JavaScript is disabled in your browser. Please enable JavaScript to view this website.
AB114052

Anti-CD105 antibody [3A9]

3

(1 Review)

|

(16 Publications)

Mouse Monoclonal CD105 antibody. Suitable for Flow Cyt, ELISA, WB, IHC-P, ICC/IF and reacts with Human, Synthetic peptide samples. Cited in 16 publications. Immunogen corresponding to Recombinant Fragment Protein within Human ENG.

View Alternative Names

CD105, END, ENG, Endoglin

6 Images
Flow Cytometry - Anti-CD105 antibody [3A9] (AB114052)
  • Flow Cyt

Unknown

Flow Cytometry - Anti-CD105 antibody [3A9] (AB114052)

Flow cytometric analysis of CD105 in HepG2 cells, using ab114052 at a 1/200 dilution (green) and negative control (purple).

Immunohistochemistry (Formalin/PFA-fixed paraffin-embedded sections) - Anti-CD105 antibody [3A9] (AB114052)
  • IHC-P

Unknown

Immunohistochemistry (Formalin/PFA-fixed paraffin-embedded sections) - Anti-CD105 antibody [3A9] (AB114052)

ab114052, at a 1/200 dilution, staining CD105 in paraffin embedded Human kidney cancer tissue by Immunohistochemistry, with DAB staining.

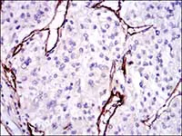
Immunohistochemistry (Formalin/PFA-fixed paraffin-embedded sections) - Anti-CD105 antibody [3A9] (AB114052)
  • IHC-P

Unknown

Immunohistochemistry (Formalin/PFA-fixed paraffin-embedded sections) - Anti-CD105 antibody [3A9] (AB114052)

ab114052, at a 1/200 dilution, staining CD105 in paraffin embedded Human stomach cancer tissue by Immunohistochemistry, with DAB staining.

Western blot - Anti-CD105 antibody [3A9] (AB114052)
  • WB

Unknown

Western blot - Anti-CD105 antibody [3A9] (AB114052)

All lanes:

Western blot - Anti-CD105 antibody [3A9] (ab114052) at 1/500 dilution

Lane 1:

HEK293 cell lysate

Lane 2:

CD105-hIgGFc transfected HEK293 cell lysate

Predicted band size: 70 kDa

false

Immunocytochemistry/ Immunofluorescence - Anti-CD105 antibody [3A9] (AB114052)
  • ICC/IF

Unknown

Immunocytochemistry/ Immunofluorescence - Anti-CD105 antibody [3A9] (AB114052)

ab114052, at a 1/200 dilution, staining CD105 in HepG2 cells by Immunofluorescence (green).
Blue : DRAQ5 fluorescent DNA dye.
Red : Actin filaments have been labeled with Alexa Fluor-555 phalloidin.

ELISA - Anti-CD105 antibody [3A9] (AB114052)
  • ELISA

Unknown

ELISA - Anti-CD105 antibody [3A9] (AB114052)

ELISA using ab114052.

Key facts

Host species

Mouse

Clonality

Monoclonal

Clone number

3A9

Isotype

IgG1

Light chain type

kappa

Carrier free

No

Reacts with

Human

Applications

IHC-P, ELISA, Flow Cyt, ICC/IF, WB

applications

Immunogen

Recombinant Fragment Protein within Human ENG. The exact immunogen used to generate this antibody is proprietary information.

P17813

Reactivity data

{ "title": "Reactivity Data", "filters": { "stats": ["", "Species", "Dilution Info", "Notes"], "tabs": { "all-applications": {"fullname" : "All Applications", "shortname": "All Applications"}, "FlowCyt" : {"fullname" : "Flow Cytometry", "shortname":"Flow Cyt"}, "ELISA" : {"fullname" : "ELISA", "shortname":"ELISA"}, "WB" : {"fullname" : "Western blot", "shortname":"WB"}, "IHCP" : {"fullname" : "Immunohistochemistry (Formalin/PFA-fixed paraffin-embedded sections)", "shortname":"IHC-P"}, "ICCIF" : {"fullname" : "Immunocytochemistry/ Immunofluorescence", "shortname":"ICC/IF"} }, "product-promise": { "all": "all", "testedAndGuaranteed": "tested", "guaranteed": "expected", "predicted": "predicted", "notRecommended": "not-recommended" } }, "values": { "Human": { "FlowCyt-species-checked": "testedAndGuaranteed", "FlowCyt-species-dilution-info": "1/200 - 1/400", "FlowCyt-species-notes": "<p><a href='/en-us/products/primary-antibodies/mouse-igg1-kappa-monoclonal-15-6e10a7-isotype-control-ab170190'>ab170190</a> - Mouse monoclonal IgG1, is suitable for use as an isotype control with this antibody.</p>", "ELISA-species-checked": "guaranteed", "ELISA-species-dilution-info": "", "ELISA-species-notes": "", "WB-species-checked": "testedAndGuaranteed", "WB-species-dilution-info": "1/500 - 1/2000", "WB-species-notes": "<p></p>", "IHCP-species-checked": "testedAndGuaranteed", "IHCP-species-dilution-info": "1/200 - 1/1000", "IHCP-species-notes": "<p></p>", "ICCIF-species-checked": "testedAndGuaranteed", "ICCIF-species-dilution-info": "1/200 - 1/1000", "ICCIF-species-notes": "<p></p>" }, "Synthetic peptide": { "FlowCyt-species-checked": "notRecommended", "FlowCyt-species-dilution-info": "", "FlowCyt-species-notes": "", "ELISA-species-checked": "testedAndGuaranteed", "ELISA-species-dilution-info": "1/10000", "ELISA-species-notes": "<p></p>", "WB-species-checked": "notRecommended", "WB-species-dilution-info": "", "WB-species-notes": "", "IHCP-species-checked": "notRecommended", "IHCP-species-dilution-info": "", "IHCP-species-notes": "", "ICCIF-species-checked": "notRecommended", "ICCIF-species-dilution-info": "", "ICCIF-species-notes": "" } } }

You may be interested in:

AB217773

Human CD105 ELISA Kit

0

0 Reviews

View product

We recommend this product because it’s often used in the same experiment or related research.

We advise that you always check the datasheet to ensure it fits your experiments, or contact ourtechnical teamfor help.

Product details

This product was changed from ascites to supernatant. Lot no's high than GR156609-14 are from Tissue Culture Supernatant

Properties and storage information

Form
Liquid
Purification technique
Affinity purification Protein G
Purification notes
Purified from tissue culture supernatant.
Storage buffer
Preservative: 0.05% Sodium azide Constituents: PBS
Shipped at conditions
Blue Ice
Appropriate short-term storage duration
1-2 weeks
Appropriate short-term storage conditions
+4°C
Appropriate long-term storage conditions
-20°C

Supplementary information

This supplementary information is collated from multiple sources and compiled automatically.

CD105 also known as endoglin or the CD105 marker is a transmembrane glycoprotein with a molecular weight of approximately 180 kDa. It is a component of the TGF-beta receptor complex and exists in endothelial cells where it is abundantly expressed. Expression of CD105 is higher in proliferating cells particularly in the vasculature. You can also find it in tissues involved in the formation and remodeling of blood vessels such as during angiogenesis.
Biological function summary

Endoglin functions in the regulation of angiogenesis and vascular remodeling. It plays a significant role in mediating cellular responses to TGF-beta signaling influencing endothelial cell proliferation and migration. While not part of a larger structural complex endoglin interacts with receptors and signaling molecules important for vascular development and repair processes. This involvement aids in maintaining endothelial integrity and function under various physiological conditions.

Pathways

CD105 participates in the TGF-beta signaling and angiogenesis pathways. In these pathways it acts in conjunction with other proteins like TGF-beta receptors which play roles in cell differentiation proliferation and apoptosis. The interaction between CD105 and TGF-beta signaling regulates numerous cellular mechanisms impacting angiogenesis and cellular responses to environmental changes.

CD105 has links to hereditary hemorrhagic telangiectasia (HHT) and certain cancers. In HHT mutations in the endoglin gene alter vascular structure leading to the formation of abnormal blood vessels. Oncologically overexpression of CD105 is present in tumor angiogenesis aiding in the progression of certain cancers. Other proteins like VEGF and TGF-beta closely interact with endoglin influencing disease progression and presenting potential targets for therapeutic intervention.

Product protocols

For this product, it's our understanding that no specific protocols are required. You can visit:

Target data

Vascular endothelium glycoprotein that plays an important role in the regulation of angiogenesis (PubMed : 21737454, PubMed : 23300529). Required for normal structure and integrity of adult vasculature (PubMed : 7894484). Regulates the migration of vascular endothelial cells (PubMed : 17540773). Required for normal extraembryonic angiogenesis and for embryonic heart development (By similarity). May regulate endothelial cell shape changes in response to blood flow, which drive vascular remodeling and establishment of normal vascular morphology during angiogenesis (By similarity). May play a critical role in the binding of endothelial cells to integrins and/or other RGD receptors (PubMed : 1692830). Acts as a TGF-beta coreceptor and is involved in the TGF-beta/BMP signaling cascade that ultimately leads to the activation of SMAD transcription factors (PubMed : 21737454, PubMed : 22347366, PubMed : 23300529, PubMed : 8370410). Required for GDF2/BMP9 signaling through SMAD1 in endothelial cells and modulates TGFB1 signaling through SMAD3 (PubMed : 21737454, PubMed : 22347366, PubMed : 23300529).
See full target information ENG

Publications (16)

Recent publications for all applications. Explore the full list and refine your search

Bioactive materials 25:256-272 PubMed36825224

2023

"Slow walk" mimetic tensile loading maintains human meniscus tissue resident progenitor cells homeostasis in photocrosslinked gelatin hydrogel.

Applications

Unspecified application

Species

Unspecified reactive species

Jing Sun,Yau Tsz Chan,Ki Wai Kevin Ho,Li Zhang,Liming Bian,Rocky S Tuan,Yangzi Jiang

Cancers 14: PubMed36358805

2022

Use of High-Plex Data Reveals Novel Insights into the Tumour Microenvironment of Clear Cell Renal Cell Carcinoma.

Applications

Unspecified application

Species

Unspecified reactive species

Raffaele De Filippis,Georg Wölflein,In Hwa Um,Peter D Caie,Sarah Warren,Andrew White,Elizabeth Suen,Emily To,Ognjen Arandjelović,David J Harrison

Frontiers in bioengineering and biotechnology 9:761861 PubMed34660561

2021

Coaxially Bioprinted Cell-Laden Tubular-Like Structure for Studying Glioma Angiogenesis.

Applications

Unspecified application

Species

Unspecified reactive species

Xuanzhi Wang,Xinda Li,Yi Zhang,Xiaoyan Long,Haitao Zhang,Tao Xu,Chaoshi Niu

Nature communications 11:3062 PubMed32546788

2020

Mesenchymal stem cells offer a drug-tolerant and immune-privileged niche to Mycobacterium tuberculosis.

Applications

Unspecified application

Species

Unspecified reactive species

Neharika Jain,Haroon Kalam,Lakshyaveer Singh,Vartika Sharma,Saurabh Kedia,Prasenjit Das,Vineet Ahuja,Dhiraj Kumar

Angiogenesis 23:231-247 PubMed31897911

2020

Continuous endoglin (CD105) overexpression disrupts angiogenesis and facilitates tumor cell metastasis.

Applications

Unspecified application

Species

Unspecified reactive species

Claudia Ollauri-Ibáñez,Elena Núñez-Gómez,Cristina Egido-Turrión,Laura Silva-Sousa,Elena Díaz-Rodríguez,Alicia Rodríguez-Barbero,José M López-Novoa,Miguel Pericacho

Scientific reports 9:19150 PubMed31844158

2019

Targeting AXL and RAGE to prevent geminin overexpression-induced triple-negative breast cancer metastasis.

Applications

Unspecified application

Species

Unspecified reactive species

Daniel Ryan,Jim Koziol,Wael M ElShamy

Endocrine-related cancer 27:1-9 PubMed31648185

2019

Soluble CD105 is prognostic of disease recurrence in prostate cancer patients.

Applications

Unspecified application

Species

Unspecified reactive species

Veronica R Placencio-Hickok,Anisha Madhav,Sungjin Kim,Frank Duong,Bryan Angara,Zhenqiu Liu,Neil A Bhowmick

Aging 11:5300-5318 PubMed31386624

2019

Exosomes derived from microRNA-199a-overexpressing mesenchymal stem cells inhibit glioma progression by down-regulating AGAP2.

Applications

Unspecified application

Species

Unspecified reactive species

Lei Yu,Si Gui,Yawei Liu,Xiaoyu Qiu,Guozhong Zhang,Xi'an Zhang,Jun Pan,Jun Fan,Songtao Qi,Binghui Qiu

Theranostics 9:4265-4286 PubMed31285761

2019

COL4A2 in the tissue-specific extracellular matrix plays important role on osteogenic differentiation of periodontal ligament stem cells.

Applications

Unspecified application

Species

Unspecified reactive species

Yi Wen,Hongxu Yang,Junjie Wu,Axian Wang,Xiaodong Chen,Sijun Hu,Yuxing Zhang,Ding Bai,Zuolin Jin

Breast cancer research : BCR 21:53 PubMed31014367

2019

The pro- and anti-tumor roles of mesenchymal stem cells toward BRCA1-IRIS-overexpressing TNBC cells.

Applications

Unspecified application

Species

Unspecified reactive species

Daniel Ryan,Bibbin T Paul,Jim Koziol,Wael M ElShamy
View all publications

Product promise

We are committed to supporting your work with high-quality reagents, and we're here for you every step of the way. In the unlikely event that one of our products does not perform as expected, you're protected by our Product Promise.
For full details, please see our Terms & Conditions

Associated Products

Select an associated product type
Alternative Product
Primary Antibodies

AB11414

Anti-CD105 antibody [SN6]

primary-antibodies

cd105-antibody-sn6-ab11414

5

(6 reviews)

Alternative Product
Primary Antibodies

AB206419

Anti-CD105 antibody [EPR19911]

primary-antibodies

cd105-antibody-epr19911-ab206419

0

(0 reviews)

Alternative Product
Primary Antibodies

AB170943

Anti-CD105 antibody [EPR10145-10]

primary-antibodies

cd105-antibody-epr10145-10-ab170943

0

(0 reviews)

Alternative Product
Primary Antibodies

AB169545

Anti-CD105 antibody [EPR10145-12]

primary-antibodies

cd105-antibody-epr10145-12-ab169545

4

(3 reviews)

Alternative Product
Primary Antibodies

AB219362

Anti-CD105 antibody [EPR10145-12] - Low endotoxin, Azide free

primary-antibodies

cd105-antibody-epr10145-12-low-endotoxin-azide-free-ab219362

5

(1 reviews)

Alternative Product
Primary Antibodies

AB221675

Anti-CD105 antibody [EPR21846]

primary-antibodies

cd105-antibody-epr21846-ab221675

0

(0 reviews)

Alternative Product
Primary Antibodies

AB231832

Anti-CD105 antibody [EPR21846] - BSA and Azide free

primary-antibodies

cd105-antibody-epr21846-bsa-and-azide-free-ab231832

0

(0 reviews)

Please note: All products are 'FOR RESEARCH USE ONLY. NOT FOR USE IN DIAGNOSTIC OR THERAPEUTIC PROCEDURES'.

For licensing inquiries, please contact partnerships@abcam.com