JavaScript is disabled in your browser. Please enable JavaScript to view this website.
AB259806

Anti-CD127 antibody [EPR23747-333]

  • BOND RX™ Validated
  • 20ul selling size
  • RabMAb
  • Recombinant
  • What is this?

4

(1 Review)

|

(7 Publications)

Anti-CD127 antibody [EPR23747-333] (ab259806) is a rabbit monoclonal antibody detecting CD127 in IHC-P. Suitable for Human.

- Biophysical QC for unrivalled batch-batch consistency

View Alternative Names

CD127, Interleukin-7 receptor subunit alpha, IL-7 receptor subunit alpha, IL-7R subunit alpha, IL-7R-alpha, IL-7RA, CDw127, IL7R

5 Images
Immunohistochemistry (Formalin/PFA-fixed paraffin-embedded sections) - Anti-CD127 antibody [EPR23747-333] (AB259806)
  • IHC-P

Supplier Data

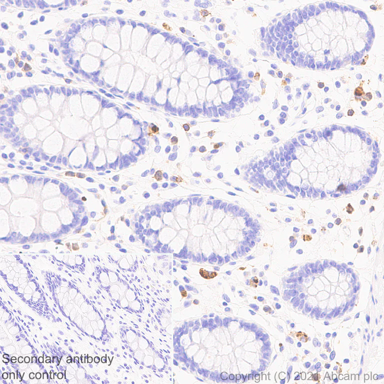
Immunohistochemistry (Formalin/PFA-fixed paraffin-embedded sections) - Anti-CD127 antibody [EPR23747-333] (AB259806)

Immunohistochemical analysis of paraffin-embedded Human gastric carcinoma tissue labelling CD127 with ab259806 at 1/500 (1.13 ug/ml) dilution followed by a ready to use LeicaDS9800 (Bond™ Polymer Refine Detection). Positive staining on immune cells of human gastric carcinoma.The section was incubated with ab259806 for 30 mins at room temperature. The immunostaining was performed on a Leica Biosystems BOND® RX instrument Counterstained with Hematoxylin.

Secondary antibody only control : Secondary antibody is a ready to use LeicaDS9800 (Bond™ Polymer Refine Detection) .

Heat mediated antigen retrieval with Tris-EDTA buffer (pH 9.0, epitope retrieval solution2) for 20 mins.

Immunohistochemistry (Formalin/PFA-fixed paraffin-embedded sections) - Anti-CD127 antibody [EPR23747-333] (AB259806)
  • IHC-P

Supplier Data

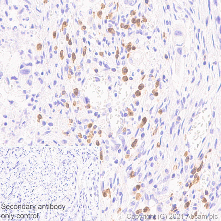
Immunohistochemistry (Formalin/PFA-fixed paraffin-embedded sections) - Anti-CD127 antibody [EPR23747-333] (AB259806)

Immunohistochemical analysis of paraffin-embedded Human colon tissue labelling CD127 with ab259806 at 1/500 (1.13 ug/ml) dilution followed by a ready to use LeicaDS9800 LeicaDS9800 (Bond™ Polymer Refine Detection). Positive staining on lymphocytes of human colon (PMID : 30939120). The section was incubated with ab259806 for 30 mins at room temperature. The immunostaining was performed on a Leica Biosystems BOND® RX instrument. Counterstained with Hematoxylin.

Secondary antibody only control : Secondary antibody is a ready to use LeicaDS9800 (Bond™ Polymer Refine Detection) .

Heat mediated antigen retrieval with Tris-EDTA buffer (pH 9.0, epitope retrieval solution2) for 20 mins.

Immunohistochemistry (Formalin/PFA-fixed paraffin-embedded sections) - Anti-CD127 antibody [EPR23747-333] (AB259806)
  • IHC-P

Supplier Data

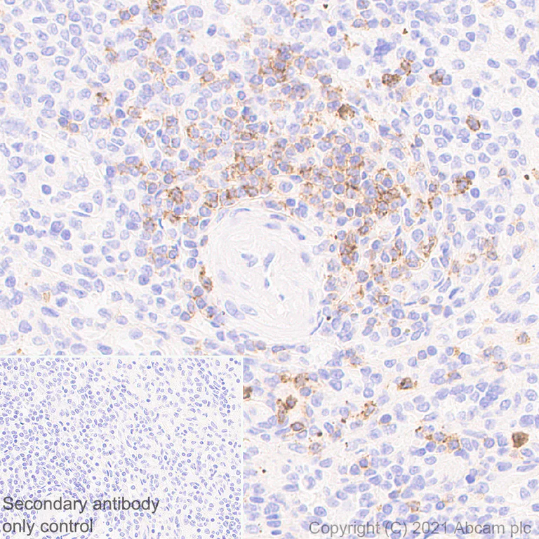
Immunohistochemistry (Formalin/PFA-fixed paraffin-embedded sections) - Anti-CD127 antibody [EPR23747-333] (AB259806)

Immunohistochemical analysis of paraffin-embedded Human spleen tissue labelling CD127 with ab259806 at 1/500 (1.13 ug/ml) dilution followed by a ready to use LeicaDS9800 (Bond™ Polymer Refine Detection) . Positive staining on human spleen (PMID : 18025189). The section was incubated with ab259806 for 30 mins at room temperature. The immunostaining was performed on a Leica Biosystems BOND® RX instrument. Counterstained with Hematoxylin.

Secondary antibody only control : Secondary antibody is a ready to use LeicaDS9800 (Bond™ Polymer Refine Detection) .

Heat mediated antigen retrieval with Tris-EDTA buffer (pH 9.0, epitope retrieval solution2) for 20 mins.

Immunohistochemistry (Formalin/PFA-fixed paraffin-embedded sections) - Anti-CD127 antibody [EPR23747-333] (AB259806)
  • IHC-P

Supplier Data

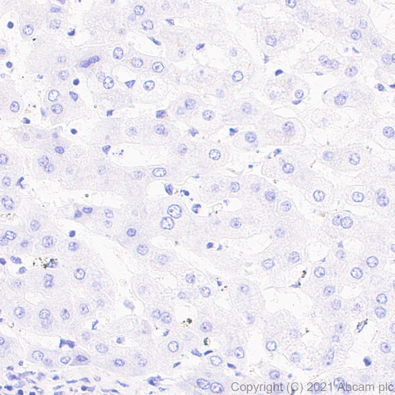
Immunohistochemistry (Formalin/PFA-fixed paraffin-embedded sections) - Anti-CD127 antibody [EPR23747-333] (AB259806)

Immunohistochemical analysis of paraffin-embedded Human liver tissue labelling CD127 with ab259806 at 1/500 (1.13 ug/ml) dilution followed by a ready to use LeicaDS9800 (Bond™ Polymer Refine Detection). Negative control : no staining on human liver (PMID : 2317865). The section was incubated with ab259806 for 30 mins at room temperature.The immunostaining was performed on a Leica Biosystems BOND® RX instrument Counterstained with Hematoxylin.

Secondary antibody only control : Secondary antibody is a ready to use LeicaDS9800 (Bond™ Polymer Refine Detection).

Heat mediated antigen retrieval with Tris-EDTA buffer (pH 9.0, epitope retrieval solution2) for 20 mins.

Immunohistochemistry (Formalin/PFA-fixed paraffin-embedded sections) - Anti-CD127 antibody [EPR23747-333] (AB259806)
  • IHC-P

Supplier Data

Immunohistochemistry (Formalin/PFA-fixed paraffin-embedded sections) - Anti-CD127 antibody [EPR23747-333] (AB259806)

Immunohistochemical analysis of paraffin-embedded Human cerebrum tissue labelling CD127 with ab259806 at 1/500 (1.13 ug/ml) dilution followed by a ready to use LeicaDS9800 (Bond™ Polymer Refine Detection). Negative control : no staining on human cerebrum.The section was incubated with ab259806 for 30 mins at room temperature.The immunostaining was performed on a Leica Biosystems BOND® RX instrument Counterstained with Hematoxylin.

Secondary antibody only control : Secondary antibody is a ready to use LeicaDS9800 (Bond™ Polymer Refine Detection).

Heat mediated antigen retrieval with Tris-EDTA buffer (pH 9.0, epitope retrieval solution2) for 20 mins.

Key facts

Host species

Rabbit

Clonality

Monoclonal

Clone number

EPR23747-333

Isotype

IgG

Carrier free

No

Reacts with

Human

Applications

IHC-P

applications

Immunogen

The exact immunogen used to generate this antibody is proprietary information.

Reactivity data

{ "title": "Reactivity Data", "filters": { "stats": ["", "Species", "Dilution Info", "Notes"], "tabs": { "all-applications": {"fullname" : "All Applications", "shortname": "All Applications"}, "ICCIF" : {"fullname" : "Immunocytochemistry/ Immunofluorescence", "shortname":"ICC/IF"}, "IP" : {"fullname" : "Immunoprecipitation", "shortname":"IP"}, "FlowCyt" : {"fullname" : "Flow Cytometry", "shortname":"Flow Cyt"}, "WB" : {"fullname" : "Western blot", "shortname":"WB"}, "IHCP" : {"fullname" : "Immunohistochemistry (Formalin/PFA-fixed paraffin-embedded sections)", "shortname":"IHC-P"} }, "product-promise": { "all": "all", "testedAndGuaranteed": "tested", "guaranteed": "expected", "predicted": "predicted", "notRecommended": "not-recommended" } }, "values": { "Human": { "ICCIF-species-checked": "notRecommended", "ICCIF-species-dilution-info": "", "ICCIF-species-notes": "<p></p>", "IP-species-checked": "notRecommended", "IP-species-dilution-info": "", "IP-species-notes": "<p></p>", "FlowCyt-species-checked": "notRecommended", "FlowCyt-species-dilution-info": "", "FlowCyt-species-notes": "<p></p>", "WB-species-checked": "notRecommended", "WB-species-dilution-info": "", "WB-species-notes": "<p></p>", "IHCP-species-checked": "testedAndGuaranteed", "IHCP-species-dilution-info": "1/500", "IHCP-species-notes": "<p></p>" }, "Mouse": { "ICCIF-species-checked": "notRecommended", "ICCIF-species-dilution-info": "", "ICCIF-species-notes": "", "IP-species-checked": "notRecommended", "IP-species-dilution-info": "", "IP-species-notes": "", "FlowCyt-species-checked": "notRecommended", "FlowCyt-species-dilution-info": "", "FlowCyt-species-notes": "<p></p>", "WB-species-checked": "notRecommended", "WB-species-dilution-info": "", "WB-species-notes": "<p></p>", "IHCP-species-checked": "notRecommended", "IHCP-species-dilution-info": "1/500", "IHCP-species-notes": "<p></p>" }, "Rat": { "ICCIF-species-checked": "notRecommended", "ICCIF-species-dilution-info": "", "ICCIF-species-notes": "", "IP-species-checked": "notRecommended", "IP-species-dilution-info": "", "IP-species-notes": "", "FlowCyt-species-checked": "notRecommended", "FlowCyt-species-dilution-info": "", "FlowCyt-species-notes": "", "WB-species-checked": "notRecommended", "WB-species-dilution-info": "", "WB-species-notes": "<p></p>", "IHCP-species-checked": "notRecommended", "IHCP-species-dilution-info": "1/500", "IHCP-species-notes": "<p></p>" } } }

Product details

What is this antibody validated in?
Anti-CD127 antibody [EPR23747-333] (ab259806) is a rabbit recombinant monoclonal antibody and is validated for use in Immunohistochemistry (IHC-P) in Human samples.

Trial sizes available!
Test your antibody or perform pre-screening before committing to a larger quantity. Sold in 10µl. Discover our selection of trial-size antibodies.

Other related products
We have a range of other formats of antibody clone [EPR23747-333] also available for your convenience: ab259806, Carrier free - ab282011, Alexa Fluor® 488 - ab282659, Alexa Fluor® 647 - ab303455

Patented technology
Our RabMAb® technology is a patented hybridoma-based technology for making rabbit monoclonal antibodies. For details on our patents, please refer to RabMAb® patents.

What are the advantages of a recombinant monoclonal antibody?
This product is a recombinant monoclonal antibody, which offers several advantages including:

  • - High batch-to-batch consistency and reproducibility
  • - Improved sensitivity and specificity
  • - Long-term security of supply
  • - Animal-free batch production

For more information, read more on recombinant antibodies.

Properties and storage information

Form
Liquid
Purification technique
Affinity purification Protein A
Storage buffer
pH: 7.2 - 7.4 Preservative: 0.01% Sodium azide Constituents: PBS, 40% Glycerol (glycerin, glycerine), 0.05% BSA
Shipped at conditions
Blue Ice
Appropriate short-term storage duration
1-2 weeks
Appropriate short-term storage conditions
+4°C
Appropriate long-term storage conditions
-20°C
Aliquoting information
Upon delivery aliquot
Storage information
Avoid freeze / thaw cycle

Supplementary information

This supplementary information is collated from multiple sources and compiled automatically.

CD127 also known as IL-7R alpha or IL-7Rα is a protein found on the surface of cells involved in key immune functions. The CD127 protein has an approximate mass of 55-60 kDa. It is a component of the interleukin-7 receptor which also includes the common gamma chain. You can find CD127 expressed on various immune cells like T cells B cells and dendritic cells. As a marker CD127 is an important indicator of T cell maturity and function. Researchers often target CD127 in studies using antibodies in assay formats like ELISA to measure its expression level and function.
Biological function summary

CD127 plays an important role in regulating lymphocyte development and survival. It is part of the IL-7R complex partnering with IL-7 for signal transduction that promotes cell proliferation and survival. This interaction is essential for the development and homeostasis of T cells and B cells. In the absence of proper CD127 signaling lymphocytes may suffer from poor survival impacting overall immune competence. The IL-7-CD127 interaction informs researchers about mechanisms of immune modulation and resilience.

Pathways

CD127 participates in the JAK/STAT signaling pathway which is pivotal for transmitting information from extracellular signals to the cell nucleus influencing gene expression. This pathway plays a vital role in immune cell response. When IL-7 binds to the IL-7R complex on CD127 it initiates a cascade that involves proteins like JAK1 and STAT5. These proteins mediate responses necessary for cell proliferation and differentiation within immune system networks.

CD127 has implications in conditions like severe combined immunodeficiency (SCID) and autoimmune diseases. In SCID mutations or defects in CD127 cause impaired T cell development leading to compromised immune function. Additionally CD127 dysregulation can contribute to autoimmune disorders by affecting T regulatory cells creating an imbalance in immune response. Ocrevus a monoclonal antibody therapy used for multiple sclerosis indirectly relates to CD127 by targeting the B cells which rely on IL-7R signaling mechanisms for survival and function. Researchers continue to investigate CD127 to better understand its role in immune-related diseases.

Product protocols

For this product, it's our understanding that no specific protocols are required. You can visit:

Target data

Receptor for interleukin-7. Also acts as a receptor for thymic stromal lymphopoietin (TSLP).
See full target information IL7R

Publications (7)

Recent publications for all applications. Explore the full list and refine your search

Clinical, cosmetic and investigational dermatology 18:961-978 PubMed40260094

2025

Identification of a Gene Expression Signature to Predict the Risk of Abdominal Aortic Aneurysm in Psoriasis Patients.

Applications

Unspecified application

Species

Unspecified reactive species

Xintong Lyu,Qingti Tang,Yu Zou,Xiaorong Liu

Discover oncology 15:509 PubMed39347891

2024

Comprehensive analysis to identify IL7R as a immunotherapy biomarker from pan-cancer analysis to in vitro validation.

Applications

Unspecified application

Species

Unspecified reactive species

Jiafeng Liang,Lucheng Zhu,Jiawei Li,Kan Wu,Minna Zhang,Shenglin Ma,Xueqin Chen,Bing Xia

Circulation. Heart failure 17:e011504 PubMed38910562

2024

Overexpression of in Cardiomyocytes Promotes Cardiac Reverse Remodeling.

Applications

Unspecified application

Species

Unspecified reactive species

Mengda Xu,Hang Zhang,Yuan Chang,Xiumeng Hua,Xiao Chen,Yixuan Sheng,Dan Shan,Mengni Bao,Shengshou Hu,Jiangping Song

Immunity 57:1306-1323.e8 PubMed38815582

2024

Intestinal CXCR6 ILC3s migrate to the kidney and exacerbate renal fibrosis via IL-23 receptor signaling enhanced by PD-1 expression.

Applications

Unspecified application

Species

Unspecified reactive species

Zhou Liang,Ziwen Tang,Changjian Zhu,Feng Li,Shuaijiabin Chen,Xu Han,Ruilin Zheng,Xinrong Hu,Ruoni Lin,Qiaoqiao Pei,Changjun Yin,Ji Wang,Ce Tang,Nan Cao,Jincun Zhao,Rong Wang,Xiaoyan Li,Ning Luo,Qiong Wen,Jianwen Yu,Jianbo Li,Xi Xia,Xunhua Zheng,Xin Wang,Naya Huang,Zhong Zhong,Chengqiang Mo,Peisong Chen,Yating Wang,Jinjin Fan,Yun Guo,Haojie Zhong,Jiaqi Liu,Zhenwei Peng,Haiping Mao,Guo-Ping Shi,Joseph V Bonventre,Wei Chen,Yi Zhou

Advanced science (Weinheim, Baden-Wurttemberg, Germany) 10:e2302804 PubMed37915129

2023

Group 3 Innate Lymphoid Cells Exacerbate Lupus Nephritis by Promoting B Cell Activation in Kidney Ectopic Lymphoid Structures.

Applications

Unspecified application

Species

Unspecified reactive species

Feng Li,Zhou Liang,Haojie Zhong,Xinrong Hu,Ziwen Tang,Changjian Zhu,Jiani Shen,Xu Han,Ruoni Lin,Ruilin Zheng,Ruihan Tang,Huajing Peng,Xunhua Zheng,Chengqiang Mo,Peisong Chen,Xin Wang,Qiong Wen,Jianbo Li,Xi Xia,Hongjian Ye,Yagui Qiu,Jianwen Yu,Dongying Fu,Jiaqi Liu,Rong Wang,Huixin Xie,Yun Guo,Xiaoyan Li,Jinjin Fan,Qinghua Liu,Haiping Mao,Wei Chen,Yi Zhou

Frontiers in genetics 14:1083615 PubMed36861127

2023

Identification of key candidate genes and pathways in rheumatoid arthritis and osteoarthritis by integrated bioinformatical analysis.

Applications

Unspecified application

Species

Unspecified reactive species

Huijing Huang,Xinyi Dong,Kaimin Mao,Wanwan Pan,Bin'en Nie,Lindi Jiang

Biology of reproduction 106:449-462 PubMed34935902

2021

Prenatal stress, anxiety and depression alter transcripts, proteins and pathways associated with immune responses at the maternal-fetal interface†.

Applications

Unspecified application

Species

Unspecified reactive species

Cristina A Martinez,Ina Marteinsdottir,Ann Josefsson,Gunilla Sydsjö,Elvar Theodorsson,Heriberto Rodriguez-Martinez
View all publications

Product promise

We are committed to supporting your work with high-quality reagents, and we're here for you every step of the way. In the unlikely event that one of our products does not perform as expected, you're protected by our Product Promise.
For full details, please see our Terms & Conditions

Please note: All products are 'FOR RESEARCH USE ONLY. NOT FOR USE IN DIAGNOSTIC OR THERAPEUTIC PROCEDURES'.

For licensing inquiries, please contact partnerships@abcam.com