JavaScript is disabled in your browser. Please enable JavaScript to view this website.
AB252548

Anti-CD105 antibody [EPR19911-220] - BSA and Azide free

  • BOND RX™ Validated
  • RabMAb
  • Recombinant
  • KO Validated
  • What is this?

Be the first to review this product! Submit a review

|

(1 Publication)

Rabbit Recombinant Monoclonal CD105 antibody. Carrier free. Suitable for IP, WB, IHC-P and reacts with Human, Rat samples. Cited in 1 publication.

View Alternative Names

CD105, END, ENG, Endoglin

7 Images
Immunohistochemistry (Formalin/PFA-fixed paraffin-embedded sections) - Anti-CD105 antibody [EPR19911-220] - BSA and Azide free (AB252548)
  • IHC-P

Unknown

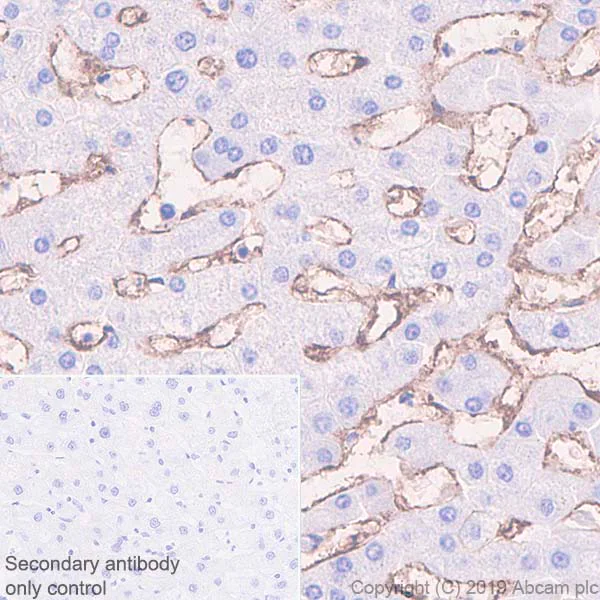
Immunohistochemistry (Formalin/PFA-fixed paraffin-embedded sections) - Anti-CD105 antibody [EPR19911-220] - BSA and Azide free (AB252548)

Immunohistochemical analysis of paraffin-embedded human liver tissue labeling CD105 with ab252345 at 1/2000 dilution, followed by the Rabbit specific IHC polymer detection kit HRP/DAB (ab209101) ready to use. Positive staining on sinusoidal endothelial cells of human liver (PMID : 30563158) is observed. Counter stained with hematoxylin.

Secondary antibody only control : Used PBS instead of primary antibody, secondary antibody is Rabbit specific IHC polymer detection kit HRP/DAB (ab209101) ready to use.

Heat mediated antigen retrieval with Tris-EDTA buffer (pH 9.0, epitope retrieval solution 2) for 20 minutes.

The section was incubated with ab252345 for 30 mins at RT. The immunostaining was performed on a Leica Biosystems BOND® RX instrument.

This data was developed using the same antibody clone in a different buffer formulation containing PBS, BSA, glycerol, and sodium azide (ab252345).

Immunohistochemistry (Formalin/PFA-fixed paraffin-embedded sections) - Anti-CD105 antibody [EPR19911-220] - BSA and Azide free (AB252548)
  • IHC-P

Unknown

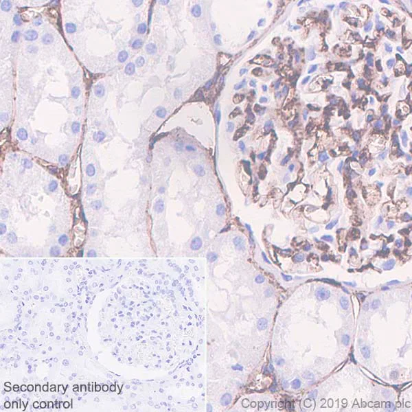
Immunohistochemistry (Formalin/PFA-fixed paraffin-embedded sections) - Anti-CD105 antibody [EPR19911-220] - BSA and Azide free (AB252548)

Immunohistochemical analysis of paraffin-embedded human kidney tissue labeling CD105 with ab252345 at 1/2000 dilution, followed by the Rabbit specific IHC polymer detection kit HRP/DAB (ab209101) ready to use. Positive staining on glomerular and peritubular microvasculature of human kidney (PMID : 25381426) is observed. Counter stained with hematoxylin.

Secondary antibody only control : Used PBS instead of primary antibody, secondary antibody is Rabbit specific IHC polymer detection kit HRP/DAB (ab209101) ready to use.

Heat mediated antigen retrieval with Tris-EDTA buffer (pH 9.0, epitope retrieval solution 2) for 20 minutes.

The section was incubated with ab252345 for 30 mins at RT. The immunostaining was performed on a Leica Biosystems BOND® RX instrument.

This data was developed using the same antibody clone in a different buffer formulation containing PBS, BSA, glycerol, and sodium azide (ab252345).

Immunohistochemistry (Formalin/PFA-fixed paraffin-embedded sections) - Anti-CD105 antibody [EPR19911-220] - BSA and Azide free (AB252548)
  • IHC-P

Lab

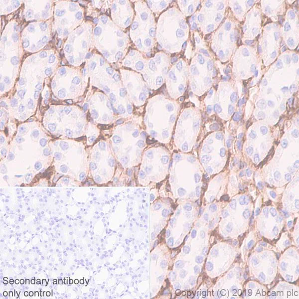
Immunohistochemistry (Formalin/PFA-fixed paraffin-embedded sections) - Anti-CD105 antibody [EPR19911-220] - BSA and Azide free (AB252548)

Immunohistochemical analysis of human breast carcinoma tissue staining CD105 with ab252345 at 1/2000 dilution and a ready to use secondary Rabbit specific IHC polymer detection kit HRP/DAB (ab209101). Positive staining on endothelial cells of human breast carcinoma. Counterstaining was with Hematoxylin. Heat mediated antigen retrieval was performed with Tris-EDTA buffer (pH 9.0, Epitope Retrieval Solution2) for 20 mins. The section was incubated with ab252345 for 30 mins at room temperature. The immunostaining was performed on a Leica Biosystems BOND® RX instrument This data was developed using the same antibody clone in a different buffer formulation (ab252345)

Immunoprecipitation - Anti-CD105 antibody [EPR19911-220] - BSA and Azide free (AB252548)
  • IP

Unknown

Immunoprecipitation - Anti-CD105 antibody [EPR19911-220] - BSA and Azide free (AB252548)

CD105 was immunoprecipitated from 0.35 mg of HeLa (human epithelial cell line from cervix adenocarcinoma) whole cell lysate with ab252345 at 1/20 dilution. Western blot was performed from the immunoprecipitate using ab252345 at 1/1000 dilution. VeriBlot for IP Detection Reagent (HRP) (ab131366), was used for detection at 1/5000 dilution.

Lane 1 : HeLa whole cell lysate 10 μg (Input).
Lane 2 : ab252345 IP in HeLa whole cell lysate.
Lane 3 : Rabbit monoclonal IgG (ab172730) instead of ab252345 in HeLa whole cell lysate.

Blocking and dilution buffer and concentration : 5% NFDM/TBST.
Exposure time : 3 minutes.

This data was developed using the same antibody clone in a different buffer formulation containing PBS, BSA, glycerol, and sodium azide (ab252345).

All lanes:

Immunoprecipitation - Anti-CD105 antibody [EPR19911-220] (<a href='/en-us/products/primary-antibodies/cd105-antibody-epr19911-220-ab252345'>ab252345</a>)

Predicted band size: 118 kDa,70 kDa,85 kDa

Observed band size: 95 kDa

false

Immunohistochemistry (Formalin/PFA-fixed paraffin-embedded sections) - Anti-CD105 antibody [EPR19911-220] - BSA and Azide free (AB252548)
  • IHC-P

Unknown

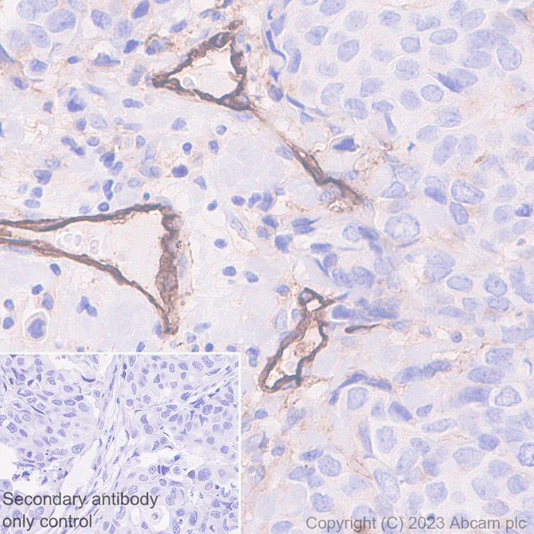
Immunohistochemistry (Formalin/PFA-fixed paraffin-embedded sections) - Anti-CD105 antibody [EPR19911-220] - BSA and Azide free (AB252548)

Immunohistochemical analysis of paraffin-embedded rat kidney tissue labeling CD105 with ab252345 at 1/2000 dilution, followed by the Rabbit specific IHC polymer detection kit HRP/DAB (ab209101) ready to use. Positive staining on peritubular microvasculature of rat kidney (PMID : 25381426) is observed. Counter stained with hematoxylin.

Secondary antibody only control : Used PBS instead of primary antibody, secondary antibody is Rabbit specific IHC polymer detection kit HRP/DAB (ab209101) ready to use.

Heat mediated antigen retrieval with Tris-EDTA buffer (pH 9.0, epitope retrieval solution 2) for 20 minutes.

The section was incubated with ab252345 for 30 mins at RT. The immunostaining was performed on a Leica Biosystems BOND® RX instrument.

This data was developed using the same antibody clone in a different buffer formulation containing PBS, BSA, glycerol, and sodium azide (ab252345).

Western blot - Anti-CD105 antibody [EPR19911-220] - BSA and Azide free (AB252548)
  • WB

Supplier Data

Western blot - Anti-CD105 antibody [EPR19911-220] - BSA and Azide free (AB252548)

This data was developed using ab252345, the same antibody clone in a different buffer formulation.

Blocking and dilution buffer : 5% NFDM/TBST.

Exposure times.

Lane 1 : 26 seconds.

Lane 2 : 6 seconds.

Lane 3 : 3 minutes.

The expression profile / molecular weight observed is consistent with what has been described in the literature (PMID : 12746487; 9872992).

All lanes:

Western blot - Anti-CD105 antibody [EPR19911-220] - BSA and Azide free (ab252548) at 1/1000 dilution

Lane 1:

HeLa (human epithelial cell line from cervix adenocarcinoma) whole cell lysate at 20 µg

Lane 2:

HUVEC (human umbilical vein endothelial cell line) whole cell lysate at 20 µg

Lane 3:

Rat spleen lysate at 20 µg

Secondary

All lanes:

Western blot - Goat Anti-Rabbit IgG H&L (HRP) (<a href='/en-us/products/secondary-antibodies/goat-rabbit-igg-h-l-hrp-ab97051'>ab97051</a>) at 1/10000 dilution

Predicted band size: 70 kDa

Observed band size: 190 kDa,95 kDa

false

Western blot - Anti-CD105 antibody [EPR19911-220] - BSA and Azide free (AB252548)
  • WB

Lab

Western blot - Anti-CD105 antibody [EPR19911-220] - BSA and Azide free (AB252548)

This data was developed using ab252345, the same antibody clone in a different buffer formulation.

Lanes 1 - 4 : Merged signal (red and green). Green - ab252345 observed at 95 kDa. Red - loading control, ab8245, observed at 37 kDa.

ab252345 was shown to recognize ENG (Endoglin) in wild-type HeLa cells as signal was lost at the expected MW in ENG knockout cells. Additional cross-reactive bands were observed in the wild-type and knockout cells. Wild-type and ENG knockout samples were subjected to SDS-PAGE. The membrane was blocked with 3% Milk. ab252345 and ab8245 (Mouse anti GAPDH loading control) were incubated overnight at 4°C at 1 ug/ml and 1/20000 dilution respectively. Blots were developed with Goat anti-Rabbit IgG H&L (IRDye® 800CW) preabsorbed ab216773 and Goat anti-Mouse IgG H&L (IRDye® 680RD) preabsorbed ab216776 secondary antibodies at 1/20000 dilution for 1 hour at room temperature before imaging.

All lanes:

Western blot - Anti-CD105 antibody [EPR19911-220] - BSA and Azide free (ab252548)

Lane 1:

Wild-type HeLa whole cell lysate at 20 µg

Lane 2:

ENG knockout HeLa whole cell lysate at 20 µg

Lane 3:

HUVEC whole cell lysate at 20 µg

Predicted band size: 70 kDa

Observed band size: 95 kDa

false

Key facts

Host species

Rabbit

Clonality

Monoclonal

Clone number

EPR19911-220

Isotype

IgG

Carrier free

Yes

Reacts with

Rat, Human

Applications

WB, IHC-P, IP

applications

Immunogen

The exact immunogen used to generate this antibody is proprietary information.

Reactivity data

{ "title": "Reactivity Data", "filters": { "stats": ["", "Species", "Dilution Info", "Notes"], "tabs": { "all-applications": {"fullname" : "All Applications", "shortname": "All Applications"}, "IP" : {"fullname" : "Immunoprecipitation", "shortname":"IP"}, "FlowCyt" : {"fullname" : "Flow Cytometry", "shortname":"Flow Cyt"}, "WB" : {"fullname" : "Western blot", "shortname":"WB"}, "IHCP" : {"fullname" : "Immunohistochemistry (Formalin/PFA-fixed paraffin-embedded sections)", "shortname":"IHC-P"}, "ICCIF" : {"fullname" : "Immunocytochemistry/ Immunofluorescence", "shortname":"ICC/IF"} }, "product-promise": { "all": "all", "testedAndGuaranteed": "tested", "guaranteed": "expected", "predicted": "predicted", "notRecommended": "not-recommended" } }, "values": { "Human": { "IP-species-checked": "testedAndGuaranteed", "IP-species-dilution-info": "", "IP-species-notes": "<p></p>", "FlowCyt-species-checked": "notRecommended", "FlowCyt-species-dilution-info": "", "FlowCyt-species-notes": "<p></p>", "WB-species-checked": "testedAndGuaranteed", "WB-species-dilution-info": "", "WB-species-notes": "<p></p>", "IHCP-species-checked": "testedAndGuaranteed", "IHCP-species-dilution-info": "", "IHCP-species-notes": "<p></p>", "ICCIF-species-checked": "notRecommended", "ICCIF-species-dilution-info": "", "ICCIF-species-notes": "<p></p>" }, "Rat": { "IP-species-checked": "guaranteed", "IP-species-dilution-info": "", "IP-species-notes": "", "FlowCyt-species-checked": "notRecommended", "FlowCyt-species-dilution-info": "", "FlowCyt-species-notes": "<p></p>", "WB-species-checked": "testedAndGuaranteed", "WB-species-dilution-info": "", "WB-species-notes": "<p></p>", "IHCP-species-checked": "testedAndGuaranteed", "IHCP-species-dilution-info": "", "IHCP-species-notes": "<p></p>", "ICCIF-species-checked": "notRecommended", "ICCIF-species-dilution-info": "", "ICCIF-species-notes": "<p></p>" } } }

Product details

ab252548 is the carrier-free version of ab252345.

Patented technology
Our RabMAb® technology is a patented hybridoma-based technology for making rabbit monoclonal antibodies. For details on our patents, please refer to RabMAb® patents.

What are the advantages of a recombinant monoclonal antibody?
This product is a recombinant monoclonal antibody, which offers several advantages including:

  • - High batch-to-batch consistency and reproducibility
  • - Improved sensitivity and specificity
  • - Long-term security of supply
  • - Animal-free batch production

For more information, read more on recombinant antibodies.

Conjugation ready
Our carrier-free antibodies are typically supplied in a PBS-only formulation, purified and free of BSA, sodium azide and glycerol. This conjugation-ready format is designed for use with fluorochromes, metal isotopes, oligonucleotides, and enzymes, which makes them ideal for antibody labelling, functional and cell-based assays, flow-based assays (e.g. mass cytometry) and Multiplex Imaging applications.

Use our conjugation kits for antibody conjugates that are ready-to-use in as little as 20 minutes with 1 minute hands-on-time and 100% antibody recovery: available for fluorescent dyes, HRP, biotin and gold.

Compatibility
This product is compatible with the Maxpar® Antibody Labeling Kit from Fluidigm, without the need for antibody preparation. Maxpar® is a trademark of Fluidigm Canada Inc.

Properties and storage information

Form
Liquid
Purification technique
Affinity purification Protein A
Storage buffer
pH: 7.2 - 7.4 Constituents: PBS
Shipped at conditions
Blue Ice
Appropriate short-term storage conditions
+4°C
Appropriate long-term storage conditions
+4°C
Storage information
Do Not Freeze

Supplementary information

This supplementary information is collated from multiple sources and compiled automatically.

CD105 also known as endoglin or the CD105 marker is a transmembrane glycoprotein with a molecular weight of approximately 180 kDa. It is a component of the TGF-beta receptor complex and exists in endothelial cells where it is abundantly expressed. Expression of CD105 is higher in proliferating cells particularly in the vasculature. You can also find it in tissues involved in the formation and remodeling of blood vessels such as during angiogenesis.
Biological function summary

Endoglin functions in the regulation of angiogenesis and vascular remodeling. It plays a significant role in mediating cellular responses to TGF-beta signaling influencing endothelial cell proliferation and migration. While not part of a larger structural complex endoglin interacts with receptors and signaling molecules important for vascular development and repair processes. This involvement aids in maintaining endothelial integrity and function under various physiological conditions.

Pathways

CD105 participates in the TGF-beta signaling and angiogenesis pathways. In these pathways it acts in conjunction with other proteins like TGF-beta receptors which play roles in cell differentiation proliferation and apoptosis. The interaction between CD105 and TGF-beta signaling regulates numerous cellular mechanisms impacting angiogenesis and cellular responses to environmental changes.

CD105 has links to hereditary hemorrhagic telangiectasia (HHT) and certain cancers. In HHT mutations in the endoglin gene alter vascular structure leading to the formation of abnormal blood vessels. Oncologically overexpression of CD105 is present in tumor angiogenesis aiding in the progression of certain cancers. Other proteins like VEGF and TGF-beta closely interact with endoglin influencing disease progression and presenting potential targets for therapeutic intervention.

Product protocols

For this product, it's our understanding that no specific protocols are required. You can visit:

Target data

Vascular endothelium glycoprotein that plays an important role in the regulation of angiogenesis (PubMed : 21737454, PubMed : 23300529). Required for normal structure and integrity of adult vasculature (PubMed : 7894484). Regulates the migration of vascular endothelial cells (PubMed : 17540773). Required for normal extraembryonic angiogenesis and for embryonic heart development (By similarity). May regulate endothelial cell shape changes in response to blood flow, which drive vascular remodeling and establishment of normal vascular morphology during angiogenesis (By similarity). May play a critical role in the binding of endothelial cells to integrins and/or other RGD receptors (PubMed : 1692830). Acts as a TGF-beta coreceptor and is involved in the TGF-beta/BMP signaling cascade that ultimately leads to the activation of SMAD transcription factors (PubMed : 21737454, PubMed : 22347366, PubMed : 23300529, PubMed : 8370410). Required for GDF2/BMP9 signaling through SMAD1 in endothelial cells and modulates TGFB1 signaling through SMAD3 (PubMed : 21737454, PubMed : 22347366, PubMed : 23300529).
See full target information ENG

Publications (1)

Recent publications for all applications. Explore the full list and refine your search

Brain and behavior 11:e2380 PubMed34582111

2021

FSC231 alleviates paclitaxel-induced neuralgia by inhibiting the interactions between PICK1 and GluA2 and activates GSK-3β and ERK1/2.

Applications

Unspecified application

Species

Unspecified reactive species

Xi Zhang,Jiagao Wang,Ran Ran,Yuchuan Peng,Yun Xiao
View all publications

Product promise

We are committed to supporting your work with high-quality reagents, and we're here for you every step of the way. In the unlikely event that one of our products does not perform as expected, you're protected by our Product Promise.
For full details, please see our Terms & Conditions

Please note: All products are 'FOR RESEARCH USE ONLY. NOT FOR USE IN DIAGNOSTIC OR THERAPEUTIC PROCEDURES'.

For licensing inquiries, please contact partnerships@abcam.com