JavaScript is disabled in your browser. Please enable JavaScript to view this website.
AB231832

Anti-CD105 antibody [EPR21846] - BSA and Azide free

Be the first to review this product! Submit a review

|

(1 Publication)

Rabbit Recombinant Monoclonal CD105 antibody. Carrier free. Suitable for IHC-P, IP, Flow Cyt, WB, ICC/IF, IHC-Fr and reacts with Mouse samples. Cited in 1 publication.

View Alternative Names

CD105, Edg, Eng, Endoglin, Cell surface MJ7/18 antigen

7 Images
Immunohistochemistry (Frozen sections) - Anti-CD105 antibody [EPR21846] - BSA and Azide free (AB231832)
  • IHC-Fr

Supplier Data

Immunohistochemistry (Frozen sections) - Anti-CD105 antibody [EPR21846] - BSA and Azide free (AB231832)

Immunohistochemical analysis of 4% paraformaldehyde-fixed, 0.2% Triton X-100 permeabilized frozen mouse liver tissue labeling CD105 with ab221675 at 1/50 dilution, followed by Goat Anti-Rabbit IgG H&L (Alexa Fluor® 488) (ab150077) secondary antibody at 1/500 dilution (green). Positive staining in the hepatic sinusoidal endothelial cells on mouse liver tissue section (PMID : 12947156; 24507660). The nuclear counter stain is DAPI (blue).

Secondary antibody only control : Used PBS instead of primary antibody, secondary antibody is Goat Anti-Rabbit IgG H&L (Alexa Fluor® 488) (ab150077) secondary antibody at 1/500 dilution.

This data was developed using the same antibody clone in a different buffer formulation containing PBS, BSA, glycerol, and sodium azide (ab221675).

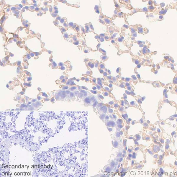
Immunohistochemistry (Formalin/PFA-fixed paraffin-embedded sections) - Anti-CD105 antibody [EPR21846] - BSA and Azide free (AB231832)
  • IHC-P

Supplier Data

Immunohistochemistry (Formalin/PFA-fixed paraffin-embedded sections) - Anti-CD105 antibody [EPR21846] - BSA and Azide free (AB231832)

Immunohistochemical analysis of paraffin-embedded mouse lung tissue labeling CD105 with ab221675 at 1/100 dilution, followed by Rabbit specific IHC polymer detection kit HRP/DAB (ab209101), Ready to use. Positive staining on endothelial cells of mouse lung is observed (PMID : 14528280). Counter stained with Hematoxylin.

Secondary antibody only control : Used PBS instead of primary antibody, secondary antibody is Rabbit specific IHC polymer detection kit HRP/DAB (ab209101), Ready to use.

This data was developed using the same antibody clone in a different buffer formulation containing PBS, BSA, glycerol, and sodium azide (ab221675).

Heat mediated antigen retrieval was performed before commencing with IHC staining protocol.

Flow Cytometry - Anti-CD105 antibody [EPR21846] - BSA and Azide free (AB231832)
  • Flow Cyt

Supplier Data

Flow Cytometry - Anti-CD105 antibody [EPR21846] - BSA and Azide free (AB231832)

Flow cytometric analysis of NIH/3T3 (mouse embryo fibroblast cell line) cell line (left panel) and bEND.3 (mouse brain endothelioma cell line) cell line (right panel) labeling CD105 with ab221675 at 1/500 dilution (red) compared with a Rabbit IgG, monoclonal [EPR25A] - Isotype Control (ab172730) (black) and an unlabeled control (cells without incubation with primary antibody and secondary antibody) (blue). Goat Anti-Rabbit IgG H&L (Alexa Fluor® 488) (ab150077) at 1/2000 dilution was used as the secondary antibody.

Gated on total viable cells.

Negative control : NIH/3T3. (PMID : 8194490).

This data was developed using the same antibody clone in a different buffer formulation containing PBS, BSA, glycerol, and sodium azide (ab221675).

Immunohistochemistry (Formalin/PFA-fixed paraffin-embedded sections) - Anti-CD105 antibody [EPR21846] - BSA and Azide free (AB231832)
  • IHC-P

Supplier Data

Immunohistochemistry (Formalin/PFA-fixed paraffin-embedded sections) - Anti-CD105 antibody [EPR21846] - BSA and Azide free (AB231832)

Immunohistochemical analysis of 4% paraformaldehyde-fixed, 0.2% Triton X-100 permeabilized frozen mouse brain tissue labeling CD105 with ab221675 at 1/50 dilution, followed by Goat Anti-Rabbit IgG H&L (Alexa Fluor® 488) (ab150077) secondary antibody at 1/500 dilution. Positive staining in the endothelial cells of blood vessels in mouse brain tissue section (PMID : 24699047). The nuclear counter stain is DAPI (blue).

Secondary antibody only control : Used PBS instead of primary antibody, secondary antibody is Goat Anti-Rabbit IgG H&L (Alexa Fluor® 488) (ab150077) secondary antibody at 1/500 dilution.

This data was developed using the same antibody clone in a different buffer formulation containing PBS, BSA, glycerol, and sodium azide (ab221675).

Perform heat mediated antigen retrieval before commencing with IHC staining protocol.

Immunocytochemistry/ Immunofluorescence - Anti-CD105 antibody [EPR21846] - BSA and Azide free (AB231832)
  • ICC/IF

Supplier Data

Immunocytochemistry/ Immunofluorescence - Anti-CD105 antibody [EPR21846] - BSA and Azide free (AB231832)

Immunofluorescent analysis of 100% methanol-fixed bEND.3 (mouse brain endothelioma cell line) cells labeling CD105 with ab221675 at 1/1000 dilution, followed by Goat Anti-Rabbit IgG H&L (Alexa Fluor® 488) (ab150077) secondary antibody at 1/1000 dilution (green). Confocal image showing membranous staining in Neuro-2a cell line. Negative control : NIH/3T3 (PMID : 8194490).

The nuclear counter stain is DAPI (blue). Tubulin is detected with Anti-alpha Tubulin antibody [DM1A] - Microtubule Marker (Alexa Fluor® 594) (ab195889) at 1/200 dilution (red).

Secondary antibody only control : Used PBS instead of primary antibody, secondary antibody is Goat Anti-Rabbit IgG H&L (Alexa Fluor® 488) (ab150077) at 1/1000 dilution.

This data was developed using the same antibody clone in a different buffer formulation containing PBS, BSA, glycerol, and sodium azide (ab221675).

Immunohistochemistry (Formalin/PFA-fixed paraffin-embedded sections) - Anti-CD105 antibody [EPR21846] - BSA and Azide free (AB231832)
  • IHC-P

Supplier Data

Immunohistochemistry (Formalin/PFA-fixed paraffin-embedded sections) - Anti-CD105 antibody [EPR21846] - BSA and Azide free (AB231832)

Immunohistochemical analysis of paraffin-embedded mouse E14.5 liver tissue labeling CD105 with ab221675 at 1/100 dilution, followed by Rabbit specific IHC polymer detection kit HRP/DAB (ab209101), Ready to use. Positive staining on endothelial cells of mouse E14.5 liver is observed (PMID : 18805961). Counter stained with Hematoxylin.

Secondary antibody only control : Used PBS instead of primary antibody, secondary antibody is Rabbit specific IHC polymer detection kit HRP/DAB (ab209101), Ready to use.

This data was developed using the same antibody clone in a different buffer formulation containing PBS, BSA, glycerol, and sodium azide (ab221675).

Heat mediated antigen retrieval was performed before commencing with IHC staining protocol.

Immunoprecipitation - Anti-CD105 antibody [EPR21846] - BSA and Azide free (AB231832)
  • IP

Supplier Data

Immunoprecipitation - Anti-CD105 antibody [EPR21846] - BSA and Azide free (AB231832)

CD105 was immunoprecipitated from 0.35 mg of bEND.3 (mouse brain endothelioma cell line) whole cell lysate with ab221675 at 1/30 dilution. Western blot was performed from the immunoprecipitate using ab221675 at 1/1000 dilution. VeriBlot for IP Detection Reagent (HRP) (ab131366), was used for detection at 1/5000 dilution.

Lane 1 : bEND.3 whole cell lysate 10 μg (Input).

Lane 2 : ab221675 IP in bEND.3 whole cell lysate.

Lane 3 : Rabbit monoclonal IgG (ab172730) instead of ab221675 in bEND.3 whole cell lysate.

Blocking and dilution buffer and concentration : 5% NFDM/TBST.

Exposure time : 5 seconds.

This data was developed using the same antibody clone in a different buffer formulation containing PBS, BSA, glycerol, and sodium azide (ab221675).

All lanes:

Immunoprecipitation - Anti-CD105 antibody [EPR21846] (<a href='/en-us/products/primary-antibodies/cd105-antibody-epr21846-ab221675'>ab221675</a>)

Predicted band size: 70 kDa

Observed band size: 95 kDa

false

  • Unconjugated

    Anti-CD105 antibody [EPR21846]

  • 519 Alexa Fluor® 488

    Alexa Fluor® 488 Anti-CD105 antibody [EPR21846]

  • 665 Alexa Fluor® 647

    Alexa Fluor® 647 Anti-CD105 antibody [EPR21846]

  • 578 PE

    PE Anti-CD105 antibody [EPR21846]

  • 519 FITC

    FITC Anti-CD105 antibody [EPR21846]

Key facts

Host species

Rabbit

Clonality

Monoclonal

Clone number

EPR21846

Isotype

IgG

Carrier free

Yes

Reacts with

Mouse

Applications

Flow Cyt, IP, IHC-P, IHC-Fr, ICC/IF, WB

applications

Immunogen

The exact immunogen used to generate this antibody is proprietary information.

Reactivity data

{ "title": "Reactivity Data", "filters": { "stats": ["", "Species", "Dilution Info", "Notes"], "tabs": { "all-applications": {"fullname" : "All Applications", "shortname": "All Applications"}, "IHCP" : {"fullname" : "Immunohistochemistry (Formalin/PFA-fixed paraffin-embedded sections)", "shortname":"IHC-P"}, "IP" : {"fullname" : "Immunoprecipitation", "shortname":"IP"}, "FlowCyt" : {"fullname" : "Flow Cytometry", "shortname":"Flow Cyt"}, "WB" : {"fullname" : "Western blot", "shortname":"WB"}, "ICCIF" : {"fullname" : "Immunocytochemistry/ Immunofluorescence", "shortname":"ICC/IF"}, "IHCFr" : {"fullname" : "Immunohistochemistry (Frozen sections)", "shortname":"IHC-Fr"} }, "product-promise": { "all": "all", "testedAndGuaranteed": "tested", "guaranteed": "expected", "predicted": "predicted", "notRecommended": "not-recommended" } }, "values": { "Mouse": { "IHCP-species-checked": "testedAndGuaranteed", "IHCP-species-dilution-info": "", "IHCP-species-notes": "<p></p>", "IP-species-checked": "testedAndGuaranteed", "IP-species-dilution-info": "", "IP-species-notes": "<p></p>", "FlowCyt-species-checked": "testedAndGuaranteed", "FlowCyt-species-dilution-info": "", "FlowCyt-species-notes": "<p></p>", "WB-species-checked": "guaranteed", "WB-species-dilution-info": "", "WB-species-notes": "<p></p>", "ICCIF-species-checked": "testedAndGuaranteed", "ICCIF-species-dilution-info": "", "ICCIF-species-notes": "<p></p>", "IHCFr-species-checked": "testedAndGuaranteed", "IHCFr-species-dilution-info": "", "IHCFr-species-notes": "<p>Perform heat mediated antigen retrieval by using Tris-EDTA buffer (pH9.0) (<a href='/en-us/products/unavailable/antigen-retrieval-buffer-100x-tris-edta-buffer-ph-90-ab94681'>ab94681</a>).</p>" } } }

Product details

ab231832 is the carrier-free version of ab221675.

Patented technology
Our RabMAb® technology is a patented hybridoma-based technology for making rabbit monoclonal antibodies. For details on our patents, please refer to RabMAb® patents.

What are the advantages of a recombinant monoclonal antibody?
This product is a recombinant monoclonal antibody, which offers several advantages including:

  • - High batch-to-batch consistency and reproducibility
  • - Improved sensitivity and specificity
  • - Long-term security of supply
  • - Animal-free batch production

For more information, read more on recombinant antibodies.

Conjugation ready
Our carrier-free antibodies are typically supplied in a PBS-only formulation, purified and free of BSA, sodium azide and glycerol. This conjugation-ready format is designed for use with fluorochromes, metal isotopes, oligonucleotides, and enzymes, which makes them ideal for antibody labelling, functional and cell-based assays, flow-based assays (e.g. mass cytometry) and Multiplex Imaging applications.

Use our conjugation kits for antibody conjugates that are ready-to-use in as little as 20 minutes with 1 minute hands-on-time and 100% antibody recovery: available for fluorescent dyes, HRP, biotin and gold.

Compatibility
This product is compatible with the Maxpar® Antibody Labeling Kit from Fluidigm, without the need for antibody preparation. Maxpar® is a trademark of Fluidigm Canada Inc.

Properties and storage information

Form
Liquid
Purification technique
Affinity purification Protein A
Storage buffer
pH: 7.2 - 7.4 Constituents: PBS
Shipped at conditions
Blue Ice
Appropriate short-term storage conditions
+4°C
Appropriate long-term storage conditions
+4°C
Storage information
Do Not Freeze

Supplementary information

This supplementary information is collated from multiple sources and compiled automatically.

CD105 also known as endoglin or the CD105 marker is a transmembrane glycoprotein with a molecular weight of approximately 180 kDa. It is a component of the TGF-beta receptor complex and exists in endothelial cells where it is abundantly expressed. Expression of CD105 is higher in proliferating cells particularly in the vasculature. You can also find it in tissues involved in the formation and remodeling of blood vessels such as during angiogenesis.
Biological function summary

Endoglin functions in the regulation of angiogenesis and vascular remodeling. It plays a significant role in mediating cellular responses to TGF-beta signaling influencing endothelial cell proliferation and migration. While not part of a larger structural complex endoglin interacts with receptors and signaling molecules important for vascular development and repair processes. This involvement aids in maintaining endothelial integrity and function under various physiological conditions.

Pathways

CD105 participates in the TGF-beta signaling and angiogenesis pathways. In these pathways it acts in conjunction with other proteins like TGF-beta receptors which play roles in cell differentiation proliferation and apoptosis. The interaction between CD105 and TGF-beta signaling regulates numerous cellular mechanisms impacting angiogenesis and cellular responses to environmental changes.

CD105 has links to hereditary hemorrhagic telangiectasia (HHT) and certain cancers. In HHT mutations in the endoglin gene alter vascular structure leading to the formation of abnormal blood vessels. Oncologically overexpression of CD105 is present in tumor angiogenesis aiding in the progression of certain cancers. Other proteins like VEGF and TGF-beta closely interact with endoglin influencing disease progression and presenting potential targets for therapeutic intervention.

Product protocols

For this product, it's our understanding that no specific protocols are required. You can visit:

Target data

Vascular endothelium glycoprotein that plays an important role in the regulation of angiogenesis (PubMed : 10625534). Required for normal structure and integrity of adult vasculature (By similarity). Regulates the migration of vascular endothelial cells (PubMed : 17540773). Required for normal extraembryonic angiogenesis and for embryonic heart development (PubMed : 10625534). May regulate endothelial cell shape changes in response to blood flow, which drive vascular remodeling and establishment of normal vascular morphology during angiogenesis (PubMed : 28530658). May play a role in the binding of endothelial cells to integrins. Acts as a TGF-beta coreceptor and is involved in the TGF-beta/BMP signaling cascade that ultimately leads to the activation of SMAD transcription factors (PubMed : 23300529). Required for GDF2/BMP9 signaling through SMAD1 in endothelial cells and modulates TGFB1 signaling through SMAD3 (By similarity).
See full target information Eng

Publications (1)

Recent publications for all applications. Explore the full list and refine your search

Clinical and translational medicine 10:e39 PubMed32508058

2020

T-cell activation and immune memory enhancement induced by irreversible electroporation in pancreatic cancer.

Applications

Unspecified application

Species

Unspecified reactive species

Chaobin He,Xin Huang,Yu Zhang,Xiaojun Lin,Shengping Li
View all publications

Product promise

We are committed to supporting your work with high-quality reagents, and we're here for you every step of the way. In the unlikely event that one of our products does not perform as expected, you're protected by our Product Promise.
For full details, please see our Terms & Conditions

Please note: All products are 'FOR RESEARCH USE ONLY. NOT FOR USE IN DIAGNOSTIC OR THERAPEUTIC PROCEDURES'.

For licensing inquiries, please contact partnerships@abcam.com