JavaScript is disabled in your browser. Please enable JavaScript to view this website.
AB246701

Anti-CD11a antibody [EP1285Y] - Low endotoxin, Azide free

Be the first to review this product! Submit a review

|

(0 Publication)

Rabbit Recombinant Monoclonal ITAL antibody. Carrier free. Suitable for IP, Flow Cyt, WB, ICC/IF, IHC-P and reacts with Human samples.

View Alternative Names

CD11a, CD11A, ITGAL, Integrin alpha-L, CD11 antigen-like family member A, Leukocyte adhesion glycoprotein LFA-1 alpha chain, Leukocyte function-associated molecule 1 alpha chain, LFA-1A

5 Images
Immunohistochemistry (Formalin/PFA-fixed paraffin-embedded sections) - Anti-CD11a antibody [EP1285Y] - Low endotoxin, Azide free (AB246701)
  • IHC-P

Unknown

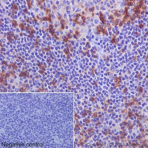
Immunohistochemistry (Formalin/PFA-fixed paraffin-embedded sections) - Anti-CD11a antibody [EP1285Y] - Low endotoxin, Azide free (AB246701)

Immunohistochemical analysis of paraffin-embedded human tonsil labeling CD11a with ab52895 at 1/1000 dilution, followed by Goat Anti-Rabbit IgG H&L (HRP) (ab79051) at 1/500 dilution. Membrane/cytoplasm staining on lymphocytes of human tonsil is observed. The negative control utilized PBS instead of primary antibody. Counterstained with hematoxylin.

This data was developed using the same antibody clone in a different buffer formulation containing PBS, BSA, glycerol and sodium azide (ab52895).

Perform heat mediated antigen retrieval with Tris/EDTA buffer pH 9.0 before commencing with IHC staining protocol.

Flow Cytometry - Anti-CD11a antibody [EP1285Y] - Low endotoxin, Azide free (AB246701)
  • Flow Cyt

Unknown

Flow Cytometry - Anti-CD11a antibody [EP1285Y] - Low endotoxin, Azide free (AB246701)

Flow cytometry analysis of 2% paraformaldehyde fixed Jurkat (Human T cell leukemia cells from peripheral blood) cells labeling CD11a with ab52895 at 1/50 dilution (red line). Secondary antibody used is a goat anti rabbit IgG (FITC) at 1/150 dilution. The isotype control is rabbit monoclonal IgG (black line). The unlabeled control is cells without incubation with primary and secondary antibodies (blue line).

This data was developed using the same antibody clone in a different buffer formulation containing PBS, BSA, glycerol and sodium azide (ab52895).

Immunocytochemistry/ Immunofluorescence - Anti-CD11a antibody [EP1285Y] - Low endotoxin, Azide free (AB246701)
  • ICC/IF

Unknown

Immunocytochemistry/ Immunofluorescence - Anti-CD11a antibody [EP1285Y] - Low endotoxin, Azide free (AB246701)

Immunofluorescent analysis of 4% paraformaldehyde-fixed, 0.1% Triton X-100 permeabilized Jurkat (Human T cell leukemia cells from peripheral blood) cells labeling CD11a with ab52895 at 1/100 dilution. Goat anti-rabbit IgG (Alexa Fluor® 488) (ab150077) at 1/400 dilution was used as the secondary antibody (green). Confocal image shows membrane and cytoplasmic staining on Jurkat cells. The nuclear counter stain is DAPI (blue). Tubulin is detected with ab7291 (anti-Tubulin mouse mAb) at 1/500 and ab150120 (AlexaFluor®594 Goat anti-Mouse secondary) at 1/500 dilution (red).
The negative controls are as follows;
1. ab52895 at 1/100 dilution followed by ab150120 (AlexaFluor®594 Goat anti-Mouse secondary) at 1/500 dilution.
2. ab7291 (anti-Tubulin mouse mAb) at 1/500 dilution followed by ab150077 (Alexa Fluor®488 Goat Anti-Rabbit IgG H&L) at 1/400 dilution.

This data was developed using the same antibody clone in a different buffer formulation containing PBS, BSA, glycerol and sodium azide (ab52895).

Immunohistochemistry (Formalin/PFA-fixed paraffin-embedded sections) - Anti-CD11a antibody [EP1285Y] - Low endotoxin, Azide free (AB246701)
  • IHC-P

Unknown

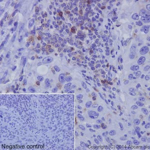
Immunohistochemistry (Formalin/PFA-fixed paraffin-embedded sections) - Anti-CD11a antibody [EP1285Y] - Low endotoxin, Azide free (AB246701)

Immunohistochemical analysis of paraffin-embedded human squamous cell cervical carcinoma labeling CD11a with ab52895 at 1/1000 dilution, followed by Goat Anti-Rabbit IgG H&L (HRP) (ab79051) at 1/500 dilution. Membrane/cytoplasmic staining on stromal inflammatory cells of human cervical cancer is observed. The negative control utilized PBS instead of primary antibody. Counterstained with hematoxylin.

This data was developed using the same antibody clone in a different buffer formulation containing PBS, BSA, glycerol and sodium azide (ab52895).

Perform heat mediated antigen retrieval with Tris/EDTA buffer pH 9.0 before commencing with IHC staining protocol.

Immunoprecipitation - Anti-CD11a antibody [EP1285Y] - Low endotoxin, Azide free (AB246701)
  • IP

Unknown

Immunoprecipitation - Anti-CD11a antibody [EP1285Y] - Low endotoxin, Azide free (AB246701)

CD11a was immunoprecipitated from 1mg of Jurkat (Human T cell leukemia cells from peripheral blood) whole cell lysates using ab52895 at 1/50 dilution. Western blot was performed from the immunoprecipitate using ab52895 at 1/1000 dilution. Anti-Rabbit IgG (HRP), specific to the non-reduced form of IgG, was used as secondary antibody at 1/1000 dilution.
Blocking and dilution buffer and concentration : 5% NFDM/TBST.

This data was developed using the same antibody clone in a different buffer formulation containing PBS, BSA, glycerol and sodium azide (ab52895).

All lanes:

Immunoprecipitation - Anti-CD11a antibody [EP1285Y] (<a href='/en-us/products/primary-antibodies/cd11a-antibody-ep1285y-ab52895'>ab52895</a>)

Predicted band size: 128 kDa

Observed band size: 180 kDa

false

Key facts

Host species

Rabbit

Clonality

Monoclonal

Clone number

EP1285Y

Isotype

IgG

Carrier free

Yes

Reacts with

Human

Applications

WB, ICC/IF, IHC-P, Flow Cyt, IP

applications

Immunogen

The exact immunogen used to generate this antibody is proprietary information.

Reactivity data

{ "title": "Reactivity Data", "filters": { "stats": ["", "Species", "Dilution Info", "Notes"], "tabs": { "all-applications": {"fullname" : "All Applications", "shortname": "All Applications"}, "IP" : {"fullname" : "Immunoprecipitation", "shortname":"IP"}, "FlowCyt" : {"fullname" : "Flow Cytometry", "shortname":"Flow Cyt"}, "WB" : {"fullname" : "Western blot", "shortname":"WB"}, "ICCIF" : {"fullname" : "Immunocytochemistry/ Immunofluorescence", "shortname":"ICC/IF"}, "IHCP" : {"fullname" : "Immunohistochemistry (Formalin/PFA-fixed paraffin-embedded sections)", "shortname":"IHC-P"} }, "product-promise": { "all": "all", "testedAndGuaranteed": "tested", "guaranteed": "expected", "predicted": "predicted", "notRecommended": "not-recommended" } }, "values": { "Human": { "IP-species-checked": "testedAndGuaranteed", "IP-species-dilution-info": "", "IP-species-notes": "<p></p>", "FlowCyt-species-checked": "testedAndGuaranteed", "FlowCyt-species-dilution-info": "", "FlowCyt-species-notes": "<p><a href='/en-us/products/primary-antibodies/rabbit-igg-monoclonal-epr25a-isotype-control-low-endotoxin-azide-free-ab199376'>ab199376</a> - Rabbit monoclonal IgG (Low endotoxin, Azide free), is suitable for use as an isotype control with this antibody.</p>", "WB-species-checked": "guaranteed", "WB-species-dilution-info": "", "WB-species-notes": "<p></p>", "ICCIF-species-checked": "testedAndGuaranteed", "ICCIF-species-dilution-info": "", "ICCIF-species-notes": "<p></p>", "IHCP-species-checked": "testedAndGuaranteed", "IHCP-species-dilution-info": "", "IHCP-species-notes": "<p></p>" }, "Cynomolgus monkey": { "IP-species-checked": "predicted", "IP-species-dilution-info": "", "IP-species-notes": "", "FlowCyt-species-checked": "predicted", "FlowCyt-species-dilution-info": "", "FlowCyt-species-notes": "", "WB-species-checked": "predicted", "WB-species-dilution-info": "", "WB-species-notes": "", "ICCIF-species-checked": "predicted", "ICCIF-species-dilution-info": "", "ICCIF-species-notes": "", "IHCP-species-checked": "predicted", "IHCP-species-dilution-info": "", "IHCP-species-notes": "" } } }

Product details

ab246701 is the carrier-free version of ab52895.

Species reactivity
Mouse, Rat: We have preliminary internal testing data to indicate this antibody may not react with these species.
Please contact us for more information.

Patented technology
Our RabMAb® technology is a patented hybridoma-based technology for making rabbit monoclonal antibodies. For details on our patents, please refer to RabMAb® patents.

What are the advantages of a recombinant monoclonal antibody?
This product is a recombinant monoclonal antibody, which offers several advantages including:

  • - High batch-to-batch consistency and reproducibility
  • - Improved sensitivity and specificity
  • - Long-term security of supply
  • - Animal-free batch production

For more information, read more on recombinant antibodies.

Conjugation ready
Our carrier-free antibodies are typically supplied in a PBS-only formulation, purified and free of BSA, sodium azide and glycerol. This conjugation-ready format is designed for use with fluorochromes, metal isotopes, oligonucleotides, and enzymes, which makes them ideal for antibody labelling, functional and cell-based assays, flow-based assays (e.g. mass cytometry) and Multiplex Imaging applications.

Use our conjugation kits for antibody conjugates that are ready-to-use in as little as 20 minutes with 1 minute hands-on-time and 100% antibody recovery: available for fluorescent dyes, HRP, biotin and gold.

What does low endotoxin mean?
Our low endotoxin, azide-free formats have low endotoxin level (1 EU/mg, determined by the TAL assay) and are free from azide, to achieve consistent experimental results in functional assays.

Properties and storage information

Form
Liquid
Purification technique
Affinity purification Protein A
Purification notes
Endotoxin level is less than 1 EU/ml as determined by the TAL test.
Storage buffer
pH: 7.2 - 7.4 Constituents: PBS
Shipped at conditions
Blue Ice
Appropriate short-term storage conditions
+4°C
Appropriate long-term storage conditions
+4°C
Storage information
Do Not Freeze

Supplementary information

This supplementary information is collated from multiple sources and compiled automatically.

CD11a also known as ITGAL and LFA-1 alpha chain or integrin alpha L is a protein that functions as an important component of the immune system. It has a molecular mass of approximately 180 kDa. CD11a is expressed predominantly in leukocytes enabling these immune cells to adhere and interact with other cells. This adhesive property is especially critical in the trafficking of leukocytes to sites of inflammation and infection. CD11a pairs with CD18 to form the leukocyte function-associated antigen-1 (LFA-1) complex which plays a significant role in cell signaling and immune responses.
Biological function summary

This protein enables leukocyte adhesion and transendothelial migration which are essential for the immune surveillance process. CD11a is a part of the integrin family known for regulating cell adhesion and interactions with the extracellular matrix. By forming a heterodimer with CD18 it mediates tight adhesion between immune cells and endothelial cells. This interaction aids in the immune response by enhancing the activation and movement of T cells and other leukocytes through the vascular endothelium into tissues.

Pathways

The protein participates in the immune cell trafficking pathway and the integrin signaling pathway. In these pathways CD11a contributes to the modulation of immune responses and cell movement. The interaction of CD11a with intercellular adhesion molecule 1 (ICAM-1) and other proteins within these pathways emphasizes its role in the firm adhesion of leukocytes during inflammation and infection ultimately facilitating leukocyte extravasation and tissue infiltration.

CD11a is highly relevant to autoimmune diseases such as psoriasis and multiple sclerosis. For instance in psoriasis the overactive immune response involves overexpression of integrins including CD11a leading to inflammation. The protein Efalizumab a monoclonal antibody against CD11a has been used in the treatment of psoriasis to reduce leukocyte adhesion and activation. Such relationships highlight CD11a's critical role in both normal immune function and pathological conditions.

Product protocols

For this product, it's our understanding that no specific protocols are required. You can visit:

Target data

Integrin ITGAL/ITGB2 is a receptor for ICAM1, ICAM2, ICAM3 and ICAM4. Integrin ITGAL/ITGB2 is a receptor for F11R (PubMed : 11812992, PubMed : 15528364). Integrin ITGAL/ITGB2 is a receptor for the secreted form of ubiquitin-like protein ISG15; the interaction is mediated by ITGAL (PubMed : 29100055). Involved in a variety of immune phenomena including leukocyte-endothelial cell interaction, cytotoxic T-cell mediated killing, and antibody dependent killing by granulocytes and monocytes. Contributes to natural killer cell cytotoxicity (PubMed : 15356110). Involved in leukocyte adhesion and transmigration of leukocytes including T-cells and neutrophils (PubMed : 11812992). Acts as a platform at the immunological synapse to translate TCR engagement and density of the ITGAL ligand ICAM1 into graded adhesion (PubMed : 38195629). Required for generation of common lymphoid progenitor cells in bone marrow, indicating a role in lymphopoiesis (By similarity). Integrin ITGAL/ITGB2 in association with ICAM3, contributes to apoptotic neutrophil phagocytosis by macrophages (PubMed : 23775590).
See full target information ITGAL

Product promise

We are committed to supporting your work with high-quality reagents, and we're here for you every step of the way. In the unlikely event that one of our products does not perform as expected, you're protected by our Product Promise.
For full details, please see our Terms & Conditions

Please note: All products are 'FOR RESEARCH USE ONLY. NOT FOR USE IN DIAGNOSTIC OR THERAPEUTIC PROCEDURES'.

For licensing inquiries, please contact partnerships@abcam.com