JavaScript is disabled in your browser. Please enable JavaScript to view this website.
AB133357

Anti-CD11b antibody [EPR1344]

  • BOND RX™ Validated
  • RabMAb
  • Advanced Validation
  • Recombinant
  • Lab Essentials
  • 20ul selling size
  • What is this?

4

(37 Reviews)

|

(529 Publications)

Anti-CD11b antibody [EPR1344] (ab133357) is a rabbit monoclonal antibody detecting CD11b in Western Blot, IHC-P, mIHC. Suitable for Human, Mouse, Rat.

- Multiplex IHC validated on the Leica BOND® MAX using Opal reagents
- Biophysical QC for unrivalled batch-batch consistency
- Over 340 publications

View Alternative Names

CD11b, CD11B, CR3A, ITGAM, Integrin alpha-M, CD11 antigen-like family member B, CR-3 alpha chain, Cell surface glycoprotein MAC-1 subunit alpha, Leukocyte adhesion receptor MO1, Neutrophil adherence receptor

17 Images
Multiplex immunohistochemistry - Anti-CD11b antibody [EPR1344] (AB133357)
  • mIHC

Supplier Data

Multiplex immunohistochemistry - Anti-CD11b antibody [EPR1344] (AB133357)

Multiplex immunohistochemistry analysis of formalin/PFA-fixed paraffin-embedded mouse spleen tissue staining LY6C with ab317272 at a 1 : 100 (0.978 ug/ml) dilution, ab133357 anti-CD11b used at 1 : 20000 (0.05 ug/ml) dilution and ab245235 anti-CD19 used at a 1 : 1000 (0.999 ug/ml) dilution.

Panel A : merged staining of anti-Ly6c (green; Opal™690), anti-CD11b (magenta; Opal™570) and anti-CD19 (yellow; Opal™520) on mouse spleen.
Panel B : anti-Ly6c stained on monocytes/macrophages.
Panel C : anti-CD11b stained on monocytes/macrophages.
Panel D : anti-CD19 stained on B cells.
Co-staining of Ly6c and CD11b can be observed.
The section was incubated in three rounds of staining : in the order of ab317272, ab133357, and ab245235 for 30 mins at room temperature. Each round was followed by a separate fluorescent tyramide signal amplification system.
Nuclear DNA was labeled with DAPI (shown in blue).

The immunostaining was performed on a Leica Biosystems BOND® RX instrument with an Opal™ 4-color kit. Image acquisition was performed with Leica SP8 confocal microscope.

Nuclear counter stain with DAPI.

Heat mediated antigen retrieval was performed with Tris-EDTA buffer (pH 9.0, Epitope Retrieval Solution2) for 20 mins.

Immunohistochemistry (Formalin/PFA-fixed paraffin-embedded sections) - Anti-CD11b antibody [EPR1344] (AB133357)
  • IHC-P

Unknown

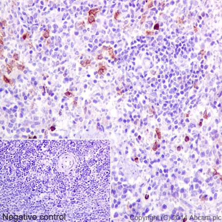
Immunohistochemistry (Formalin/PFA-fixed paraffin-embedded sections) - Anti-CD11b antibody [EPR1344] (AB133357)

Immunohistochemical staining of paraffin embedded human spleen with purified ab133357 at a 1/4000 dilution. The secondary antibody used is a HRP goat anti-rabbit (ab97051). The sample is counterstained with hematoxylin.

Antigen retrieval was perfomed using Tris-EDTA buffer, pH 9.0.

PBS was used instead of the primary antibody as the negative control, and is shown in the inset.

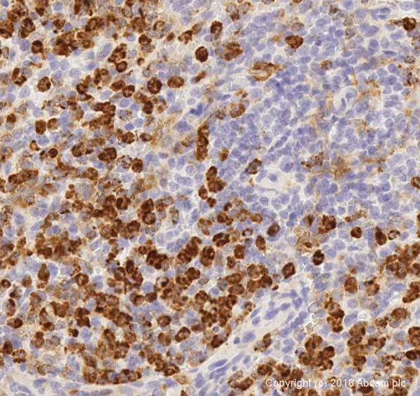
Immunohistochemistry (Formalin/PFA-fixed paraffin-embedded sections) - Anti-CD11b antibody [EPR1344] (AB133357)
  • IHC-P

Lab

Immunohistochemistry (Formalin/PFA-fixed paraffin-embedded sections) - Anti-CD11b antibody [EPR1344] (AB133357)

Immunohistochemical analysis of formalin fixed paraffin embedded human spleen labelling CD11b with ab133357 at a concentration of 0.32 µg/ml. The immunostaining was performed on a Leica Biosystems BOND® RX instrument with a Bond™ Polymer Refine Detection kit. Heat mediated antigen retrieval was performed with Tris-EDTA buffer (pH 9.0, Epitope Retrieval Solution 2) for 20 mins. ab133357Anti-CD11b antibody was incubated for 30 mins at room temperature. Sections were counterstained with Hematoxylin. Image inset shows absence of staining in secondary antibody only control.

Immunohistochemistry (Formalin/PFA-fixed paraffin-embedded sections) - Anti-CD11b antibody [EPR1344] (AB133357)
  • IHC-P

Lab

Immunohistochemistry (Formalin/PFA-fixed paraffin-embedded sections) - Anti-CD11b antibody [EPR1344] (AB133357)

IHC image of CD11b staining in a formalin fixed, paraffin embedded human normal spleen tissue section*, performed on a Leica Bond™ system using the standard protocol F. The section was pre-treated using heat mediated antigen retrieval with sodium citrate buffer (pH6, epitope retrieval solution 1) for 20 mins. The section was then incubated with ab133357 at 1/4000 dilution, for 15 mins at room temperature and detected using an HRP conjugated compact polymer system. DAB was used as the chromogen. The section was then counterstained with haematoxylin and mounted with DPX.

For other IHC staining systems (automated and non-automated) customers should optimize variable parameters such as antigen retrieval conditions, primary antibody concentration and antibody incubation times.

*Tissue obtained from the Human Research Tissue Bank, supported by the NIHR Cambridge Biomedical Research Centre

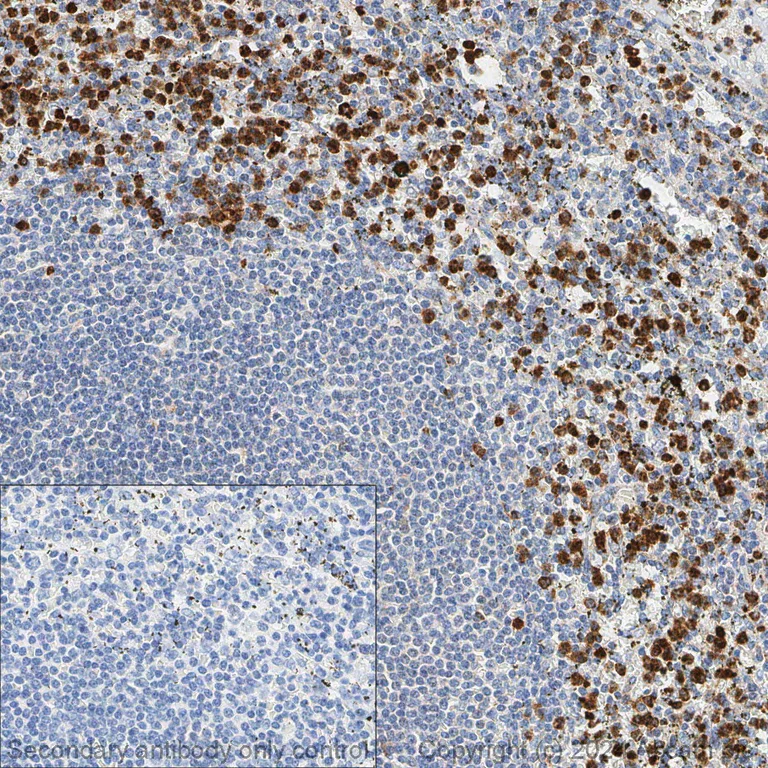
Immunohistochemistry (Formalin/PFA-fixed paraffin-embedded sections) - Anti-CD11b antibody [EPR1344] (AB133357)
  • IHC-P

Lab

Immunohistochemistry (Formalin/PFA-fixed paraffin-embedded sections) - Anti-CD11b antibody [EPR1344] (AB133357)

Immunohistochemical analysis of formalin fixed paraffin embedded human spleen labelling CD11b with ab133357 at a concentration of 1µg/ml. The immunostaining was performed on a Ventana DISCOVERY ULTRA (Roche Tissue Diagnostics) instrument with an OptiView DAB IHC Detection Kit. Heat mediated antigen retrieval was conducted for 32 mins at 100°C with ULTRA cell conditioning solution (CC1, pH 8.5). ab133357 Anti-CD11b antibody was incubated at 37°C for 16 mins. Sections were counterstained with Hematoxylin II. Image inset shows absence of staining in secondary antibody only control.

Immunohistochemistry (Formalin/PFA-fixed paraffin-embedded sections) - Anti-CD11b antibody [EPR1344] (AB133357)
  • IHC-P

Lab

Immunohistochemistry (Formalin/PFA-fixed paraffin-embedded sections) - Anti-CD11b antibody [EPR1344] (AB133357)

Tissue Microarrays stained for "Anti-CD11b antibody [EPR1344]" using "ab133357"in immunohistochemical analysis. This table provides a detailed overview of positive (tick mark) and negative (cross mark) staining per sample type tested. The sections were pre-treated using Heat mediated antigen retrieval using Bond™ Epitope Retrieval Solution 2 (pH 9.0) for 20 minutes. The sections were incubated with ab133357 for 30 mins at room temperature followed by a ready to use Rabbit specific IHC polymer detection kit HRP/DAB (ab209101). The immunostaining was performed on a Leica Biosystems BOND® RX instrument.

Immunohistochemistry (Formalin/PFA-fixed paraffin-embedded sections) - Anti-CD11b antibody [EPR1344] (AB133357)
  • IHC-P

PubMed

Immunohistochemistry (Formalin/PFA-fixed paraffin-embedded sections) - Anti-CD11b antibody [EPR1344] (AB133357)

Rottlerin decreases the number of effector cells that mainly infiltrate the skin in IMQ-treated mice

Immunohistochemical detection of immune cell-related markers was performed on paraffin-embedded sections obtained from the back skin of IMQ-induced mice treated with vehicle or rottlerin.

Representatives IHC images of CD11b (B) on the skin of the vehicle or rottlerin-treated mice. Scale bar = 100μm.

Quantification analysis of IHC staining for CD11b(E) on the skin of the vehicle and rottlerin treated mice. Two independent researchers counted the number of positive staining cells were per high-power field (HPF). The data are representative of three experiments (n = 5 mice per group). ** P<0.01 vs. vehicle.

Min, M et al PLoS One. 2017 Dec 22;12(12):e0190051. doi: 10.1371/journal.pone.0190051. eCollection 2017 Reproduced under the Creative Commons license http://creativecommons.org/licenses/by/4.0/

Immunohistochemistry (Formalin/PFA-fixed paraffin-embedded sections) - Anti-CD11b antibody [EPR1344] (AB133357)
  • IHC-P

Lab

Immunohistochemistry (Formalin/PFA-fixed paraffin-embedded sections) - Anti-CD11b antibody [EPR1344] (AB133357)

Tissue Microarrays stained for "Anti-CD11b antibody [EPR1344]" using "ab133357"in immunohistochemical analysis. This table provides a detailed overview of positive (tick mark) and negative (cross mark) staining per sample type tested. The sections were pre-treated using Heat mediated antigen retrieval using Bond™ Epitope Retrieval Solution 2 (pH 9.0) for 20 minutes. The sections were incubated with ab133357 for 30 mins at room temperature followed by a ready to use Rabbit specific IHC polymer detection kit HRP/DAB (ab209101). The immunostaining was performed on a Leica Biosystems BOND® RX instrument.

Immunohistochemistry (Formalin/PFA-fixed paraffin-embedded sections) - Anti-CD11b antibody [EPR1344] (AB133357)
  • IHC-P

AbReview63941****

Immunohistochemistry (Formalin/PFA-fixed paraffin-embedded sections) - Anti-CD11b antibody [EPR1344] (AB133357)

Formalin-fixed, 0.2% Triton-X permeabilized Mouse tissue sections (Eo771 breast cancer) was stained for CD11b using ab133357 (Green) at 1/1000 dilution in immunohistochemical analysis. The secondary antibody was a Alexa Fluor® 488 Goat anti-Rabbit IgG (H+L) at 1/1000 dilution.

BSA as blocking agent for 1 hour(s) and 0 minute(s) · Concentration : 4% · Temperature : 25°C

This image is courtesy of an abreview from Anugraha Rajagopalan

Immunohistochemistry (Formalin/PFA-fixed paraffin-embedded sections) - Anti-CD11b antibody [EPR1344] (AB133357)
  • IHC-P

Lab

Immunohistochemistry (Formalin/PFA-fixed paraffin-embedded sections) - Anti-CD11b antibody [EPR1344] (AB133357)

ab133357 staining CD11b in paraffin embedded Rat cerebrum tissue sections by Immunohistochemistry. Heat mediated antigen retrieval was performed using ab93684 (Tris/EDTA buffer, pH 9.0). Samples were incubated with primary antibody at 1/4000 dilution (0.29 μg/ml). A ready to use Goat Anti-rabbit IgG H&L (HRP) was used as the secondary antibody. Hematoxylin was used as a counterstain. Positive staining on gliocytes of rat cerebrum [PMID : 20483006].

Immunohistochemistry (Formalin/PFA-fixed paraffin-embedded sections) - Anti-CD11b antibody [EPR1344] (AB133357)
  • IHC-P

AbReview53642****

Immunohistochemistry (Formalin/PFA-fixed paraffin-embedded sections) - Anti-CD11b antibody [EPR1344] (AB133357)

Formaldehyde-fixed, paraffin-embedded rat bone marrow tissue stained for CD11b using ab133357 at 1/5000 in immunohistochemical analysis.

Heat mediated antigen retrieval with EDTA buffer pH 9 was performed before commencing with staining protocol. 1% casein was used as blocking agent.

Immunohistochemistry (Formalin/PFA-fixed paraffin-embedded sections) - Anti-CD11b antibody [EPR1344] (AB133357)
  • IHC-P

Lab

Immunohistochemistry (Formalin/PFA-fixed paraffin-embedded sections) - Anti-CD11b antibody [EPR1344] (AB133357)

ab133357 staining CD11b in paraffin embedded Mouse colon tissue sections by Immunohistochemistry. Heat mediated antigen retrieval was performed using ab93684 (Tris/EDTA buffer, pH 9.0). Samples were incubated with primary antibody at 1/4000 dilution (0.031 μg/ml). A ready to use Goat Anti-rabbit IgG H&L (HRP) was used as the secondary antibody. Hematoxylin was used as a counterstain. Positive staining on stromal cells of mouse colon.

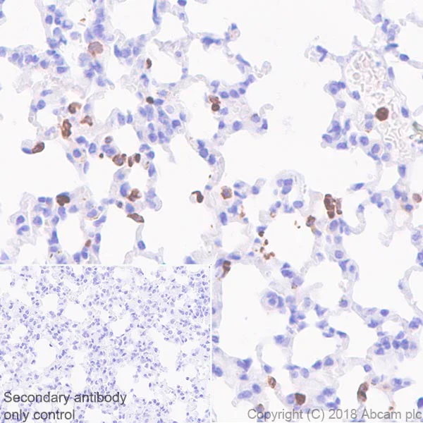
Immunohistochemistry (Formalin/PFA-fixed paraffin-embedded sections) - Anti-CD11b antibody [EPR1344] (AB133357)
  • IHC-P

Lab

Immunohistochemistry (Formalin/PFA-fixed paraffin-embedded sections) - Anti-CD11b antibody [EPR1344] (AB133357)

ab133357 staining CD11b in paraffin embedded Mouse lung tissue sections by Immunohistochemistry. Heat mediated antigen retrieval was performed using ab93684 (Tris/EDTA buffer, pH 9.0). Samples were incubated with primary antibody at 1/4000 dilution (0.031 μg/ml). A ready to use Goat Anti-rabbit IgG H&L (HRP) was used as the secondary antibody. Hematoxylin was used as a counterstain. Positive staining on stromal cells of mouse lung.

Western blot - Anti-CD11b antibody [EPR1344] (AB133357)
  • WB

Lab

Western blot - Anti-CD11b antibody [EPR1344] (AB133357)

Blocking buffer : 5% NFDM/TBST

Dilution buffer : 5% NFDM/TBST

All lanes:

Western blot - Anti-CD11b antibody [EPR1344] (ab133357) at 1/1000 dilution

Lane 1:

TF-1 cell lysate at 20 µg

Lane 2:

TPA treated THP-1 cell lysate at 20 µg

Secondary

All lanes:

HRP goat anti-rabbit (H+L) at 1/1000 dilution

Predicted band size: 127 kDa

Observed band size: 170 kDa

false

Western blot - Anti-CD11b antibody [EPR1344] (AB133357)
  • WB

Lab

Western blot - Anti-CD11b antibody [EPR1344] (AB133357)

Blocking buffer : 5% NFDM/TBST

Dilution buffer : 5% NFDM/TBST

All lanes:

purified at 1/10000 dilution

Lane 1:

RAW264.7 cell lysate at 20 µg

Lane 2:

Mouse spleen tissue lysate at 20 µg

Secondary

All lanes:

HRP goat anti-rabbit (H+L) at 1/1000 dilution

Predicted band size: 127 kDa

Observed band size: 170 kDa

false

Western blot - Anti-CD11b antibody [EPR1344] (AB133357)
  • WB

Lab

Western blot - Anti-CD11b antibody [EPR1344] (AB133357)

Blocking and diluting buffer : 5% NFDM/TBST

All lanes:

Western blot - Anti-CD11b antibody [EPR1344] (ab133357) at 1/1000 dilution

All lanes:

Rat spleen tissue lysate at 20 µg

Secondary

All lanes:

Western blot - Goat Anti-Rabbit IgG H&L (HRP) (<a href='/en-us/products/secondary-antibodies/goat-rabbit-igg-h-l-hrp-ab97051'>ab97051</a>) at 1/20000 dilution

Predicted band size: 127 kDa

Observed band size: 170 kDa

false

Exposure time: 8s

Western blot - Anti-CD11b antibody [EPR1344] (AB133357)
  • WB

Lab

Western blot - Anti-CD11b antibody [EPR1344] (AB133357)

Different batches of ab133357 were tested on Rat spleen lysate at 0.1 µg/ml. 15 µg of lysate was loaded in each lane. Bands observed at 170 kDa.

All lanes:

Western blot - Anti-CD11b antibody [EPR1344] (ab133357)

Predicted band size: 127 kDa

false

Key facts

Host species

Rabbit

Clonality

Monoclonal

Clone number

EPR1344

Isotype

IgG

Carrier free

No

Reacts with

Mouse, Rat, Human

Applications

IHC-P, WB, mIHC

applications

Immunogen

The exact immunogen used to generate this antibody is proprietary information.

Reactivity data

{ "title": "Reactivity Data", "filters": { "stats": ["", "Species", "Dilution Info", "Notes"], "tabs": { "all-applications": {"fullname" : "All Applications", "shortname": "All Applications"}, "IHCP" : {"fullname" : "Immunohistochemistry (Formalin/PFA-fixed paraffin-embedded sections)", "shortname":"IHC-P"}, "WB" : {"fullname" : "Western blot", "shortname":"WB"}, "mIHC" : {"fullname" : "Multiplex immunohistochemistry", "shortname":"mIHC"} }, "product-promise": { "all": "all", "testedAndGuaranteed": "tested", "guaranteed": "expected", "predicted": "predicted", "notRecommended": "not-recommended" } }, "values": { "Human": { "IHCP-species-checked": "testedAndGuaranteed", "IHCP-species-dilution-info": "1/4000", "IHCP-species-notes": "<p>Please optimize IHC protocol when testing mouse and rat tissues. It is easy to show background staining in liver tissue.</p> Perform heat-mediated antigen retrieval before commencing with IHC staining protocol.", "WB-species-checked": "testedAndGuaranteed", "WB-species-dilution-info": "1/1000", "WB-species-notes": "<p></p>", "mIHC-species-checked": "guaranteed", "mIHC-species-dilution-info": "", "mIHC-species-notes": "" }, "Mouse": { "IHCP-species-checked": "testedAndGuaranteed", "IHCP-species-dilution-info": "1/4000", "IHCP-species-notes": "<p>Please optimize IHC protocol when testing mouse and rat tissues. It is easy to show background staining in liver tissue.</p> Perform heat-mediated antigen retrieval before commencing with IHC staining protocol.", "WB-species-checked": "testedAndGuaranteed", "WB-species-dilution-info": "1/1000", "WB-species-notes": "<p></p>", "mIHC-species-checked": "testedAndGuaranteed", "mIHC-species-dilution-info": "1/20000", "mIHC-species-notes": "<p></p>" }, "Rat": { "IHCP-species-checked": "testedAndGuaranteed", "IHCP-species-dilution-info": "1/4000", "IHCP-species-notes": "<p>Please optimize IHC protocol when testing mouse and rat tissues. It is easy to show background staining in liver tissue.</p> Perform heat-mediated antigen retrieval before commencing with IHC staining protocol.", "WB-species-checked": "testedAndGuaranteed", "WB-species-dilution-info": "1/1000", "WB-species-notes": "<p></p>", "mIHC-species-checked": "guaranteed", "mIHC-species-dilution-info": "", "mIHC-species-notes": "" }, "Pig": { "IHCP-species-checked": "predicted", "IHCP-species-dilution-info": "", "IHCP-species-notes": "", "WB-species-checked": "predicted", "WB-species-dilution-info": "", "WB-species-notes": "", "mIHC-species-checked": "predicted", "mIHC-species-dilution-info": "", "mIHC-species-notes": "" }, "Rhesus monkey": { "IHCP-species-checked": "predicted", "IHCP-species-dilution-info": "", "IHCP-species-notes": "", "WB-species-checked": "predicted", "WB-species-dilution-info": "", "WB-species-notes": "", "mIHC-species-checked": "predicted", "mIHC-species-dilution-info": "", "mIHC-species-notes": "" } } }

Product details

Anti-CD11b antibody [EPR1344] (ab133357) was developed by Abcam using patented rabbit monoclonal antibody technology and is validated for use in IHC-P, WB and mIHC.

Anti-CD11b antibody [EPR1344] (ab133357) was first used in a scientific publication in 1976 and has been cited over 347 times in peer reviewed journals. It's performance in IHC in mouse and human samples is trusted by the scientific community.

Abcam's high quality manufacturing and validation processes ensure Anti-CD11b antibody [EPR1344] (ab133357) has high sensitivity and specificity alongside high lot-to-lot consistency and reproducibility.

Anti-CD11b antibody [EPR1344] (ab133357) has 31 independent reviews from customers.

Anti-CD11b antibody [EPR1344] (ab133357) specifically detects CD11b (UniProt ID: P11215; Molecular weight: 126kDa) and is sold in a convenient trial size to enable initial testing (20 µL) and larger sizes for subsequent scaling up experiments (100 µL and 1 mL).

Conjugation-ready, carrier free format available for antibody clone EPR1344 - ab209970.

Antibody clone EPR1344 is also available pre-conjugated to a variety of labels for your convenience - HRP, Alexa Fluor® 488, Alexa Fluor® 555, Alexa Fluor® 647, Alexa Fluor® 594, Alexa Fluor® 568, Alexa Fluor® 750, Biotin (ab204472, ab307387, ab307391, ab307523, ab311811, ab313094, ab321047, ab322298).

CD11b is involved in various diseases by regulating immune cell adhesion, migration and activation, which can influence inflammation, autoimmune conditions and cancer progression. Multiplex IHC staining using Opal in mouse spleen tissue

Patented technology
Our RabMAb® technology is a patented hybridoma-based technology for making rabbit monoclonal antibodies. For details on our patents, please refer to RabMAb® patents.

What are the advantages of a recombinant monoclonal antibody?
This product is a recombinant monoclonal antibody, which offers several advantages including:

  • - High batch-to-batch consistency and reproducibility
  • - Improved sensitivity and specificity
  • - Long-term security of supply
  • - Animal-free batch production

For more information, read more on recombinant antibodies.

Properties and storage information

Form
Liquid
Purification technique
Affinity purification Protein A
Storage buffer
pH: 7.2 - 7.4 Preservative: 0.01% Sodium azide Constituents: PBS, 40% Glycerol (glycerin, glycerine), 0.05% BSA
Shipped at conditions
Blue Ice
Appropriate short-term storage duration
1-2 weeks
Appropriate short-term storage conditions
+4°C
Appropriate long-term storage conditions
-20°C
Aliquoting information
Upon delivery aliquot
Storage information
Avoid freeze / thaw cycle

Supplementary information

This supplementary information is collated from multiple sources and compiled automatically.

CD11b also known as Integrin alpha M is a protein with a molecular weight of approximately 170 kDa. This protein functions mechanically as an important adhesion molecule. It forms a complex with CD18 to become part of leukocyte-specific beta2 integrins specifically the Mac-1 (CR3) receptor. CD11b is largely expressed on the surface of various myeloid cells including monocytes macrophages granulocytes and a subset of natural killer cells. Researchers often utilize anti-CD11b antibodies and other markers such as APC or CD11b IHC to study its expression in different contexts.
Biological function summary

CD11b plays a critical role in various immune responses by mediating phagocytosis chemotaxis and cell migration. It is essential for proper leukocyte adherence to endothelial cells and for the engulfment of pathogens or apoptotic cells. CD11b as part of the Mac-1 complex contributes to the immune surveillance and inflammatory processes. This complex interacts with diverse ligands like ICAM-1 fibrinogen and complement component iC3b facilitating an immunological response.

Pathways

CD11b is instrumental within the integrin signaling pathway and the Leukocyte Transendothelial Migration pathway. Its interaction with ICAM-1 is central to the leukocyte adhesion cascade influencing the movement of immune cells across endothelial barriers. CD11b also associates with proteins such as Src family kinases and PI3K which activate downstream signaling responsible for the reorganization of the cytoskeleton and cell movement during immune responses.

CD11b is linked to inflammatory conditions like rheumatoid arthritis and systemic lupus erythematosus. Aberrant expression or function of CD11b can result in improper immune regulation contributing to the pathogenesis of these diseases. Its interaction with complement receptor iC3b plays a part in inflammation and tissue damage observed in these conditions. Consequently CD11b represents a potential target for therapeutic intervention in diseases where dysregulated immune activity is a feature.

Product protocols

For this product, it's our understanding that no specific protocols are required. You can visit:

Target data

Integrin ITGAM/ITGB2 is implicated in various adhesive interactions of monocytes, macrophages and granulocytes as well as in mediating the uptake of complement-coated particles and pathogens (PubMed : 20008295, PubMed : 9558116). It is identical with CR-3, the receptor for the iC3b fragment of the third complement component. It probably recognizes the R-G-D peptide in C3b. Integrin ITGAM/ITGB2 is also a receptor for fibrinogen, factor X and ICAM1. It recognizes P1 and P2 peptides of fibrinogen gamma chain. Regulates neutrophil migration (PubMed : 28807980). In association with beta subunit ITGB2/CD18, required for CD177-PRTN3-mediated activation of TNF primed neutrophils (PubMed : 21193407). May regulate phagocytosis-induced apoptosis in extravasated neutrophils (By similarity). May play a role in mast cell development (By similarity). Required with TYROBP/DAP12 in microglia to control production of microglial superoxide ions which promote the neuronal apoptosis that occurs during brain development (By similarity).
See full target information ITGAM

Publications (529)

Recent publications for all applications. Explore the full list and refine your search

PLoS pathogens 21:e1013563 PubMed41052208

2025

Dysplastic lung repair fosters a tuberculosis-promoting microenvironment through maladaptive macrophage polarization.

Applications

Unspecified application

Species

Unspecified reactive species

Shivraj M Yabaji,Suruchi Lata,Anna E Tseng,Prasanna Babu Araveti,Ming Lo,Igor Gavrish,Aoife K O'Connell,Hans P Gertje,Anna C Belkina,Colleen E Thurman,Hirofumi Kiyokawa,Darrell Kotton,Shumin Tan,Janice J Endsley,William R Bishai,Nicholas Crossland,Lester Kobzik,Igor Kramnik

iScience 28:113519 PubMed41035689

2025

NRF2 activation in cancer cells suppresses immune infiltration into the tumor microenvironment.

Applications

Unspecified application

Species

Unspecified reactive species

Huaichun Wen,Takafumi Suzuki,Anqi Zhang,Miu Sato,Mahiro Matsumoto,Yuka Takahashi,Yushi Takahashi,Masayuki Yamamoto

Materials today. Bio 34:102226 PubMed40977834

2025

CD11b-modified ROS/pH-responsive nanoparticles co-deliver Dioscin and siRNA to improve cardiac repair after myocardial infarction by reducing neutrophil recruitment.

Applications

Unspecified application

Species

Unspecified reactive species

Nannan Xu,Zuofei Chi,He Zhang,Jiake Wu,Ruowen Sun,Chunyang Tian

Cell stress & chaperones 30:100114 PubMed40947005

2025

Monocyte USP7-p65 axis mediates immune responses to the immunogenicity of nucleus pulposus.

Applications

Unspecified application

Species

Unspecified reactive species

Peng Feng,Xuelei Chu,Ying Che,Jinghua Gao,Chunyu Gao,Ting Zhang

BMC medicine 23:498 PubMed40859356

2025

Fecal microbiota transplantation for refractory chronic graft-versus-host disease after allogeneic hematopoietic cell transplantation: a pilot open-label, non-placebo-controlled study.

Applications

Unspecified application

Species

Unspecified reactive species

Kaibo Yang,Jing Du,Fen Huang,Yutian Si,Yingying Gu,Na Xu,Zhiping Fan,Rongtao Xue,Pu Wang,Xiang Yao,Hui Liu,Xiaofang Li,Jun Xu,Zhixiang Wang,Jing Sun,Ye Chen,Li Xuan,Qifa Liu

Cell reports. Medicine 6:102217 PubMed40834855

2025

Genomic landscape and immunological profile of glioblastoma in East Asian patients.

Applications

Unspecified application

Species

Unspecified reactive species

Sheng Zhong,Bo Wu,Frank Dubois,Davy Deng,Johann S Bergholz,Wanming Hu,Hao Duan,Yujie Shao,Jingyi Liu,Luwei Liu,Sitong Chen,Yongfei Hu,Zheng Zhao,Maojin Yao,Ke Sai,Jian Wang,Yinsheng Chen,Chao Ke,Xiangheng Zhang,Qunying Yang,Chengcheng Guo,Ji Zhang,Fuhua Lin,Zhenghe Chen,Deipei Li,Zhenqiang He,Chang Li,Xiaobing Jiang,Jie Lu,Wenzhuo Yang,Tao Jiang,Zhongping Chen,Rameen Beroukhim,Jean J Zhao,Yonggao Mou

eLife 14: PubMed40742280

2025

Elevated ubiquitin phosphorylation by PINK1 contributes to proteasomal impairment and promotes neurodegeneration.

Applications

Unspecified application

Species

Unspecified reactive species

Cong Chen,Tong-Yao Gao,Hua-Wei Yi,Yi Zhang,Tong Wang,Zhi-Ling Lou,Tao-Feng Wei,Yun-Bi Lu,Tingting Li,Chun Tang,Wei-Ping Zhang

Nature communications 16:6578 PubMed40675962

2025

The tumor-sentinel lymph node immuno-migratome reveals CCR7⁺ dendritic cells drive response to sequenced immunoradiotherapy.

Applications

Unspecified application

Species

Unspecified reactive species

Robert Saddawi-Konefka,Riyam Al Msari,Shiqi Tang,Chad Philips,Sayed Sadat,Lauren M Clubb,Sarah Luna,Santiago Fassardi,Riley Jones,Ida Franiak Pietryga,Farhoud Faraji,Shiruyeh Schokrpur,Bryan S Yung,Michael M Allevato,Kelsey E Decker,Chanond A Nasamran,Daisy Chilin-Fuentes,Sara Brin Rosenthal,Shawn M Jensen,Bernard A Fox,R Bryan Bell,J Silvio Gutkind,Andrew Sharabi,Joseph A Califano

Nature 644:497-505 PubMed40670795

2025

Non-antibiotics disrupt colonization resistance against enteropathogens.

Applications

Unspecified application

Species

Unspecified reactive species

Anne Grießhammer,Jacobo de la Cuesta-Zuluaga,Patrick Müller,Cordula Gekeler,Jan Homolak,Hsuan Chang,Katharina Schmitt,Chiara Planker,Verena Schmidtchen,Suchira Gallage,Erwin Bohn,Taylor H Nguyen,Jenny Hetzer,Mathias Heikenwälder,Kerwyn Casey Huang,Taiyeb Zahir,Lisa Maier

Journal of nanobiotechnology 23:488 PubMed40618146

2025

Macrophage-mimetic liposomes co-delivering ceria and Ac2-26 peptide for penumbra protection in ischemic stroke.

Applications

Unspecified application

Species

Unspecified reactive species

Lingyun Bai,Na Li,Huiqin Li,Yuxuan Dai,Yi Bai,Feiyu Ma,Dujuan Sha,Shengnan Xia,Yun Xu,Xiang Cao
View all publications

Product promise

We are committed to supporting your work with high-quality reagents, and we're here for you every step of the way. In the unlikely event that one of our products does not perform as expected, you're protected by our Product Promise.
For full details, please see our Terms & Conditions

Please note: All products are 'FOR RESEARCH USE ONLY. NOT FOR USE IN DIAGNOSTIC OR THERAPEUTIC PROCEDURES'.

For licensing inquiries, please contact partnerships@abcam.com