JavaScript is disabled in your browser. Please enable JavaScript to view this website.
AB308295

Anti-CD116 antibody [EPR26505-444] - BSA and Azide free

Be the first to review this product! Submit a review

|

(0 Publication)

Rabbit Recombinant Monoclonal CD116 antibody. Carrier free. Suitable for WB, IHC-P and reacts with Human samples.

View Alternative Names

CD116, CSF2R, CSF2RY, CSF2RA, Granulocyte-macrophage colony-stimulating factor receptor subunit alpha, GM-CSF-R-alpha, GMCSFR-alpha, GMR-alpha, CDw116

4 Images
Immunohistochemistry (Formalin/PFA-fixed paraffin-embedded sections) - Anti-CD116 antibody [EPR26505-444] - BSA and Azide free (AB308295)
  • IHC-P

Supplier Data

Immunohistochemistry (Formalin/PFA-fixed paraffin-embedded sections) - Anti-CD116 antibody [EPR26505-444] - BSA and Azide free (AB308295)

This data was produced using ab308294, the same clone but in a different formulation. Immunohistochemical analysis of paraffin-embedded human diffuse large B-cell lymphoma tissue labeling CD116 with ab308294 at 1/100 dilution (5.04 ug/ml) followed by ready to use Rabbit specific IHC polymer detection kit HRP/DAB (ab209101). Positive staining on human diffuse large B-cell lymphoma. The section was incubated with ab308294 for 30 mins at room temperature. The immunostaining was performed on a Leica Biosystems BOND® RX instrument. Counterstained with Hematoxylin. Secondary antibody only control : Secondary antibody is ready to use Rabbit specific IHC polymer detection kit HRP/DAB (ab209101). Heat mediated antigen retrieval was performed with Tris-EDTA buffer (pH 9.0, Epitope Retrieval Solution2) for 20 mins.

Immunohistochemistry (Formalin/PFA-fixed paraffin-embedded sections) - Anti-CD116 antibody [EPR26505-444] - BSA and Azide free (AB308295)
  • IHC-P

Supplier Data

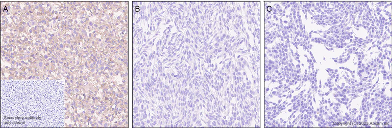
Immunohistochemistry (Formalin/PFA-fixed paraffin-embedded sections) - Anti-CD116 antibody [EPR26505-444] - BSA and Azide free (AB308295)

This data was produced using ab308294, the same clone but in a different formulation. Immunohistochemical analysis of paraffin-embedded cell pellets labeling CD116 with ab308294 at 1/100 dilution (5.04 ug/ml) followed by ready to use Rabbit specific IHC polymer detection kit HRP/DAB (ab209101). Positive staining on SK-MEL-2 (image A), no staining on MCF7 (image B) and HT-29 (image C). The section was incubated with ab308294 for 30 mins at room temperature. The immunostaining was performed on a Leica Biosystems BOND® RX instrument. Counterstained with Hematoxylin. Secondary antibody only control : Secondary antibody is ready to use Rabbit specific IHC polymer detection kit HRP/DAB (ab209101). Heat mediated antigen retrieval was performed with Tris-EDTA buffer (pH 9.0, Epitope Retrieval Solution2) for 20 mins.

Immunohistochemistry (Formalin/PFA-fixed paraffin-embedded sections) - Anti-CD116 antibody [EPR26505-444] - BSA and Azide free (AB308295)
  • IHC-P

Supplier Data

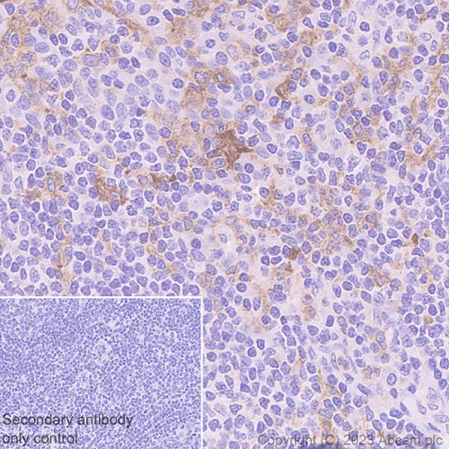
Immunohistochemistry (Formalin/PFA-fixed paraffin-embedded sections) - Anti-CD116 antibody [EPR26505-444] - BSA and Azide free (AB308295)

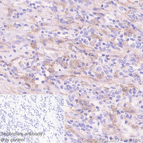
This data was produced using ab308294, the same clone but in a different formulation. Immunohistochemical analysis of paraffin-embedded human tonsil tissue labeling CD116 with ab308294 at 1/100 dilution (5.04 ug/ml) followed by ready to use Rabbit specific IHC polymer detection kit HRP/DAB (ab209101). Positive staining on human tonsil. The section was incubated with ab308294 for 30 mins at room temperature. The immunostaining was performed on a Leica Biosystems BOND® RX instrument. Counterstained with Hematoxylin. Secondary antibody only control : Secondary antibody is ready to use Rabbit specific IHC polymer detection kit HRP/DAB (ab209101). Heat mediated antigen retrieval was performed with Tris-EDTA buffer (pH 9.0, Epitope Retrieval Solution2) for 20 mins.

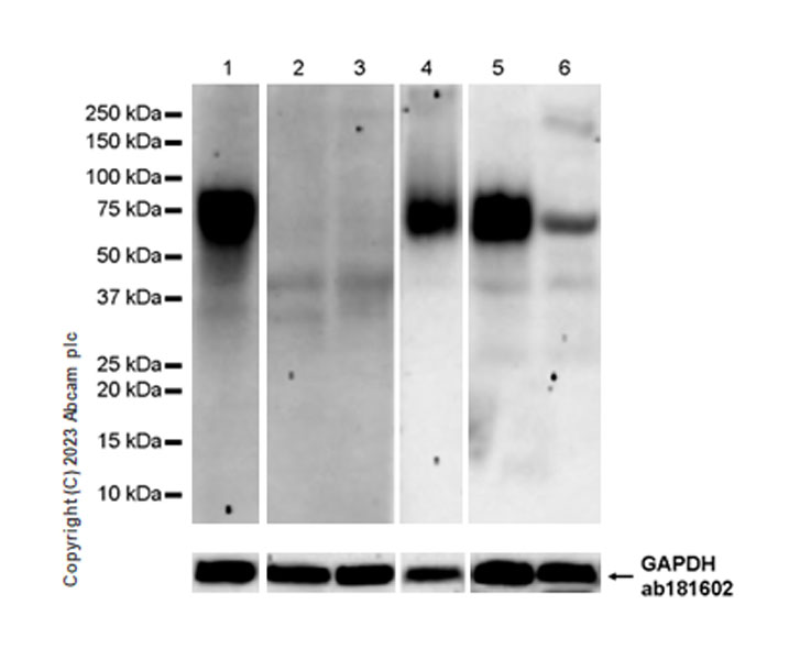
Western blot - Anti-CD116 antibody [EPR26505-444] - BSA and Azide free (AB308295)
  • WB

Supplier Data

Western blot - Anti-CD116 antibody [EPR26505-444] - BSA and Azide free (AB308295)

Blocking and diluting buffer and concentration : 5% NFDM/TBST

This blot was developed using a high sensitivity ECL substrate. The high-sensitivity ECL substrate used allows for the detection of proteins in the mid-femtogram range.

Low expression : HT-29(PMID : 28811578), MCF7, human colon.

In Western blot, anti-GAPDH antibody (ab181602) loading control staining at 1/200, 000 dilution.

The higher molecular weight observed is due to the high glycosylation of this receptor.

All lanes:

Western blot - Anti-CD116 antibody [EPR26505-444] (<a href='/en-us/products/primary-antibodies/cd116-antibody-epr26505-444-ab308294'>ab308294</a>) at 1/1000 dilution

Lane 1:

SK-MEL-2 whole cell lysate at 20 µg

Lane 2:

HT-29 whole cell lysate at 20 µg

Lane 3:

MCF7 whole cell lysate at 20 µg

Lane 4:

Human placenta tissue lysate at 20 µg

Lane 5:

Human lymphoma tissue lysate at 20 µg

Lane 6:

Human colon tissue lysate at 20 µg

Secondary

Lanes 1 - 6:

Goat Anti-Rabbit IgG (HRP) with minimal cross-reactivity with human IgG at 1/20000 dilution

Lanes 1 - 6:

Western blot - Goat Anti-Rabbit IgG H&L (HRP) (<a href='/en-us/products/secondary-antibodies/goat-rabbit-igg-h-l-hrp-ab97051'>ab97051</a>) at 1/2000 dilution

Observed band size: 80 kDa

true

Exposure time: 92s

Key facts

Host species

Rabbit

Clonality

Monoclonal

Clone number

EPR26505-444

Isotype

IgG

Carrier free

Yes

Reacts with

Human

Applications

IHC-P, WB

applications

Immunogen

The exact immunogen used to generate this antibody is proprietary information.

Reactivity data

{ "title": "Reactivity Data", "filters": { "stats": ["", "Species", "Dilution Info", "Notes"], "tabs": { "all-applications": {"fullname" : "All Applications", "shortname": "All Applications"}, "WB" : {"fullname" : "Western blot", "shortname":"WB"}, "IHCP" : {"fullname" : "Immunohistochemistry (Formalin/PFA-fixed paraffin-embedded sections)", "shortname":"IHC-P"}, "ICCIF" : {"fullname" : "Immunocytochemistry/ Immunofluorescence", "shortname":"ICC/IF"}, "FlowCyt" : {"fullname" : "Flow Cytometry", "shortname":"Flow Cyt"}, "IP" : {"fullname" : "Immunoprecipitation", "shortname":"IP"} }, "product-promise": { "all": "all", "testedAndGuaranteed": "tested", "guaranteed": "expected", "predicted": "predicted", "notRecommended": "not-recommended" } }, "values": { "Human": { "WB-species-checked": "testedAndGuaranteed", "WB-species-dilution-info": "", "WB-species-notes": "<p></p>", "IHCP-species-checked": "testedAndGuaranteed", "IHCP-species-dilution-info": "", "IHCP-species-notes": "<p></p>", "ICCIF-species-checked": "notRecommended", "ICCIF-species-dilution-info": "", "ICCIF-species-notes": "<p></p>", "FlowCyt-species-checked": "notRecommended", "FlowCyt-species-dilution-info": "", "FlowCyt-species-notes": "<p></p>", "IP-species-checked": "notRecommended", "IP-species-dilution-info": "", "IP-species-notes": "<p></p>" }, "Mouse": { "WB-species-checked": "notRecommended", "WB-species-dilution-info": "", "WB-species-notes": "<p></p>", "IHCP-species-checked": "notRecommended", "IHCP-species-dilution-info": "", "IHCP-species-notes": "<p></p>", "ICCIF-species-checked": "notRecommended", "ICCIF-species-dilution-info": "", "ICCIF-species-notes": "<p></p>", "FlowCyt-species-checked": "notRecommended", "FlowCyt-species-dilution-info": "", "FlowCyt-species-notes": "<p></p>", "IP-species-checked": "notRecommended", "IP-species-dilution-info": "", "IP-species-notes": "<p></p>" }, "Rat": { "WB-species-checked": "notRecommended", "WB-species-dilution-info": "", "WB-species-notes": "<p></p>", "IHCP-species-checked": "notRecommended", "IHCP-species-dilution-info": "", "IHCP-species-notes": "<p></p>", "ICCIF-species-checked": "notRecommended", "ICCIF-species-dilution-info": "", "ICCIF-species-notes": "", "FlowCyt-species-checked": "notRecommended", "FlowCyt-species-dilution-info": "", "FlowCyt-species-notes": "", "IP-species-checked": "notRecommended", "IP-species-dilution-info": "", "IP-species-notes": "" } } }

Product details

Patented technology
Our RabMAb® technology is a patented hybridoma-based technology for making rabbit monoclonal antibodies. For details on our patents, please refer to RabMAb® patents.

What are the advantages of a recombinant monoclonal antibody?
This product is a recombinant monoclonal antibody, which offers several advantages including:

  • - High batch-to-batch consistency and reproducibility
  • - Improved sensitivity and specificity
  • - Long-term security of supply
  • - Animal-free batch production

For more information, read more on recombinant antibodies.

Conjugation ready
Our carrier-free antibodies are typically supplied in a PBS-only formulation, purified and free of BSA, sodium azide and glycerol. This conjugation-ready format is designed for use with fluorochromes, metal isotopes, oligonucleotides, and enzymes, which makes them ideal for antibody labelling, functional and cell-based assays, flow-based assays (e.g. mass cytometry) and Multiplex Imaging applications.

Use our conjugation kits for antibody conjugates that are ready-to-use in as little as 20 minutes with 1 minute hands-on-time and 100% antibody recovery: available for fluorescent dyes, HRP, biotin and gold.

Compatibility
This product is compatible with the Maxpar® Antibody Labeling Kit from Fluidigm, without the need for antibody preparation. Maxpar® is a trademark of Fluidigm Canada Inc.

Properties and storage information

Form
Liquid
Purification technique
Affinity purification Protein A
Storage buffer
pH: 7.2 - 7.4 Constituents: PBS
Shipped at conditions
Blue Ice
Appropriate short-term storage conditions
+4°C
Appropriate long-term storage conditions
+4°C

Supplementary information

This supplementary information is collated from multiple sources and compiled automatically.

CD116 also known as the CSF2RA (colony-stimulating factor 2 receptor alpha subunit) is a protein that plays an important role in cytokine receptor signaling. It has a mass of approximately 43 kDa. This receptor is widely expressed on the surface of hematopoietic cells including monocytes granulocytes and some T-lymphocytes. Furthermore CD116 presents important interactions with cellular functioning by being part of a heterodimeric receptor complex. It couples with the beta subunit (CSF2RB) together mediating effects of granulocyte-macrophage colony-stimulating factor (GM-CSF).
Biological function summary

The CSF2RA is integral in facilitating cellular communication. It belongs to the cytokine receptor family specifically binding the GM-CSF. This molecule triggers signaling cascades that are essential for the proliferation differentiation and survival of various blood cells. When GM-CSF binds to the receptor complex made of CD116 and CSF2RB it activates downstream pathways influencing these critical processes thereby ensuring proper bone marrow function and immune cell activity.

Pathways

CD116 participates in significant signal transduction cascades. It is involved in the JAK-STAT pathway which plays an important role in regulating immune responses and hematopoiesis. The engagement of GM-CSF with CD116 triggers the activation of JAK kinases followed by STAT protein phosphorylation. Another pathway linked with CD116 is the MAPK pathway which further mediates downstream signals that modulate cellular growth and differentiation integrating input from various activating signals.

Abnormalities in CD116 expression and function associate with several health conditions. One example is chronic myelomonocytic leukemia (CMML) where deregulated signaling through the GM-CSF receptor impacts cell proliferation and differentiation. Aberrant CD116 activity also ties into inflammation and autoimmune disorders such as rheumatoid arthritis where overactive signaling can worsen inflammatory responses. Proteins like GM-CSF and its beta receptor subunit CSF2RB accompany these disorders by contributing to the pathway dysregulation observed in these disease states.

Product protocols

For this product, it's our understanding that no specific protocols are required. You can visit:

Target data

Low affinity receptor for granulocyte-macrophage colony-stimulating factor. Transduces a signal that results in the proliferation, differentiation, and functional activation of hematopoietic cells.
See full target information CSF2RA

Product promise

We are committed to supporting your work with high-quality reagents, and we're here for you every step of the way. In the unlikely event that one of our products does not perform as expected, you're protected by our Product Promise.
For full details, please see our Terms & Conditions

Please note: All products are 'FOR RESEARCH USE ONLY. NOT FOR USE IN DIAGNOSTIC OR THERAPEUTIC PROCEDURES'.

For licensing inquiries, please contact partnerships@abcam.com