JavaScript is disabled in your browser. Please enable JavaScript to view this website.
AB238794

Anti-CD11b antibody [SP331] - BSA and Azide free

Be the first to review this product! Submit a review

|

(2 Publications)

Rabbit Recombinant Monoclonal CD11b antibody. Carrier free. Suitable for IHC-P, WB and reacts with Human samples. Cited in 2 publications.

View Alternative Names

CD11b, CD11B, CR3A, ITGAM, Integrin alpha-M, CD11 antigen-like family member B, CR-3 alpha chain, Cell surface glycoprotein MAC-1 subunit alpha, Leukocyte adhesion receptor MO1, Neutrophil adherence receptor

13 Images
Immunohistochemistry (Formalin/PFA-fixed paraffin-embedded sections) - Anti-CD11b antibody [SP331] - BSA and Azide free (AB238794)
  • IHC-P

Supplier Data

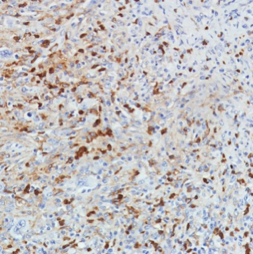
Immunohistochemistry (Formalin/PFA-fixed paraffin-embedded sections) - Anti-CD11b antibody [SP331] - BSA and Azide free (AB238794)

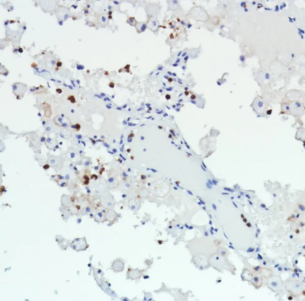
Formalin-fixed, paraffin-embedded human pancreatic adenocarcinoma tissue stained for CD11b using ab224800 at 1/100 dilution in immunohistochemical analysis.

This data was developed using the same antibody clone in a different buffer formulation containing PBS, BSA, glycerol, and sodium azide (ab224800).

Immunohistochemistry (Formalin/PFA-fixed paraffin-embedded sections) - Anti-CD11b antibody [SP331] - BSA and Azide free (AB238794)
  • IHC-P

Supplier Data

Immunohistochemistry (Formalin/PFA-fixed paraffin-embedded sections) - Anti-CD11b antibody [SP331] - BSA and Azide free (AB238794)

Formalin-fixed, paraffin-embedded human lung tissue stained for CD11b using ab224800 at 1/100 dilution in immunohistochemical analysis.

This data was developed using the same antibody clone in a different buffer formulation containing PBS, BSA, glycerol, and sodium azide (ab224800).

Immunohistochemistry (Formalin/PFA-fixed paraffin-embedded sections) - Anti-CD11b antibody [SP331] - BSA and Azide free (AB238794)
  • IHC-P

Supplier Data

Immunohistochemistry (Formalin/PFA-fixed paraffin-embedded sections) - Anti-CD11b antibody [SP331] - BSA and Azide free (AB238794)

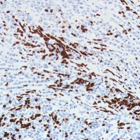
Formalin-fixed, paraffin-embedded human tonsil tissue stained for CD11b using ab224800 at 1/100 dilution in immunohistochemical analysis.

This data was developed using the same antibody clone in a different buffer formulation containing PBS, BSA, and sodium azide (ab224800).

Immunohistochemistry (Formalin/PFA-fixed paraffin-embedded sections) - Anti-CD11b antibody [SP331] - BSA and Azide free (AB238794)
  • IHC-P

Supplier Data

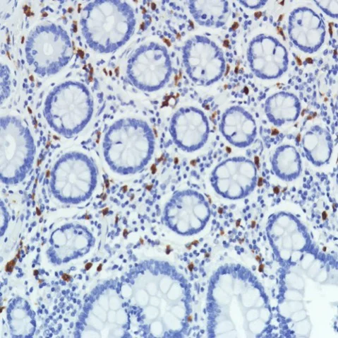
Immunohistochemistry (Formalin/PFA-fixed paraffin-embedded sections) - Anti-CD11b antibody [SP331] - BSA and Azide free (AB238794)

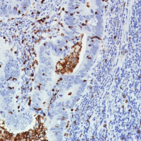
Formalin-fixed, paraffin-embedded human colon tissue stained for CD11b using ab224800 at 1/100 dilution in immunohistochemical analysis.

This data was developed using the same antibody clone in a different buffer formulation containing PBS, BSA, glycerol, and sodium azide (ab224800).

Immunohistochemistry (Formalin/PFA-fixed paraffin-embedded sections) - Anti-CD11b antibody [SP331] - BSA and Azide free (AB238794)
  • IHC-P

Supplier Data

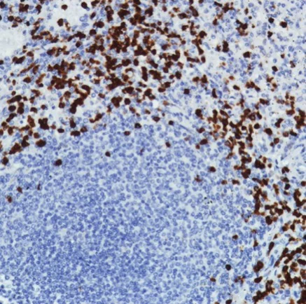
Immunohistochemistry (Formalin/PFA-fixed paraffin-embedded sections) - Anti-CD11b antibody [SP331] - BSA and Azide free (AB238794)

Formalin-fixed, paraffin-embedded human HK lymphoma tissue stained for CD11b using ab224800 at 1/100 dilution in immunohistochemical analysis.

This data was developed using the same antibody clone in a different buffer formulation containing PBS, BSA, glycerol, and sodium azide (ab224800).

Immunohistochemistry (Formalin/PFA-fixed paraffin-embedded sections) - Anti-CD11b antibody [SP331] - BSA and Azide free (AB238794)
  • IHC-P

Supplier Data

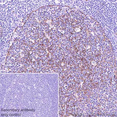
Immunohistochemistry (Formalin/PFA-fixed paraffin-embedded sections) - Anti-CD11b antibody [SP331] - BSA and Azide free (AB238794)

Formalin-fixed, paraffin-embedded human lymph node tissue stained for CD11b using ab224800 at 1/100 dilution in immunohistochemical analysis.

This data was developed using the same antibody clone in a different buffer formulation containing PBS, BSA, glycerol, and sodium azide (ab224800).

Immunohistochemistry (Formalin/PFA-fixed paraffin-embedded sections) - Anti-CD11b antibody [SP331] - BSA and Azide free (AB238794)
  • IHC-P

Supplier Data

Immunohistochemistry (Formalin/PFA-fixed paraffin-embedded sections) - Anti-CD11b antibody [SP331] - BSA and Azide free (AB238794)

Formalin-fixed, paraffin-embedded human spleen tissue stained for CD11b using ab224800 at 1/100 dilution in immunohistochemical analysis.

This data was developed using the same antibody clone in a different buffer formulation containing PBS, BSA, glycerol, and sodium azide (ab224800).

Immunohistochemistry (Formalin/PFA-fixed paraffin-embedded sections) - Anti-CD11b antibody [SP331] - BSA and Azide free (AB238794)
  • IHC-P

Supplier Data

Immunohistochemistry (Formalin/PFA-fixed paraffin-embedded sections) - Anti-CD11b antibody [SP331] - BSA and Azide free (AB238794)

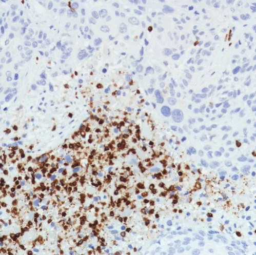
Formalin-fixed, paraffin-embedded human skin squamous cell carcinoma tissue stained for CD11b using ab224800 at 1/100 dilution in immunohistochemical analysis.

This data was developed using the same antibody clone in a different buffer formulation containing PBS, BSA, glycerol, and sodium azide (ab224800).

Immunohistochemistry (Formalin/PFA-fixed paraffin-embedded sections) - Anti-CD11b antibody [SP331] - BSA and Azide free (AB238794)
  • IHC-P

Supplier Data

Immunohistochemistry (Formalin/PFA-fixed paraffin-embedded sections) - Anti-CD11b antibody [SP331] - BSA and Azide free (AB238794)

Formalin-fixed, paraffin-embedded human lung squamous cell carcinoma tissue stained for CD11b using ab224800 at 1/100 dilution in immunohistochemical analysis.

This data was developed using the same antibody clone in a different buffer formulation containing PBS, BSA, glycerol, and sodium azide (ab224800).

Immunohistochemistry (Formalin/PFA-fixed paraffin-embedded sections) - Anti-CD11b antibody [SP331] - BSA and Azide free (AB238794)
  • IHC-P

Supplier Data

Immunohistochemistry (Formalin/PFA-fixed paraffin-embedded sections) - Anti-CD11b antibody [SP331] - BSA and Azide free (AB238794)

Formalin-fixed, paraffin-embedded human thymus tissue stained for CD11b using ab224800 at 1/100 dilution in immunohistochemical analysis.

This data was developed using the same antibody clone in a different buffer formulation containing PBS, BSA, glycerol, and sodium azide (ab224800).

Immunohistochemistry (Formalin/PFA-fixed paraffin-embedded sections) - Anti-CD11b antibody [SP331] - BSA and Azide free (AB238794)
  • IHC-P

Unknown

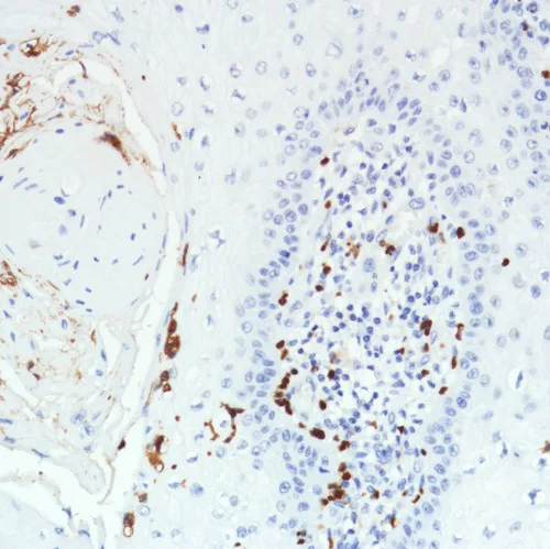
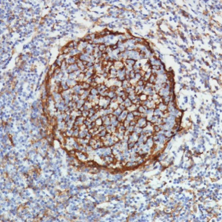
Immunohistochemistry (Formalin/PFA-fixed paraffin-embedded sections) - Anti-CD11b antibody [SP331] - BSA and Azide free (AB238794)

Immunohistochemistry (Formalin/PFA-fixed paraffin-embedded sections) analysis of Human tonsil tissue sections labeling CD11b with ab224800 at 1/100 dilution (2.68 μg/ml). Heat mediated antigen retrieval with sodium citrate buffer (pH 6.0, epitope retrieval solution 1) for 10mins. Rabbit specific IHC polymer detection kit HRP/DAB (ab209101) was used as the secondary antibody. Hematoxylin was used as a counterstain. Positive staining on the human tonsil, performed on a Leica Biosystems BOND™ RX instrument.
The section was incubated with ab224800 for 10 mins at room temperature. This image was generated using ab224800, the same clone, but with a different buffer formulation.

Immunohistochemistry (Formalin/PFA-fixed paraffin-embedded sections) - Anti-CD11b antibody [SP331] - BSA and Azide free (AB238794)
  • IHC-P

Unknown

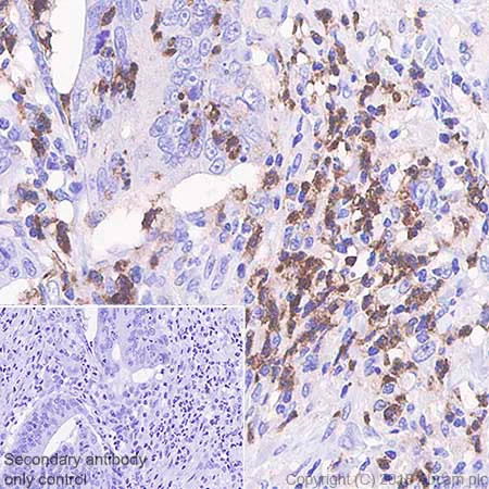
Immunohistochemistry (Formalin/PFA-fixed paraffin-embedded sections) - Anti-CD11b antibody [SP331] - BSA and Azide free (AB238794)

Immunohistochemistry (Formalin/PFA-fixed paraffin-embedded sections) analysis of Human colon carcinoma tissue sections labeling CD11b with ab224800 at 1/100 dilution (2.68 μg/ml). Heat mediated antigen retrieval with sodium citrate buffer (pH 6.0, epitope retrieval solution 1) for 10mins. Rabbit specific IHC polymer detection kit HRP/DAB (ab209101) was used as the secondary antibody. Hematoxylin was used as a counterstain. Positive staining on the human colon carcinoma, performed on a Leica Biosystems BOND™ RX instrument.
The section was incubated with ab224800 for 10 mins at room temperature. This image was generated using ab224800, the same clone, but with a different buffer formulation.

Immunohistochemistry (Formalin/PFA-fixed paraffin-embedded sections) - Anti-CD11b antibody [SP331] - BSA and Azide free (AB238794)
  • IHC-P

Unknown

Immunohistochemistry (Formalin/PFA-fixed paraffin-embedded sections) - Anti-CD11b antibody [SP331] - BSA and Azide free (AB238794)

Formalin-fixed, paraffin-embedded human colon adenocarcinoma tissue stained for CD11b using ab224800 at 1/100 dilution in immunohistochemical analysis.

This data was developed using the same antibody clone in a different buffer formulation containing PBS, BSA, glycerol, and sodium azide (ab224800).

Key facts

Host species

Rabbit

Clonality

Monoclonal

Clone number

SP331

Isotype

IgG

Carrier free

Yes

Reacts with

Human

Applications

IHC-P, WB

applications

Immunogen

The exact immunogen used to generate this antibody is proprietary information.

Reactivity data

{ "title": "Reactivity Data", "filters": { "stats": ["", "Species", "Dilution Info", "Notes"], "tabs": { "all-applications": {"fullname" : "All Applications", "shortname": "All Applications"}, "IHCP" : {"fullname" : "Immunohistochemistry (Formalin/PFA-fixed paraffin-embedded sections)", "shortname":"IHC-P"}, "FlowCyt" : {"fullname" : "Flow Cytometry", "shortname":"Flow Cyt"}, "WB" : {"fullname" : "Western blot", "shortname":"WB"}, "ICCIF" : {"fullname" : "Immunocytochemistry/ Immunofluorescence", "shortname":"ICC/IF"} }, "product-promise": { "all": "all", "testedAndGuaranteed": "tested", "guaranteed": "expected", "predicted": "predicted", "notRecommended": "not-recommended" } }, "values": { "Human": { "IHCP-species-checked": "testedAndGuaranteed", "IHCP-species-dilution-info": "", "IHCP-species-notes": "<p></p>", "FlowCyt-species-checked": "notRecommended", "FlowCyt-species-dilution-info": "", "FlowCyt-species-notes": "<p></p>", "WB-species-checked": "guaranteed", "WB-species-dilution-info": "", "WB-species-notes": "<p></p>", "ICCIF-species-checked": "notRecommended", "ICCIF-species-dilution-info": "", "ICCIF-species-notes": "<p></p>" } } }

Product details

ab238794 is the carrier-free version of ab224800.

What are the advantages of a recombinant monoclonal antibody?
This product is a recombinant monoclonal antibody, which offers several advantages including:

  • - High batch-to-batch consistency and reproducibility
  • - Improved sensitivity and specificity
  • - Long-term security of supply
  • - Animal-free batch production

For more information, read more on recombinant antibodies.

Conjugation ready
Our carrier-free antibodies are typically supplied in a PBS-only formulation, purified and free of BSA, sodium azide and glycerol. This conjugation-ready format is designed for use with fluorochromes, metal isotopes, oligonucleotides, and enzymes, which makes them ideal for antibody labelling, functional and cell-based assays, flow-based assays (e.g. mass cytometry) and Multiplex Imaging applications.

Use our conjugation kits for antibody conjugates that are ready-to-use in as little as 20 minutes with 1 minute hands-on-time and 100% antibody recovery: available for fluorescent dyes, HRP, biotin and gold.

Compatibility
This product is compatible with the Maxpar® Antibody Labeling Kit from Fluidigm, without the need for antibody preparation. Maxpar® is a trademark of Fluidigm Canada Inc.

Properties and storage information

Form
Liquid
Purification technique
Affinity purification Protein A/G
Purification notes
Purified from TCS by protein A/G.
Storage buffer
pH: 7.2 - 7.4 Constituents: PBS
Shipped at conditions
Blue Ice
Appropriate short-term storage conditions
+4°C
Appropriate long-term storage conditions
+4°C
Storage information
Do Not Freeze

Supplementary information

This supplementary information is collated from multiple sources and compiled automatically.

CD11b also known as Integrin alpha M is a protein with a molecular weight of approximately 170 kDa. This protein functions mechanically as an important adhesion molecule. It forms a complex with CD18 to become part of leukocyte-specific beta2 integrins specifically the Mac-1 (CR3) receptor. CD11b is largely expressed on the surface of various myeloid cells including monocytes macrophages granulocytes and a subset of natural killer cells. Researchers often utilize anti-CD11b antibodies and other markers such as APC or CD11b IHC to study its expression in different contexts.
Biological function summary

CD11b plays a critical role in various immune responses by mediating phagocytosis chemotaxis and cell migration. It is essential for proper leukocyte adherence to endothelial cells and for the engulfment of pathogens or apoptotic cells. CD11b as part of the Mac-1 complex contributes to the immune surveillance and inflammatory processes. This complex interacts with diverse ligands like ICAM-1 fibrinogen and complement component iC3b facilitating an immunological response.

Pathways

CD11b is instrumental within the integrin signaling pathway and the Leukocyte Transendothelial Migration pathway. Its interaction with ICAM-1 is central to the leukocyte adhesion cascade influencing the movement of immune cells across endothelial barriers. CD11b also associates with proteins such as Src family kinases and PI3K which activate downstream signaling responsible for the reorganization of the cytoskeleton and cell movement during immune responses.

CD11b is linked to inflammatory conditions like rheumatoid arthritis and systemic lupus erythematosus. Aberrant expression or function of CD11b can result in improper immune regulation contributing to the pathogenesis of these diseases. Its interaction with complement receptor iC3b plays a part in inflammation and tissue damage observed in these conditions. Consequently CD11b represents a potential target for therapeutic intervention in diseases where dysregulated immune activity is a feature.

Product protocols

For this product, it's our understanding that no specific protocols are required. You can visit:

Target data

Integrin ITGAM/ITGB2 is implicated in various adhesive interactions of monocytes, macrophages and granulocytes as well as in mediating the uptake of complement-coated particles and pathogens (PubMed : 20008295, PubMed : 9558116). It is identical with CR-3, the receptor for the iC3b fragment of the third complement component. It probably recognizes the R-G-D peptide in C3b. Integrin ITGAM/ITGB2 is also a receptor for fibrinogen, factor X and ICAM1. It recognizes P1 and P2 peptides of fibrinogen gamma chain. Regulates neutrophil migration (PubMed : 28807980). In association with beta subunit ITGB2/CD18, required for CD177-PRTN3-mediated activation of TNF primed neutrophils (PubMed : 21193407). May regulate phagocytosis-induced apoptosis in extravasated neutrophils (By similarity). May play a role in mast cell development (By similarity). Required with TYROBP/DAP12 in microglia to control production of microglial superoxide ions which promote the neuronal apoptosis that occurs during brain development (By similarity).
See full target information ITGAM

Publications (2)

Recent publications for all applications. Explore the full list and refine your search

Frontiers in immunology 14:1162669 PubMed37207208

2023

Naproxen chemoprevention induces proliferation of cytotoxic lymphocytes in Lynch Syndrome colorectal mucosa.

Applications

Unspecified application

Species

Unspecified reactive species

Charles M Bowen,Nan Deng,Laura Reyes-Uribe,Edwin Roger Parra,Pedro Rocha,Luisa M Solis,Ignacio I Wistuba,Valerie O Sepeda,Lana Vornik,Marjorie Perloff,Eva Szabo,Asad Umar,Krishna M Sinha,Powel H Brown,Eduardo Vilar

Frontiers in immunology 12:732102 PubMed34512667

2021

Myeloid-Derived Suppressive Cells Deficient in Liver X Receptor α Protected From Autoimmune Hepatitis.

Applications

Unspecified application

Species

Unspecified reactive species

Bo Li,Min Lian,Yikang Li,Qiwei Qian,Jun Zhang,Qiaoyan Liu,Ruqi Tang,Xiong Ma
View all publications

Product promise

We are committed to supporting your work with high-quality reagents, and we're here for you every step of the way. In the unlikely event that one of our products does not perform as expected, you're protected by our Product Promise.
For full details, please see our Terms & Conditions

Please note: All products are 'FOR RESEARCH USE ONLY. NOT FOR USE IN DIAGNOSTIC OR THERAPEUTIC PROCEDURES'.

For licensing inquiries, please contact partnerships@abcam.com