JavaScript is disabled in your browser. Please enable JavaScript to view this website.
AB187537

Anti-CD11b antibody [EP1345Y] - BSA and Azide free

4

(1 Review)

|

(3 Publications)

Anti-CD11b antibody [EP1345Y] - BSA and Azide free (ab187537) is a rabbit recombinant monoclonal antibody provided in a PBS only buffer for easy conjugation detecting CD11b in Western Blot, IP, IHC-P, ICC/IF. Suitable for Human.

- BSA, sodium azide, and glycerol-free for easy conjugation
- Biophysical QC for unrivalled batch-batch consistency

View Alternative Names

CD11b, CD11B, CR3A, ITGAM, Integrin alpha-M, CD11 antigen-like family member B, CR-3 alpha chain, Cell surface glycoprotein MAC-1 subunit alpha, Leukocyte adhesion receptor MO1, Neutrophil adherence receptor

7 Images
Immunohistochemistry (Formalin/PFA-fixed paraffin-embedded sections) - Anti-CD11b antibody [EP1345Y] - BSA and Azide free (AB187537)
  • IHC-P

Unknown

Immunohistochemistry (Formalin/PFA-fixed paraffin-embedded sections) - Anti-CD11b antibody [EP1345Y] - BSA and Azide free (AB187537)

Immunohistochemistry (Formalin/PFA-fixed paraffin-embedded sections) analysis of human cervical cancer tissue sections labeling CD11b with purified ab52478 at 1 : 1000 dilution (0.28 µg/ml). Heat mediated antigen retrieval was performed using ab93684 (Tris/EDTA buffer, pH 9.0) ImmunoHistoProbe one step HRP Polymer (ready to use) was used as the secondary antibody. Hematoxylin was used as a counterstain.

Negative control : PBS instead of the primary antibody (inset).

This data was developed using the same antibody clone in a different buffer formulation containing PBS, BSA, glycerol, and sodium azide (ab52478).

Immunohistochemistry (Formalin/PFA-fixed paraffin-embedded sections) - Anti-CD11b antibody [EP1345Y] - BSA and Azide free (AB187537)
  • IHC-P

Unknown

Immunohistochemistry (Formalin/PFA-fixed paraffin-embedded sections) - Anti-CD11b antibody [EP1345Y] - BSA and Azide free (AB187537)

This IHC data was generated using the same anti-CD11b antibody clone, EP1345Y, in a different buffer formuatlion (cat# ab52478).

IHC image of CD11b staining in a formalin fixed, paraffin embedded normal human spleen tissue section*, performed on a Leica Bond™ system using the standard protocol F. The section was pre-treated using heat mediated antigen retrieval with sodium citrate buffer (pH 6, epitope retrieval solution 1) for 20 minutes. The section was then incubated with ab52478, 5 μg/ml, for 15 minutes at room temperature and detected using an HRP conjugated compact polymer system. DAB was used as the chromogen. The section was then counterstained with haematoxylin and mounted with DPX.

For other IHC staining systems (automated and non-automated) customers should optimize variable parameters such as antigen retrieval conditions, primary antibody concentration and antibody incubation times.

*Tissue obtained from the Human Research Tissue Bank, supported by the NIHR Cambridge Biomedical Research Centre

Immunocytochemistry/ Immunofluorescence - Anti-CD11b antibody [EP1345Y] - BSA and Azide free (AB187537)
  • ICC/IF

Unknown

Immunocytochemistry/ Immunofluorescence - Anti-CD11b antibody [EP1345Y] - BSA and Azide free (AB187537)

Unpurified ab52478 staining CD11b in the THP-1 (Human monocytic leukemia cell line) cell line by ICC/IF (Immunocytochemistry/immunofluorescence).

Cells were fixed with 100% methanol. Samples were incubated with primary antibody (1/250). ab150077 was used as the secondary antibody (1/1000). Nuclei were stained with DAPI.

This data was developed using the same antibody clone in a different buffer formulation containing PBS, BSA, glycerol, and sodium azide (ab52478).

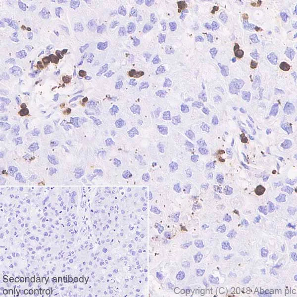
Immunohistochemistry (Formalin/PFA-fixed paraffin-embedded sections) - Anti-CD11b antibody [EP1345Y] - BSA and Azide free (AB187537)
  • IHC-P

PubMed

Immunohistochemistry (Formalin/PFA-fixed paraffin-embedded sections) - Anti-CD11b antibody [EP1345Y] - BSA and Azide free (AB187537)

Enhanced expression of monocytes/ macrophage markers in the obese adipose tissue.

The protein expression (intensity) of monocyte/ macrophage markers was detected by immunohistochemistry (IHC) in the adipose tissue samples from lean, overweight, and obese individuals, 10 each. As shown by representative IHC photomicrographs (100× magnification), expression of (A) CD11b was found to be markedly elevated in overweight and obese adipose tissue samples as compared with lean samples.

Paraffin-embedded sections (4 μm thick) of subcutaneous adipose tissue were deparaffinized in xylene and rehydrated through descending grades of ethanol (100%, 95%, and 75%) to water. Antigen retrieval was performed under pressure cooker boiling for 8 min and cooling for 15 min. After washing in PBS, endogenous peroxidase activity was blocked with 3% H2O2 for 30 min and non-specific antibody binding was clocked with 5% nonfat milk for 1hr and 1% bovine serum albumin (BSA) solution for 1hr. Slides were treated overnight with primary antibodies at room temperature. After washing with PBS (0.5% Tween), slides were incubated for 1hr with secondary antibody conjugated with HRP polymer chain and color was developed using 3,3'-diaminobenzidine chromogen substrate. Specimens were washed in running tap water, lightly counterstained with hematoxylin, dehydrated through ascending grades of ethanol (75%, 95%, and 100%), cleared in xylene, and finally mounted in dibutyl phthalate xylene (DPX).

This data was developed using the same antibody clone in a different buffer formulation containing PBS, BSA, glycerol, and sodium azide (ab52478).

Image from Sindhu et al PLoS One. 2015 Jul 22;10(7):e0133494. doi: 10.1371/journal.pone.0133494. eCollection 2015. Fig 5.

Immunohistochemistry (Formalin/PFA-fixed paraffin-embedded sections) - Anti-CD11b antibody [EP1345Y] - BSA and Azide free (AB187537)
  • IHC-P

Unknown

Immunohistochemistry (Formalin/PFA-fixed paraffin-embedded sections) - Anti-CD11b antibody [EP1345Y] - BSA and Azide free (AB187537)

Immunohistochemical analysis of paraffin-embedded human spleen tissue using unpurified ab52478 at a dilution of 1/100.

This data was developed using the same antibody clone in a different buffer formulation containing PBS, BSA, glycerol, and sodium azide (ab52478).

Immunohistochemistry (Formalin/PFA-fixed paraffin-embedded sections) - Anti-CD11b antibody [EP1345Y] - BSA and Azide free (AB187537)
  • IHC-P

PubMed

Immunohistochemistry (Formalin/PFA-fixed paraffin-embedded sections) - Anti-CD11b antibody [EP1345Y] - BSA and Azide free (AB187537)

Duchenne muscular dystrophy (DMD) muscle was co-stained for Neu5Gc (green), ab52478 (red) and DAPI (blue).

For double immunostaining, sections were first stained overnight at 4°C with anti-Neu5Gc after blocking in 10% (Neu5Gc-free) human serum, after blocking in 5 mg/mL BSA, sections were incubated overnight with both primary antibodies without fixation, washed for one hour and incubated with the appropriate secondary antibodies.

This data was developed using the same antibody clone in a different buffer formulation containing PBS, BSA, glycerol, and sodium azide (ab52478).

Image from Martin et al PLoS One. 2014 Feb 5;9(2):e88226. doi: 10.1371/journal.pone.0088226. eCollection 2014. Fig 6.

Immunoprecipitation - Anti-CD11b antibody [EP1345Y] - BSA and Azide free (AB187537)
  • IP

Unknown

Immunoprecipitation - Anti-CD11b antibody [EP1345Y] - BSA and Azide free (AB187537)

ab52478 (purified) at 1 : 30 dilution (2 μg) immunoprecipitating CD11b in TF-1 (Human bone marrow erythroleukemia cell line) whole cell lysate.
Lane 1 : TF-1 whole cell lysate 10 μg (input).
Lane 2 : ab52478 + TF-1 whole cell lysate
Lane 3 : Rabbit monoclonal IgG (ab172730) instead of ab52478 in TF-1 whole cell lysate
For western blotting, VeriBlot for IP Detection Reagent (HRP) (ab131366) was used for detection at 1 : 1000 dilution.
Blocking and diluting buffer : 5% NFDM/TBST.

This data was developed using the same antibody clone in a different buffer formulation containing PBS, BSA, glycerol, and sodium azide (ab52478).

All lanes:

Immunoprecipitation - Anti-CD11b antibody [EP1345Y] - C-terminal (<a href='/en-us/products/primary-antibodies/cd11b-antibody-ep1345y-c-terminal-ab52478'>ab52478</a>)

Predicted band size: 127 kDa

false

  • Unconjugated

    Anti-CD11b antibody [EP1345Y] - C-terminal

  • 578 PE

    PE Anti-CD11b antibody [EP1345Y]

  • 660 APC

    APC Anti-CD11b antibody [EP1345Y]

Key facts

Host species

Rabbit

Clonality

Monoclonal

Clone number

EP1345Y

Isotype

IgG

Carrier free

Yes

Reacts with

Human

Applications

WB, IP, IHC-P, IHC-FoFr, ICC/IF

applications

Immunogen

The exact immunogen used to generate this antibody is proprietary information.

Specificity

Testing of mouse and rat tissues (brain, spleen, kidney and heart) in WB gave negative results. However, flow cytometry for mouse RAW 264.7 cell line gave positive results. We have not tested any rat samples in flow cytometry. Due to the variability in mouse, we do not list this as a tested species. We welcome any feedback on mouse and rat reactivity.

Reactivity data

{ "title": "Reactivity Data", "filters": { "stats": ["", "Species", "Dilution Info", "Notes"], "tabs": { "all-applications": {"fullname" : "All Applications", "shortname": "All Applications"}, "IHCP" : {"fullname" : "Immunohistochemistry (Formalin/PFA-fixed paraffin-embedded sections)", "shortname":"IHC-P"}, "IP" : {"fullname" : "Immunoprecipitation", "shortname":"IP"}, "WB" : {"fullname" : "Western blot", "shortname":"WB"}, "IHCFoFr" : {"fullname" : "Immunohistochemistry (PFA perfusion fixed frozen sections)", "shortname":"IHC-FoFr"}, "ICCIF" : {"fullname" : "Immunocytochemistry/ Immunofluorescence", "shortname":"ICC/IF"} }, "product-promise": { "all": "all", "testedAndGuaranteed": "tested", "guaranteed": "expected", "predicted": "predicted", "notRecommended": "not-recommended" } }, "values": { "Human": { "IHCP-species-checked": "testedAndGuaranteed", "IHCP-species-dilution-info": "", "IHCP-species-notes": "<p></p>", "IP-species-checked": "testedAndGuaranteed", "IP-species-dilution-info": "", "IP-species-notes": "<p></p>", "WB-species-checked": "guaranteed", "WB-species-dilution-info": "", "WB-species-notes": "<p></p>", "IHCFoFr-species-checked": "guaranteed", "IHCFoFr-species-dilution-info": "", "IHCFoFr-species-notes": "<p></p>", "ICCIF-species-checked": "testedAndGuaranteed", "ICCIF-species-dilution-info": "", "ICCIF-species-notes": "<p></p>" } } }

Product details

What is this antibody validated in?
Anti-CD11b antibody [EP1345Y] - BSA and Azide free (ab187537) is a rabbit recombinant monoclonal antibody and is validated for use in Western Blot (WB), Immunoprecipitation (IP), Immunohistochemistry (IHC-P), Immunocytochemistry/immunofluorescence (ICC/IF) in Human samples.

What is the molecular weight of CD11b?
Anti-CD11b [EP1345Y] - BSA and Azide free (ab187537) specifically detects a band for CD11b (UniProt: P11215) at a molecular weight of 128kDa.

Trial sizes available!
Test your antibody or perform pre-screening before committing to a larger quantity. Sold in 10µl. Discover our selection of trial-size antibodies.

Other related products
We have a range of other formats of antibody clone [EP1345Y] also available for your convenience: ab52478, Carrier free - ab187537, PE - ab213186, APC - ab221248, Oligonucleotide - ab284435

Patented technology
Our RabMAb® technology is a patented hybridoma-based technology for making rabbit monoclonal antibodies. For details on our patents, please refer to RabMAb® patents.

What are the advantages of a recombinant monoclonal antibody?
This product is a recombinant monoclonal antibody, which offers several advantages including:

  • - High batch-to-batch consistency and reproducibility
  • - Improved sensitivity and specificity
  • - Long-term security of supply
  • - Animal-free batch production

For more information, read more on recombinant antibodies.

Conjugation ready
Our carrier-free antibodies are typically supplied in a PBS-only formulation, purified and free of BSA, sodium azide and glycerol. This conjugation-ready format is designed for use with fluorochromes, metal isotopes, oligonucleotides, and enzymes, which makes them ideal for antibody labelling, functional and cell-based assays, flow-based assays (e.g. mass cytometry) and Multiplex Imaging applications.

Use our conjugation kits for antibody conjugates that are ready-to-use in as little as 20 minutes with 1 minute hands-on-time and 100% antibody recovery: available for fluorescent dyes, HRP, biotin and gold.

Compatibility
This product is compatible with the Maxpar® Antibody Labeling Kit from Fluidigm, without the need for antibody preparation. Maxpar® is a trademark of Fluidigm Canada Inc.

Properties and storage information

Form
Liquid
Purification technique
Affinity purification Protein A
Storage buffer
pH: 7.2 - 7.4 Constituents: PBS
Shipped at conditions
Blue Ice
Appropriate short-term storage conditions
+4°C
Appropriate long-term storage conditions
+4°C
Storage information
Do Not Freeze

Supplementary information

This supplementary information is collated from multiple sources and compiled automatically.

CD11b also known as Integrin alpha M is a protein with a molecular weight of approximately 170 kDa. This protein functions mechanically as an important adhesion molecule. It forms a complex with CD18 to become part of leukocyte-specific beta2 integrins specifically the Mac-1 (CR3) receptor. CD11b is largely expressed on the surface of various myeloid cells including monocytes macrophages granulocytes and a subset of natural killer cells. Researchers often utilize anti-CD11b antibodies and other markers such as APC or CD11b IHC to study its expression in different contexts.
Biological function summary

CD11b plays a critical role in various immune responses by mediating phagocytosis chemotaxis and cell migration. It is essential for proper leukocyte adherence to endothelial cells and for the engulfment of pathogens or apoptotic cells. CD11b as part of the Mac-1 complex contributes to the immune surveillance and inflammatory processes. This complex interacts with diverse ligands like ICAM-1 fibrinogen and complement component iC3b facilitating an immunological response.

Pathways

CD11b is instrumental within the integrin signaling pathway and the Leukocyte Transendothelial Migration pathway. Its interaction with ICAM-1 is central to the leukocyte adhesion cascade influencing the movement of immune cells across endothelial barriers. CD11b also associates with proteins such as Src family kinases and PI3K which activate downstream signaling responsible for the reorganization of the cytoskeleton and cell movement during immune responses.

CD11b is linked to inflammatory conditions like rheumatoid arthritis and systemic lupus erythematosus. Aberrant expression or function of CD11b can result in improper immune regulation contributing to the pathogenesis of these diseases. Its interaction with complement receptor iC3b plays a part in inflammation and tissue damage observed in these conditions. Consequently CD11b represents a potential target for therapeutic intervention in diseases where dysregulated immune activity is a feature.

Product protocols

For this product, it's our understanding that no specific protocols are required. You can visit:

Target data

Integrin ITGAM/ITGB2 is implicated in various adhesive interactions of monocytes, macrophages and granulocytes as well as in mediating the uptake of complement-coated particles and pathogens (PubMed : 20008295, PubMed : 9558116). It is identical with CR-3, the receptor for the iC3b fragment of the third complement component. It probably recognizes the R-G-D peptide in C3b. Integrin ITGAM/ITGB2 is also a receptor for fibrinogen and factor X. It recognizes P1 and P2 peptides of fibrinogen gamma chain. Regulates neutrophil migration (PubMed : 28807980). In association with beta subunit ITGB2/CD18, required for CD177-PRTN3-mediated activation of TNF primed neutrophils (PubMed : 21193407). Integrin ITGAM/ITGB2 is also a receptor for ICAM1 ligand ensuring adhesion between stimulated neutrophils and stimulated endothelial cells (PubMed : 1980124). May regulate phagocytosis-induced apoptosis in extravasated neutrophils (By similarity). May play a role in mast cell development (By similarity). Required with TYROBP/DAP12 in microglia to control production of microglial superoxide ions which promote the neuronal apoptosis that occurs during brain development (By similarity).
See full target information ITGAM

Publications (3)

Recent publications for all applications. Explore the full list and refine your search

Nature communications 16:2944 PubMed40140675

2025

Spatial mapping of immune cell environments in NF2-related schwannomatosis vestibular schwannoma.

Applications

Unspecified application

Species

Unspecified reactive species

Adam P Jones,Michael J Haley,Miriam H Meadows,Grace E Gregory,Cathal J Hannan,Ana K Simmons,Leoma D Bere,Daniel G Lewis,Pedro Oliveira,Miriam J Smith,Andrew T King,D Gareth R Evans,Pawel Paszek,David Brough,Omar N Pathmanaban,Kevin N Couper

Cancer cell 42:1217-1238.e19 PubMed38981438

2024

Multi-scale signaling and tumor evolution in high-grade gliomas.

Applications

Unspecified application

Species

Unspecified reactive species

Jingxian Liu,Song Cao,Kathleen J Imbach,Marina A Gritsenko,Tung-Shing M Lih,Jennifer E Kyle,Tomer M Yaron-Barir,Zev A Binder,Yize Li,Ilya Strunilin,Yi-Ting Wang,Chia-Feng Tsai,Weiping Ma,Lijun Chen,Natalie M Clark,Andrew Shinkle,Nataly Naser Al Deen,Wagma Caravan,Andrew Houston,Faria Anjum Simin,Matthew A Wyczalkowski,Liang-Bo Wang,Erik Storrs,Siqi Chen,Ritvik Illindala,Yuping D Li,Reyka G Jayasinghe,Dmitry Rykunov,Sandra L Cottingham,Rosalie K Chu,Karl K Weitz,Ronald J Moore,Tyler Sagendorf,Vladislav A Petyuk,Michael Nestor,Lisa M Bramer,Kelly G Stratton,Athena A Schepmoes,Sneha P Couvillion,Josie Eder,Young-Mo Kim,Yuqian Gao,Thomas L Fillmore,Rui Zhao,Matthew E Monroe,Austin N Southard-Smith,Yang E Li,Rita Jui-Hsien Lu,Jared L Johnson,Maciej Wiznerowicz,Galen Hostetter,Chelsea J Newton,Karen A Ketchum,Ratna R Thangudu,Jill S Barnholtz-Sloan,Pei Wang,David Fenyö,Eunkyung An,Mathangi Thiagarajan,Ana I Robles,D R Mani,Richard D Smith,Eduard Porta-Pardo,Lewis C Cantley,Antonio Iavarone,Feng Chen,Mehdi Mesri,MacLean P Nasrallah,Hui Zhang,Adam C Resnick,Milan G Chheda,Karin D Rodland,Tao Liu,Li Ding

The Journal of cell biology 222: PubMed37956386

2023

Stress-induced nuclear speckle reorganization is linked to activation of immediate early gene splicing.

Applications

Unspecified application

Species

Unspecified reactive species

Hsu-Min Sung,Johanna Schott,Philipp Boss,Janina A Lehmann,Marius Roland Hardt,Doris Lindner,Joris Messens,Ivan Bogeski,Uwe Ohler,Georg Stoecklin
View all publications

Product promise

We are committed to supporting your work with high-quality reagents, and we're here for you every step of the way. In the unlikely event that one of our products does not perform as expected, you're protected by our Product Promise.
For full details, please see our Terms & Conditions

Please note: All products are 'FOR RESEARCH USE ONLY. NOT FOR USE IN DIAGNOSTIC OR THERAPEUTIC PROCEDURES'.

For licensing inquiries, please contact partnerships@abcam.com