JavaScript is disabled in your browser. Please enable JavaScript to view this website.
AB206419

Anti-CD105 antibody [EPR19911]

  • RabMAb
  • Recombinant
  • KO Validated
  • 20ul selling size
  • What is this?

Be the first to review this product! Submit a review

|

(2 Publications)

Rabbit Recombinant Monoclonal CD105 antibody. Suitable for WB, IHC-P and reacts with Human samples. Cited in 2 publications.

View Alternative Names

CD105, END, ENG, Endoglin

4 Images
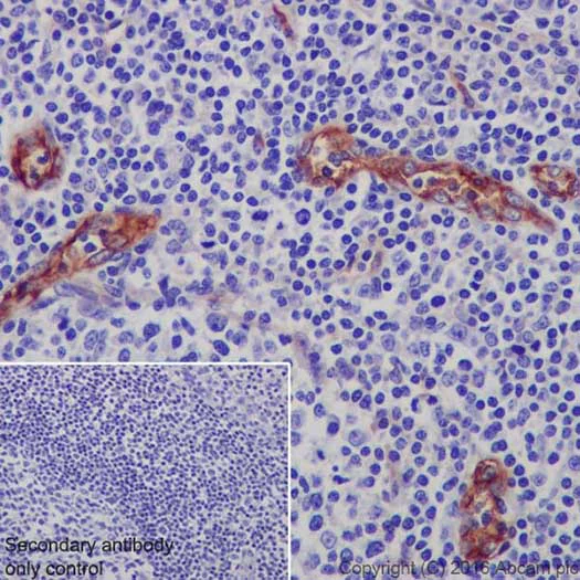
Immunohistochemistry (Formalin/PFA-fixed paraffin-embedded sections) - Anti-CD105 antibody [EPR19911] (AB206419)
  • IHC-P

Supplier Data

Immunohistochemistry (Formalin/PFA-fixed paraffin-embedded sections) - Anti-CD105 antibody [EPR19911] (AB206419)

Immunohistochemical analysis of paraffin-embedded human tonsil tissue labeling CD105 with ab206419 at 1/1000 dilution followed by Goat Anti-Rabbit IgG H&L (HRP) (ab97051) at 1/500 dilution.

Cytoplasm on human tonsil vascular endothelium is observed [PMID : 17502949].

Counter stained with Hematoxylin.

Secondary antibody only control : Used PBS instead of primary antibody secondary antibody is Goat Anti-Rabbit IgG H&L (HRP) (ab97051) at 1/500 dilution.

Perform heat mediated antigen retrieval with Tris/EDTA buffer pH 9.0 before commencing with IHC staining protocol.

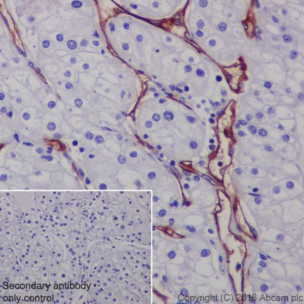
Immunohistochemistry (Formalin/PFA-fixed paraffin-embedded sections) - Anti-CD105 antibody [EPR19911] (AB206419)
  • IHC-P

Supplier Data

Immunohistochemistry (Formalin/PFA-fixed paraffin-embedded sections) - Anti-CD105 antibody [EPR19911] (AB206419)

Immunohistochemical analysis of paraffin-embedded human kidney cancer tissue labeling CD105 with ab206419 at 1/1000 dilution followed by Goat Anti-Rabbit IgG H&L (HRP) (ab97051) at 1/500 dilution.

Cytoplasm on human kidney vascular endothelium is observed.

Counter stained with Hematoxylin.

Secondary antibody only control : Used PBS instead of primary antibody secondary antibody is Goat Anti-Rabbit IgG H&L (HRP) (ab97051) at 1/500 dilution.

Perform heat mediated antigen retrieval with Tris/EDTA buffer pH 9.0 before commencing with IHC staining protocol.

Western blot - Anti-CD105 antibody [EPR19911] (AB206419)
  • WB

Lab

Western blot - Anti-CD105 antibody [EPR19911] (AB206419)

Lanes 1 - 2 : Merged signal (red and green). Green - ab206419 observed at 70 kDa. Red - loading control, ab8245, observed at 37 kDa.

ab206419 was shown to recognize CD105 in wild-type HeLa cells as signal was lost at the expected MW in CD105 knockout cells. Additional cross-reactive bands were observed in the wild-type and knockout cells. Wild-type and CD105 knockout samples were subjected to SDS-PAGE. The membrane was blocked with 3% milk. ab206419 and ab8245 (Mouse anti-GAPDH loading control) were incubated overnight at 4°C at 1/1000 dilution and 1/20000 dilution respectively. Blots were developed with Goat anti-Rabbit IgG H&L (IRDye® 800CW) preabsorbed ab216773 and Goat anti-Mouse IgG H&L (IRDye® 680RD) preabsorbed ab216776 secondary antibodies at 1/20000 dilution for 1 hour at room temperature before imaging.

All lanes:

Western blot - Anti-CD105 antibody [EPR19911] (ab206419) at 1/1000 dilution

Lane 1:

Wild-type HeLa whole cell lysate at 20 µg

Lane 2:

CD105  knockout HeLa whole cell lysate at 20 µg

Predicted band size: 70 kDa

false

Western blot - Anti-CD105 antibody [EPR19911] (AB206419)
  • WB

Supplier Data

Western blot - Anti-CD105 antibody [EPR19911] (AB206419)

Blocking/Dilution buffer : 5% NFDM/TBST.

The molecular weight observed is consistent with what has been described in the literature (PMID : 1692830, PMID : 18223685, PMID : 11164421).

All lanes:

Western blot - Anti-CD105 antibody [EPR19911] (ab206419) at 1/1000 dilution

Lane 1:

THP-1 (Human monocytic leukemia cell line) whole cell lysate at 10 µg

Lane 2:

HUVEC (Human umbilical vein endothelial cell line) whole cell lysate at 10 µg

Lane 3:

Human fetal kidney tissue lysate at 10 µg

Secondary

Lanes 1 - 2:

Western blot - Goat Anti-Rabbit IgG H&L (HRP) (<a href='/en-us/products/secondary-antibodies/goat-rabbit-igg-h-l-hrp-ab97051'>ab97051</a>) at 1/100000 dilution

Lane 3:

Goat Anti-Rabbit IgG Peroxidase Conjugate, specific to the non-reduced form of IgG at 1/10000 dilution

Predicted band size: 70 kDa

Observed band size: 90 kDa,95 kDa

false

Exposure time: 3min

  • Carrier free

    Anti-CD105 antibody [EPR19911] - BSA and Azide free

Key facts

Host species

Rabbit

Clonality

Monoclonal

Clone number

EPR19911

Isotype

IgG

Carrier free

No

Reacts with

Human

Applications

IHC-P, WB

applications

Immunogen

The exact immunogen used to generate this antibody is proprietary information.

Reactivity data

{ "title": "Reactivity Data", "filters": { "stats": ["", "Species", "Dilution Info", "Notes"], "tabs": { "all-applications": {"fullname" : "All Applications", "shortname": "All Applications"}, "WB" : {"fullname" : "Western blot", "shortname":"WB"}, "IHCP" : {"fullname" : "Immunohistochemistry (Formalin/PFA-fixed paraffin-embedded sections)", "shortname":"IHC-P"} }, "product-promise": { "all": "all", "testedAndGuaranteed": "tested", "guaranteed": "expected", "predicted": "predicted", "notRecommended": "not-recommended" } }, "values": { "Human": { "WB-species-checked": "testedAndGuaranteed", "WB-species-dilution-info": "1/1000", "WB-species-notes": "<p></p>", "IHCP-species-checked": "testedAndGuaranteed", "IHCP-species-dilution-info": "1/1000", "IHCP-species-notes": "<p></p> Perform heat-mediated antigen retrieval with Tris/EDTA buffer pH 9.0 before commencing with IHC staining protocol." } } }

Product details

Patented technology
Our RabMAb® technology is a patented hybridoma-based technology for making rabbit monoclonal antibodies. For details on our patents, please refer to RabMAb® patents.

What are the advantages of a recombinant monoclonal antibody?
This product is a recombinant monoclonal antibody, which offers several advantages including:

  • - High batch-to-batch consistency and reproducibility
  • - Improved sensitivity and specificity
  • - Long-term security of supply
  • - Animal-free batch production

For more information, read more on recombinant antibodies.

Properties and storage information

Form
Liquid
Purification technique
Affinity purification Protein A
Storage buffer
pH: 7.2 - 7.4 Preservative: 0.01% Sodium azide Constituents: PBS, 40% Glycerol (glycerin, glycerine), 0.05% BSA
Shipped at conditions
Blue Ice
Appropriate short-term storage duration
1-2 weeks
Appropriate short-term storage conditions
+4°C
Appropriate long-term storage conditions
-20°C
Aliquoting information
Upon delivery aliquot
Storage information
Avoid freeze / thaw cycle

Supplementary information

This supplementary information is collated from multiple sources and compiled automatically.

CD105 also known as endoglin or the CD105 marker is a transmembrane glycoprotein with a molecular weight of approximately 180 kDa. It is a component of the TGF-beta receptor complex and exists in endothelial cells where it is abundantly expressed. Expression of CD105 is higher in proliferating cells particularly in the vasculature. You can also find it in tissues involved in the formation and remodeling of blood vessels such as during angiogenesis.
Biological function summary

Endoglin functions in the regulation of angiogenesis and vascular remodeling. It plays a significant role in mediating cellular responses to TGF-beta signaling influencing endothelial cell proliferation and migration. While not part of a larger structural complex endoglin interacts with receptors and signaling molecules important for vascular development and repair processes. This involvement aids in maintaining endothelial integrity and function under various physiological conditions.

Pathways

CD105 participates in the TGF-beta signaling and angiogenesis pathways. In these pathways it acts in conjunction with other proteins like TGF-beta receptors which play roles in cell differentiation proliferation and apoptosis. The interaction between CD105 and TGF-beta signaling regulates numerous cellular mechanisms impacting angiogenesis and cellular responses to environmental changes.

CD105 has links to hereditary hemorrhagic telangiectasia (HHT) and certain cancers. In HHT mutations in the endoglin gene alter vascular structure leading to the formation of abnormal blood vessels. Oncologically overexpression of CD105 is present in tumor angiogenesis aiding in the progression of certain cancers. Other proteins like VEGF and TGF-beta closely interact with endoglin influencing disease progression and presenting potential targets for therapeutic intervention.

Product protocols

For this product, it's our understanding that no specific protocols are required. You can visit:

Target data

Vascular endothelium glycoprotein that plays an important role in the regulation of angiogenesis (PubMed : 21737454, PubMed : 23300529). Required for normal structure and integrity of adult vasculature (PubMed : 7894484). Regulates the migration of vascular endothelial cells (PubMed : 17540773). Required for normal extraembryonic angiogenesis and for embryonic heart development (By similarity). May regulate endothelial cell shape changes in response to blood flow, which drive vascular remodeling and establishment of normal vascular morphology during angiogenesis (By similarity). May play a critical role in the binding of endothelial cells to integrins and/or other RGD receptors (PubMed : 1692830). Acts as a TGF-beta coreceptor and is involved in the TGF-beta/BMP signaling cascade that ultimately leads to the activation of SMAD transcription factors (PubMed : 21737454, PubMed : 22347366, PubMed : 23300529, PubMed : 8370410). Required for GDF2/BMP9 signaling through SMAD1 in endothelial cells and modulates TGFB1 signaling through SMAD3 (PubMed : 21737454, PubMed : 22347366, PubMed : 23300529).
See full target information ENG

Publications (2)

Recent publications for all applications. Explore the full list and refine your search

Redox biology 82:103613 PubMed40174478

2025

Repression of oxidative phosphorylation by NR2F2, MTERF3 and GDF15 in human skin under high-glucose stress.

Applications

Unspecified application

Species

Unspecified reactive species

S Ley-Ngardigal,S Claverol,L Sobilo,M Moreau,C Hubert,J Goupil,A Poulignon,W Mahfouf,H Fatrouni,L Dard,M Juan,L Gales,A Merched,C Tokarski,E Leblanc,A Galinier,D Lacombe,H R Rezvani,F Bellvert,K Pays,C Nizard,N Dias Amoedo,A L Bulteau,R Rossignol

Frontiers in medicine 9:1003914 PubMed36275794

2022

Establishment of a ccRCC patient-derived chick chorioallantoic membrane model for drug testing.

Applications

Unspecified application

Species

Unspecified reactive species

Martine Charbonneau,Kelly Harper,Karine Brochu-Gaudreau,Alexis Perreault,Patrick P McDonald,Nadia Ekindi-Ndongo,Claudio Jeldres,Claire M Dubois
View all publications

Product promise

We are committed to supporting your work with high-quality reagents, and we're here for you every step of the way. In the unlikely event that one of our products does not perform as expected, you're protected by our Product Promise.
For full details, please see our Terms & Conditions

Please note: All products are 'FOR RESEARCH USE ONLY. NOT FOR USE IN DIAGNOSTIC OR THERAPEUTIC PROCEDURES'.

For licensing inquiries, please contact partnerships@abcam.com