JavaScript is disabled in your browser. Please enable JavaScript to view this website.
AB275978

Anti-CD11a antibody [hu1124 (Efalizumab)] - Rabbit IgG (Chimeric)

Be the first to review this product! Submit a review

|

(1 Publication)

Rabbit Recombinant Monoclonal ITAL antibody. Suitable for Flow Cyt, IHC-P and reacts with Human, Rat samples. Cited in 1 publication. Immunogen corresponding to Recombinant Fragment Protein within Human ITGAL.

View Alternative Names

CD11a, CD11A, ITGAL, Integrin alpha-L, CD11 antigen-like family member A, Leukocyte adhesion glycoprotein LFA-1 alpha chain, Leukocyte function-associated molecule 1 alpha chain, LFA-1A

2 Images
Flow Cytometry - Anti-CD11a antibody [hu1124 (Efalizumab)] - Rabbit IgG (Chimeric) (AB275978)
  • Flow Cyt

Supplier Data

Flow Cytometry - Anti-CD11a antibody [hu1124 (Efalizumab)] - Rabbit IgG (Chimeric) (AB275978)

This data was produced using the human IgG1, kappa version of the antibody.

Flow cytometry of human lymphocytes labeling CD11a with the human IgG1, kappa version of the antibody (panel B) compared with an isotype control (panel A) at 1 μg/ml for 30 mins at RT. After washing, bound antibody was detected using Donkey Anti-Rabbit IgG H&L (Alexa Fluor® 488) (ab150073) and cells analysed on a FACSCanto flow-cytometer.

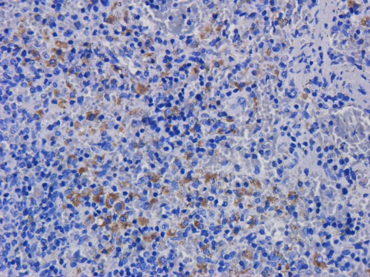
Immunohistochemistry (Formalin/PFA-fixed paraffin-embedded sections) - Anti-CD11a antibody [hu1124 (Efalizumab)] - Rabbit IgG (Chimeric) (AB275978)
  • IHC-P

Unknown

Immunohistochemistry (Formalin/PFA-fixed paraffin-embedded sections) - Anti-CD11a antibody [hu1124 (Efalizumab)] - Rabbit IgG (Chimeric) (AB275978)

This data was produced using the human IgG1, kappa version of the antibody.

Anti-CD11a staining of formaldehyde fixed paraffin embedded rat spleen tissue, at 40x magnification. The human IgG1-chimeric version of the antibody was used to stain samples at a concentration of 3 μg/ml.

Key facts

Host species

Rabbit

Clonality

Monoclonal

Clone number

hu1124 (Efalizumab)

Isotype

IgG

Light chain type

kappa

Carrier free

No

Reacts with

Rat, Human

Applications

Flow Cyt, IHC-P

applications

Immunogen

Recombinant Fragment Protein within Human ITGAL. The exact immunogen used to generate this antibody is proprietary information.

P20701

Reactivity data

{ "title": "Reactivity Data", "filters": { "stats": ["", "Species", "Dilution Info", "Notes"], "tabs": { "all-applications": {"fullname" : "All Applications", "shortname": "All Applications"}, "FlowCyt" : {"fullname" : "Flow Cytometry", "shortname":"Flow Cyt"}, "IHCP" : {"fullname" : "Immunohistochemistry (Formalin/PFA-fixed paraffin-embedded sections)", "shortname":"IHC-P"} }, "product-promise": { "all": "all", "testedAndGuaranteed": "tested", "guaranteed": "expected", "predicted": "predicted", "notRecommended": "not-recommended" } }, "values": { "Human": { "FlowCyt-species-checked": "testedAndGuaranteed", "FlowCyt-species-dilution-info": "1 µg/mL", "FlowCyt-species-notes": "<p></p>", "IHCP-species-checked": "guaranteed", "IHCP-species-dilution-info": "", "IHCP-species-notes": "" }, "Rat": { "FlowCyt-species-checked": "guaranteed", "FlowCyt-species-dilution-info": "", "FlowCyt-species-notes": "", "IHCP-species-checked": "testedAndGuaranteed", "IHCP-species-dilution-info": "3 µg/mL", "IHCP-species-notes": "<p></p>" } } }

Product details

This rabbit monoclonal chimeric antibody was made using the variable domain sequences of the original Human IgG1 format, for improved compatibility with existing reagents, assays and techniques.

Properties and storage information

Form
Liquid
Purification technique
Affinity purification Protein A
Storage buffer
Preservative: 0.02% Proclin 300 Constituents: PBS
Shipped at conditions
Blue Ice
Appropriate short-term storage duration
1-2 weeks
Appropriate short-term storage conditions
+4°C
Appropriate long-term storage conditions
-20°C
Aliquoting information
Upon delivery aliquot
Storage information
Avoid freeze / thaw cycle

Supplementary information

This supplementary information is collated from multiple sources and compiled automatically.

CD11a also known as ITGAL and LFA-1 alpha chain or integrin alpha L is a protein that functions as an important component of the immune system. It has a molecular mass of approximately 180 kDa. CD11a is expressed predominantly in leukocytes enabling these immune cells to adhere and interact with other cells. This adhesive property is especially critical in the trafficking of leukocytes to sites of inflammation and infection. CD11a pairs with CD18 to form the leukocyte function-associated antigen-1 (LFA-1) complex which plays a significant role in cell signaling and immune responses.
Biological function summary

This protein enables leukocyte adhesion and transendothelial migration which are essential for the immune surveillance process. CD11a is a part of the integrin family known for regulating cell adhesion and interactions with the extracellular matrix. By forming a heterodimer with CD18 it mediates tight adhesion between immune cells and endothelial cells. This interaction aids in the immune response by enhancing the activation and movement of T cells and other leukocytes through the vascular endothelium into tissues.

Pathways

The protein participates in the immune cell trafficking pathway and the integrin signaling pathway. In these pathways CD11a contributes to the modulation of immune responses and cell movement. The interaction of CD11a with intercellular adhesion molecule 1 (ICAM-1) and other proteins within these pathways emphasizes its role in the firm adhesion of leukocytes during inflammation and infection ultimately facilitating leukocyte extravasation and tissue infiltration.

CD11a is highly relevant to autoimmune diseases such as psoriasis and multiple sclerosis. For instance in psoriasis the overactive immune response involves overexpression of integrins including CD11a leading to inflammation. The protein Efalizumab a monoclonal antibody against CD11a has been used in the treatment of psoriasis to reduce leukocyte adhesion and activation. Such relationships highlight CD11a's critical role in both normal immune function and pathological conditions.

Product protocols

For this product, it's our understanding that no specific protocols are required. You can visit:

Target data

Integrin ITGAL/ITGB2 is a receptor for ICAM1, ICAM2, ICAM3 and ICAM4. Integrin ITGAL/ITGB2 is a receptor for F11R (PubMed : 11812992, PubMed : 15528364). Integrin ITGAL/ITGB2 is a receptor for the secreted form of ubiquitin-like protein ISG15; the interaction is mediated by ITGAL (PubMed : 29100055). Involved in a variety of immune phenomena including leukocyte-endothelial cell interaction, cytotoxic T-cell mediated killing, and antibody dependent killing by granulocytes and monocytes. Contributes to natural killer cell cytotoxicity (PubMed : 15356110). Involved in leukocyte adhesion and transmigration of leukocytes including T-cells and neutrophils (PubMed : 11812992). Acts as a platform at the immunological synapse to translate TCR engagement and density of the ITGAL ligand ICAM1 into graded adhesion (PubMed : 38195629). Required for generation of common lymphoid progenitor cells in bone marrow, indicating a role in lymphopoiesis (By similarity). Integrin ITGAL/ITGB2 in association with ICAM3, contributes to apoptotic neutrophil phagocytosis by macrophages (PubMed : 23775590).
See full target information ITGAL

Publications (1)

Recent publications for all applications. Explore the full list and refine your search

Acta pharmaceutica Sinica. B 15:692-706 PubMed40177561

2025

Enhanced radiotheranostic targeting of integrin 51 with PEGylation-enabled peptide multidisplay platform (PEGibody): A strategy for prolonged tumor retention with fast blood clearance.

Applications

Unspecified application

Species

Unspecified reactive species

Siqi Zhang,Xiaohui Ma,Jiang Wu,Jieting Shen,Yuntao Shi,Xingkai Wang,Lin Xie,Xiaona Sun,Yuxuan Wu,Hao Tian,Xin Gao,Xueyao Chen,Hongyi Huang,Lu Chen,Xuekai Song,Qichen Hu,Hailong Zhang,Feng Wang,Zhao-Hui Jin,Ming-Rong Zhang,Rui Wang,Kuan Hu
View all publications

Product promise

We are committed to supporting your work with high-quality reagents, and we're here for you every step of the way. In the unlikely event that one of our products does not perform as expected, you're protected by our Product Promise.
For full details, please see our Terms & Conditions

Please note: All products are 'FOR RESEARCH USE ONLY. NOT FOR USE IN DIAGNOSTIC OR THERAPEUTIC PROCEDURES'.

For licensing inquiries, please contact partnerships@abcam.com