JavaScript is disabled in your browser. Please enable JavaScript to view this website.
AB228964

Anti-CD11a antibody [EPR22578-312]

Be the first to review this product! Submit a review

|

(5 Publications)

Rabbit Recombinant Monoclonal ITAL antibody. Suitable for WB, IHC-P and reacts with Mouse samples. Cited in 5 publications.

View Alternative Names

CD11a, Lfa-1, Ly-15, Itgal, Integrin alpha-L, CD11 antigen-like family member A, Leukocyte adhesion glycoprotein LFA-1 alpha chain, Leukocyte function-associated molecule 1 alpha chain, Lymphocyte antigen 15, LFA-1A

6 Images
Immunohistochemistry (Formalin/PFA-fixed paraffin-embedded sections) - Anti-CD11a antibody [EPR22578-312] (AB228964)
  • IHC-P

Unknown

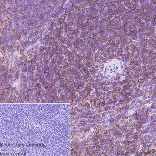
Immunohistochemistry (Formalin/PFA-fixed paraffin-embedded sections) - Anti-CD11a antibody [EPR22578-312] (AB228964)

Immunohistochemical analysis of paraffin-embedded mouse spleen tissue labeling CD11a with ab228964 at 1/4000 dilution followed by a ready to use Rabbit specific IHC polymer detection kit HRP/DAB (ab209101). Membranous staining on the mouse spleen (PMID : 2185332). The section was incubated with ab228964 for 15 mins at room temperature. The immunostaining was performed on a Leica Biosystems BOND® RX instrument. Counterstained with hematoxylin.

Secondary antibody only control : Secondary antibody is a ready to use Rabbit specific IHC polymer detection kit HRP/DAB (ab209101).

Heat mediated antigen retrieval with Tris-EDTA buffer (pH 9.0, epitope retrieval solution 2) for 20 mins.

Immunohistochemistry (Formalin/PFA-fixed paraffin-embedded sections) - Anti-CD11a antibody [EPR22578-312] (AB228964)
  • IHC-P

Unknown

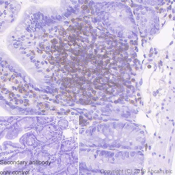
Immunohistochemistry (Formalin/PFA-fixed paraffin-embedded sections) - Anti-CD11a antibody [EPR22578-312] (AB228964)

Immunohistochemical analysis of paraffin-embedded mouse small intestine tissue labeling CD11a with ab228964 at 1/4000 dilution followed by a ready to use Rabbit specific IHC polymer detection kit HRP/DAB (ab209101). Membranous staining on the immune cells in the mouse small intestine. The section was incubated with ab228964 for 15 mins at room temperature. The immunostaining was performed on a Leica Biosystems BOND® RX instrument. Counterstained with Hematoxylin.

Secondary antibody only control : Secondary antibody is a ready to use Rabbit specific IHC polymer detection kit HRP/DAB (ab209101).

Heat mediated antigen retrieval with Tris-EDTA buffer (pH 9.0, epitope retrieval solution 2) for 20 mins.

Immunohistochemistry (Formalin/PFA-fixed paraffin-embedded sections) - Anti-CD11a antibody [EPR22578-312] (AB228964)
  • IHC-P

Unknown

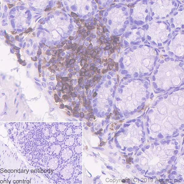
Immunohistochemistry (Formalin/PFA-fixed paraffin-embedded sections) - Anti-CD11a antibody [EPR22578-312] (AB228964)

Immunohistochemical analysis of paraffin-embedded mouse colon tissue labeling CD11a with ab228964 at 1/4000 dilution followed by a ready to use Rabbit specific IHC polymer detection kit HRP/DAB (ab209101). Membranous staining on the immune cells in the mouse colon (PMID : 12434422). The section was incubated with ab228964 for 15 mins at room temperature. The immunostaining was performed on a Leica Biosystems BOND® RX instrument. Counterstained with hematoxylin.

Secondary antibody only control : Secondary antibody is a ready to use Rabbit specific IHC polymer detection kit HRP/DAB (ab209101).

Heat mediated antigen retrieval with Tris-EDTA buffer (pH 9.0, epitope retrieval solution 2) for 20 mins.

Western blot - Anti-CD11a antibody [EPR22578-312] (AB228964)
  • WB

Lab

Western blot - Anti-CD11a antibody [EPR22578-312] (AB228964)

Blocking and diluting buffer and concentration : 5% NFDM/TBST.

The molecular weight observed is consistent with what has been described in the literature (PMID : 2307933) .

Exposure time : 3 minutes.

All lanes:

Western blot - Anti-CD11a antibody [EPR22578-312] (ab228964) at 1/1000 dilution

All lanes:

RAW264.7 (mouse Abelson murine leukemia virus-induced tumor macrophage), whole cell lysate at 20 µg

Secondary

All lanes:

Western blot - Goat Anti-Rabbit IgG H&L (HRP) (<a href='/en-us/products/secondary-antibodies/goat-rabbit-igg-h-l-hrp-ab97051'>ab97051</a>) at 1/100000 dilution

Predicted band size: 128 kDa

Observed band size: 180 kDa

false

Western blot - Anti-CD11a antibody [EPR22578-312] (AB228964)
  • WB

Lab

Western blot - Anti-CD11a antibody [EPR22578-312] (AB228964)

Blocking and diluting buffer and concentration : 5% NFDM/TBST.

Exposure time : Lane 1 : 125 seconds Lane 2 : 7.75 seconds.

All lanes:

Western blot - Anti-CD11a antibody [EPR22578-312] (ab228964) at 1/1000 dilution

Lane 1:

Mouse spleen tissue lysate at 20 µg

Lane 2:

Mouse thymus tissue lysate at 20 µg

Secondary

All lanes:

Western blot - Goat Anti-Rabbit IgG H&L (HRP) (<a href='/en-us/products/secondary-antibodies/goat-rabbit-igg-h-l-hrp-ab97051'>ab97051</a>) at 1/100000 dilution

Predicted band size: 128 kDa

Observed band size: 180 kDa

false

Western blot - Anti-CD11a antibody [EPR22578-312] (AB228964)
  • WB

Lab

Western blot - Anti-CD11a antibody [EPR22578-312] (AB228964)

Blocking and diluting buffer and concentration : 5% NFDM/TBST.

The molecular weight observed is consistent with what has been described in the literature (PMID : 2307933) .

Exposure time : 10 seconds.

All lanes:

Western blot - Anti-CD11a antibody [EPR22578-312] (ab228964) at 1/1000 dilution

All lanes:

P388D1 (mouse lymphoma monocyte; macrophage), whole cell lysate at 20 µg

Secondary

All lanes:

Western blot - Goat Anti-Rabbit IgG H&L (HRP) (<a href='/en-us/products/secondary-antibodies/goat-rabbit-igg-h-l-hrp-ab97051'>ab97051</a>) at 1/100000 dilution

Predicted band size: 128 kDa

Observed band size: 180 kDa

false

  • Carrier free

    Anti-CD11a antibody [EPR22578-312] - BSA and Azide free

Key facts

Host species

Rabbit

Clonality

Monoclonal

Clone number

EPR22578-312

Isotype

IgG

Carrier free

No

Reacts with

Mouse

Applications

IHC-P, WB

applications

Immunogen

The exact immunogen used to generate this antibody is proprietary information.

Reactivity data

{ "title": "Reactivity Data", "filters": { "stats": ["", "Species", "Dilution Info", "Notes"], "tabs": { "all-applications": {"fullname" : "All Applications", "shortname": "All Applications"}, "IP" : {"fullname" : "Immunoprecipitation", "shortname":"IP"}, "FlowCyt" : {"fullname" : "Flow Cytometry", "shortname":"Flow Cyt"}, "WB" : {"fullname" : "Western blot", "shortname":"WB"}, "IHCP" : {"fullname" : "Immunohistochemistry (Formalin/PFA-fixed paraffin-embedded sections)", "shortname":"IHC-P"}, "ICCIF" : {"fullname" : "Immunocytochemistry/ Immunofluorescence", "shortname":"ICC/IF"} }, "product-promise": { "all": "all", "testedAndGuaranteed": "tested", "guaranteed": "expected", "predicted": "predicted", "notRecommended": "not-recommended" } }, "values": { "Mouse": { "IP-species-checked": "notRecommended", "IP-species-dilution-info": "", "IP-species-notes": "<p></p>", "FlowCyt-species-checked": "notRecommended", "FlowCyt-species-dilution-info": "", "FlowCyt-species-notes": "<p></p>", "WB-species-checked": "testedAndGuaranteed", "WB-species-dilution-info": "1/1000", "WB-species-notes": "<p></p>", "IHCP-species-checked": "testedAndGuaranteed", "IHCP-species-dilution-info": "1/4000", "IHCP-species-notes": "<p></p>", "ICCIF-species-checked": "notRecommended", "ICCIF-species-dilution-info": "", "ICCIF-species-notes": "<p></p>" } } }

Product details

Patented technology
Our RabMAb® technology is a patented hybridoma-based technology for making rabbit monoclonal antibodies. For details on our patents, please refer to RabMAb® patents.

What are the advantages of a recombinant monoclonal antibody?
This product is a recombinant monoclonal antibody, which offers several advantages including:

  • - High batch-to-batch consistency and reproducibility
  • - Improved sensitivity and specificity
  • - Long-term security of supply
  • - Animal-free batch production

For more information, read more on recombinant antibodies.

Properties and storage information

Form
Liquid
Purification technique
Affinity purification Protein A
Storage buffer
pH: 7.2 - 7.4 Preservative: 0.01% Sodium azide Constituents: PBS, 40% Glycerol (glycerin, glycerine), 0.05% BSA
Shipped at conditions
Blue Ice
Appropriate short-term storage duration
1-2 weeks
Appropriate short-term storage conditions
+4°C
Appropriate long-term storage conditions
-20°C
Aliquoting information
Upon delivery aliquot
Storage information
Avoid freeze / thaw cycle

Supplementary information

This supplementary information is collated from multiple sources and compiled automatically.

CD11a also known as ITGAL and LFA-1 alpha chain or integrin alpha L is a protein that functions as an important component of the immune system. It has a molecular mass of approximately 180 kDa. CD11a is expressed predominantly in leukocytes enabling these immune cells to adhere and interact with other cells. This adhesive property is especially critical in the trafficking of leukocytes to sites of inflammation and infection. CD11a pairs with CD18 to form the leukocyte function-associated antigen-1 (LFA-1) complex which plays a significant role in cell signaling and immune responses.
Biological function summary

This protein enables leukocyte adhesion and transendothelial migration which are essential for the immune surveillance process. CD11a is a part of the integrin family known for regulating cell adhesion and interactions with the extracellular matrix. By forming a heterodimer with CD18 it mediates tight adhesion between immune cells and endothelial cells. This interaction aids in the immune response by enhancing the activation and movement of T cells and other leukocytes through the vascular endothelium into tissues.

Pathways

The protein participates in the immune cell trafficking pathway and the integrin signaling pathway. In these pathways CD11a contributes to the modulation of immune responses and cell movement. The interaction of CD11a with intercellular adhesion molecule 1 (ICAM-1) and other proteins within these pathways emphasizes its role in the firm adhesion of leukocytes during inflammation and infection ultimately facilitating leukocyte extravasation and tissue infiltration.

CD11a is highly relevant to autoimmune diseases such as psoriasis and multiple sclerosis. For instance in psoriasis the overactive immune response involves overexpression of integrins including CD11a leading to inflammation. The protein Efalizumab a monoclonal antibody against CD11a has been used in the treatment of psoriasis to reduce leukocyte adhesion and activation. Such relationships highlight CD11a's critical role in both normal immune function and pathological conditions.

Product protocols

For this product, it's our understanding that no specific protocols are required. You can visit:

Target data

Integrin ITGAL/ITGB2 is a receptor for ICAM1, ICAM2, ICAM3 and ICAM4 (PubMed : 2051027). Integrin ITGAL/ITGB2 is a receptor for F11R (By similarity). Integrin ITGAL/ITGB2 is a receptor for the secreted form of ubiquitin-like protein ISG15; the interaction is mediated by ITGAL (PubMed : 29100055). Involved in a variety of immune phenomena including leukocyte-endothelial cell interaction, cytotoxic T-cell mediated killing, and antibody dependent killing by granulocytes and monocytes. Contributes to natural killer cell cytotoxicity. Involved in leukocyte adhesion and transmigration of leukocytes including T-cells and neutrophils (PubMed : 16234355, PubMed : 24158516). Acts as a platform at the immunological synapse to translate TCR engagement and density of the ITGAL ligand ICAM1 into graded adhesion (By similarity). Required for generation of common lymphoid progenitor cells in bone marrow, indicating the role in lymphopoiesis (PubMed : 25108025). Integrin ITGAL/ITGB2 in association with ICAM3, contributes to apoptotic neutrophil phagocytosis by macrophages.
See full target information Itgal

Publications (5)

Recent publications for all applications. Explore the full list and refine your search

Molecular medicine reports 31: PubMed39540364

2024

Integrin β2 regulates titanium particle‑induced inflammation in macrophages: aseptic loosening model.

Applications

Unspecified application

Species

Unspecified reactive species

Yue Shen,Haruna Nakajima,Junfeng Zhu,Weigang Wu

PloS one 19:e0305571 PubMed38885281

2024

Comparative proteomics reveals that fatty acid metabolism is involved in myocardial adaptation to chronic hypoxic injury.

Applications

Unspecified application

Species

Unspecified reactive species

Hu Chen,Shiran Yu,Xiaoyun Zhang,Yujie Gao,Hongqi Wang,Yuankun Li,Dongsheng He,Weikun Jia

Frontiers in aging neuroscience 15:1250685 PubMed38020765

2023

CCL5 promotes LFA-1 expression in Th17 cells and induces LCK and ZAP70 activation in a mouse model of Parkinson's disease.

Applications

Unspecified application

Species

Unspecified reactive species

Jingwei Zhao,Ke An,Zhijuan Mao,Yi Qu,Danlei Wang,Jiangting Li,Zhe Min,Zheng Xue

Oxidative medicine and cellular longevity 2022:6842530 PubMed36329800

2022

TMT-Based Quantitative Proteomic Analysis Reveals Downregulation of ITGAL and Syk by the Effects of Cycloastragenol in OVA-Induced Asthmatic Mice.

Applications

Unspecified application

Species

Unspecified reactive species

Xueyi Zhu,Baojun Liu,Zhenhui Ruan,Mengmeng Chen,Congcong Li,Hanlin Shi,Xi Huang,Hang Yu,Yaolong Zhou,Hehua Zhu,Jing Sun,Ying Wei,Weifang Xu,Jingcheng Dong

Cancer biology & therapy 23:1-8 PubMed36154909

2022

Targeting mitochondrial tyrosyl-tRNA synthetase YARS2 suppresses colorectal cancer progression.

Applications

Unspecified application

Species

Unspecified reactive species

Qingxia Fang,Jingyang Lin,Liang Gao,Ruolang Pan,Xiaochun Zheng
View all publications

Product promise

We are committed to supporting your work with high-quality reagents, and we're here for you every step of the way. In the unlikely event that one of our products does not perform as expected, you're protected by our Product Promise.
For full details, please see our Terms & Conditions

Please note: All products are 'FOR RESEARCH USE ONLY. NOT FOR USE IN DIAGNOSTIC OR THERAPEUTIC PROCEDURES'.

For licensing inquiries, please contact partnerships@abcam.com