable for Human, Mouse, Rat.

- Biophysical QC for unrivalled batch-batch consistency
- Over 10 publications

View Alternative Names

CD103, Integrin alpha-E, HML-1 antigen, Integrin alpha-IEL, Mucosal lymphocyte 1 antigen, ITGAE

8 Images
Immunohistochemistry (Formalin/PFA-fixed paraffin-embedded sections) - Anti-CD103 antibody [EPR22590-27] (AB224202)
  • IHC-P

Unknown

Immunohistochemistry (Formalin/PFA-fixed paraffin-embedded sections) - Anti-CD103 antibody [EPR22590-27] (AB224202)

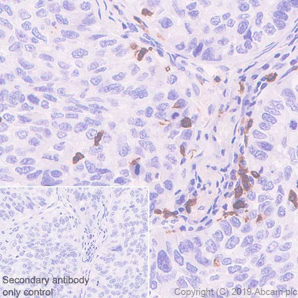
Immunohistochemical analysis of paraffin-embedded human lung carcinoma tissue labeling CD103 with ab224202 at 1/1000 dilution, followed by a ready to use Rabbit specific IHC polymer detection kit HRP/DAB (ab209101). Positive staining on the lymphocytes in the human lung carcinoma (PMID : 25725111). The section was incubated with ab224202 for 30 mins at room temperature. The immunostaining was performed on a Leica Biosystems BOND® RX instrument. Counterstained with hematoxylin.
Secondary antibody only control : Used PBS instead of primary antibody, secondary antibody is a ready to use Rabbit specific IHC polymer detection kit HRP/DAB (ab209101).
Perform heat mediated antigen retrieval with Tris-EDTA buffer (pH 9.0, epitope retrieval solution 2) for 20 mins.

Immunohistochemistry (Formalin/PFA-fixed paraffin-embedded sections) - Anti-CD103 antibody [EPR22590-27] (AB224202)
  • IHC-P

Unknown

Immunohistochemistry (Formalin/PFA-fixed paraffin-embedded sections) - Anti-CD103 antibody [EPR22590-27] (AB224202)

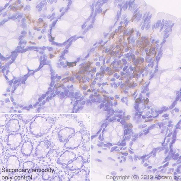
Immunohistochemical analysis of paraffin-embedded human colon tissue labeling CD103 with ab224202 at 1/1000 dilution, followed by a ready to use Rabbit specific IHC polymer detection kit HRP/DAB (ab209101). Positive staining on the lymphocytes in the human colon (PMID : 16775489, 30405182, 23355207). The section was incubated with ab224202 for 30 mins at room temperature. The immunostaining was performed on a Leica Biosystems BOND® RX instrument. Counterstained with hematoxylin.
Secondary antibody only control : Used PBS instead of primary antibody, secondary antibody is a ready to use Rabbit specific IHC polymer detection kit HRP/DAB (ab209101).
Perform heat mediated antigen retrieval with Tris-EDTA buffer (pH 9.0, epitope retrieval solution 2) for 20 mins.

Immunohistochemistry (Frozen sections) - Anti-CD103 antibody [EPR22590-27] (AB224202)
  • IHC-Fr

Unknown

Immunohistochemistry (Frozen sections) - Anti-CD103 antibody [EPR22590-27] (AB224202)

Immunohistochemical analysis of 4% PFA-fixed, 0.2% Triton X-100 permeabilized frozen rat colon tissue labeling CD103 with ab224202 at 1/100 dilution (green), followed by ab150077 AlexaFluor®488 Goat anti-Rabbit secondary at a 1/1,000 dilution. Positive staining on the lymphocytes in the rat colon (PMID : 16775489) is observed. Counterstained with DAPI (blue).
Secondary antibody only control : Used PBS instead of primary antibody, secondary antibody is ab150077 AlexaFluor®488 Goat anti-Rabbit used at a 1/1,000 dilution. Heat mediated antigen retrieval using sodium citrate buffer (10mM citrate pH 6.0 + 0.05% Tween-20).

Immunohistochemistry (Formalin/PFA-fixed paraffin-embedded sections) - Anti-CD103 antibody [EPR22590-27] (AB224202)
  • IHC-P

Unknown

Immunohistochemistry (Formalin/PFA-fixed paraffin-embedded sections) - Anti-CD103 antibody [EPR22590-27] (AB224202)

Immunohistochemical analysis of paraffin-embedded mouse spleen tissue labeling CD103 with ab224202 at 1/5000 dilution, followed by a ready to use Goat Anti-Rabbit IgG H&L (HRP). Positive staining on the lymphocytes in the mouse spleen (PMID : 23355207) is observed. Counterstained with hematoxylin.
Secondary antibody only control : Used PBS instead of primary antibody, secondary antibody is a ready to use Goat Anti-Rabbit IgG H&L (HRP).
Perform heat mediated antigen retrieval using ab93684 (Tris/EDTA buffer, pH 9.0).

Immunohistochemistry (Frozen sections) - Anti-CD103 antibody [EPR22590-27] (AB224202)
  • IHC-Fr

Unknown

Immunohistochemistry (Frozen sections) - Anti-CD103 antibody [EPR22590-27] (AB224202)

Immunohistochemical analysis of 4% PFA-fixed, 0.2% Triton X-100 permeabilized frozen mouse colon tissue labeling CD103 with ab224202 at 1/100 dilution (green), followed by ab150077 AlexaFluor®488 Goat anti-Rabbit secondary at a 1/1,000 dilution. Positive staining on the lymphocytes in the mouse colon (PMID : 16775489) is observed. Counterstained with DAPI (blue).
Secondary antibody only control : Used PBS instead of primary antibody, secondary antibody is ab150077 AlexaFluor®488 Goat anti-Rabbit used at a 1/1,000 dilution. Heat mediated antigen retrieval using sodium citrate buffer (10mM citrate pH 6.0 + 0.05% Tween-20).

Immunohistochemistry (Formalin/PFA-fixed paraffin-embedded sections) - Anti-CD103 antibody [EPR22590-27] (AB224202)
  • IHC-P

Unknown

Immunohistochemistry (Formalin/PFA-fixed paraffin-embedded sections) - Anti-CD103 antibody [EPR22590-27] (AB224202)

Immunohistochemical analysis of paraffin-embedded rat colon tissue labeling CD103 with ab224202 at 1/5000 dilution, followed by a ready to use Goat Anti-Rabbit IgG H&L (HRP). Positive staining on the lymphocytes in the rat colon (PMID : 23355207) is observed. Counterstained with hematoxylin.
Secondary antibody only control : Used PBS instead of primary antibody, secondary antibody is a ready to use Goat Anti-Rabbit IgG H&L (HRP).
Perform heat mediated antigen retrieval using ab93684 (Tris/EDTA buffer, pH 9.0).

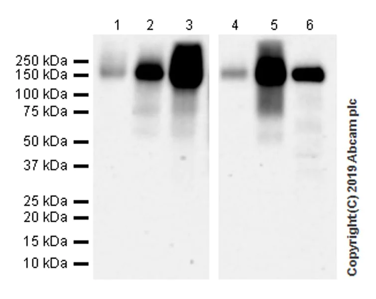
Western blot - Anti-CD103 antibody [EPR22590-27] (AB224202)
  • WB

Supplier Data

Western blot - Anti-CD103 antibody [EPR22590-27] (AB224202)

The expression profile/ molecular weight observed is consistent with what has been described in the literature (PMID : 26921343; PMID : 29021139).

Blocking/Dilution buffer : 5% NFDM/TBST.

All lanes:

Western blot - Anti-CD103 antibody [EPR22590-27] (ab224202) at 1/1000 dilution

Lane 1:

Mouse stomach cell lysate at 20 µg

Lane 2:

Mouse spleen cell lysate at 20 µg

Lane 3:

Mouse thymus cell lysate at 20 µg

Lane 4:

Rat stomach cell lysate at 20 µg

Lane 5:

Rat spleen cell lysate at 20 µg

Lane 6:

Rat thymus cell lysate at 20 µg

Secondary

All lanes:

Western blot - Goat Anti-Rabbit IgG H&L (HRP) (<a href='/en-us/products/secondary-antibodies/goat-rabbit-igg-h-l-hrp-ab97051'>ab97051</a>) at 1/100000 dilution

Predicted band size: 130 kDa

Observed band size: 150 kDa

false

Exposure time: 3min

Western blot - Anti-CD103 antibody [EPR22590-27] (AB224202)
  • WB

Unknown

Western blot - Anti-CD103 antibody [EPR22590-27] (AB224202)

Blocking/Dilution buffer : 5% NFDM/TBST.

All lanes:

Western blot - Anti-CD103 antibody [EPR22590-27] (ab224202) at 1/1000 dilution

All lanes:

His-tagged human CD103 recombinant protein fragment (aa676-965), 20ng

Secondary

All lanes:

Western blot - Goat Anti-Rabbit IgG H&L (HRP) (<a href='/en-us/products/secondary-antibodies/goat-rabbit-igg-h-l-hrp-ab97051'>ab97051</a>) at 1/100000 dilution

Predicted band size: 130 kDa

false

Exposure time: 6s

Key facts

Host species

Rabbit

Clonality

Monoclonal

Clone number

EPR22590-27

Isotype

IgG

Carrier free

No

Reacts with

Mouse, Rat, Human

Applications

IHC-P, IHC-Fr, WB

applications

Immunogen

The exact immunogen used to generate this antibody is proprietary information.

Reactivity data

{ "title": "Reactivity Data", "filters": { "stats": ["", "Species", "Dilution Info", "Notes"], "tabs": { "all-applications": {"fullname" : "All Applications", "shortname": "All Applications"}, "WB" : {"fullname" : "Western blot", "shortname":"WB"}, "IHCFr" : {"fullname" : "Immunohistochemistry (Frozen sections)", "shortname":"IHC-Fr"}, "IP" : {"fullname" : "Immunoprecipitation", "shortname":"IP"}, "FlowCyt" : {"fullname" : "Flow Cytometry", "shortname":"Flow Cyt"}, "IHCP" : {"fullname" : "Immunohistochemistry (Formalin/PFA-fixed paraffin-embedded sections)", "shortname":"IHC-P"} }, "product-promise": { "all": "all", "testedAndGuaranteed": "tested", "guaranteed": "expected", "predicted": "predicted", "notRecommended": "not-recommended" } }, "values": { "Human": { "WB-species-checked": "testedAndGuaranteed", "WB-species-dilution-info": "1/1000", "WB-species-notes": "<p></p>", "IHCFr-species-checked": "guaranteed", "IHCFr-species-dilution-info": "", "IHCFr-species-notes": "", "IP-species-checked": "notRecommended", "IP-species-dilution-info": "", "IP-species-notes": "<p></p>", "FlowCyt-species-checked": "notRecommended", "FlowCyt-species-dilution-info": "", "FlowCyt-species-notes": "<p></p>", "IHCP-species-checked": "testedAndGuaranteed", "IHCP-species-dilution-info": "1/1000 - 1/5000", "IHCP-species-notes": "<p>1/5000 for mouse and rat samples. 1/1000 for human samples.</p> Perform heat-mediated antigen retrieval with Tris/EDTA buffer pH 9.0 before commencing with IHC staining protocol." }, "Mouse": { "WB-species-checked": "testedAndGuaranteed", "WB-species-dilution-info": "1/1000", "WB-species-notes": "<p></p>", "IHCFr-species-checked": "testedAndGuaranteed", "IHCFr-species-dilution-info": "1/100", "IHCFr-species-notes": "<p></p> Perform heat-mediated antigen retrieval with Tris/EDTA buffer pH 9.0 before commencing with IHC staining protocol.", "IP-species-checked": "notRecommended", "IP-species-dilution-info": "", "IP-species-notes": "<p></p>", "FlowCyt-species-checked": "notRecommended", "FlowCyt-species-dilution-info": "", "FlowCyt-species-notes": "<p></p>", "IHCP-species-checked": "testedAndGuaranteed", "IHCP-species-dilution-info": "1/1000 - 1/5000", "IHCP-species-notes": "<p>1/5000 for mouse and rat samples. 1/1000 for human samples.</p> Perform heat-mediated antigen retrieval with Tris/EDTA buffer pH 9.0 before commencing with IHC staining protocol." }, "Rat": { "WB-species-checked": "testedAndGuaranteed", "WB-species-dilution-info": "1/1000", "WB-species-notes": "<p></p>", "IHCFr-species-checked": "testedAndGuaranteed", "IHCFr-species-dilution-info": "1/100", "IHCFr-species-notes": "<p></p>", "IP-species-checked": "notRecommended", "IP-species-dilution-info": "", "IP-species-notes": "<p></p>", "FlowCyt-species-checked": "notRecommended", "FlowCyt-species-dilution-info": "", "FlowCyt-species-notes": "<p></p>", "IHCP-species-checked": "testedAndGuaranteed", "IHCP-species-dilution-info": "1/1000 - 1/5000", "IHCP-species-notes": "<p>1/5000 for mouse and rat samples. 1/1000 for human samples.</p> Perform heat-mediated antigen retrieval with Tris/EDTA buffer pH 9.0 before commencing with IHC staining protocol." } } }

Product details

What is this antibody validated in?
Anti-CD103 antibody [EPR22590-27] (ab224202) is a rabbit recombinant monoclonal antibody and is validated for use in Western Blot (WB), Immunohistochemistry (IHC-P), Immunohistochemistry (IHC-Fr) in Human, Mouse, Rat samples.

What is the molecular weight of CD103?
Anti-CD103 [EPR22590-27] (ab224202) specifically detects a band for CD103 (UniProt: P38570) at a molecular weight of 130kDa.

Trusted by the scientific community
Anti-CD103 [EPR22590-27] (ab224202) was first used in a scientific publication in 2019 and has been cited over 10 times in peer-reviewed journals.

Trial sizes available!
Test your antibody or perform pre-screening before committing to a larger quantity. Sold in 10µl. Discover our selection of trial-size antibodies.

Other related products
We have a range of other formats of antibody clone [EPR22590-27] also available for your convenience: ab224202, Carrier free - ab254201

Patented technology
Our RabMAb® technology is a patented hybridoma-based technology for making rabbit monoclonal antibodies. For details on our patents, please refer to RabMAb® patents.

What are the advantages of a recombinant monoclonal antibody?
This product is a recombinant monoclonal antibody, which offers several advantages including:

  • - High batch-to-batch consistency and reproducibility
  • - Improved sensitivity and specificity
  • - Long-term security of supply
  • - Animal-free batch production

For more information, read more on recombinant antibodies.

Properties and storage information

Form
Liquid
Purification technique
Affinity purification Protein A
Storage buffer
pH: 7.2 - 7.4 Preservative: 0.01% Sodium azide Constituents: PBS, 40% Glycerol (glycerin, glycerine), 0.05% BSA
Shipped at conditions
Blue Ice
Appropriate short-term storage duration
1-2 weeks
Appropriate short-term storage conditions
+4°C
Appropriate long-term storage conditions
-20°C
Aliquoting information
Upon delivery aliquot
Storage information
Avoid freeze / thaw cycle

Supplementary information

This supplementary information is collated from multiple sources and compiled automatically.

CD103 also known as ITGAE or integrin alpha E is a protein subunit that pairs with integrin beta 7 (ItgB7) to form a complete heterodimer known as the αEΒ7 integrin complex. This protein typically weighs around 150 kDa. CD103 is mainly expressed on the surface of certain T lymphocytes such as CD8+ T cells in mucosal tissues and also in a subset of dendritic cells. Through its mechanical function CD103 mediates cell adhesion by specifically binding to E-cadherin on epithelial cells. This interaction facilitates the retention and positioning of lymphocytes in epithelial tissues.
Biological function summary

CD103 is essential for establishing and maintaining interactions between immune cells and epithelial cells. By incorporating into the αEΒ7 integrin complex it plays an important role in the localization of intraepithelial lymphocytes and dendritic cells in the gut mucosa and skin contributing to immune surveillance and protection of these barriers. CD103 helps to control lymphocyte activation and the migration process offering a critical surface marker for identifying tissue-resident memory T cells (Trm cells) and discerning their functional potential.

Pathways

CD103 functions prominently in the immunological environment by participating in pathways that regulate lymphocyte adherence and migration. Two significant pathways it fits into include the T-cell homing and retention pathways and the antigen presentation pathway. Through these pathways CD103 interacts with molecules such as E-cadherin and impacts the movement of T cells to epithelial sites influencing tissue-specific immune responses alongside related proteins like integrin beta 7 which forms a part of the same integrin complex.

CD103 has a significant connection with inflammatory and autoimmune conditions particularly in the context of inflammatory bowel disease and certain types of cancer such as colorectal cancer. Its association with E-cadherin through the integrin complex affects cellular behavior in these diseases contributing to either barrier integrity or breakdown and abnormal immune cell infiltration. Additionally in the disease context CD103 can influence interactions with proteins that regulate immune responses and tumor surveillance highlighting its role in disease progression and therapeutic potential.

Product protocols

For this product, it's our understanding that no specific protocols are required. You can visit:

Target data

The protein expressed by the ITGAE gene, known as integrin alpha-E/beta-7, functions as a receptor for E-cadherin and mediates the adhesion of intra-epithelial T-lymphocytes to epithelial cell monolayers. This supplementary information is collated from multiple sources and compiled automatically.
See full target information ITGAE

Publications (37)

Recent publications for all applications. Explore the full list and refine your search

JCI insight 10: PubMed40985896

2025

Th17 cells with regulatory phenotype are the main IL-17F and IL-26 producers in palmoplantar pustulosis.

Applications

Unspecified application

Species

Unspecified reactive species

Tran H Do,Rachael Bogle,Haihan Zhang,Xianying Xing,Mehrnaz Gharaee-Kermani,Madalina Raducu,Jennifer Fox,Rundong Jiang,Olesya Plazyo,Paul W Harms,Mio Nakamura,Enze Xing,Michel Gilliet,Allison C Billi,J Michelle Kahlenberg,Robert L Modlin,Ozge Uluckan,Lam C Tsoi,Johann E Gudjonsson

Clinical and translational medicine 15:e70464 PubMed40985995

2025

CD103CD8 tissue-resident memory T lymphocytes of melanoma boost anti-tumour immunity and predict immunotherapy outcomes.

Applications

Unspecified application

Species

Unspecified reactive species

Tianyi Zhang,Junquan Song,Yinlam Li,Kangjie Shen,Jiangying Xuan,Yuan Gao,Lili Lu,Zhi Pang,Lu Wang,Yang Yang,Zixu Gao,Qianrong Hu,Yu Zhu,Chenlu Wei,Shaoluan Zheng,Rongkui Luo,Yingyong Hou,Yuhong Zhou,Chuanyuan Wei,Jianying Gu

Cell communication and signaling : CCS 23:216 PubMed40336063

2025

IKZF1 as a potential therapeutic target for dendritic cell-mediated immunotherapy in IgA nephropathy.

Applications

Unspecified application

Species

Unspecified reactive species

Fei Peng,Chunjia Sheng,Jiayi He,Yena Zhou,Yilun Qu,Shuwei Duan,Yinghua Zhao,Jikai Xia,Jie Wu,Guangyan Cai,Lingling Wu,Chuyue Zhang,Xiangmei Chen

Biomolecules & biomedicine 25:2324-2334 PubMed40227858

2025

ERBB4 as a therapeutic target in aortic dissection: Implications for cell-based therapies in vascular regeneration.

Applications

Unspecified application

Species

Unspecified reactive species

Yu Shi,Jinjin Meng,Shengqiang Zhang,Shaofeng Yang,Ge Liu,Zhen Wu,Chongwen Shen,Chao Shi

Nature communications 16:2222 PubMed40044736

2025

Microbiota-derived HS induces c-kit cDC1 autophagic cell death and liver inflammation in metabolic dysfunction-associated steatohepatitis.

Applications

Unspecified application

Species

Unspecified reactive species

Yuxiang Song,Na Li,Shang Jiang,Kexin Wang,Guoyue Lv,Zhongqi Fan,Xiliang Du,Wenwen Gao,Lin Lei,Zhe Wang,Guowen Liu,Xinwei Li

Molecular therapy. Oncology 33:200938 PubMed40034965

2025

Preclinical study of inetetamab combined with atezolizumab to synergistically inhibit HER2 and PD-L1 in the treatment of ovarian cancer.

Applications

Unspecified application

Species

Unspecified reactive species

Feiquan Ying,Xuyang Zhou,Mengqing Chen,Lin Huang,Lingling Gao,Qing Zhao,Yuan Zhang

NPJ precision oncology 9:51 PubMed39987153

2025

Stage-dependent spatial distribution and prognostic value of CD8 tissue-resident memory T cells in NSCLC.

Applications

Unspecified application

Species

Unspecified reactive species

Liying Yang,Hao Yang,Miaoqing Zhao,Hongtu Yuan,Jiaxiao Geng,Yushan Yan,Li Wu,Ligang Xing,Jinming Yu,Xiaorong Sun

Frontiers in immunology 15:1474564 PubMed39963655

2025

The cancer-associated fibroblasts interact with malignant T cells in mycosis fungoides and promote the disease progression.

Applications

Unspecified application

Species

Unspecified reactive species

Yige Zhao,Yong Li,Panpan Wang,Mengyan Zhu,Jiaqi Wang,Bo Xie,Chenyu Tang,Yangyang Ma,Shiwen Wang,Sha Jin,Jinhui Xu,Zhao Li,Xiaoyan Zhang,Liuyu Li,Xiuzu Song,Ping Wang

Frontiers in immunology 15:1430136 PubMed39822248

2025

Novel biomarkers: the RUNX family as prognostic predictors in colorectal cancer.

Applications

Unspecified application

Species

Unspecified reactive species

Yingting Liu,Junjun Chen,An Li,Yue Wu,Junwei Ge,Maoling Yuan,Bin Xu,Xiao Zheng,Lujun Chen,Jingting Jiang

Cell communication and signaling : CCS 22:608 PubMed39696312

2024

CD69CD103CD8 tissue-resident memory T cells possess stronger anti-tumor activity and predict better prognosis in colorectal cancer.

Applications

Unspecified application

Species

Unspecified reactive species

Zi-Xin Wu,Tian-Tian Da,Chuan Huang,Xiao-Qing Wang,Liang Li,Zhi-Bin Zhao,Ting-Ting Yin,Hai-Qing Ma,Zhe-Xiong Lian,Jie Long,Fei Wang,Jie Cao
View all publications

Product promise

We are committed to supporting your work with high-quality reagents, and we're here for you every step of the way. In the unlikely event that one of our products does not perform as expected, you're protected by our Product Promise.
For full details, please see our Terms & Conditions

Please note: All products are 'FOR RESEARCH USE ONLY. NOT FOR USE IN DIAGNOSTIC OR THERAPEUTIC PROCEDURES'.

For licensing inquiries, please contact partnerships@abcam.com