JavaScript is disabled in your browser. Please enable JavaScript to view this website.
AB254201

Anti-CD103 antibody [EPR22590-27] - BSA and Azide free

4

(3 Reviews)

|

(2 Publications)

Anti-CD103 antibody [EPR22590-27] - BSA and Azide free (ab254201) is a rabbit recombinant monoclonal antibody provided in a PBS only buffer for easy conjugation detecting CD103 in Western Blot, IHC-P, IHC-Fr. Suitable for Human, Mouse, Rat.

- BSA, sodium azide, and glycerol-free for easy conjugation
- Biophysical QC for unrivalled batch-batch consistency

View Alternative Names

CD103, Integrin alpha-E, HML-1 antigen, Integrin alpha-IEL, Mucosal lymphocyte 1 antigen, ITGAE

6 Images
Immunohistochemistry (Formalin/PFA-fixed paraffin-embedded sections) - Anti-CD103 antibody [EPR22590-27] - BSA and Azide free (AB254201)
  • IHC-P

Unknown

Immunohistochemistry (Formalin/PFA-fixed paraffin-embedded sections) - Anti-CD103 antibody [EPR22590-27] - BSA and Azide free (AB254201)

Immunohistochemical analysis of paraffin-embedded human lung carcinoma tissue labeling CD103 with ab224202 at 1/1000 dilution, followed by a ready to use Rabbit specific IHC polymer detection kit HRP/DAB (ab209101). Positive staining on the lymphocytes in the human lung carcinoma (PMID : 25725111). The section was incubated with ab224202 for 30 mins at room temperature. The immunostaining was performed on a Leica Biosystems BOND® RX instrument. Counterstained with hematoxylin.
Secondary antibody only control : Used PBS instead of primary antibody, secondary antibody is a ready to use Rabbit specific IHC polymer detection kit HRP/DAB (ab209101).
Perform heat mediated antigen retrieval with Tris-EDTA buffer (pH 9.0, epitope retrieval solution 2) for 20 mins.This data was developed using the same antibody clone in a different buffer formulation containing PBS, BSA, glycerol, and sodium azide (ab224202).

Immunohistochemistry (Formalin/PFA-fixed paraffin-embedded sections) - Anti-CD103 antibody [EPR22590-27] - BSA and Azide free (AB254201)
  • IHC-P

Unknown

Immunohistochemistry (Formalin/PFA-fixed paraffin-embedded sections) - Anti-CD103 antibody [EPR22590-27] - BSA and Azide free (AB254201)

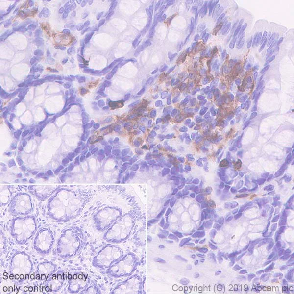
Immunohistochemical analysis of paraffin-embedded human colon tissue labeling CD103 with ab224202 at 1/1000 dilution, followed by a ready to use Rabbit specific IHC polymer detection kit HRP/DAB (ab209101). Positive staining on the lymphocytes in the human colon (PMID : 16775489, 30405182, 23355207). The section was incubated with ab224202 for 30 mins at room temperature. The immunostaining was performed on a Leica Biosystems BOND® RX instrument. Counterstained with hematoxylin.
Secondary antibody only control : Used PBS instead of primary antibody, secondary antibody is a ready to use Rabbit specific IHC polymer detection kit HRP/DAB (ab209101).
Perform heat mediated antigen retrieval with Tris-EDTA buffer (pH 9.0, epitope retrieval solution 2) for 20 mins.This data was developed using the same antibody clone in a different buffer formulation containing PBS, BSA, glycerol, and sodium azide (ab224202).

Immunohistochemistry (Formalin/PFA-fixed paraffin-embedded sections) - Anti-CD103 antibody [EPR22590-27] - BSA and Azide free (AB254201)
  • IHC-P

Unknown

Immunohistochemistry (Formalin/PFA-fixed paraffin-embedded sections) - Anti-CD103 antibody [EPR22590-27] - BSA and Azide free (AB254201)

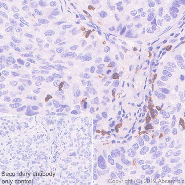
Immunohistochemical analysis of paraffin-embedded rat colon tissue labeling CD103 with ab224202 at 1/5000 dilution, followed by a ready to use Goat Anti-Rabbit IgG H&L (HRP). Positive staining on the lymphocytes in the rat colon (PMID : 23355207) is observed. Counterstained with hematoxylin.
Secondary antibody only control : Used PBS instead of primary antibody, secondary antibody is a ready to use Goat Anti-Rabbit IgG H&L (HRP).
Perform heat mediated antigen retrieval using ab93684 (Tris/EDTA buffer, pH 9.0).This data was developed using the same antibody clone in a different buffer formulation containing PBS, BSA, glycerol, and sodium azide (ab224202).

Immunohistochemistry (Frozen sections) - Anti-CD103 antibody [EPR22590-27] - BSA and Azide free (AB254201)
  • IHC-Fr

Unknown

Immunohistochemistry (Frozen sections) - Anti-CD103 antibody [EPR22590-27] - BSA and Azide free (AB254201)

Immunohistochemical analysis of 4% PFA-fixed, 0.2% Triton X-100 permeabilized frozen rat colon tissue labeling CD103 with ab224202 at 1/100 dilution (green), followed by ab150077 AlexaFluor®488 Goat anti-Rabbit secondary at a 1/1,000 dilution. Positive staining on the lymphocytes in the rat colon (PMID : 16775489) is observed. Counterstained with DAPI (blue).
Secondary antibody only control : Used PBS instead of primary antibody, secondary antibody is ab150077 AlexaFluor®488 Goat anti-Rabbit used at a 1/1,000 dilution. Heat mediated antigen retrieval using sodium citrate buffer (10mM citrate pH 6.0 + 0.05% Tween-20).This data was developed using the same antibody clone in a different buffer formulation containing PBS, BSA, glycerol, and sodium azide (ab224202).

Immunohistochemistry (Frozen sections) - Anti-CD103 antibody [EPR22590-27] - BSA and Azide free (AB254201)
  • IHC-Fr

Unknown

Immunohistochemistry (Frozen sections) - Anti-CD103 antibody [EPR22590-27] - BSA and Azide free (AB254201)

Immunohistochemical analysis of 4% PFA-fixed, 0.2% Triton X-100 permeabilized frozen mouse colon tissue labeling CD103 with ab224202 at 1/100 dilution (green), followed by ab150077 AlexaFluor®488 Goat anti-Rabbit secondary at a 1/1,000 dilution. Positive staining on the lymphocytes in the mouse colon (PMID : 16775489) is observed. Counterstained with DAPI (blue).
Secondary antibody only control : Used PBS instead of primary antibody, secondary antibody is ab150077 AlexaFluor®488 Goat anti-Rabbit used at a 1/1,000 dilution. Heat mediated antigen retrieval using sodium citrate buffer (10mM citrate pH 6.0 + 0.05% Tween-20).This data was developed using the same antibody clone in a different buffer formulation containing PBS, BSA, glycerol, and sodium azide (ab224202).

Immunohistochemistry (Formalin/PFA-fixed paraffin-embedded sections) - Anti-CD103 antibody [EPR22590-27] - BSA and Azide free (AB254201)
  • IHC-P

Unknown

Immunohistochemistry (Formalin/PFA-fixed paraffin-embedded sections) - Anti-CD103 antibody [EPR22590-27] - BSA and Azide free (AB254201)

Immunohistochemical analysis of paraffin-embedded mouse spleen tissue labeling CD103 with ab224202 at 1/5000 dilution, followed by a ready to use Goat Anti-Rabbit IgG H&L (HRP). Positive staining on the lymphocytes in the mouse spleen (PMID : 23355207) is observed. Counterstained with hematoxylin.
Secondary antibody only control : Used PBS instead of primary antibody, secondary antibody is a ready to use Goat Anti-Rabbit IgG H&L (HRP).
Perform heat mediated antigen retrieval using ab93684 (Tris/EDTA buffer, pH 9.0).This data was developed using the same antibody clone in a different buffer formulation containing PBS, BSA, glycerol, and sodium azide (ab224202).

Key facts

Host species

Rabbit

Clonality

Monoclonal

Clone number

EPR22590-27

Isotype

IgG

Carrier free

Yes

Reacts with

Human, Mouse, Rat

Applications

IHC-P, IHC-Fr, WB

applications

Immunogen

The exact immunogen used to generate this antibody is proprietary information.

Reactivity data

{ "title": "Reactivity Data", "filters": { "stats": ["", "Species", "Dilution Info", "Notes"], "tabs": { "all-applications": {"fullname" : "All Applications", "shortname": "All Applications"}, "IP" : {"fullname" : "Immunoprecipitation", "shortname":"IP"}, "FlowCyt" : {"fullname" : "Flow Cytometry", "shortname":"Flow Cyt"}, "WB" : {"fullname" : "Western blot", "shortname":"WB"}, "IHCFr" : {"fullname" : "Immunohistochemistry (Frozen sections)", "shortname":"IHC-Fr"}, "IHCP" : {"fullname" : "Immunohistochemistry (Formalin/PFA-fixed paraffin-embedded sections)", "shortname":"IHC-P"} }, "product-promise": { "all": "all", "testedAndGuaranteed": "tested", "guaranteed": "expected", "predicted": "predicted", "notRecommended": "not-recommended" } }, "values": { "Human": { "IP-species-checked": "notRecommended", "IP-species-dilution-info": "", "IP-species-notes": "<p></p>", "FlowCyt-species-checked": "notRecommended", "FlowCyt-species-dilution-info": "", "FlowCyt-species-notes": "<p></p>", "WB-species-checked": "guaranteed", "WB-species-dilution-info": "", "WB-species-notes": "<p></p>", "IHCFr-species-checked": "guaranteed", "IHCFr-species-dilution-info": "", "IHCFr-species-notes": "", "IHCP-species-checked": "testedAndGuaranteed", "IHCP-species-dilution-info": "", "IHCP-species-notes": "<p></p>" }, "Mouse": { "IP-species-checked": "notRecommended", "IP-species-dilution-info": "", "IP-species-notes": "<p></p>", "FlowCyt-species-checked": "notRecommended", "FlowCyt-species-dilution-info": "", "FlowCyt-species-notes": "<p></p>", "WB-species-checked": "guaranteed", "WB-species-dilution-info": "", "WB-species-notes": "<p></p>", "IHCFr-species-checked": "predicted", "IHCFr-species-dilution-info": "", "IHCFr-species-notes": "", "IHCP-species-checked": "predicted", "IHCP-species-dilution-info": "", "IHCP-species-notes": "" }, "Rat": { "IP-species-checked": "notRecommended", "IP-species-dilution-info": "", "IP-species-notes": "<p></p>", "FlowCyt-species-checked": "notRecommended", "FlowCyt-species-dilution-info": "", "FlowCyt-species-notes": "<p></p>", "WB-species-checked": "guaranteed", "WB-species-dilution-info": "", "WB-species-notes": "<p></p>", "IHCFr-species-checked": "testedAndGuaranteed", "IHCFr-species-dilution-info": "", "IHCFr-species-notes": "<p></p>", "IHCP-species-checked": "guaranteed", "IHCP-species-dilution-info": "", "IHCP-species-notes": "" } } }

Product details

What is this antibody validated in?
Anti-CD103 antibody [EPR22590-27] - BSA and Azide free (ab254201) is a rabbit recombinant monoclonal antibody and is validated for use in Western Blot (WB), Immunohistochemistry (IHC-P), Immunohistochemistry (IHC-Fr) in Human, Mouse, Rat samples.

What is the molecular weight of CD103?
Anti-CD103 [EPR22590-27] - BSA and Azide free (ab254201) specifically detects a band for CD103 (UniProt: P38570) at a molecular weight of 130kDa.

Other related products
We have a range of other formats of antibody clone [EPR22590-27] also available for your convenience: ab224202, Carrier free - ab254201

Patented technology
Our RabMAb® technology is a patented hybridoma-based technology for making rabbit monoclonal antibodies. For details on our patents, please refer to RabMAb® patents.

What are the advantages of a recombinant monoclonal antibody?
This product is a recombinant monoclonal antibody, which offers several advantages including:

  • - High batch-to-batch consistency and reproducibility
  • - Improved sensitivity and specificity
  • - Long-term security of supply
  • - Animal-free batch production

For more information, read more on recombinant antibodies.

Conjugation ready
Our carrier-free antibodies are typically supplied in a PBS-only formulation, purified and free of BSA, sodium azide and glycerol. This conjugation-ready format is designed for use with fluorochromes, metal isotopes, oligonucleotides, and enzymes, which makes them ideal for antibody labelling, functional and cell-based assays, flow-based assays (e.g. mass cytometry) and Multiplex Imaging applications.

Use our conjugation kits for antibody conjugates that are ready-to-use in as little as 20 minutes with 1 minute hands-on-time and 100% antibody recovery: available for fluorescent dyes, HRP, biotin and gold.

Compatibility
This product is compatible with the Maxpar® Antibody Labeling Kit from Fluidigm, without the need for antibody preparation. Maxpar® is a trademark of Fluidigm Canada Inc.

Properties and storage information

Form
Liquid
Purification technique
Affinity purification Protein A
Storage buffer
pH: 7.2 - 7.4 Constituents: PBS
Shipped at conditions
Blue Ice
Appropriate short-term storage conditions
+4°C
Appropriate long-term storage conditions
+4°C
Storage information
Do Not Freeze

Supplementary information

This supplementary information is collated from multiple sources and compiled automatically.

CD103 also known as ITGAE or integrin alpha E is a protein subunit that pairs with integrin beta 7 (ItgB7) to form a complete heterodimer known as the αEΒ7 integrin complex. This protein typically weighs around 150 kDa. CD103 is mainly expressed on the surface of certain T lymphocytes such as CD8+ T cells in mucosal tissues and also in a subset of dendritic cells. Through its mechanical function CD103 mediates cell adhesion by specifically binding to E-cadherin on epithelial cells. This interaction facilitates the retention and positioning of lymphocytes in epithelial tissues.
Biological function summary

CD103 is essential for establishing and maintaining interactions between immune cells and epithelial cells. By incorporating into the αEΒ7 integrin complex it plays an important role in the localization of intraepithelial lymphocytes and dendritic cells in the gut mucosa and skin contributing to immune surveillance and protection of these barriers. CD103 helps to control lymphocyte activation and the migration process offering a critical surface marker for identifying tissue-resident memory T cells (Trm cells) and discerning their functional potential.

Pathways

CD103 functions prominently in the immunological environment by participating in pathways that regulate lymphocyte adherence and migration. Two significant pathways it fits into include the T-cell homing and retention pathways and the antigen presentation pathway. Through these pathways CD103 interacts with molecules such as E-cadherin and impacts the movement of T cells to epithelial sites influencing tissue-specific immune responses alongside related proteins like integrin beta 7 which forms a part of the same integrin complex.

CD103 has a significant connection with inflammatory and autoimmune conditions particularly in the context of inflammatory bowel disease and certain types of cancer such as colorectal cancer. Its association with E-cadherin through the integrin complex affects cellular behavior in these diseases contributing to either barrier integrity or breakdown and abnormal immune cell infiltration. Additionally in the disease context CD103 can influence interactions with proteins that regulate immune responses and tumor surveillance highlighting its role in disease progression and therapeutic potential.

Product protocols

For this product, it's our understanding that no specific protocols are required. You can visit:

Target data

Integrin ITGAE/ITGB7 (alpha-E/beta-7) is a receptor for E-cadherin. It mediates adhesion of intra-epithelial T-lymphocytes to epithelial cell monolayers.
See full target information ITGAE

Publications (2)

Recent publications for all applications. Explore the full list and refine your search

Theranostics 14:7219-7240 PubMed39629129

2024

Gut microbiota depletion and FXR inhibition exacerbates zonal hepatotoxicity of sunitinib.

Applications

Unspecified application

Species

Unspecified reactive species

Qi Zhao,Yingmei Lu,Jingyi Duan,Dan Du,Qianlun Pu,Fei Li

Immunity 54:1594-1610.e11 PubMed34174183

2021

Deep spatial profiling of human COVID-19 brains reveals neuroinflammation with distinct microanatomical microglia-T-cell interactions.

Applications

Unspecified application

Species

Unspecified reactive species

Marius Schwabenland,Henrike Salié,Jovan Tanevski,Saskia Killmer,Marilyn Salvat Lago,Alexandra Emilia Schlaak,Lena Mayer,Jakob Matschke,Klaus Püschel,Antonia Fitzek,Benjamin Ondruschka,Henrik E Mei,Tobias Boettler,Christoph Neumann-Haefelin,Maike Hofmann,Angele Breithaupt,Nafiye Genc,Christine Stadelmann,Julio Saez-Rodriguez,Peter Bronsert,Klaus-Peter Knobeloch,Thomas Blank,Robert Thimme,Markus Glatzel,Marco Prinz,Bertram Bengsch
View all publications

Product promise

We are committed to supporting your work with high-quality reagents, and we're here for you every step of the way. In the unlikely event that one of our products does not perform as expected, you're protected by our Product Promise.
For full details, please see our Terms & Conditions

Please note: All products are 'FOR RESEARCH USE ONLY. NOT FOR USE IN DIAGNOSTIC OR THERAPEUTIC PROCEDURES'.

For licensing inquiries, please contact partnerships@abcam.com