JavaScript is disabled in your browser. Please enable JavaScript to view this website.
AB221210

Anti-CD103 antibody [EPR4166(2)] - Low endotoxin, Azide free

1

(1 Review)

|

(7 Publications)

Rabbit Recombinant Monoclonal CD103 antibody. Carrier free. Suitable for IHC-P and reacts with Human samples. Cited in 7 publications.

View Alternative Names

CD103, Integrin alpha-E, HML-1 antigen, Integrin alpha-IEL, Mucosal lymphocyte 1 antigen, ITGAE

10 Images
Immunohistochemistry (Formalin/PFA-fixed paraffin-embedded sections) - Anti-CD103 antibody [EPR4166(2)] - Low endotoxin, Azide free (AB221210)
  • IHC-P

Lab

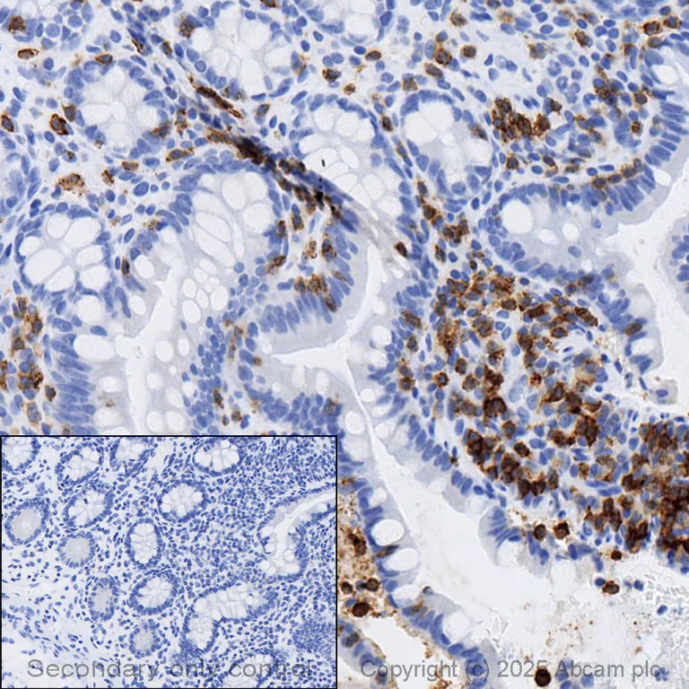
Immunohistochemistry (Formalin/PFA-fixed paraffin-embedded sections) - Anti-CD103 antibody [EPR4166(2)] - Low endotoxin, Azide free (AB221210)

This data was developed using ab129202, the same antibody clone in a different buffer formulation.

Immunohistochemical analysis of formalin fixed paraffin embedded human colon labelling CD103 with ab129202 at a concentration of 0.5µg/ml. The immunostaining was performed on a Ventana DISCOVERY ULTRA (Roche Tissue Diagnostics) instrument with a OptiView DAB IHC Detection Kit. Heat mediated antigen retrieval was performed with DISCOVERY cell conditioning solution (CC1) 100°C, pH8.5 for 32mins.

ab129202 anti-CD103 antibody [EPR4166(2)] was incubated for 16mins at 37°C. Sections were counterstained with Hematoxylin II. Image inset shows absence of staining in secondary antibody only control.

Customers are encouraged to optimise antigen retrieval conditions, antibody concentration, incubation times and temperature for best results in their own IHC assay workflow (automated and manual)

Immunohistochemistry (Formalin/PFA-fixed paraffin-embedded sections) - Anti-CD103 antibody [EPR4166(2)] - Low endotoxin, Azide free (AB221210)
  • IHC-P

Unknown

Immunohistochemistry (Formalin/PFA-fixed paraffin-embedded sections) - Anti-CD103 antibody [EPR4166(2)] - Low endotoxin, Azide free (AB221210)

Unpurified ab129202 showing positive staining of CD103 in normal stomach tissue.

This data was developed using the same antibody clone in a different buffer formulation containing PBS BSA glycerol and sodium azide (ab129202).

Heat mediated antigen retrieval was performed before commencing with IHC staining protocol.

Immunohistochemistry (Formalin/PFA-fixed paraffin-embedded sections) - Anti-CD103 antibody [EPR4166(2)] - Low endotoxin, Azide free (AB221210)
  • IHC-P

Unknown

Immunohistochemistry (Formalin/PFA-fixed paraffin-embedded sections) - Anti-CD103 antibody [EPR4166(2)] - Low endotoxin, Azide free (AB221210)

Anti-CD103/Integrin alpha E antibody [EPR4166(2)] (ab129202)
Immunohistochemistry (Formalin/PFA-fixed paraffin-embedded sections) analysis of human tonsil tissue labelling CD103/Integrin alpha E with ab129202 at a dilution of 1 : 1000. Heat mediated antigen retrieval was performed using AR9 antigen retrieval solution and microwave treatment for 15 min at 20% power. Anti-Rabbit/Mouse HRP polymer (PerkinElmer Opal Polymer HRP Ms Plus Rb) was used as secondary antibody. Opal tyramide amplification was performed using Opal 520 fluorophore. Counterstained with DAPI stain. Image scanned with Vectra 3.0 and analyzed via Phenochart software.
This image was courteously provided by Dr. Houssein Abdul Sater Georgia Cancer Center.

Immunohistochemistry (Formalin/PFA-fixed paraffin-embedded sections) - Anti-CD103 antibody [EPR4166(2)] - Low endotoxin, Azide free (AB221210)
  • IHC-P

Lab

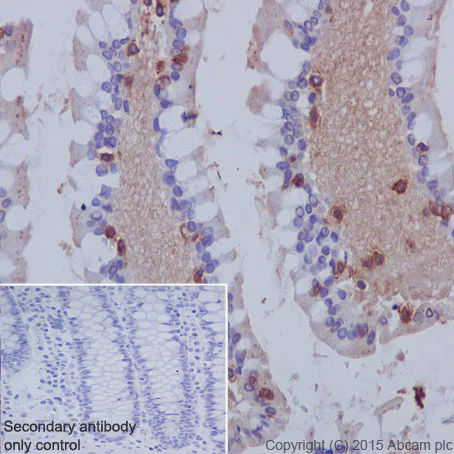
Immunohistochemistry (Formalin/PFA-fixed paraffin-embedded sections) - Anti-CD103 antibody [EPR4166(2)] - Low endotoxin, Azide free (AB221210)

This IHC data was generated using the same anti-CD103 antibody clone EPR4166(2) in a different buffer formulation (cat# ab129202).

Immunohistochemistry (Formalin/PFA-fixed paraffin-embedded sections) analysis of human colon tissue labelling CD103 with purified ab129202 at 1/500. Heat mediated antigen retrieval was performed using Tris/EDTA buffer pH 9. ab97051 a HRP-conjugated goat anti-rabbit IgG (H+L) was used as the secondary antibody (1/500). Negative control using PBS instead of primary antibody. Counterstained with hematoxylin.

Immunohistochemistry (Formalin/PFA-fixed paraffin-embedded sections) - Anti-CD103 antibody [EPR4166(2)] - Low endotoxin, Azide free (AB221210)
  • IHC-P

Unknown

Immunohistochemistry (Formalin/PFA-fixed paraffin-embedded sections) - Anti-CD103 antibody [EPR4166(2)] - Low endotoxin, Azide free (AB221210)

Immunohistochemistry (Formalin/PFA-fixed paraffin-embedded sections) analysis of human colon tissue labeling CD103 with unpurified ab129202 at a dilution of 1/500.

This data was developed using the same antibody clone in a different buffer formulation containing PBS BSA glycerol and sodium azide (ab129202).

Heat mediated antigen retrieval was performed before commencing with IHC staining protocol.

Immunohistochemistry (Formalin/PFA-fixed paraffin-embedded sections) - Anti-CD103 antibody [EPR4166(2)] - Low endotoxin, Azide free (AB221210)
  • IHC-P

Unknown

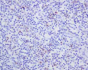
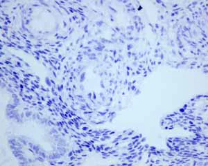
Immunohistochemistry (Formalin/PFA-fixed paraffin-embedded sections) - Anti-CD103 antibody [EPR4166(2)] - Low endotoxin, Azide free (AB221210)

Unpurified ab129202 showing negative staining in colonic adenocarcinoma tissue.

This data was developed using the same antibody clone in a different buffer formulation containing PBS BSA glycerol and sodium azide (ab129202).

Heat mediated antigen retrieval was performed before commencing with IHC staining protocol.

Immunohistochemistry (Formalin/PFA-fixed paraffin-embedded sections) - Anti-CD103 antibody [EPR4166(2)] - Low endotoxin, Azide free (AB221210)
  • IHC-P

Unknown

Immunohistochemistry (Formalin/PFA-fixed paraffin-embedded sections) - Anti-CD103 antibody [EPR4166(2)] - Low endotoxin, Azide free (AB221210)

Immunohistochemistry (Formalin/PFA-fixed paraffin-embedded sections) analysis of normal human tonsil tissue labeling CD103 with unpurified ab129202.

This data was developed using the same antibody clone in a different buffer formulation containing PBS BSA glycerol and sodium azide (ab129202).

Heat mediated antigen retrieval was performed before commencing with IHC staining protocol.

Immunohistochemistry (Formalin/PFA-fixed paraffin-embedded sections) - Anti-CD103 antibody [EPR4166(2)] - Low endotoxin, Azide free (AB221210)
  • IHC-P

Unknown

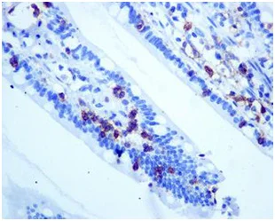
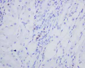
Immunohistochemistry (Formalin/PFA-fixed paraffin-embedded sections) - Anti-CD103 antibody [EPR4166(2)] - Low endotoxin, Azide free (AB221210)

This IHC data was generated using the same anti-CD103 antibody clone EPR4166(2) in a different buffer formulation (cat# ab129202).

Immunohistochemistry (Formalin/PFA-fixed paraffin-embedded sections) analysis of normal human ileum tissue labelling Integrin alpha E with unpurified ab129202.

Heat mediated antigen retrieval was performed before commencing with IHC staining protocol.

Immunohistochemistry (Formalin/PFA-fixed paraffin-embedded sections) - Anti-CD103 antibody [EPR4166(2)] - Low endotoxin, Azide free (AB221210)
  • IHC-P

Unknown

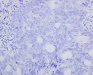
Immunohistochemistry (Formalin/PFA-fixed paraffin-embedded sections) - Anti-CD103 antibody [EPR4166(2)] - Low endotoxin, Azide free (AB221210)

Unpurified ab129202 showing negative staining in normal uterus tissue.

This data was developed using the same antibody clone in a different buffer formulation containing PBS BSA glycerol and sodium azide (ab129202).

Heat mediated antigen retrieval was performed before commencing with IHC staining protocol.

OI-RD Scanning - Anti-CD103 antibody [EPR4166(2)] - Low endotoxin, Azide free (AB221210)
  • OI-RD Scanning

Unknown

OI-RD Scanning - Anti-CD103 antibody [EPR4166(2)] - Low endotoxin, Azide free (AB221210)

We have systematically measured KD (the equilibrium dissociation constant between the antibody and its antigen), of more than 840 recombinant antibodies to assess not only their individual KD values but also to see the average affinity of antibody. Based on the comparison with published literature values for mouse monoclonal antibodies, Recombinant antibodies appear to be on average 1-2 order of magnitude higher affinity.

Key facts

Host species

Rabbit

Clonality

Monoclonal

Clone number

EPR4166(2)

Isotype

IgG

Carrier free

Yes

Reacts with

Human

Applications

IHC-P

applications

Immunogen

The exact immunogen used to generate this antibody is proprietary information.

Reactivity data

{ "title": "Reactivity Data", "filters": { "stats": ["", "Species", "Dilution Info", "Notes"], "tabs": { "all-applications": {"fullname" : "All Applications", "shortname": "All Applications"}, "IHCP" : {"fullname" : "Immunohistochemistry (Formalin/PFA-fixed paraffin-embedded sections)", "shortname":"IHC-P"} }, "product-promise": { "all": "all", "testedAndGuaranteed": "tested", "guaranteed": "expected", "predicted": "predicted", "notRecommended": "not-recommended" } }, "values": { "Human": { "IHCP-species-checked": "testedAndGuaranteed", "IHCP-species-dilution-info": "", "IHCP-species-notes": "<p></p> Perform heat-mediated antigen retrieval before commencing with IHC staining protocol." } } }

Product details

ab221210 is the carrier-free version of ab129202.

Clone EPR4166(2) is different from clone EPR4166.

Patented technology
Our RabMAb® technology is a patented hybridoma-based technology for making rabbit monoclonal antibodies. For details on our patents, please refer to RabMAb® patents.

What are the advantages of a recombinant monoclonal antibody?
This product is a recombinant monoclonal antibody, which offers several advantages including:

  • - High batch-to-batch consistency and reproducibility
  • - Improved sensitivity and specificity
  • - Long-term security of supply
  • - Animal-free batch production

For more information, read more on recombinant antibodies.

Conjugation ready
Our carrier-free antibodies are typically supplied in a PBS-only formulation, purified and free of BSA, sodium azide and glycerol. This conjugation-ready format is designed for use with fluorochromes, metal isotopes, oligonucleotides, and enzymes, which makes them ideal for antibody labelling, functional and cell-based assays, flow-based assays (e.g. mass cytometry) and Multiplex Imaging applications.

Use our conjugation kits for antibody conjugates that are ready-to-use in as little as 20 minutes with 1 minute hands-on-time and 100% antibody recovery: available for fluorescent dyes, HRP, biotin and gold.

What does low endotoxin mean?
Our low endotoxin, azide-free formats have low endotoxin level (1 EU/mg, determined by the TAL assay) and are free from azide, to achieve consistent experimental results in functional assays.

Properties and storage information

Form
Liquid
Purification technique
Affinity purification Protein A
Storage buffer
pH: 7.2 - 7.4 Constituents: PBS
Shipped at conditions
Blue Ice
Appropriate short-term storage conditions
+4°C
Appropriate long-term storage conditions
+4°C
Storage information
Do Not Freeze

Supplementary information

This supplementary information is collated from multiple sources and compiled automatically.

CD103 also known as ITGAE or integrin alpha E is a protein subunit that pairs with integrin beta 7 (ItgB7) to form a complete heterodimer known as the αEβ7 integrin complex. This protein typically weighs around 150 kDa. CD103 is mainly expressed on the surface of certain T lymphocytes such as CD8+ T cells in mucosal tissues and also in a subset of dendritic cells. Through its mechanical function CD103 mediates cell adhesion by specifically binding to E-cadherin on epithelial cells. This interaction facilitates the retention and positioning of lymphocytes in epithelial tissues.
Biological function summary

CD103 is essential for establishing and maintaining interactions between immune cells and epithelial cells. By incorporating into the αEβ7 integrin complex it plays an important role in the localization of intraepithelial lymphocytes and dendritic cells in the gut mucosa and skin contributing to immune surveillance and protection of these barriers. CD103 helps to control lymphocyte activation and the migration process offering a critical surface marker for identifying tissue-resident memory T cells (Trm cells) and discerning their functional potential.

Pathways

CD103 functions prominently in the immunological environment by participating in pathways that regulate lymphocyte adherence and migration. Two significant pathways it fits into include the T-cell homing and retention pathways and the antigen presentation pathway. Through these pathways CD103 interacts with molecules such as E-cadherin and impacts the movement of T cells to epithelial sites influencing tissue-specific immune responses alongside related proteins like integrin beta 7 which forms a part of the same integrin complex.

CD103 has a significant connection with inflammatory and autoimmune conditions particularly in the context of inflammatory bowel disease and certain types of cancer such as colorectal cancer. Its association with E-cadherin through the integrin complex affects cellular behavior in these diseases contributing to either barrier integrity or breakdown and abnormal immune cell infiltration. Additionally in the disease context CD103 can influence interactions with proteins that regulate immune responses and tumor surveillance highlighting its role in disease progression and therapeutic potential.

Product protocols

For this product, it's our understanding that no specific protocols are required. You can visit:

Target data

The protein expressed by the ITGAE gene, known as integrin alpha-E/beta-7, functions as a receptor for E-cadherin and mediates the adhesion of intra-epithelial T-lymphocytes to epithelial cell monolayers. This supplementary information is collated from multiple sources and compiled automatically.
See full target information ITGAE

Publications (7)

Recent publications for all applications. Explore the full list and refine your search

iScience 26:107891 PubMed37766980

2023

Highly multiplexed spatial analysis identifies tissue-resident memory T cells as drivers of ulcerative and immune checkpoint inhibitor colitis.

Applications

Unspecified application

Species

Unspecified reactive species

Mick J M van Eijs,José J M Ter Linde,Matthijs J D Baars,Mojtaba Amini,Miangela M Laclé,Eelco C Brand,Eveline M Delemarre,Julia Drylewicz,Stefan Nierkens,Rik J Verheijden,Bas Oldenburg,Yvonne Vercoulen,Karijn P M Suijkerbuijk,Femke van Wijk

Cell reports 39:110639 PubMed35385730

2022

Global evolution of the tumor microenvironment associated with progression from preinvasive invasive to invasive human lung adenocarcinoma.

Applications

Unspecified application

Species

Unspecified reactive species

Nasser K Altorki,Alain C Borczuk,Sebron Harrison,Lauren K Groner,Bhavneet Bhinder,Vivek Mittal,Olivier Elemento,Timothy E McGraw

Cellular and molecular gastroenterology and hepatology 12:1567-1581 PubMed34224909

2021

Homeostatic Function and Inflammatory Activation of Ileal CD8 Tissue-Resident T Cells Is Dependent on Mucosal Location.

Applications

Unspecified application

Species

Unspecified reactive species

Lisanne Lutter,Britt Roosenboom,Eelco C Brand,José J Ter Linde,Bas Oldenburg,Ellen G van Lochem,Carmen S Horjus Talabur Horje,Femke van Wijk

Frontiers in immunology 11:1466 PubMed32765508

2020

A 34-Marker Panel for Imaging Mass Cytometric Analysis of Human Snap-Frozen Tissue.

Applications

Unspecified application

Species

Unspecified reactive species

Nannan Guo,Vincent van Unen,Marieke E Ijsselsteijn,Laura F Ouboter,Andrea E van der Meulen,Susana M Chuva de Sousa Lopes,Noel F C C de Miranda,Frits Koning,Na Li

Journal of immunology (Baltimore, Md. : 1950) 197:3069-3075 PubMed27591320

2016

Fetal CD103+ IL-17-Producing Group 3 Innate Lymphoid Cells Represent the Dominant Lymphocyte Subset in Human Amniotic Fluid.

Applications

Unspecified application

Species

Unspecified reactive species

Nicole Marquardt,Martin A Ivarsson,Erik Sundström,Elisabet Åkesson,Elisa Martini,Liv Eidsmo,Jenny Mjösberg,Danielle Friberg,Marius Kublickas,Sverker Ek,Gunilla Tegerstedt,Åke Seiger,Magnus Westgren,Jakob Michaëlsson

Clinical cancer research : an official journal of the American Association for Cancer Research 20:434-44 PubMed24190978

2013

Tumor-infiltrating lymphocytes expressing the tissue resident memory marker CD103 are associated with increased survival in high-grade serous ovarian cancer.

Applications

IHC

Species

Human

John R Webb,Katy Milne,Peter Watson,Ronald J Deleeuw,Brad H Nelson

American journal of clinical pathology 139:220-30 PubMed23355207

2013

Immunohistochemical detection of hairy cell leukemia in paraffin sections using a highly effective CD103 rabbit monoclonal antibody.

Applications

IHC-P

Species

Human

Elizabeth A Morgan,Hongbo Yu,Jack L Pinkus,Geraldine S Pinkus
View all publications

Product promise

We are committed to supporting your work with high-quality reagents, and we're here for you every step of the way. In the unlikely event that one of our products does not perform as expected, you're protected by our Product Promise.
For full details, please see our Terms & Conditions

Associated Products

Select an associated product type
Alternative Product
Primary Antibodies

AB238010

Anti-CD103 antibody [ITGAE/2063]

primary-antibodies

cd103-antibody-itgae-2063-ab238010

4

(2 reviews)

Alternative Product
Primary Antibodies

AB238011

Anti-CD103 antibody [ITGAE/2474]

primary-antibodies

cd103-antibody-itgae-2474-ab238011

0

(0 reviews)

Alternative Product
Primary Antibodies

AB237854

Anti-CD103 antibody [ITGAE/2063] - BSA and Azide free

primary-antibodies

cd103-antibody-itgae-2063-bsa-and-azide-free-ab237854

0

(0 reviews)

Alternative Product
Primary Antibodies

AB239247

FITC Anti-CD103 antibody [Ber-ACT8]

primary-antibodies

fitc-cd103-antibody-ber-act8-ab239247

0

(0 reviews)

Alternative Product
Primary Antibodies

AB176500

APC Anti-CD103 antibody [Ber-ACT8]

primary-antibodies

apc-cd103-antibody-ber-act8-ab176500

0

(0 reviews)

Alternative Product
Primary Antibodies

AB24938

FITC Anti-CD103 antibody [2E7]

primary-antibodies

fitc-cd103-antibody-2e7-ab24938

0

(0 reviews)

Alternative Product
Primary Antibodies

AB25198

Anti-CD103 antibody [2E7]

primary-antibodies

cd103-antibody-2e7-ab25198

0

(0 reviews)

Alternative Product
Primary Antibodies

AB25211

Biotin Anti-CD103 antibody [2E7]

primary-antibodies

biotin-cd103-antibody-2e7-ab25211

0

(0 reviews)

Alternative Product
Primary Antibodies

AB95763

PE Anti-CD103 antibody [OX62]

primary-antibodies

pe-cd103-antibody-ox62-ab95763

0

(0 reviews)

Alternative Product
Primary Antibodies

AB227697

Anti-CD103 antibody [SP301]

primary-antibodies

cd103-antibody-sp301-ab227697

0

(0 reviews)

Alternative Product
Primary Antibodies

AB108503

Anti-CD103 antibody [EPR4166]

primary-antibodies

cd103-antibody-epr4166-ab108503

0

(0 reviews)

Alternative Product
Primary Antibodies

AB271889

Anti-CD103 antibody [EPR4166(2)] - BSA and Azide free

primary-antibodies

cd103-antibody-epr41662-bsa-and-azide-free-ab271889

4

(3 reviews)

Alternative Product
Primary Antibodies

AB237855

Anti-CD103 antibody [ITGAE/2474] - BSA and Azide free

primary-antibodies

cd103-antibody-itgae-2474-bsa-and-azide-free-ab237855

0

(0 reviews)

Alternative Product
Primary Antibodies

AB245746

Anti-CD103 antibody [SP301] - BSA and Azide free

primary-antibodies

cd103-antibody-sp301-bsa-and-azide-free-ab245746

4

(1 reviews)

Alternative Version
Primary Antibodies

AB129202

Anti-CD103 antibody [EPR4166(2)]

primary-antibodies

cd103-antibody-epr41662-ab129202

5

(8 reviews)

Alternative Version
Primary Antibodies

AB313269

Alexa Fluor® 555 Anti-CD103 antibody [EPR4166(2)]

primary-antibodies

alexa-fluor-555-cd103-antibody-epr41662-ab313269

0

(0 reviews)

Alternative Version
Primary Antibodies

AB225153

Alexa Fluor® 647 Anti-CD103 antibody [EPR4166(2)]

primary-antibodies

alexa-fluor-647-cd103-antibody-epr41662-ab225153

4

(1 reviews)

Please note: All products are 'FOR RESEARCH USE ONLY. NOT FOR USE IN DIAGNOSTIC OR THERAPEUTIC PROCEDURES'.

For licensing inquiries, please contact partnerships@abcam.com