JavaScript is disabled in your browser. Please enable JavaScript to view this website.
AB74462

Anti-CD105 antibody

Be the first to review this product! Submit a review

|

(2 Publications)

Rabbit Polyclonal CD105 antibody. Suitable for IHC-P and reacts with Human samples. Cited in 2 publications.

View Alternative Names

CD105, END, ENG, Endoglin

1 Images
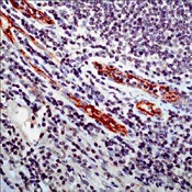
Immunohistochemistry (Formalin/PFA-fixed paraffin-embedded sections) - Anti-CD105 antibody (AB74462)
  • IHC-P

Unknown

Immunohistochemistry (Formalin/PFA-fixed paraffin-embedded sections) - Anti-CD105 antibody (AB74462)

ab74462, at 1/50 dilution, staining CD105 in formalin fixed, paraffin embedded human tonsil tissue by Immunohistochemistry.

Key facts

Host species

Rabbit

Clonality

Polyclonal

Isotype

IgG

Carrier free

No

Reacts with

Human

Applications

IHC-P

applications

Immunogen

The exact immunogen used to generate this antibody is proprietary information.

Reactivity data

{ "title": "Reactivity Data", "filters": { "stats": ["", "Species", "Dilution Info", "Notes"], "tabs": { "all-applications": {"fullname" : "All Applications", "shortname": "All Applications"}, "IHCP" : {"fullname" : "Immunohistochemistry (Formalin/PFA-fixed paraffin-embedded sections)", "shortname":"IHC-P"} }, "product-promise": { "all": "all", "testedAndGuaranteed": "tested", "guaranteed": "expected", "predicted": "predicted", "notRecommended": "not-recommended" } }, "values": { "Human": { "IHCP-species-checked": "testedAndGuaranteed", "IHCP-species-dilution-info": "1/50", "IHCP-species-notes": "<p></p>" } } }

Properties and storage information

Form
Liquid
Purification technique
Affinity purification Immunogen
Storage buffer
pH: 7.6 Preservative: 0.1% Sodium azide Constituents: PBS, 1% BSA
Shipped at conditions
Blue Ice
Appropriate long-term storage conditions
-20°C
Aliquoting information
Upon delivery aliquot
Storage information
Avoid freeze / thaw cycle

Supplementary information

This supplementary information is collated from multiple sources and compiled automatically.

CD105 also known as endoglin or the CD105 marker is a transmembrane glycoprotein with a molecular weight of approximately 180 kDa. It is a component of the TGF-beta receptor complex and exists in endothelial cells where it is abundantly expressed. Expression of CD105 is higher in proliferating cells particularly in the vasculature. You can also find it in tissues involved in the formation and remodeling of blood vessels such as during angiogenesis.
Biological function summary

Endoglin functions in the regulation of angiogenesis and vascular remodeling. It plays a significant role in mediating cellular responses to TGF-beta signaling influencing endothelial cell proliferation and migration. While not part of a larger structural complex endoglin interacts with receptors and signaling molecules important for vascular development and repair processes. This involvement aids in maintaining endothelial integrity and function under various physiological conditions.

Pathways

CD105 participates in the TGF-beta signaling and angiogenesis pathways. In these pathways it acts in conjunction with other proteins like TGF-beta receptors which play roles in cell differentiation proliferation and apoptosis. The interaction between CD105 and TGF-beta signaling regulates numerous cellular mechanisms impacting angiogenesis and cellular responses to environmental changes.

CD105 has links to hereditary hemorrhagic telangiectasia (HHT) and certain cancers. In HHT mutations in the endoglin gene alter vascular structure leading to the formation of abnormal blood vessels. Oncologically overexpression of CD105 is present in tumor angiogenesis aiding in the progression of certain cancers. Other proteins like VEGF and TGF-beta closely interact with endoglin influencing disease progression and presenting potential targets for therapeutic intervention.

Product protocols

For this product, it's our understanding that no specific protocols are required. You can visit:

Target data

Vascular endothelium glycoprotein that plays an important role in the regulation of angiogenesis (PubMed : 21737454, PubMed : 23300529). Required for normal structure and integrity of adult vasculature (PubMed : 7894484). Regulates the migration of vascular endothelial cells (PubMed : 17540773). Required for normal extraembryonic angiogenesis and for embryonic heart development (By similarity). May regulate endothelial cell shape changes in response to blood flow, which drive vascular remodeling and establishment of normal vascular morphology during angiogenesis (By similarity). May play a critical role in the binding of endothelial cells to integrins and/or other RGD receptors (PubMed : 1692830). Acts as a TGF-beta coreceptor and is involved in the TGF-beta/BMP signaling cascade that ultimately leads to the activation of SMAD transcription factors (PubMed : 21737454, PubMed : 22347366, PubMed : 23300529, PubMed : 8370410). Required for GDF2/BMP9 signaling through SMAD1 in endothelial cells and modulates TGFB1 signaling through SMAD3 (PubMed : 21737454, PubMed : 22347366, PubMed : 23300529).
See full target information ENG

Publications (2)

Recent publications for all applications. Explore the full list and refine your search

Investigative and clinical urology 65:180-188 PubMed38454828

2024

Histological and morphological development of the prepuce from birth to prepubertal age.

Applications

Unspecified application

Species

Unspecified reactive species

Erim Erdem,Mustafa Kaplan Caliskan,Meryem Ilkay Karagul,Erdem Akbay,Banu Coskun Yilmaz,Yuksel Cem Aygun

Cytotherapy 19:668-679 PubMed28392314

2017

Persistence and proliferation of human mesenchymal stromal cells in the right ventricular myocardium after intracoronary injection in a large animal model of pulmonary hypertension.

Applications

Unspecified application

Species

Unspecified reactive species

Roza Badr Eslam,Kevin Croce,Fernanda Marinho Mangione,Robert Musmann,Jane A Leopold,Richard N Mitchell,Aaron B Waxman
View all publications

Product promise

We are committed to supporting your work with high-quality reagents, and we're here for you every step of the way. In the unlikely event that one of our products does not perform as expected, you're protected by our Product Promise.
For full details, please see our Terms & Conditions

Please note: All products are 'FOR RESEARCH USE ONLY. NOT FOR USE IN DIAGNOSTIC OR THERAPEUTIC PROCEDURES'.

For licensing inquiries, please contact partnerships@abcam.com