JavaScript is disabled in your browser. Please enable JavaScript to view this website.
AB218434

Anti-CD11c antibody [ITGAX/1284]

Be the first to review this product! Submit a review

|

(1 Publication)

Mouse Monoclonal CD11c antibody. Suitable for IHC-P and reacts with Human samples. Cited in 1 publication. Immunogen corresponding to Recombinant Fragment Protein within Human ITGAX aa 600-850.

View Alternative Names

CD11c, CD11C, ITGAX, Integrin alpha-X, CD11 antigen-like family member C, Leu M5

1 Images
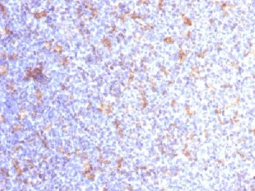
Immunohistochemistry (Formalin/PFA-fixed paraffin-embedded sections) - Anti-CD11c antibody [ITGAX/1284] (AB218434)
  • IHC-P

Supplier Data

Immunohistochemistry (Formalin/PFA-fixed paraffin-embedded sections) - Anti-CD11c antibody [ITGAX/1284] (AB218434)

Immunohistochemical analysis of formalin-fixed, paraffin-embedded human tonsil tissue, labeling CD11c with ab218434 at 2 μg/mL.

Key facts

Host species

Mouse

Clonality

Monoclonal

Clone number

ITGAX/1284

Isotype

IgG2b

Carrier free

No

Reacts with

Human

Applications

IHC-P

applications

Immunogen

Recombinant Fragment Protein within Human ITGAX aa 600-850. The exact immunogen used to generate this antibody is proprietary information.

P20702

Reactivity data

{ "title": "Reactivity Data", "filters": { "stats": ["", "Species", "Dilution Info", "Notes"], "tabs": { "all-applications": {"fullname" : "All Applications", "shortname": "All Applications"}, "IHCP" : {"fullname" : "Immunohistochemistry (Formalin/PFA-fixed paraffin-embedded sections)", "shortname":"IHC-P"} }, "product-promise": { "all": "all", "testedAndGuaranteed": "tested", "guaranteed": "expected", "predicted": "predicted", "notRecommended": "not-recommended" } }, "values": { "Human": { "IHCP-species-checked": "testedAndGuaranteed", "IHCP-species-dilution-info": "1-2 µg/mL", "IHCP-species-notes": "<p></p> Perform heat-mediated antigen retrieval with citrate buffer pH 6 before commencing with IHC staining protocol." } } }

Properties and storage information

Form
Liquid
Purification technique
Affinity purification Protein A
Storage buffer
pH: 7.2 - 7.4 Preservative: 0.05% Sodium azide Constituents: PBS, 0.05% BSA
Shipped at conditions
Blue Ice
Appropriate short-term storage duration
1-2 weeks
Appropriate short-term storage conditions
+4°C
Appropriate long-term storage conditions
-20°C
Aliquoting information
Upon delivery aliquot
Storage information
Avoid freeze / thaw cycle

Supplementary information

This supplementary information is collated from multiple sources and compiled automatically.

CD11c also known as ITGAX is a subunit of integrin proteins that plays a pivotal role in immune cell function. This protein has a molecular mass of about 150 kDa and is primarily expressed on the surface of dendritic cells monocytes and macrophages. It serves as a marker for these cells commonly utilized in applications like CD11c flow cytometry and CD11c IHC. Researchers often study this target using CD11c antibodies to explore immune system dynamics and cell surface characteristics.
Biological function summary

CD11c functions as an integrin alpha X subunit forming a heterodimer with the beta 2 subunit known as ITGB2. This complex is important for cell adhesion and migration processes. It mediates the binding of leukocytes to endothelial cells facilitating their migration from the bloodstream to sites of inflammation or infection. CD11c's presence on immune cells makes it essential for presenting antigens and initiating immune responses therefore having critical implications for immunity.

Pathways

CD11c plays a significant role in the immune system particularly in the leukocyte adhesion and migration pathways. It partners with proteins like ITGB2 to mediate these functions. The signaling pathways involving CD11c and related molecules regulate leukocyte trafficking and activation ensuring proper localization and function at sites of damage or infection. These pathways are essential for maintaining immune homeostasis and prompt responses to pathogens.

CD11c has significant connections to autoimmune diseases and chronic inflammatory conditions. Aberrant CD11c expression or activity can contribute to the pathogenesis of conditions like rheumatoid arthritis where leukocyte migration and persistent inflammation play a role. Studies also link CD11c with proteins involved in these disorders highlighting its importance in disease progression and potential as a therapeutic target. The understanding of CD11c's role in these conditions can guide the development of treatments aimed at modulating immune responses.

Product protocols

For this product, it's our understanding that no specific protocols are required. You can visit:

Target data

Integrin alpha-X/beta-2 is a receptor for fibrinogen. It recognizes the sequence G-P-R in fibrinogen. It mediates cell-cell interaction during inflammatory responses. It is especially important in monocyte adhesion and chemotaxis. Functions as a receptor of the erythrocyte-specific adhesion molecule ICAM4 and mediates erythrophagocytosis (PubMed : 16985175).
See full target information ITGAX

Publications (1)

Recent publications for all applications. Explore the full list and refine your search

Gynecologic oncology 150:158-165 PubMed29786517

2018

Estrogen receptor β: Potential target for therapy in adult granulosa cell tumors?

Applications

Unspecified application

Species

Unspecified reactive species

Alessandra Ciucci,Gabriella Ferrandina,Floriana Mascilini,Flavia Filippetti,Giovanni Scambia,Gian Franco Zannoni,Daniela Gallo
View all publications

Product promise

We are committed to supporting your work with high-quality reagents, and we're here for you every step of the way. In the unlikely event that one of our products does not perform as expected, you're protected by our Product Promise.
For full details, please see our Terms & Conditions

Please note: All products are 'FOR RESEARCH USE ONLY. NOT FOR USE IN DIAGNOSTIC OR THERAPEUTIC PROCEDURES'.

For licensing inquiries, please contact partnerships@abcam.com