JavaScript is disabled in your browser. Please enable JavaScript to view this website.
AB216655

Anti-CD11c antibody [EP1347Y] - BSA and Azide free

4

(11 Reviews)

|

(29 Publications)

Anti-CD11c antibody [EP1347Y] - BSA and Azide free (ab216655) is a rabbit recombinant monoclonal antibody provided in a PBS only buffer for easy conjugation detecting CD11c in Western Blot, IP, IHC-P. Suitable for Human.

- BSA, sodium azide, and glycerol-free for easy conjugation
- Biophysical QC for unrivalled batch-batch consistency
- Over 10 publications

View Alternative Names

CD11c, CD11C, ITGAX, Integrin alpha-X, CD11 antigen-like family member C, Leu M5

9 Images
Immunohistochemistry - Anti-CD11c antibody [EP1347Y] - BSA and Azide free (AB216655)
  • IHC

Lab

Immunohistochemistry - Anti-CD11c antibody [EP1347Y] - BSA and Azide free (AB216655)

This data was developed using the same antibody clone in a different buffer formulation containing PBS, BSA, glycerol, and sodium azide (ab52632).

Immunohistochemical analysis of formalin fixed paraffin embedded human tonsil labelling CD11c with ab52632 at a concentration of 0.08 µg/ml. The immunostaining was performed on a Ventana DISCOVERY ULTRA (Roche Tissue Diagnostics) instrument with a OptiView DAB IHC Detection Kit. Heat mediated antigen retrieval was performed with DISCOVERY cell conditioning solution (CC1) 100°C, pH 8.5 for 32mins.

ab52632 anti-CD11c [EP1347Y] was incubated for 16 mins at 37°C. Sections were counterstained with Hematoxylin II. Image inset shows absence of staining in secondary antibody only control.

Customers are encouraged to optimise antigen retrieval conditions, antibody concentration, incubation times and temperature for best results in their own IHC assay workflow (automated and manual).

Immunohistochemistry (Formalin/PFA-fixed paraffin-embedded sections) - Anti-CD11c antibody [EP1347Y] - BSA and Azide free (AB216655)
  • IHC-P

Unknown

Immunohistochemistry (Formalin/PFA-fixed paraffin-embedded sections) - Anti-CD11c antibody [EP1347Y] - BSA and Azide free (AB216655)

Immunohistochemistry (Formalin/PFA-fixed paraffin-embedded sections) analysis of Human tonsil tissue sections labeling CD11c with Purified ab52632 at 1 : 500 dilution (0.21 μg/ml). Heat mediated antigen retrieval was performed using ab93684 (Tris/EDTA buffer, pH 9.0). Tissue was counterstained with Hematoxylin. ImmunoHistoProbe one step HRP Polymer (ready to use) secondary antibody was used at 1 : 0 dilution. PBS instead of the primary antibody was used as the negative control.

This data was developed using the same antibody clone in a different buffer formulation containing PBS, BSA, glycerol, and sodium azide (ab52632).

Immunohistochemistry (Formalin/PFA-fixed paraffin-embedded sections) - Anti-CD11c antibody [EP1347Y] - BSA and Azide free (AB216655)
  • IHC-P

Unknown

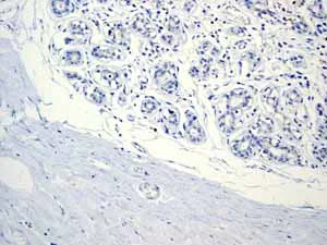
Immunohistochemistry (Formalin/PFA-fixed paraffin-embedded sections) - Anti-CD11c antibody [EP1347Y] - BSA and Azide free (AB216655)

Unpurified ab52632 showing negative staining in Normal breast tissue.

This data was developed using the same antibody clone in a different buffer formulation containing PBS, BSA, glycerol, and sodium azide (ab52632).

Immunohistochemistry (Formalin/PFA-fixed paraffin-embedded sections) - Anti-CD11c antibody [EP1347Y] - BSA and Azide free (AB216655)
  • IHC-P

Lab

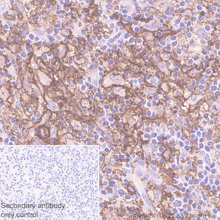
Immunohistochemistry (Formalin/PFA-fixed paraffin-embedded sections) - Anti-CD11c antibody [EP1347Y] - BSA and Azide free (AB216655)

Immunohistochemistry (Formalin/PFA-fixed paraffin-embedded sections) analysis of Human spleen tissue sections labeling CD11c with ab52632 at 1 : 5000 dilution (0.02 μg/ml). Heat mediated antigen retrieval was performed using Tris-EDTA buffer (pH 9.0, Epitope Retrieval Solution2) for 20 mins. Tissue was counterstained with Hematoxylin. Rabbit specific IHC polymer detection kit HRP/DAB (ab209101) (ready to use) secondary antibody was used. Positive staining on human spleen. The section was incubated with ab52632 for 30 mins at room temperature. The immunostaining was performed on a Leica Biosystems BOND® RX instrument. This data was developed using the same antibody clone in a different buffer formulation containing PBS, BSA, glycerol, and sodium azide (ab52632).

Immunohistochemistry (Formalin/PFA-fixed paraffin-embedded sections) - Anti-CD11c antibody [EP1347Y] - BSA and Azide free (AB216655)
  • IHC-P

Lab

Immunohistochemistry (Formalin/PFA-fixed paraffin-embedded sections) - Anti-CD11c antibody [EP1347Y] - BSA and Azide free (AB216655)

Tissue Microarrays stained for "Anti-CD11c antibody [EP1347Y] - C-terminal" using "ab52632"in immunohistochemical analysis. This table provides a detailed overview of positive (tick mark) and negative (cross mark) staining per sample type tested. The sections were pre-treated using Heat mediated antigen retrieval using Bond™ Epitope Retrieval Solution 2 (pH 9.0) for 20 minutes. The sections were incubated with ab52632 for 30 mins at room temperature followed by a ready to use Rabbit specific IHC polymer detection kit HRP/DAB (ab209101). The immunostaining was performed on a Leica Biosystems BOND® RX instrument.

Immunohistochemistry (Formalin/PFA-fixed paraffin-embedded sections) - Anti-CD11c antibody [EP1347Y] - BSA and Azide free (AB216655)
  • IHC-P

Lab

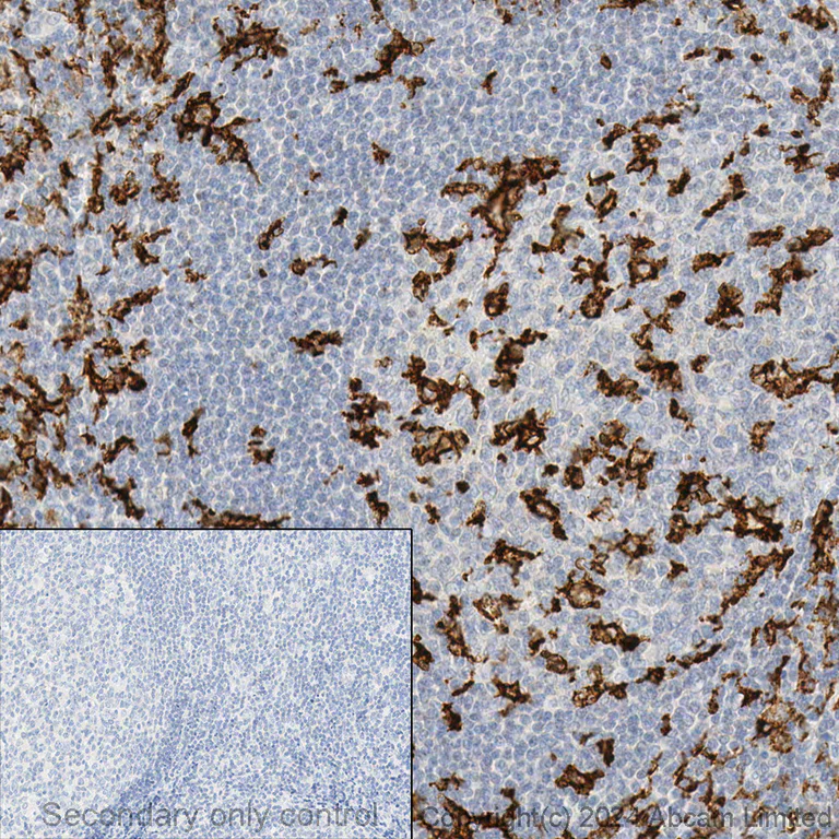
Immunohistochemistry (Formalin/PFA-fixed paraffin-embedded sections) - Anti-CD11c antibody [EP1347Y] - BSA and Azide free (AB216655)

Immunohistochemistry (Formalin/PFA-fixed paraffin-embedded sections) analysis of Human Hodgkin's lymphoma sections labeling CD11c with ab52632 at 1 : 5000 dilution (0.02 μg/ml). Heat mediated antigen retrieval was performed using Tris-EDTA buffer (pH 9.0, Epitope Retrieval Solution2) for 20 mins. Tissue was counterstained with Hematoxylin. Rabbit specific IHC polymer detection kit HRP/DAB (ab209101) (ready to use) secondary antibody was used. Positive staining on human Hodgkin's lymphoma. The section was incubated with ab52632 for 30 mins at room temperature. The immunostaining was performed on a Leica Biosystems BOND® RX instrument. This data was developed using the same antibody clone in a different buffer formulation containing PBS, BSA, glycerol, and sodium azide (ab52632).

Immunohistochemistry (Formalin/PFA-fixed paraffin-embedded sections) - Anti-CD11c antibody [EP1347Y] - BSA and Azide free (AB216655)
  • IHC-P

AbReview16265****

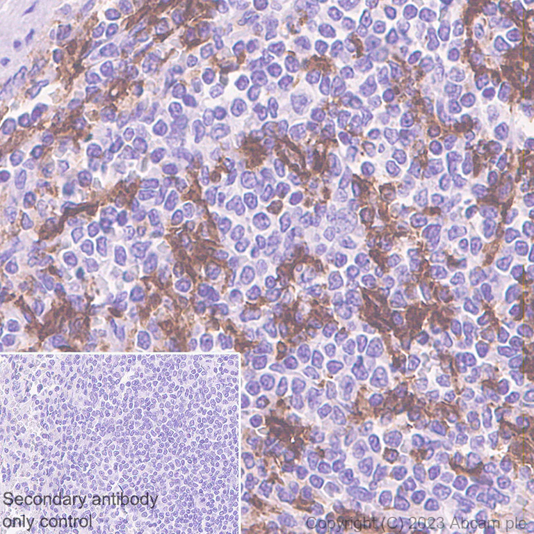
Immunohistochemistry (Formalin/PFA-fixed paraffin-embedded sections) - Anti-CD11c antibody [EP1347Y] - BSA and Azide free (AB216655)

Unpurified ab52632 at 1/400 dilution staining CD11c in human tonsil tissue by immunohistochemistry (formalin/PFA-fixed paraffin-embedded sections). Sections were paraformaldehyde fixed, prior to blocking in 10% BSA in FCS (20ml) + DMEM (80ml) for 30 minutes at 21°C and then incubated with ab52632 for 20 hours at 4°C. A biotin conjugated rabbit polyclonal to mouse Ig, diluted 1/400, was used as the secondary antibody.

This data was developed using the same antibody clone in a different buffer formulation containing PBS, BSA, glycerol, and sodium azide (ab52632).

This image is courtesy of an Abreview submitted by James Jupp

Immunoprecipitation - Anti-CD11c antibody [EP1347Y] - BSA and Azide free (AB216655)
  • IP

Unknown

Immunoprecipitation - Anti-CD11c antibody [EP1347Y] - BSA and Azide free (AB216655)

ab52632 (purified) at 1 : 20 dilution (2μg) immunoprecipitating CD11c in THP-1 (Human monocytic leukemia monocyte) starved for 2 hours, then treated with Phorbol-12-myristate-13-acetate at 100ng/ml for 96 hours whole cell lysate.

Lane 1 (input) : THP-1 (Human monocytic leukemia monocyte) starved for 2 hours, then treated with Phorbol-12-myristate-13-acetate at 100ng/ml for 96 hours whole cell lysate 10ug
Lane 2 (+) : ab52632 & THP-1 (Human monocytic leukemia monocyte) starved for 2 hours, then treated with Phorbol-12-myristate-13-acetate at 100ng/ml for 96 hours whole cell lysate
Lane 3 (-) : Rabbit monoclonal IgG (ab172730) instead of ab52632 in THP-1 (Human monocytic leukemia monocyte) starved for 2 hours, then treated with Phorbol-12-myristate-13-acetate at 100ng/ml for 96 hours whole cell lysate

For western blotting, VeriBlot for IP Detection Reagent (HRP) (ab131366), was used for detection at 1/1,000 dilution.
Blocking and diluting buffer : 5% NFDM/TBST."

This data was developed using the same antibody clone in a different buffer formulation containing PBS, BSA, glycerol, and sodium azide (ab52632).

All lanes:

Immunoprecipitation - Anti-CD11c antibody [EP1347Y] - C-terminal (<a href='/en-us/products/primary-antibodies/cd11c-antibody-ep1347y-c-terminal-ab52632'>ab52632</a>)

Predicted band size: 127 kDa

false

Immunohistochemistry (Formalin/PFA-fixed paraffin-embedded sections) - Anti-CD11c antibody [EP1347Y] - BSA and Azide free (AB216655)
  • IHC-P

Unknown

Immunohistochemistry (Formalin/PFA-fixed paraffin-embedded sections) - Anti-CD11c antibody [EP1347Y] - BSA and Azide free (AB216655)

Unpurified ab52632 showing negative staining in Skeletal muscle tissue.

This data was developed using the same antibody clone in a different buffer formulation containing PBS, BSA, glycerol, and sodium azide (ab52632).

Key facts

Host species

Rabbit

Clonality

Monoclonal

Clone number

EP1347Y

Isotype

IgG

Carrier free

Yes

Reacts with

Human

Applications

IHC-P, WB, IP

applications

Immunogen

The exact immunogen used to generate this antibody is proprietary information.

Reactivity data

{ "title": "Reactivity Data", "filters": { "stats": ["", "Species", "Dilution Info", "Notes"], "tabs": { "all-applications": {"fullname" : "All Applications", "shortname": "All Applications"}, "IHCP" : {"fullname" : "Immunohistochemistry (Formalin/PFA-fixed paraffin-embedded sections)", "shortname":"IHC-P"}, "IP" : {"fullname" : "Immunoprecipitation", "shortname":"IP"}, "WB" : {"fullname" : "Western blot", "shortname":"WB"} }, "product-promise": { "all": "all", "testedAndGuaranteed": "tested", "guaranteed": "expected", "predicted": "predicted", "notRecommended": "not-recommended" } }, "values": { "Human": { "IHCP-species-checked": "testedAndGuaranteed", "IHCP-species-dilution-info": "", "IHCP-species-notes": "<p></p>", "IP-species-checked": "testedAndGuaranteed", "IP-species-dilution-info": "", "IP-species-notes": "<p></p>", "WB-species-checked": "guaranteed", "WB-species-dilution-info": "", "WB-species-notes": "<p></p>" } } }

Product details

What is this antibody validated in?
Anti-CD11c antibody [EP1347Y] - BSA and Azide free (ab216655) is a rabbit recombinant monoclonal antibody and is validated for use in Western Blot (WB), Immunoprecipitation (IP), Immunohistochemistry (IHC-P) in Human samples.

What is the molecular weight of CD11c?
Anti-CD11c [EP1347Y] - BSA and Azide free (ab216655) specifically detects a band for CD11c (UniProt: P20702) at a molecular weight of 128kDa.

Trusted by the scientific community
Anti-CD11c [EP1347Y] - BSA and Azide free (ab216655) was first used in a scientific publication in 2016 and has been cited over 10 times in peer-reviewed journals.

Reviewed by scientists
Anti-CD11c [EP1347Y] - BSA and Azide free (ab216655) has over 10 independent reviews from customers.

Trial sizes available!
Test your antibody or perform pre-screening before committing to a larger quantity. Sold in 10µl. Discover our selection of trial-size antibodies.

Other related products
We have a range of other formats of antibody clone [EP1347Y] also available for your convenience: ab52632, HRP - ab195534, Carrier free - ab216655, Alexa Fluor® 647 - ab275338, Alexa Fluor® 488 - ab275738, Alexa Fluor® 594 - ab277235, Alexa Fluor® 555 - ab279329, ab284579, Biotin - ab322302

Patented technology
Our RabMAb® technology is a patented hybridoma-based technology for making rabbit monoclonal antibodies. For details on our patents, please refer to RabMAb® patents.

What are the advantages of a recombinant monoclonal antibody?
This product is a recombinant monoclonal antibody, which offers several advantages including:

  • - High batch-to-batch consistency and reproducibility
  • - Improved sensitivity and specificity
  • - Long-term security of supply
  • - Animal-free batch production

For more information, read more on recombinant antibodies.

Species reactivity
Rat: We have preliminary internal testing data to indicate this antibody may not react with this species.
Please contact us for more information.

Conjugation ready
Our carrier-free antibodies are typically supplied in a PBS-only formulation, purified and free of BSA, sodium azide and glycerol. This conjugation-ready format is designed for use with fluorochromes, metal isotopes, oligonucleotides, and enzymes, which makes them ideal for antibody labelling, functional and cell-based assays, flow-based assays (e.g. mass cytometry) and Multiplex Imaging applications.

Use our conjugation kits for antibody conjugates that are ready-to-use in as little as 20 minutes with 1 minute hands-on-time and 100% antibody recovery: available for fluorescent dyes, HRP, biotin and gold.

Compatibility
This product is compatible with the Maxpar® Antibody Labeling Kit from Fluidigm, without the need for antibody preparation. Maxpar® is a trademark of Fluidigm Canada Inc.

Properties and storage information

Form
Liquid
Purification technique
Affinity purification Protein A
Storage buffer
pH: 7.2 - 7.4 Constituents: PBS
Shipped at conditions
Blue Ice
Appropriate short-term storage conditions
+4°C
Appropriate long-term storage conditions
+4°C
Storage information
Do Not Freeze

Supplementary information

This supplementary information is collated from multiple sources and compiled automatically.

CD11c also known as ITGAX is a subunit of integrin proteins that plays a pivotal role in immune cell function. This protein has a molecular mass of about 150 kDa and is primarily expressed on the surface of dendritic cells monocytes and macrophages. It serves as a marker for these cells commonly utilized in applications like CD11c flow cytometry and CD11c IHC. Researchers often study this target using CD11c antibodies to explore immune system dynamics and cell surface characteristics.
Biological function summary

CD11c functions as an integrin alpha X subunit forming a heterodimer with the beta 2 subunit known as ITGB2. This complex is important for cell adhesion and migration processes. It mediates the binding of leukocytes to endothelial cells facilitating their migration from the bloodstream to sites of inflammation or infection. CD11c's presence on immune cells makes it essential for presenting antigens and initiating immune responses therefore having critical implications for immunity.

Pathways

CD11c plays a significant role in the immune system particularly in the leukocyte adhesion and migration pathways. It partners with proteins like ITGB2 to mediate these functions. The signaling pathways involving CD11c and related molecules regulate leukocyte trafficking and activation ensuring proper localization and function at sites of damage or infection. These pathways are essential for maintaining immune homeostasis and prompt responses to pathogens.

CD11c has significant connections to autoimmune diseases and chronic inflammatory conditions. Aberrant CD11c expression or activity can contribute to the pathogenesis of conditions like rheumatoid arthritis where leukocyte migration and persistent inflammation play a role. Studies also link CD11c with proteins involved in these disorders highlighting its importance in disease progression and potential as a therapeutic target. The understanding of CD11c's role in these conditions can guide the development of treatments aimed at modulating immune responses.

Product protocols

For this product, it's our understanding that no specific protocols are required. You can visit:

Target data

Integrin alpha-X/beta-2 is a receptor for fibrinogen. It recognizes the sequence G-P-R in fibrinogen. It mediates cell-cell interaction during inflammatory responses. It is especially important in monocyte adhesion and chemotaxis.
See full target information ITGAX

Publications (29)

Recent publications for all applications. Explore the full list and refine your search

Nature genetics 57:1142-1154 PubMed40229600

2025

Longitudinal single-cell multiomic atlas of high-risk neuroblastoma reveals chemotherapy-induced tumor microenvironment rewiring.

Applications

Unspecified application

Species

Unspecified reactive species

Wenbao Yu,Rumeysa Biyik-Sit,Yasin Uzun,Chia-Hui Chen,Anusha Thadi,Jonathan H Sussman,Minxing Pang,Chi-Yun Wu,Liron D Grossmann,Peng Gao,David W Wu,Aliza Yousey,Mei Zhang,Christina S Turn,Zhan Zhang,Shovik Bandyopadhyay,Jeffrey Huang,Tasleema Patel,Changya Chen,Daniel Martinez,Lea F Surrey,Michael D Hogarty,Kathrin Bernt,Nancy R Zhang,John M Maris,Kai Tan

Clinical cancer research : an official journal of the American Association for Cancer Research 30:4601-4608 PubMed39167623

2024

Pembrolizumab and Cabozantinib in Recurrent and/or Metastatic Head and Neck Squamous Cell Carcinoma: Long-term Survival Update with a Biomarker Analysis.

Applications

Unspecified application

Species

Unspecified reactive species

Nabil F Saba,Ritu Chaudhary,Kedar Kirtane,Angelo Marra,Asari Ekpenyong,Ashley McCook-Veal,Nicole C Schmitt,Jennifer H Gross,Mihir R Patel,Jill Remick,James E Bates,Mark W McDonald,Soumon F Rudra,William A Stokes,Maria Biernacki,Xiaofei Song,Robbert J C Slebos,Yuan Liu,Conor E Steuer,Dong M Shin,Yong Teng,Christine H Chung

Nature communications 15:4051 PubMed38744839

2024

Double-negative B cells and DNASE1L3 colocalise with microbiota in gut-associated lymphoid tissue.

Applications

Unspecified application

Species

Unspecified reactive species

Lucia Montorsi,Michael J Pitcher,Yuan Zhao,Chiara Dionisi,Alicia Demonti,Thomas J Tull,Pawan Dhami,Richard J Ellis,Cynthia Bishop,Jeremy D Sanderson,Sahil Jain,David D'Cruz,Deena L Gibbons,Thomas H Winkler,Mats Bemark,Francesca D Ciccarelli,Jo Spencer

Cell 187:3120-3140.e29 PubMed38714197

2024

Mapping the cellular biogeography of human bone marrow niches using single-cell transcriptomics and proteomic imaging.

Applications

Unspecified application

Species

Unspecified reactive species

Shovik Bandyopadhyay,Michael P Duffy,Kyung Jin Ahn,Jonathan H Sussman,Minxing Pang,David Smith,Gwendolyn Duncan,Iris Zhang,Jeffrey Huang,Yulieh Lin,Barbara Xiong,Tamjid Imtiaz,Chia-Hui Chen,Anusha Thadi,Changya Chen,Jason Xu,Melissa Reichart,Zachary Martinez,Caroline Diorio,Chider Chen,Vinodh Pillai,Oraine Snaith,Derek Oldridge,Siddharth Bhattacharyya,Ivan Maillard,Martin Carroll,Charles Nelson,Ling Qin,Kai Tan

Cell 187:2817-2837.e31 PubMed38701783

2024

FLT3L governs the development of partially overlapping hematopoietic lineages in humans and mice.

Applications

Unspecified application

Species

Unspecified reactive species

Mana Momenilandi,Romain Lévy,Steicy Sobrino,Jingwei Li,Chantal Lagresle-Peyrou,Hossein Esmaeilzadeh,Antoine Fayand,Corentin Le Floc'h,Antoine Guérin,Erika Della Mina,Debra Shearer,Ottavia M Delmonte,Ahmad Yatim,Kevin Mulder,Mathieu Mancini,Darawan Rinchai,Adeline Denis,Anna-Lena Neehus,Karla Balogh,Sarah Brendle,Hassan Rokni-Zadeh,Majid Changi-Ashtiani,Yoann Seeleuthner,Caroline Deswarte,Boris Bessot,Cassandre Cremades,Marie Materna,Axel Cederholm,Masato Ogishi,Quentin Philippot,Omer Beganovic,Mania Ackermann,Margareta Wuyts,Taushif Khan,Sébastien Fouéré,Florian Herms,Johan Chanal,Boaz Palterer,Julie Bruneau,Thierry J Molina,Stéphanie Leclerc-Mercier,Jean-Luc Prétet,Leila Youssefian,Hassan Vahidnezhad,Nima Parvaneh,Kristl G Claeys,Rik Schrijvers,Marine Luka,Philippe Pérot,Jacques Fourgeaud,Céline Nourrisson,Philippe Poirier,Emmanuelle Jouanguy,Stéphanie Boisson-Dupuis,Jacinta Bustamante,Luigi D Notarangelo,Neil Christensen,Nils Landegren,Laurent Abel,Nico Marr,Emmanuelle Six,David Langlais,Tim Waterboer,Florent Ginhoux,Cindy S Ma,Stuart G Tangye,Isabelle Meyts,Nico Lachmann,Jiafen Hu,Mohammad Shahrooei,Xavier Bossuyt,Jean-Laurent Casanova,Vivien Béziat

Cell reports. Medicine 4:101248 PubMed37865092

2023

Desmoplastic stromal signatures predict patient outcomes in pancreatic ductal adenocarcinoma.

Applications

Unspecified application

Species

Unspecified reactive species

Shamik Mascharak,Jason L Guo,Deshka S Foster,Anum Khan,Michael F Davitt,Alan T Nguyen,Austin R Burcham,Malini S Chinta,Nicholas J Guardino,Michelle Griffin,David M Lopez,Elisabeth Miller,Michael Januszyk,Shyam S Raghavan,Teri A Longacre,Daniel J Delitto,Jeffrey A Norton,Michael T Longaker

Cell reports methods 3:100595 PubMed37741277

2023

Dual-modality imaging of immunofluorescence and imaging mass cytometry for whole-slide imaging and accurate segmentation.

Applications

Unspecified application

Species

Unspecified reactive species

Eun Na Kim,Phyllis Zixuan Chen,Dario Bressan,Monika Tripathi,Ahmad Miremadi,Massimiliano di Pietro,Lisa M Coussens,Gregory J Hannon,Rebecca C Fitzgerald,Lizhe Zhuang,Young Hwan Chang

iScience 26:107891 PubMed37766980

2023

Highly multiplexed spatial analysis identifies tissue-resident memory T cells as drivers of ulcerative and immune checkpoint inhibitor colitis.

Applications

Unspecified application

Species

Unspecified reactive species

Mick J M van Eijs,José J M Ter Linde,Matthijs J D Baars,Mojtaba Amini,Miangela M Laclé,Eelco C Brand,Eveline M Delemarre,Julia Drylewicz,Stefan Nierkens,Rik J Verheijden,Bas Oldenburg,Yvonne Vercoulen,Karijn P M Suijkerbuijk,Femke van Wijk

Frontiers in immunology 14:1162669 PubMed37207208

2023

Naproxen chemoprevention induces proliferation of cytotoxic lymphocytes in Lynch Syndrome colorectal mucosa.

Applications

Unspecified application

Species

Unspecified reactive species

Charles M Bowen,Nan Deng,Laura Reyes-Uribe,Edwin Roger Parra,Pedro Rocha,Luisa M Solis,Ignacio I Wistuba,Valerie O Sepeda,Lana Vornik,Marjorie Perloff,Eva Szabo,Asad Umar,Krishna M Sinha,Powel H Brown,Eduardo Vilar

Cell reports. Medicine 4:100977 PubMed36921599

2023

Multiplex imaging of breast cancer lymph node metastases identifies prognostic single-cell populations independent of clinical classifiers.

Applications

Unspecified application

Species

Unspecified reactive species

Jana Raja Fischer,Hartland Warren Jackson,Natalie de Souza,Zsuzsanna Varga,Peter Schraml,Holger Moch,Bernd Bodenmiller
View all publications

Product promise

We are committed to supporting your work with high-quality reagents, and we're here for you every step of the way. In the unlikely event that one of our products does not perform as expected, you're protected by our Product Promise.
For full details, please see our Terms & Conditions

Please note: All products are 'FOR RESEARCH USE ONLY. NOT FOR USE IN DIAGNOSTIC OR THERAPEUTIC PROCEDURES'.

For licensing inquiries, please contact partnerships@abcam.com