JavaScript is disabled in your browser. Please enable JavaScript to view this website.
AB169545

Anti-CD105 antibody [EPR10145-12]

4

(3 Reviews)

|

(26 Publications)

Anti-CD105 antibody [EPR10145-12] (ab169545) is a rabbit monoclonal antibody detecting CD105 in Western Blot, IHC-P. Suitable for Human.

- KO validated for confirmed specificity
- Biophysical QC for unrivalled batch-batch consistency
- Over 10 publications

View Alternative Names

CD105, END, ENG, Endoglin

13 Images
Immunohistochemistry (Formalin/PFA-fixed paraffin-embedded sections) - Anti-CD105 antibody [EPR10145-12] (AB169545)
  • IHC-P

Unknown

Immunohistochemistry (Formalin/PFA-fixed paraffin-embedded sections) - Anti-CD105 antibody [EPR10145-12] (AB169545)

Immunohistochemistry (Formalin/PFA-fixed paraffin-embedded sections) analysis human clear cell carcinoma tissue labelling CD105 with unpurified ab169545 at 1/250.

Immunohistochemistry (Formalin/PFA-fixed paraffin-embedded sections) - Anti-CD105 antibody [EPR10145-12] (AB169545)
  • IHC-P

Lab

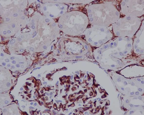
Immunohistochemistry (Formalin/PFA-fixed paraffin-embedded sections) - Anti-CD105 antibody [EPR10145-12] (AB169545)

Immunohistochemistry (Formalin/PFA-fixed paraffin-embedded sections) analysis of human kidney tissue labelling CD105 with purified ab169545 at 1/900. Heat mediated antigen retrieval was performed using Tris/EDTA buffer pH 9. A prediluted HRP-polymer conjugated anti-rabbit IgG was used as the secondary antibody. Counterstained with hematoxylin.

Immunohistochemistry (Formalin/PFA-fixed paraffin-embedded sections) - Anti-CD105 antibody [EPR10145-12] (AB169545)
  • IHC-P

Unknown

Immunohistochemistry (Formalin/PFA-fixed paraffin-embedded sections) - Anti-CD105 antibody [EPR10145-12] (AB169545)

Immunohistochemistry (Formalin/PFA-fixed paraffin-embedded sections) analysis of human glioma tissue labelling CD105 with unpurified ab169545 at 1/250.

Immunohistochemistry (Formalin/PFA-fixed paraffin-embedded sections) - Anti-CD105 antibody [EPR10145-12] (AB169545)
  • IHC-P

Lab

Immunohistochemistry (Formalin/PFA-fixed paraffin-embedded sections) - Anti-CD105 antibody [EPR10145-12] (AB169545)

Immunohistochemistry (Formalin/PFA-fixed paraffin-embedded sections) analysis of human kidney tissue labelling CD105 with unpurified ab169545 at 1/30. Heat mediated antigen retrieval was performed using Tris/EDTA buffer pH 9. A prediluted HRP-polymer conjugated anti-rabbit IgG was used as the secondary antibody. Counterstained with hematoxylin.

Immunohistochemistry (Formalin/PFA-fixed paraffin-embedded sections) - Anti-CD105 antibody [EPR10145-12] (AB169545)
  • IHC-P

Unknown

Immunohistochemistry (Formalin/PFA-fixed paraffin-embedded sections) - Anti-CD105 antibody [EPR10145-12] (AB169545)

Immunohistochemistry (Formalin/PFA-fixed paraffin-embedded sections) analysis of human tonsil tissue labelling CD105 with unpurified ab169545 at 1/250.

Western blot - Anti-CD105 antibody [EPR10145-12] (AB169545)
  • WB

Lab

Western blot - Anti-CD105 antibody [EPR10145-12] (AB169545)

Blocking buffer and concentration : 5% NFDM/TBST.

Diluting buffer and concentration : 5% NFDM /TBST.

All lanes:

Western blot - Anti-CD105 antibody [EPR10145-12] (ab169545) at 1/1200 dilution

All lanes:

ECV-304 cell lysate at 10 µg

Secondary

All lanes:

Peroxidase-conjugated goat anti-rabbit IgG (H+L) at 1/1000 dilution

Predicted band size: 45 kDa,70 kDa

Observed band size: 40 kDa,77 kDa,95 kDa

false

Western blot - Anti-CD105 antibody [EPR10145-12] (AB169545)
  • WB

Lab

Western blot - Anti-CD105 antibody [EPR10145-12] (AB169545)

Blocking buffer and concentration : 5% NFDM/TBST.

Diluting buffer and concentration : 5% NFDM /TBST.

All lanes:

Western blot - Anti-CD105 antibody [EPR10145-12] (ab169545) at 1/50 dilution

All lanes:

HUVEC cell lysate at 10 µg

Secondary

All lanes:

Peroxidase-conjugated goat anti-rabbit IgG (H+L) at 1/1000 dilution

Predicted band size: 70 kDa

Observed band size: 95 kDa

false

Western blot - Anti-CD105 antibody [EPR10145-12] (AB169545)
  • WB

Lab

Western blot - Anti-CD105 antibody [EPR10145-12] (AB169545)

ab169545 Anti-CD105 antibody [EPR10145-12] was shown to specifically react with CD105 in HeLa wild type cells. Loss of signal was observed when knockout cell line ab265178 (knockout cell lysate ab256906) was used. Wild type and CD105 knockout samples were subjected to SDS-PAGE. ab169545 and Anti-GAPDH antibody [6C5] - Loading Control (ab8245) were incubated overnight at 4°C at 1 in 1000 dilution and 1 in 20000 dilution respectively. Blots were developed with Goat anti-Rabbit IgG H&L (IRDye® 800CW) preadsorbed (ab216773) and Goat anti-Mouse IgG H&L (IRDye® 680RD) preadsorbed (ab216776) secondary antibodies at 1 in 20000 dilution for 1 hour at room temperature before imaging.

All lanes:

Western blot - Anti-CD105 antibody [EPR10145-12] (ab169545) at 1/1000 dilution

Lane 1:

Wild-type HeLa cell lysate at 20 µg

Lane 2:

ENG knockout HeLa cell lysate at 20 µg

Lane 2:

Western blot - Human ENG (CD105) knockout HeLa cell line (<a href='/en-us/products/cell-lines/human-eng-cd105-knockout-hela-cell-line-ab265178'>ab265178</a>)

Lane 3:

HUVEC cell lysate at 20 µg

Lane 4:

MCF7 cell lysate at 20 µg

Secondary

All lanes:

Western blot - Goat anti-Rabbit IgG H&L (IRDye® 800CW) preadsorbed (<a href='/en-us/products/secondary-antibodies/goat-rabbit-igg-h-l-irdye-800cw-preadsorbed-ab216773'>ab216773</a>) at 1/20000 dilution

Predicted band size: 70 kDa

Observed band size: 70-120 kDa

false

Western blot - Anti-CD105 antibody [EPR10145-12] (AB169545)
  • WB

Lab

Western blot - Anti-CD105 antibody [EPR10145-12] (AB169545)

Lanes 1 - 3 : Merged signal (red and green). Green - ab169545 observed at 70 kDa. Red - loading control, ab8245, observed at 37 kDa.

ab169545 was shown to recognize CD105 in wild-type HeLa cells as signal was lost at the expected MW in CD105 knockout cells. Additional cross-reactive bands were observed in the wild-type and knockout cells. Wild-type and CD105 knockout samples were subjected to SDS-PAGE. The membrane was blocked with 3% milk. ab169545 and ab8245 (Mouse anti-GAPDH loading control) were incubated overnight at 4°C at 1/1000 dilution and 1/20000 dilution respectively. Blots were developed with Goat anti-Rabbit IgG H&L (IRDye® 800CW) preabsorbed ab216773 and Goat anti-Mouse IgG H&L (IRDye® 680RD) preabsorbed ab216776 secondary antibodies at 1/20000 dilution for 1 hour at room temperature before imaging.

All lanes:

Western blot - Anti-CD105 antibody [EPR10145-12] (ab169545) at 1/1000 dilution

Lane 1:

Wild-type HeLa whole cell lysate at 20 µg

Lane 2:

CD105 knockout HeLa whole cell lysate at 20 µg

Lane 3:

HUVEC whole cell lysate at 20 µg

Predicted band size: 70 kDa

false

Western blot - Anti-CD105 antibody [EPR10145-12] (AB169545)
  • WB

Lab

Western blot - Anti-CD105 antibody [EPR10145-12] (AB169545)

Blocking buffer and concentration : 5% NFDM/TBST.

Diluting buffer and concentration : 5% NFDM /TBST.

All lanes:

Western blot - Anti-CD105 antibody [EPR10145-12] (ab169545) at 1/1200 dilution

All lanes:

HUVEC cell lysate at 10 µg

Secondary

All lanes:

Peroxidase-conjugated goat anti-rabbit IgG (H+L) at 1/1000 dilution

Predicted band size: 70 kDa

Observed band size: 95 kDa

false

Western blot - Anti-CD105 antibody [EPR10145-12] (AB169545)
  • WB

Lab

Western blot - Anti-CD105 antibody [EPR10145-12] (AB169545)

Blocking buffer and concentration : 5% NFDM/TBST.

Diluting buffer and concentration : 5% NFDM /TBST.

All lanes:

Western blot - Anti-CD105 antibody [EPR10145-12] (ab169545) at 1/50 dilution

All lanes:

ECV-304 cell lysate at 10 µg

Secondary

All lanes:

Peroxidase-conjugated goat anti-rabbit IgG (H+L) at 1/1000 dilution

Predicted band size: 70 kDa

Observed band size: 95 kDa

false

Western blot - Anti-CD105 antibody [EPR10145-12] (AB169545)
  • WB

Unknown

Western blot - Anti-CD105 antibody [EPR10145-12] (AB169545)

All lanes:

Western blot - Anti-CD105 antibody [EPR10145-12] (ab169545) at 1/1000 dilution

All lanes:

immunoprecipitation pellet from ECV-304 cell lysate

Secondary

All lanes:

HRP-conjugated anti-rabbit IgG preferentially detecting the non-reduced form of rabbit IgG

Predicted band size: 70 kDa

false

Western blot - Anti-CD105 antibody [EPR10145-12] (AB169545)
  • WB

Unknown

Western blot - Anti-CD105 antibody [EPR10145-12] (AB169545)

All lanes:

Western blot - Anti-CD105 antibody [EPR10145-12] (ab169545) at 1/1000 dilution

Lane 1:

ECV-304 cell lysate at 10 µg

Lane 2:

Human tonsil cell lysate at 10 µg

Lane 3:

HUVEC cell lysate at 10 µg

Secondary

All lanes:

HRP labeled goat anti-rabbit at 1/2000 dilution

Predicted band size: 70 kDa

false

  • Carrier free

    Anti-CD105 antibody [EPR10145-12] - BSA and Azide free

Key facts

Host species

Rabbit

Clonality

Monoclonal

Clone number

EPR10145-12

Isotype

IgG

Carrier free

No

Reacts with

Human

Applications

WB, IHC-P

applications

Immunogen

The exact immunogen used to generate this antibody is proprietary information.

Reactivity data

{ "title": "Reactivity Data", "filters": { "stats": ["", "Species", "Dilution Info", "Notes"], "tabs": { "all-applications": {"fullname" : "All Applications", "shortname": "All Applications"}, "WB" : {"fullname" : "Western blot", "shortname":"WB"}, "IHCP" : {"fullname" : "Immunohistochemistry (Formalin/PFA-fixed paraffin-embedded sections)", "shortname":"IHC-P"} }, "product-promise": { "all": "all", "testedAndGuaranteed": "tested", "guaranteed": "expected", "predicted": "predicted", "notRecommended": "not-recommended" } }, "values": { "Human": { "WB-species-checked": "testedAndGuaranteed", "WB-species-dilution-info": "1/1000 - 1/2000", "WB-species-notes": "<p><strong>For unpurified use at 1/50.</strong></p>", "IHCP-species-checked": "testedAndGuaranteed", "IHCP-species-dilution-info": "1/900", "IHCP-species-notes": "<p><strong>For unpurified use at 1/30.</strong></p> Perform heat-mediated antigen retrieval with Tris/EDTA buffer pH 9.0 before commencing with IHC staining protocol." } } }

Product details

What is this antibody validated in?
Anti-CD105 antibody [EPR10145-12] (ab169545) is a rabbit recombinant monoclonal antibody and is validated for use in Western Blot (WB), Immunohistochemistry (IHC-P) in Human samples.

What is the molecular weight of CD105?
Anti-CD105 [EPR10145-12] (ab169545) specifically detects a band for CD105 (UniProt: P17813) at a molecular weight of 70kDa.

Trusted by the scientific community
Anti-CD105 [EPR10145-12] (ab169545) was first used in a scientific publication in 2013 and has been cited over 10 times in peer-reviewed journals.

Trial sizes available!
Test your antibody or perform pre-screening before committing to a larger quantity. Sold in 10µl. Discover our selection of trial-size antibodies.

Specificity confirmed
The specificity of Anti-CD105 antibody [EPR10145-12] (ab169545) has been confirmed by Western blot testing in ENG Knockout HeLa cells.

Other related products
We have a range of other formats of antibody clone [EPR10145-12] also available for your convenience: ab169545, Carrier free - ab219362, Carrier free - ab271922

Patented technology
Our RabMAb® technology is a patented hybridoma-based technology for making rabbit monoclonal antibodies. For details on our patents, please refer to RabMAb® patents.

What are the advantages of a recombinant monoclonal antibody?
This product is a recombinant monoclonal antibody, which offers several advantages including:

  • - High batch-to-batch consistency and reproducibility
  • - Improved sensitivity and specificity
  • - Long-term security of supply
  • - Animal-free batch production

For more information, read more on recombinant antibodies.

Properties and storage information

Form
Liquid
Purification technique
Affinity purification Protein A
Storage buffer
Preservative: 0.01% Sodium azide Constituents: PBS, 40% Glycerol (glycerin, glycerine), 0.05% BSA
Shipped at conditions
Blue Ice
Appropriate short-term storage duration
1-2 weeks
Appropriate short-term storage conditions
+4°C
Appropriate long-term storage conditions
-20°C
Aliquoting information
Upon delivery aliquot
Storage information
Avoid freeze / thaw cycle

Supplementary information

This supplementary information is collated from multiple sources and compiled automatically.

CD105 also known as endoglin or the CD105 marker is a transmembrane glycoprotein with a molecular weight of approximately 180 kDa. It is a component of the TGF-beta receptor complex and exists in endothelial cells where it is abundantly expressed. Expression of CD105 is higher in proliferating cells particularly in the vasculature. You can also find it in tissues involved in the formation and remodeling of blood vessels such as during angiogenesis.
Biological function summary

Endoglin functions in the regulation of angiogenesis and vascular remodeling. It plays a significant role in mediating cellular responses to TGF-beta signaling influencing endothelial cell proliferation and migration. While not part of a larger structural complex endoglin interacts with receptors and signaling molecules important for vascular development and repair processes. This involvement aids in maintaining endothelial integrity and function under various physiological conditions.

Pathways

CD105 participates in the TGF-beta signaling and angiogenesis pathways. In these pathways it acts in conjunction with other proteins like TGF-beta receptors which play roles in cell differentiation proliferation and apoptosis. The interaction between CD105 and TGF-beta signaling regulates numerous cellular mechanisms impacting angiogenesis and cellular responses to environmental changes.

CD105 has links to hereditary hemorrhagic telangiectasia (HHT) and certain cancers. In HHT mutations in the endoglin gene alter vascular structure leading to the formation of abnormal blood vessels. Oncologically overexpression of CD105 is present in tumor angiogenesis aiding in the progression of certain cancers. Other proteins like VEGF and TGF-beta closely interact with endoglin influencing disease progression and presenting potential targets for therapeutic intervention.

Product protocols

For this product, it's our understanding that no specific protocols are required. You can visit:

Target data

Vascular endothelium glycoprotein that plays an important role in the regulation of angiogenesis (PubMed : 21737454, PubMed : 23300529). Required for normal structure and integrity of adult vasculature (PubMed : 7894484). Regulates the migration of vascular endothelial cells (PubMed : 17540773). Required for normal extraembryonic angiogenesis and for embryonic heart development (By similarity). May regulate endothelial cell shape changes in response to blood flow, which drive vascular remodeling and establishment of normal vascular morphology during angiogenesis (By similarity). May play a critical role in the binding of endothelial cells to integrins and/or other RGD receptors (PubMed : 1692830). Acts as a TGF-beta coreceptor and is involved in the TGF-beta/BMP signaling cascade that ultimately leads to the activation of SMAD transcription factors (PubMed : 21737454, PubMed : 22347366, PubMed : 23300529, PubMed : 8370410). Required for GDF2/BMP9 signaling through SMAD1 in endothelial cells and modulates TGFB1 signaling through SMAD3 (PubMed : 21737454, PubMed : 22347366, PubMed : 23300529).
See full target information ENG

Publications (26)

Recent publications for all applications. Explore the full list and refine your search

Stem cells translational medicine 14: PubMed40627336

2025

Use of adipose-derived stem cells on decellularized bladder scaffolds for functional bladder mucosa regeneration.

Applications

Unspecified application

Species

Unspecified reactive species

Cesar Ulises Monjaras-Avila,Ana Cecilia Luque-Badillo,Nicholas J Carr,Anthony A Papp,Alan I So,Claudia Chavez-Munoz

Discover oncology 16:180 PubMed39948247

2025

Differences in tumor angiogenesis and related factors between lung adenocarcinomas manifesting as pure ground glass opacity and solid nodules.

Applications

Unspecified application

Species

Unspecified reactive species

Rirong Qu,Yang Zhang,Shenghui Qin,Jing Xiong,Xiangning Fu,Lequn Li,Dehao Tu,Yixin Cai

International journal of molecular sciences 25: PubMed38791148

2024

MerTK Drives Proliferation and Metastatic Potential in Triple-Negative Breast Cancer.

Applications

Unspecified application

Species

Unspecified reactive species

Mari Iida,Bridget E Crossman,Kourtney L Kostecki,Christine E Glitchev,Carlene A Kranjac,Madisen T Crow,Jillian M Adams,Peng Liu,Irene Ong,David T Yang,Irene Kang,Ravi Salgia,Deric L Wheeler

Cell & bioscience 14:65 PubMed38778363

2024

Employment of diverse in vitro systems for analyzing multiple aspects of disease, hereditary hemorrhagic telangiectasia (HHT).

Applications

Unspecified application

Species

Unspecified reactive species

Hyebin Koh,Woojoo Kang,Ying-Ying Mao,Jisoo Park,Sangjune Kim,Seok-Ho Hong,Jong-Hee Lee

Autophagy 20:1314-1334 PubMed38174993

2024

Targeting cancer-associated fibroblast autophagy renders pancreatic cancer eradicable with immunochemotherapy by inhibiting adaptive immune resistance.

Applications

Unspecified application

Species

Unspecified reactive species

Xiaozhen Zhang,Mengyi Lao,Hanshen Yang,Kang Sun,Yunfei Dong,Lihong He,Xinchi Jiang,Honghui Wu,Yangwei Jiang,Muchun Li,Honggang Ying,Xinyuan Liu,Jian Xu,Yan Chen,Hanjia Zhang,Ruhong Zhou,Jianqing Gao,Xueli Bai,Tingbo Liang

Cell death & disease 14:725 PubMed37938546

2023

Crosstalk with lung fibroblasts shapes the growth and therapeutic response of mesothelioma cells.

Applications

Unspecified application

Species

Unspecified reactive species

Yakinthi Chrisochoidou,Rajat Roy,Pooyeh Farahmand,Guadalupe Gonzalez,Jennifer Doig,Lukas Krasny,Ella F Rimmer,Anne E Willis,Marion MacFarlane,Paul H Huang,Neil O Carragher,Alison F Munro,Daniel J Murphy,Kirill Veselkov,Michael J Seckl,Miriam F Moffatt,William O C Cookson,Olivier E Pardo

NPJ genomic medicine 8:32 PubMed37848456

2023

uAUG creating variants in the 5'UTR of ENG causing Hereditary Hemorrhagic Telangiectasia.

Applications

Unspecified application

Species

Unspecified reactive species

Omar Soukarieh,Emmanuelle Tillet,Carole Proust,Charlène Dupont,Béatrice Jaspard-Vinassa,Florent Soubrier,Aurélie Goyenvalle,Mélanie Eyries,David-Alexandre Trégouët

Frontiers in bioengineering and biotechnology 11:1235161 PubMed37636000

2023

A novel 3D biofabrication strategy to improve cell proliferation and differentiation of human Wharton's jelly mesenchymal stromal cells for cell therapy and tissue engineering.

Applications

Unspecified application

Species

Unspecified reactive species

Cristina Blanco-Elices,Roke Iñaki Oruezabal,David Sánchez-Porras,Jesús Chato-Astrain,Fernando Campos,Miguel Alaminos,Ingrid Garzón,Antonio Campos

Reproductive biology and endocrinology : RB&E 21:56 PubMed37337237

2023

Is neonatal uterine bleeding responsible for early-onset endometriosis?

Applications

Unspecified application

Species

Unspecified reactive species

Kanae Ogawa,Khaleque N Khan,Haruo Kuroboshi,Akemi Koshiba,Koki Shimura,Tatsuro Tajiri,Shigehisa Fumino,Hiroyuki Fujita,Tomoharu Okubo,Yoichiro Fujiwara,Go Horiguchi,Satoshi Teramukai,Akira Fujishita,Kyoko Itoh,Sun-Wei Guo,Jo Kitawaki,Taisuke Mori

Pharmaceutical biology 59:1566-1575 PubMed34767490

2021

Gambogic amide inhibits angiogenesis by suppressing VEGF/VEGFR2 in endothelial cells in a TrkA-independent manner.

Applications

Unspecified application

Species

Unspecified reactive species

Tongtong Sui,Bojun Qiu,Jiaorong Qu,Yuxin Wang,Kunnian Ran,Wei Han,Xiaozhong Peng
View all publications

Product promise

We are committed to supporting your work with high-quality reagents, and we're here for you every step of the way. In the unlikely event that one of our products does not perform as expected, you're protected by our Product Promise.
For full details, please see our Terms & Conditions

Please note: All products are 'FOR RESEARCH USE ONLY. NOT FOR USE IN DIAGNOSTIC OR THERAPEUTIC PROCEDURES'.

For licensing inquiries, please contact partnerships@abcam.com