JavaScript is disabled in your browser. Please enable JavaScript to view this website.
AB209970

Anti-CD11b antibody [EPR1344] - BSA and Azide free

  • BOND RX™ Validated
  • Recombinant
  • Advanced Validation
  • RabMAb
  • What is this?

4

(3 Reviews)

|

(10 Publications)

Anti-CD11b antibody [EPR1344] - BSA and Azide free (ab209970) is a rabbit recombinant monoclonal antibody provided in a PBS only buffer for easy conjugation detecting CD11b in Western Blot, IHC-P, mIHC. Suitable for Human, Mouse, Rat.

- BSA, sodium azide, and glycerol-free for easy conjugation
- Multiplex IHC validated on the Leica BOND® MAX using Opal reagents
- Biophysical QC for unrivalled batch-batch consistency

View Alternative Names

CD11b, CD11B, CR3A, ITGAM, Integrin alpha-M, CD11 antigen-like family member B, CR-3 alpha chain, Cell surface glycoprotein MAC-1 subunit alpha, Leukocyte adhesion receptor MO1, Neutrophil adherence receptor

10 Images
Immunohistochemistry (Formalin/PFA-fixed paraffin-embedded sections) - Anti-CD11b antibody [EPR1344] - BSA and Azide free (AB209970)
  • IHC-P

Lab

Immunohistochemistry (Formalin/PFA-fixed paraffin-embedded sections) - Anti-CD11b antibody [EPR1344] - BSA and Azide free (AB209970)

This data was developed using the same antibody clone in a different buffer formulation (ab133357).

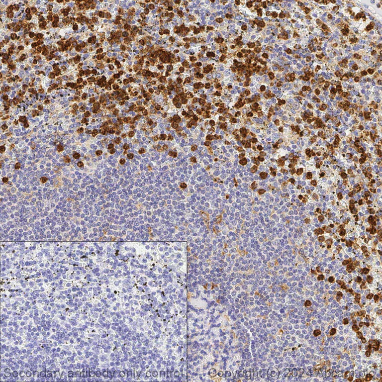
Immunohistochemical analysis of formalin fixed paraffin embedded human spleen labelling CD11b with ab133357 at a concentration of 0.32 µg/ml. The immunostaining was performed on a Leica Biosystems BOND® RX instrument with a Bond™ Polymer Refine Detection kit. Heat mediated antigen retrieval was performed with Tris-EDTA buffer (pH 9.0, Epitope Retrieval Solution 2) for 20 mins. ab133357Anti-CD11b antibody was incubated for 30 mins at room temperature. Sections were counterstained with Hematoxylin. Image inset shows absence of staining in secondary antibody only control.

Immunohistochemistry (Formalin/PFA-fixed paraffin-embedded sections) - Anti-CD11b antibody [EPR1344] - BSA and Azide free (AB209970)
  • IHC-P

Lab

Immunohistochemistry (Formalin/PFA-fixed paraffin-embedded sections) - Anti-CD11b antibody [EPR1344] - BSA and Azide free (AB209970)

IHC image of CD11b staining in a formalin fixed, paraffin embedded human normal spleen tissue section*, performed on a Leica Bond™ system using the standard protocol F. The section was pre-treated using heat mediated antigen retrieval with sodium citrate buffer (pH6, epitope retrieval solution 1) for 20 mins. The section was then incubated with ab133357 at 1/4000 dilution, for 15 mins at room temperature and detected using an HRP conjugated compact polymer system. DAB was used as the chromogen. The section was then counterstained with haematoxylin and mounted with DPX.

For other IHC staining systems (automated and non-automated) customers should optimize variable parameters such as antigen retrieval conditions, primary antibody concentration and antibody incubation times.

*Tissue obtained from the Human Research Tissue Bank, supported by the NIHR Cambridge Biomedical Research Centre

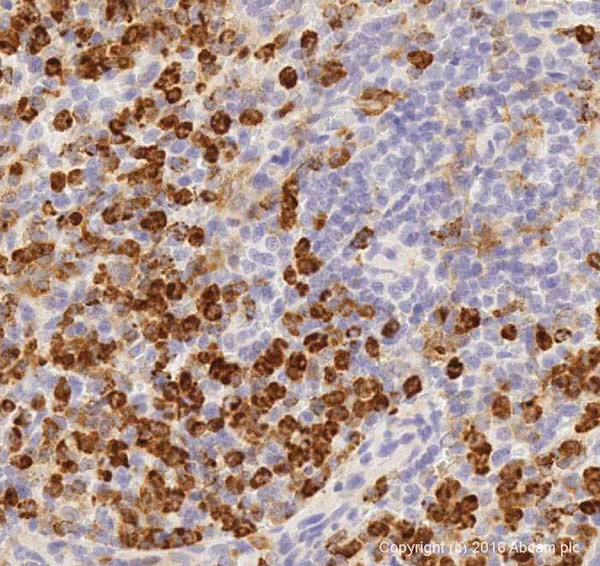
This data was developed using the same antibody clone in a different buffer formulation containing PBS, BSA, glycerol, and sodium azide (ab133357).

Immunohistochemistry (Formalin/PFA-fixed paraffin-embedded sections) - Anti-CD11b antibody [EPR1344] - BSA and Azide free (AB209970)
  • IHC-P

Unknown

Immunohistochemistry (Formalin/PFA-fixed paraffin-embedded sections) - Anti-CD11b antibody [EPR1344] - BSA and Azide free (AB209970)

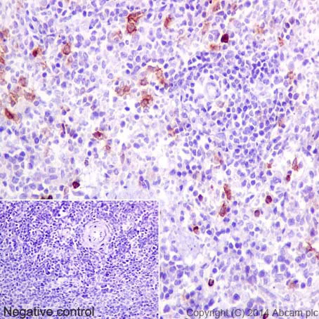
Immunohistochemical staining of paraffin embedded human spleen with purified ab133357 at a working dilution of 1 in 4000. The secondary antibody used is a HRP goat anti-rabbit (ab97051). The sample is counter-stained with hematoxylin. Antigen retrieval was perfomed using Tris-EDTA buffer, pH 9.0. PBS was used instead of the primary antibody as the negative control, and is shown in the inset.

This data was developed using the same antibody clone in a different buffer formulation containing PBS, BSA, glycerol, and sodium azide (ab133357).

Immunohistochemistry (Formalin/PFA-fixed paraffin-embedded sections) - Anti-CD11b antibody [EPR1344] - BSA and Azide free (AB209970)
  • IHC-P

Lab

Immunohistochemistry (Formalin/PFA-fixed paraffin-embedded sections) - Anti-CD11b antibody [EPR1344] - BSA and Azide free (AB209970)

This data was developed using the same antibody clone in a different buffer formulation (ab133357).

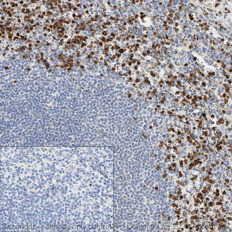
Immunohistochemical analysis of formalin fixed paraffin embedded human spleen labelling CD11b with ab133357 at a concentration of 1µg/ml. The immunostaining was performed on a Ventana DISCOVERY ULTRA (Roche Tissue Diagnostics) instrument with an OptiView DAB IHC Detection Kit. Heat mediated antigen retrieval was conducted for 32 mins at 100°C with ULTRA cell conditioning solution (CC1, pH 8.5). ab133357 Anti-CD11b antibody was incubated at 37°C for 16 mins. Sections were counterstained with Hematoxylin II. Image inset shows absence of staining in secondary antibody only control.

Multiplex immunohistochemistry - Anti-CD11b antibody [EPR1344] - BSA and Azide free (AB209970)
  • mIHC

Supplier Data

Multiplex immunohistochemistry - Anti-CD11b antibody [EPR1344] - BSA and Azide free (AB209970)

This data was developed using ab317272 the same antibody clone in a different buffer formulation.

Multiplex immunohistochemistry analysis of formalin/PFA-fixed paraffin-embedded mouse spleen tissue staining LY6C with ab317272 at a 1 : 100 (0.978 ug/ml) dilution, ab133357 anti-CD11b used at 1 : 20000 (0.05 ug/ml) dilution and ab245235 anti-CD19 used at a 1 : 1000 (0.999 ug/ml) dilution.

Panel A : merged staining of anti-Ly6c (green; Opal™690), anti-CD11b (magenta; Opal™570) and anti-CD19 (yellow; Opal™520) on mouse spleen.
Panel B : anti-Ly6c stained on monocytes/macrophages.
Panel C : anti-CD11b stained on monocytes/macrophages.
Panel D : anti-CD19 stained on B cells.
Co-staining of Ly6c and CD11b can be observed.
The section was incubated in three rounds of staining : in the order of ab317272, ab133357, and ab245235 for 30 mins at room temperature. Each round was followed by a separate fluorescent tyramide signal amplification system.
Nuclear DNA was labeled with DAPI (shown in blue).

The immunostaining was performed on a Leica Biosystems BOND® RX instrument with an Opal™ 4-color kit. Image acquisition was performed with Leica SP8 confocal microscope.

Nuclear counter stain with DAPI.

Heat mediated antigen retrieval was performed with Tris-EDTA buffer (pH 9.0, Epitope Retrieval Solution2) for 20 mins.

Immunohistochemistry (Formalin/PFA-fixed paraffin-embedded sections) - Anti-CD11b antibody [EPR1344] - BSA and Azide free (AB209970)
  • IHC-P

Lab

Immunohistochemistry (Formalin/PFA-fixed paraffin-embedded sections) - Anti-CD11b antibody [EPR1344] - BSA and Azide free (AB209970)

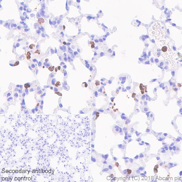
ab133357 staining CD11b in paraffin embedded Mouse lung tissue sections by Immunohistochemistry. Heat mediated antigen retrieval was performed using ab93684 (Tris/EDTA buffer, pH 9.0). Samples were incubated with primary antibody at 1/4000 dilution (0.031 μg/ml). A ready to use Goat Anti-rabbit IgG H&L (HRP) was used as the secondary antibody. Hematoxylin was used as a counterstain. Positive staining on stromal cells of mouse lung.

This data was developed using the same antibody clone in a different buffer formulation containing PBS, BSA, glycerol, and sodium azide (ab133357).

Immunohistochemistry (Formalin/PFA-fixed paraffin-embedded sections) - Anti-CD11b antibody [EPR1344] - BSA and Azide free (AB209970)
  • IHC-P

Lab

Immunohistochemistry (Formalin/PFA-fixed paraffin-embedded sections) - Anti-CD11b antibody [EPR1344] - BSA and Azide free (AB209970)

ab133357 staining CD11b in paraffin embedded Rat cerebrum tissue sections by Immunohistochemistry. Heat mediated antigen retrieval was performed using ab93684 (Tris/EDTA buffer, pH 9.0). Samples were incubated with primary antibody at 1/4000 dilution (0.29 μg/ml). A ready to use Goat Anti-rabbit IgG H&L (HRP) was used as the secondary antibody. Hematoxylin was used as a counterstain. Positive staining on gliocytes of rat cerebrum [PMID : 20483006].

This data was developed using the same antibody clone in a different buffer formulation containing PBS, BSA, glycerol, and sodium azide (ab133357).

Immunohistochemistry (Formalin/PFA-fixed paraffin-embedded sections) - Anti-CD11b antibody [EPR1344] - BSA and Azide free (AB209970)
  • IHC-P

AbReview53642****

Immunohistochemistry (Formalin/PFA-fixed paraffin-embedded sections) - Anti-CD11b antibody [EPR1344] - BSA and Azide free (AB209970)

Formaldehyde-fixed, paraffin-embedded rat bone marrow tissue stained for CD11b using ab133357 at 1/5000 in immunohistochemical analysis.

Heat mediated antigen retrieval with EDTA buffer pH 9 was performed before commencing with staining protocol. 1% casein was used as blocking agent.

This data was developed using the same antibody clone in a different buffer formulation containing PBS, BSA, glycerol, and sodium azide (ab133357).

Immunohistochemistry (Formalin/PFA-fixed paraffin-embedded sections) - Anti-CD11b antibody [EPR1344] - BSA and Azide free (AB209970)
  • IHC-P

Lab

Immunohistochemistry (Formalin/PFA-fixed paraffin-embedded sections) - Anti-CD11b antibody [EPR1344] - BSA and Azide free (AB209970)

ab133357 staining CD11b in paraffin embedded Mouse colon tissue sections by Immunohistochemistry. Heat mediated antigen retrieval was performed using ab93684 (Tris/EDTA buffer, pH 9.0). Samples were incubated with primary antibody at 1/4000 dilution (0.031 μg/ml). A ready to use Goat Anti-rabbit IgG H&L (HRP) was used as the secondary antibody. Hematoxylin was used as a counterstain. Positive staining on stromal cells of mouse colon.

This data was developed using the same antibody clone in a different buffer formulation containing PBS, BSA, glycerol, and sodium azide (ab133357).

Western blot - Anti-CD11b antibody [EPR1344] - BSA and Azide free (AB209970)
  • WB

Lab

Western blot - Anti-CD11b antibody [EPR1344] - BSA and Azide free (AB209970)

This data was developed using ab133357, the same antibody clone in a different buffer formulation. Different batches of ab133357 were tested on Rat spleen lysate at 0.1 µg/ml. 15 µg of lysate was loaded in each lane. Bands observed at 170 kDa.

All lanes:

Western blot - Anti-CD11b antibody [EPR1344] (<a href='/en-us/products/primary-antibodies/cd11b-antibody-epr1344-ab133357'>ab133357</a>)

Predicted band size: 127 kDa

false

Key facts

Host species

Rabbit

Clonality

Monoclonal

Clone number

EPR1344

Isotype

IgG

Carrier free

Yes

Reacts with

Mouse, Rat, Human

Applications

IHC-P, WB, mIHC

applications

Immunogen

The exact immunogen used to generate this antibody is proprietary information.

Reactivity data

{ "title": "Reactivity Data", "filters": { "stats": ["", "Species", "Dilution Info", "Notes"], "tabs": { "all-applications": {"fullname" : "All Applications", "shortname": "All Applications"}, "WB" : {"fullname" : "Western blot", "shortname":"WB"}, "IHCP" : {"fullname" : "Immunohistochemistry (Formalin/PFA-fixed paraffin-embedded sections)", "shortname":"IHC-P"}, "mIHC" : {"fullname" : "Multiplex immunohistochemistry", "shortname":"mIHC"} }, "product-promise": { "all": "all", "testedAndGuaranteed": "tested", "guaranteed": "expected", "predicted": "predicted", "notRecommended": "not-recommended" } }, "values": { "Human": { "WB-species-checked": "testedAndGuaranteed", "WB-species-dilution-info": "", "WB-species-notes": "<p></p>", "IHCP-species-checked": "testedAndGuaranteed", "IHCP-species-dilution-info": "", "IHCP-species-notes": "<p></p>", "mIHC-species-checked": "guaranteed", "mIHC-species-dilution-info": "", "mIHC-species-notes": "" }, "Mouse": { "WB-species-checked": "testedAndGuaranteed", "WB-species-dilution-info": "", "WB-species-notes": "<p></p>", "IHCP-species-checked": "testedAndGuaranteed", "IHCP-species-dilution-info": "", "IHCP-species-notes": "<p></p>", "mIHC-species-checked": "testedAndGuaranteed", "mIHC-species-dilution-info": "", "mIHC-species-notes": "<p></p>" }, "Rat": { "WB-species-checked": "testedAndGuaranteed", "WB-species-dilution-info": "", "WB-species-notes": "<p></p>", "IHCP-species-checked": "testedAndGuaranteed", "IHCP-species-dilution-info": "", "IHCP-species-notes": "<p></p>", "mIHC-species-checked": "guaranteed", "mIHC-species-dilution-info": "", "mIHC-species-notes": "" }, "Pig": { "WB-species-checked": "predicted", "WB-species-dilution-info": "", "WB-species-notes": "", "IHCP-species-checked": "predicted", "IHCP-species-dilution-info": "", "IHCP-species-notes": "", "mIHC-species-checked": "predicted", "mIHC-species-dilution-info": "", "mIHC-species-notes": "" }, "Rhesus monkey": { "WB-species-checked": "predicted", "WB-species-dilution-info": "", "WB-species-notes": "", "IHCP-species-checked": "predicted", "IHCP-species-dilution-info": "", "IHCP-species-notes": "", "mIHC-species-checked": "predicted", "mIHC-species-dilution-info": "", "mIHC-species-notes": "" } } }

Product details

What is this antibody validated in?
Anti-CD11b antibody [EPR1344] - BSA and Azide free (ab209970) is a rabbit recombinant monoclonal antibody and is validated for use in Western Blot (WB), Immunohistochemistry (IHC-P), Multiplex IHC (mIHC) in Human, Mouse, Rat samples.

What is the molecular weight of CD11b?
Anti-CD11b [EPR1344] - BSA and Azide free (ab209970) specifically detects a band for CD11b (UniProt: P11215) at a molecular weight of 127kDa.

Other related products
We have a range of other formats of antibody clone [EPR1344] also available for your convenience: ab133357, HRP - ab204472, Carrier free - ab209970, Carrier free - ab216445, Alexa Fluor® 488 - ab307387, Alexa Fluor® 555 - ab307391, Alexa Fluor® 647 - ab307523, Alexa Fluor® 594 - ab311811, Alexa Fluor® 568 - ab313094, Alexa Fluor® 750 - ab321047, Biotin - ab322298

Patented technology
Our RabMAb® technology is a patented hybridoma-based technology for making rabbit monoclonal antibodies. For details on our patents, please refer to RabMAb® patents.

What are the advantages of a recombinant monoclonal antibody?
This product is a recombinant monoclonal antibody, which offers several advantages including:

  • - High batch-to-batch consistency and reproducibility
  • - Improved sensitivity and specificity
  • - Long-term security of supply
  • - Animal-free batch production

For more information, read more on recombinant antibodies.

Conjugation ready
Our carrier-free antibodies are typically supplied in a PBS-only formulation, purified and free of BSA, sodium azide and glycerol. This conjugation-ready format is designed for use with fluorochromes, metal isotopes, oligonucleotides, and enzymes, which makes them ideal for antibody labelling, functional and cell-based assays, flow-based assays (e.g. mass cytometry) and Multiplex Imaging applications.

Use our conjugation kits for antibody conjugates that are ready-to-use in as little as 20 minutes with 1 minute hands-on-time and 100% antibody recovery: available for fluorescent dyes, HRP, biotin and gold.

Compatibility
This product is compatible with the Maxpar® Antibody Labeling Kit from Fluidigm, without the need for antibody preparation. Maxpar® is a trademark of Fluidigm Canada Inc.

Properties and storage information

Form
Liquid
Purification technique
Affinity purification Protein A
Storage buffer
pH: 8 Constituents: PBS
Shipped at conditions
Blue Ice
Appropriate short-term storage conditions
+4°C
Appropriate long-term storage conditions
+4°C
Storage information
Do Not Freeze

Supplementary information

This supplementary information is collated from multiple sources and compiled automatically.

CD11b also known as Integrin alpha M is a protein with a molecular weight of approximately 170 kDa. This protein functions mechanically as an important adhesion molecule. It forms a complex with CD18 to become part of leukocyte-specific beta2 integrins specifically the Mac-1 (CR3) receptor. CD11b is largely expressed on the surface of various myeloid cells including monocytes macrophages granulocytes and a subset of natural killer cells. Researchers often utilize anti-CD11b antibodies and other markers such as APC or CD11b IHC to study its expression in different contexts.
Biological function summary

CD11b plays a critical role in various immune responses by mediating phagocytosis chemotaxis and cell migration. It is essential for proper leukocyte adherence to endothelial cells and for the engulfment of pathogens or apoptotic cells. CD11b as part of the Mac-1 complex contributes to the immune surveillance and inflammatory processes. This complex interacts with diverse ligands like ICAM-1 fibrinogen and complement component iC3b facilitating an immunological response.

Pathways

CD11b is instrumental within the integrin signaling pathway and the Leukocyte Transendothelial Migration pathway. Its interaction with ICAM-1 is central to the leukocyte adhesion cascade influencing the movement of immune cells across endothelial barriers. CD11b also associates with proteins such as Src family kinases and PI3K which activate downstream signaling responsible for the reorganization of the cytoskeleton and cell movement during immune responses.

CD11b is linked to inflammatory conditions like rheumatoid arthritis and systemic lupus erythematosus. Aberrant expression or function of CD11b can result in improper immune regulation contributing to the pathogenesis of these diseases. Its interaction with complement receptor iC3b plays a part in inflammation and tissue damage observed in these conditions. Consequently CD11b represents a potential target for therapeutic intervention in diseases where dysregulated immune activity is a feature.

Product protocols

For this product, it's our understanding that no specific protocols are required. You can visit:

Target data

Integrin ITGAM/ITGB2 is implicated in various adhesive interactions of monocytes, macrophages and granulocytes as well as in mediating the uptake of complement-coated particles and pathogens (PubMed : 20008295, PubMed : 9558116). It is identical with CR-3, the receptor for the iC3b fragment of the third complement component. It probably recognizes the R-G-D peptide in C3b. Integrin ITGAM/ITGB2 is also a receptor for fibrinogen, factor X and ICAM1. It recognizes P1 and P2 peptides of fibrinogen gamma chain. Regulates neutrophil migration (PubMed : 28807980). In association with beta subunit ITGB2/CD18, required for CD177-PRTN3-mediated activation of TNF primed neutrophils (PubMed : 21193407). May regulate phagocytosis-induced apoptosis in extravasated neutrophils (By similarity). May play a role in mast cell development (By similarity). Required with TYROBP/DAP12 in microglia to control production of microglial superoxide ions which promote the neuronal apoptosis that occurs during brain development (By similarity).
See full target information ITGAM

Publications (10)

Recent publications for all applications. Explore the full list and refine your search

International journal of molecular sciences 26: PubMed40943295

2025

Zileuton Attenuates Acute Kidney Injury in Glycerol-Induced Rhabdomyolysis by Regulating Myeloid-Derived Suppressor Cells in Mice.

Applications

Unspecified application

Species

Unspecified reactive species

Tae Won Lee,Eunjin Bae,Jin Hyun Kim,Myeong Hee Jung,Dong Jun Park

Communications biology 8:1040 PubMed40640354

2025

Fortilin deficiency induces anti-atherosclerotic phenotypes in macrophages and protects hypercholesterolemic mice against atherosclerosis.

Applications

Unspecified application

Species

Unspecified reactive species

Nattaporn Wanachottrakul,Decha Pinkaew,Sandipan Mukherjee,Preedakorn Chunhacha,Mari Nakashima,Asa A Brockman,Uttariya Pal,Hasseri B Halim,Yuhong Wei,Lena Tanaka,Hanna Huynh,Kota Ramana,Shiyou Chen,Rebecca A Ihrie,Ken Fujise

Nature communications 16:6009 PubMed40593805

2025

Spatial and single cell mapping of castleman disease reveals key stromal cell types and cytokine pathways.

Applications

Unspecified application

Species

Unspecified reactive species

David Smith,Anna Eichinger,Éanna Fennell,Zijun Y Xu-Monette,Andrew Rech,Julia Wang,Eduardo Esteva,Arta Seyedian,Xiaoxu Yang,Mei Zhang,Dan Martinez,Kai Tan,Minjie Luo,Katherine J Young,Paul G Murray,Christopher Park,Boris Reizis,Vinodh Pillai

Nature immunology 26:1182-1197 PubMed40588561

2025

Chemosensor receptors are lipid-detecting regulators of macrophage function in cancer.

Applications

Unspecified application

Species

Unspecified reactive species

Giulia Marelli,Nicolò Morina,Simone Puccio,Marta Iovino,Marta Pandini,Federica Portale,Mattia Carvetta,Divya Mishra,Elisabetta Diana,Greta Meregalli,Elvezia Paraboschi,Javier Cibella,Clelia Peano,Gianluca Basso,Gabriele De Simone,Chiara Camisaschi,Elena Magrini,Giulio Sartori,Elham Karimi,Piergiuseppe Colombo,Massimo Lazzeri,Paolo Casale,Lavinia Morosi,Giuseppe Martano,Rosanna Asselta,Eduardo Bonavita,Hiro Matsunami,Francesco Bertoni,Logan Walsh,Enrico Lugli,Diletta Di Mitri

Cell 187:3120-3140.e29 PubMed38714197

2024

Mapping the cellular biogeography of human bone marrow niches using single-cell transcriptomics and proteomic imaging.

Applications

Unspecified application

Species

Unspecified reactive species

Shovik Bandyopadhyay,Michael P Duffy,Kyung Jin Ahn,Jonathan H Sussman,Minxing Pang,David Smith,Gwendolyn Duncan,Iris Zhang,Jeffrey Huang,Yulieh Lin,Barbara Xiong,Tamjid Imtiaz,Chia-Hui Chen,Anusha Thadi,Changya Chen,Jason Xu,Melissa Reichart,Zachary Martinez,Caroline Diorio,Chider Chen,Vinodh Pillai,Oraine Snaith,Derek Oldridge,Siddharth Bhattacharyya,Ivan Maillard,Martin Carroll,Charles Nelson,Ling Qin,Kai Tan

Cell & bioscience 14:19 PubMed38311785

2024

Tunable PhenoCycler imaging of the murine pre-clinical tumour microenvironments.

Applications

Unspecified application

Species

Unspecified reactive species

Madelyn J Abraham,Christophe Goncalves,Paige McCallum,Vrinda Gupta,Samuel E J Preston,Fan Huang,Hsiang Chou,Natascha Gagnon,Nathalie A Johnson,Wilson H Miller,Koren K Mann,Sonia V Del Rincon

Cell reports methods 3:100595 PubMed37741277

2023

Dual-modality imaging of immunofluorescence and imaging mass cytometry for whole-slide imaging and accurate segmentation.

Applications

Unspecified application

Species

Unspecified reactive species

Eun Na Kim,Phyllis Zixuan Chen,Dario Bressan,Monika Tripathi,Ahmad Miremadi,Massimiliano di Pietro,Lisa M Coussens,Gregory J Hannon,Rebecca C Fitzgerald,Lizhe Zhuang,Young Hwan Chang

Cell metabolism 35:1209-1226.e13 PubMed37172577

2023

Extracellular vesicles in fatty liver promote a metastatic tumor microenvironment.

Applications

Unspecified application

Species

Unspecified reactive species

Zhijun Wang,So Yeon Kim,Wei Tu,Jieun Kim,Alexander Xu,Yoon Mee Yang,Michitaka Matsuda,Lien Reolizo,Takashi Tsuchiya,Sandrine Billet,Alexandra Gangi,Mazen Noureddin,Ben A Falk,Sungjin Kim,Wei Fan,Mourad Tighiouart,Sungyong You,Michael S Lewis,Stephen J Pandol,Dolores Di Vizio,Akil Merchant,Edwin M Posadas,Neil A Bhowmick,Shelly C Lu,Ekihiro Seki

Immunity 55:1118-1134.e8 PubMed35447093

2022

Combined protein and nucleic acid imaging reveals virus-dependent B cell and macrophage immunosuppression of tissue microenvironments.

Applications

Unspecified application

Species

Unspecified reactive species

Sizun Jiang,Chi Ngai Chan,Xavier Rovira-Clavé,Han Chen,Yunhao Bai,Bokai Zhu,Erin McCaffrey,Noah F Greenwald,Candace Liu,Graham L Barlow,Jason L Weirather,John Paul Oliveria,Tsuguhisa Nakayama,Ivan T Lee,Matthias S Matter,Anne E Carlisle,Darci Philips,Gustavo Vazquez,Nilanjan Mukherjee,Kathleen Busman-Sahay,Michael Nekorchuk,Margaret Terry,Skyler Younger,Marc Bosse,Janos Demeter,Scott J Rodig,Alexandar Tzankov,Yury Goltsev,David Robert McIlwain,Michael Angelo,Jacob D Estes,Garry P Nolan

PloS one 9:e106809 PubMed25184686

2014

Reciprocity in the developmental regulation of aquaporins 1, 3 and 5 during pregnancy and lactation in the rat.

Applications

Unspecified application

Species

Unspecified reactive species

Sasan Nazemi,Mette Rahbek,Ladan Parhamifar,Seyed Moein Moghimi,Hamid Babamoradi,Foojan Mehrdana,Dan Arne Klærke,Christopher H Knight
View all publications

Product promise

We are committed to supporting your work with high-quality reagents, and we're here for you every step of the way. In the unlikely event that one of our products does not perform as expected, you're protected by our Product Promise.
For full details, please see our Terms & Conditions

Please note: All products are 'FOR RESEARCH USE ONLY. NOT FOR USE IN DIAGNOSTIC OR THERAPEUTIC PROCEDURES'.

For licensing inquiries, please contact partnerships@abcam.com