JavaScript is disabled in your browser. Please enable JavaScript to view this website.
AB269686

Anti-CD11b antibody [ITGAM/3338] - BSA and Azide free

Be the first to review this product! Submit a review

|

(1 Publication)

Mouse Monoclonal CD11b antibody. Carrier free. Suitable for WB, Protein Array, IHC-P and reacts with Human, Recombinant full length protein - Human samples. Cited in 1 publication. Immunogen corresponding to Recombinant Fragment Protein within Human ITGAM aa 900-1100.

View Alternative Names

CD11b, CD11B, CR3A, ITGAM, Integrin alpha-M, CD11 antigen-like family member B, CR-3 alpha chain, Cell surface glycoprotein MAC-1 subunit alpha, Leukocyte adhesion receptor MO1, Neutrophil adherence receptor

4 Images
Immunohistochemistry (Formalin/PFA-fixed paraffin-embedded sections) - Anti-CD11b antibody [ITGAM/3338] - BSA and Azide free (AB269686)
  • IHC-P

Supplier Data

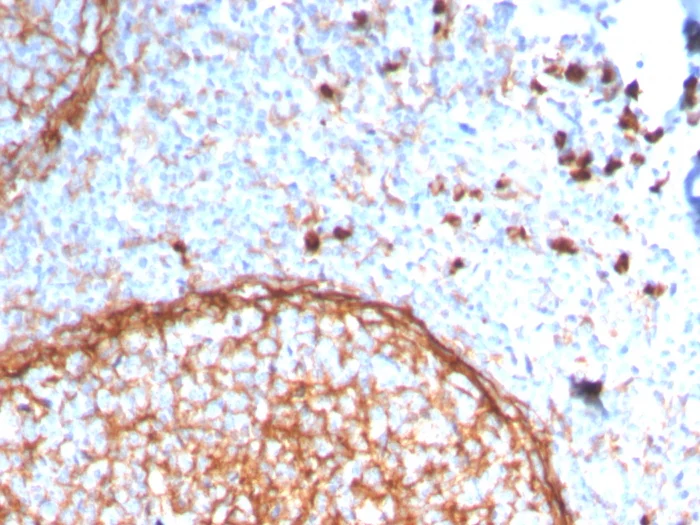
Immunohistochemistry (Formalin/PFA-fixed paraffin-embedded sections) - Anti-CD11b antibody [ITGAM/3338] - BSA and Azide free (AB269686)

Formalin-fixed, paraffin-embedded human tonsil tissue stained for CD11b using ab269676 at 2 μg/ml in immunohistochemical analysis.

This data was deveolped using the same antibody clone in a different buffer formulation containing PBS, BSA and Sodium azide (ab269676).

Immunohistochemistry (Formalin/PFA-fixed paraffin-embedded sections) - Anti-CD11b antibody [ITGAM/3338] - BSA and Azide free (AB269686)
  • IHC-P

Supplier Data

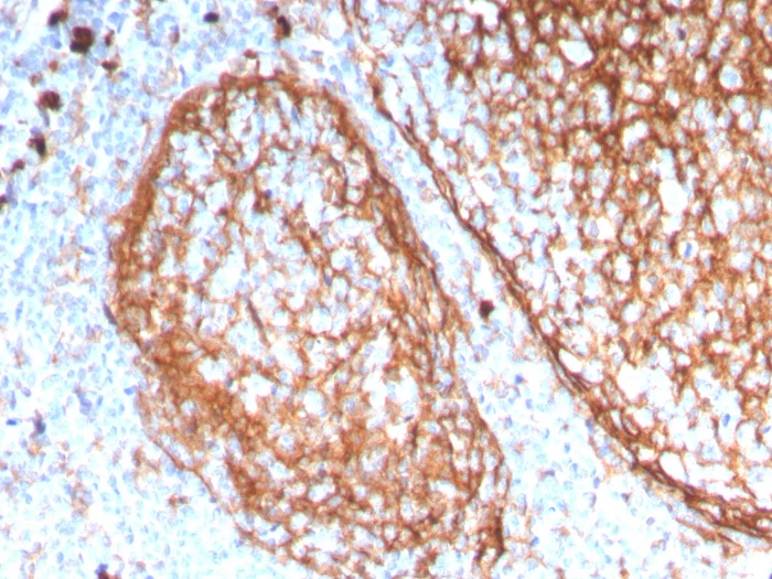
Immunohistochemistry (Formalin/PFA-fixed paraffin-embedded sections) - Anti-CD11b antibody [ITGAM/3338] - BSA and Azide free (AB269686)

Formalin-fixed, paraffin-embedded human tonsil tissue stained for CD11b using ab269676 at 2 μg/ml in immunohistochemical analysis.

This data was deveolped using the same antibody clone in a different buffer formulation containing PBS, BSA and Sodium azide (ab269676).

Western blot - Anti-CD11b antibody [ITGAM/3338] - BSA and Azide free (AB269686)
  • WB

Unknown

Western blot - Anti-CD11b antibody [ITGAM/3338] - BSA and Azide free (AB269686)

This data was deveolped using the same antibody clone in a different buffer formulation containing PBS, BSA and Sodium azide (ab269676).

All lanes:

Western blot - Anti-CD11b antibody [ITGAM/3338] - BSA and Azide free (ab269686) at 2 µg/mL

All lanes:

Human spleen lysate

Predicted band size: 127 kDa

false

Protein Array - Anti-CD11b antibody [ITGAM/3338] - BSA and Azide free (AB269686)
  • Protein Array

Unknown

Protein Array - Anti-CD11b antibody [ITGAM/3338] - BSA and Azide free (AB269686)

Analysis of Protein Array containing more than 19,000 full-length human proteins using ab269676.

Z- and S- Score : The Z-score represents the strength of a signal that a monoclonal antibody (MAb) (in combination with a fluorescently-tagged anti-IgG secondary antibody) produces when binding to a particular protein on the HuProtTM array. Z-scores are described in units of standard deviations (SD's) above the mean value of all signals generated on that array. If targets on HuProtTM are arranged in descending order of the Z-score, the S-score is the difference (also in units of SD's) between the Z-score. S-score therefore represents the relative target specificity of a MAb to its intended target. A MAb is considered to specific to its intended target, if the MAb has an S-score of at least 2.5. For example, if a MAb binds to protein X with a Z-score of 43 and to protein Y with a Z-score of 14, then the S-score for the binding of that MAb to protein X is equal to 29.

This data was deveolped using the same antibody clone in a different buffer formulation containing PBS, BSA and Sodium azide (ab269676).

Key facts

Host species

Mouse

Clonality

Monoclonal

Clone number

ITGAM/3338

Isotype

IgG1

Light chain type

kappa

Carrier free

Yes

Reacts with

Human

Applications

IHC-P, Protein Array, WB

applications

Immunogen

Recombinant Fragment Protein within Human ITGAM aa 900-1100. The exact immunogen used to generate this antibody is proprietary information.

P11215

Reactivity data

{ "title": "Reactivity Data", "filters": { "stats": ["", "Species", "Dilution Info", "Notes"], "tabs": { "all-applications": {"fullname" : "All Applications", "shortname": "All Applications"}, "WB" : {"fullname" : "Western blot", "shortname":"WB"}, "ProteinArray" : {"fullname" : "Protein Array", "shortname":"Protein Array"}, "IHCP" : {"fullname" : "Immunohistochemistry (Formalin/PFA-fixed paraffin-embedded sections)", "shortname":"IHC-P"} }, "product-promise": { "all": "all", "testedAndGuaranteed": "tested", "guaranteed": "expected", "predicted": "predicted", "notRecommended": "not-recommended" } }, "values": { "Human": { "WB-species-checked": "testedAndGuaranteed", "WB-species-dilution-info": "1-2 µg/mL", "WB-species-notes": "<p></p>", "ProteinArray-species-checked": "guaranteed", "ProteinArray-species-dilution-info": "", "ProteinArray-species-notes": "", "IHCP-species-checked": "testedAndGuaranteed", "IHCP-species-dilution-info": "1-2 µg/mL", "IHCP-species-notes": "<p></p> Perform heat-mediated antigen retrieval with Tris/EDTA buffer pH 9.0 before commencing with IHC staining protocol." }, "Recombinant full length protein - Human": { "WB-species-checked": "notRecommended", "WB-species-dilution-info": "", "WB-species-notes": "", "ProteinArray-species-checked": "testedAndGuaranteed", "ProteinArray-species-dilution-info": "", "ProteinArray-species-notes": "<p></p>", "IHCP-species-checked": "notRecommended", "IHCP-species-dilution-info": "", "IHCP-species-notes": "" } } }

Product details

ab269686 is the carrier-free version of ab269676.

Conjugation ready
Our carrier-free antibodies are typically supplied in a PBS-only formulation, purified and free of BSA, sodium azide and glycerol. This conjugation-ready format is designed for use with fluorochromes, metal isotopes, oligonucleotides, and enzymes, which makes them ideal for antibody labelling, functional and cell-based assays, flow-based assays (e.g. mass cytometry) and Multiplex Imaging applications.

Use our conjugation kits for antibody conjugates that are ready-to-use in as little as 20 minutes with 1 minute hands-on-time and 100% antibody recovery: available for fluorescent dyes, HRP, biotin and gold.

Properties and storage information

Form
Liquid
Purification technique
Affinity purification Protein A/G
Purification notes
Purified from Bioreactor Concentrate
Storage buffer
pH: 7.2 - 7.4 Constituents: PBS
Shipped at conditions
Blue Ice
Appropriate short-term storage duration
1-2 weeks
Appropriate short-term storage conditions
+4°C
Appropriate long-term storage conditions
-20°C
Aliquoting information
Upon delivery aliquot
Storage information
Avoid freeze / thaw cycle

Supplementary information

This supplementary information is collated from multiple sources and compiled automatically.

CD11b also known as Integrin alpha M is a protein with a molecular weight of approximately 170 kDa. This protein functions mechanically as an important adhesion molecule. It forms a complex with CD18 to become part of leukocyte-specific beta2 integrins specifically the Mac-1 (CR3) receptor. CD11b is largely expressed on the surface of various myeloid cells including monocytes macrophages granulocytes and a subset of natural killer cells. Researchers often utilize anti-CD11b antibodies and other markers such as APC or CD11b IHC to study its expression in different contexts.
Biological function summary

CD11b plays a critical role in various immune responses by mediating phagocytosis chemotaxis and cell migration. It is essential for proper leukocyte adherence to endothelial cells and for the engulfment of pathogens or apoptotic cells. CD11b as part of the Mac-1 complex contributes to the immune surveillance and inflammatory processes. This complex interacts with diverse ligands like ICAM-1 fibrinogen and complement component iC3b facilitating an immunological response.

Pathways

CD11b is instrumental within the integrin signaling pathway and the Leukocyte Transendothelial Migration pathway. Its interaction with ICAM-1 is central to the leukocyte adhesion cascade influencing the movement of immune cells across endothelial barriers. CD11b also associates with proteins such as Src family kinases and PI3K which activate downstream signaling responsible for the reorganization of the cytoskeleton and cell movement during immune responses.

CD11b is linked to inflammatory conditions like rheumatoid arthritis and systemic lupus erythematosus. Aberrant expression or function of CD11b can result in improper immune regulation contributing to the pathogenesis of these diseases. Its interaction with complement receptor iC3b plays a part in inflammation and tissue damage observed in these conditions. Consequently CD11b represents a potential target for therapeutic intervention in diseases where dysregulated immune activity is a feature.

Product protocols

For this product, it's our understanding that no specific protocols are required. You can visit:

Target data

Integrin ITGAM/ITGB2 is implicated in various adhesive interactions of monocytes, macrophages and granulocytes as well as in mediating the uptake of complement-coated particles and pathogens (PubMed : 20008295, PubMed : 9558116). It is identical with CR-3, the receptor for the iC3b fragment of the third complement component. It probably recognizes the R-G-D peptide in C3b. Integrin ITGAM/ITGB2 is also a receptor for fibrinogen and factor X. It recognizes P1 and P2 peptides of fibrinogen gamma chain. Regulates neutrophil migration (PubMed : 28807980). In association with beta subunit ITGB2/CD18, required for CD177-PRTN3-mediated activation of TNF primed neutrophils (PubMed : 21193407). Integrin ITGAM/ITGB2 is also a receptor for ICAM1 ligand ensuring adhesion between stimulated neutrophils and stimulated endothelial cells (PubMed : 1980124). May regulate phagocytosis-induced apoptosis in extravasated neutrophils (By similarity). May play a role in mast cell development (By similarity). Required with TYROBP/DAP12 in microglia to control production of microglial superoxide ions which promote the neuronal apoptosis that occurs during brain development (By similarity).
See full target information ITGAM

Publications (1)

Recent publications for all applications. Explore the full list and refine your search

Cancer cell international 24:121 PubMed38555451

2024

β-hydroxybutyrate inhibits malignant phenotypes of prostate cancer cells through β-hydroxybutyrylation of indoleacetamide-N-methyltransferase.

Applications

Unspecified application

Species

Unspecified reactive species

Yifan Zhang,Yunlong Li
View all publications

Product promise

We are committed to supporting your work with high-quality reagents, and we're here for you every step of the way. In the unlikely event that one of our products does not perform as expected, you're protected by our Product Promise.
For full details, please see our Terms & Conditions

Please note: All products are 'FOR RESEARCH USE ONLY. NOT FOR USE IN DIAGNOSTIC OR THERAPEUTIC PROCEDURES'.

For licensing inquiries, please contact partnerships@abcam.com