JavaScript is disabled in your browser. Please enable JavaScript to view this website.
AB238104

Anti-CD116 antibody

Be the first to review this product! Submit a review

|

(1 Publication)

Rabbit Polyclonal CD116 antibody. Suitable for IHC-P and reacts with Human samples. Cited in 1 publication. Immunogen corresponding to Recombinant Fragment Protein within Human CSF2RA aa 1-350.

View Alternative Names

CD116, CSF2R, CSF2RY, CSF2RA, Granulocyte-macrophage colony-stimulating factor receptor subunit alpha, GM-CSF-R-alpha, GMCSFR-alpha, GMR-alpha, CDw116

2 Images
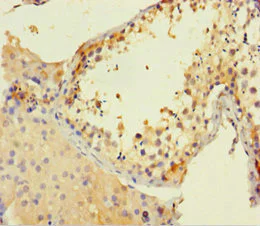
Immunohistochemistry (Formalin/PFA-fixed paraffin-embedded sections) - Anti-CD116 antibody (AB238104)
  • IHC-P

Supplier Data

Immunohistochemistry (Formalin/PFA-fixed paraffin-embedded sections) - Anti-CD116 antibody (AB238104)

Paraffin-embedded human testis tissue stained for CD116 using ab238104 at 1/100 dilution in immunohistochemical analysis.

Immunohistochemistry (Formalin/PFA-fixed paraffin-embedded sections) - Anti-CD116 antibody (AB238104)
  • IHC-P

Supplier Data

Immunohistochemistry (Formalin/PFA-fixed paraffin-embedded sections) - Anti-CD116 antibody (AB238104)

Paraffin-embedded human skin tissue stained for CD116 using ab238104 at 1/100 dilution in immunohistochemical analysis.

Key facts

Host species

Rabbit

Clonality

Polyclonal

Isotype

IgG

Carrier free

No

Reacts with

Human

Applications

IHC-P

applications

Immunogen

Recombinant Fragment Protein within Human CSF2RA aa 1-350. The exact immunogen used to generate this antibody is proprietary information.

P15509

Reactivity data

{ "title": "Reactivity Data", "filters": { "stats": ["", "Species", "Dilution Info", "Notes"], "tabs": { "all-applications": {"fullname" : "All Applications", "shortname": "All Applications"}, "IHCP" : {"fullname" : "Immunohistochemistry (Formalin/PFA-fixed paraffin-embedded sections)", "shortname":"IHC-P"} }, "product-promise": { "all": "all", "testedAndGuaranteed": "tested", "guaranteed": "expected", "predicted": "predicted", "notRecommended": "not-recommended" } }, "values": { "Human": { "IHCP-species-checked": "testedAndGuaranteed", "IHCP-species-dilution-info": "1/20 - 1/200", "IHCP-species-notes": "<p></p>" } } }

Properties and storage information

Form
Liquid
Purification technique
Affinity purification Protein G
Purification notes
Purity greater than 95%.
Storage buffer
pH: 7.4 Preservative: 0.03% Proclin 300 Constituents: PBS, 50% Glycerol (glycerin, glycerine)
Shipped at conditions
Blue Ice
Appropriate short-term storage duration
1-2 weeks
Appropriate short-term storage conditions
+4°C
Appropriate long-term storage conditions
-20°C
Aliquoting information
Upon delivery aliquot
Storage information
Avoid freeze / thaw cycle

Supplementary information

This supplementary information is collated from multiple sources and compiled automatically.

CD116 also known as the CSF2RA (colony-stimulating factor 2 receptor alpha subunit) is a protein that plays an important role in cytokine receptor signaling. It has a mass of approximately 43 kDa. This receptor is widely expressed on the surface of hematopoietic cells including monocytes granulocytes and some T-lymphocytes. Furthermore CD116 presents important interactions with cellular functioning by being part of a heterodimeric receptor complex. It couples with the beta subunit (CSF2RB) together mediating effects of granulocyte-macrophage colony-stimulating factor (GM-CSF).
Biological function summary

The CSF2RA is integral in facilitating cellular communication. It belongs to the cytokine receptor family specifically binding the GM-CSF. This molecule triggers signaling cascades that are essential for the proliferation differentiation and survival of various blood cells. When GM-CSF binds to the receptor complex made of CD116 and CSF2RB it activates downstream pathways influencing these critical processes thereby ensuring proper bone marrow function and immune cell activity.

Pathways

CD116 participates in significant signal transduction cascades. It is involved in the JAK-STAT pathway which plays an important role in regulating immune responses and hematopoiesis. The engagement of GM-CSF with CD116 triggers the activation of JAK kinases followed by STAT protein phosphorylation. Another pathway linked with CD116 is the MAPK pathway which further mediates downstream signals that modulate cellular growth and differentiation integrating input from various activating signals.

Abnormalities in CD116 expression and function associate with several health conditions. One example is chronic myelomonocytic leukemia (CMML) where deregulated signaling through the GM-CSF receptor impacts cell proliferation and differentiation. Aberrant CD116 activity also ties into inflammation and autoimmune disorders such as rheumatoid arthritis where overactive signaling can worsen inflammatory responses. Proteins like GM-CSF and its beta receptor subunit CSF2RB accompany these disorders by contributing to the pathway dysregulation observed in these disease states.

Product protocols

For this product, it's our understanding that no specific protocols are required. You can visit:

Target data

Low affinity receptor for granulocyte-macrophage colony-stimulating factor. Transduces a signal that results in the proliferation, differentiation, and functional activation of hematopoietic cells.
See full target information CSF2RA

Publications (1)

Recent publications for all applications. Explore the full list and refine your search

Open life sciences 19:20220990 PubMed39759103

2025

MFAP5 inhibits the malignant progression of endometrial cancer cells .

Applications

Unspecified application

Species

Unspecified reactive species

Guanying Liang,Zijuan Qi,Chun Du
View all publications

Product promise

We are committed to supporting your work with high-quality reagents, and we're here for you every step of the way. In the unlikely event that one of our products does not perform as expected, you're protected by our Product Promise.
For full details, please see our Terms & Conditions

Please note: All products are 'FOR RESEARCH USE ONLY. NOT FOR USE IN DIAGNOSTIC OR THERAPEUTIC PROCEDURES'.

For licensing inquiries, please contact partnerships@abcam.com