JavaScript is disabled in your browser. Please enable JavaScript to view this website.
AB282011

Anti-CD127 antibody [EPR23747-333] - BSA and Azide free

5

(1 Review)

|

(1 Publication)

Anti-CD127 antibody [EPR23747-333] - BSA and Azide free (ab282011) is a rabbit recombinant monoclonal antibody provided in a PBS only buffer for easy conjugation detecting CD127 in IHC-P. Suitable for Human.

- BSA, sodium azide, and glycerol-free for easy conjugation
- Biophysical QC for unrivalled batch-batch consistency

View Alternative Names

CD127, Interleukin-7 receptor subunit alpha, IL-7 receptor subunit alpha, IL-7R subunit alpha, IL-7R-alpha, IL-7RA, CDw127, IL7R

5 Images
Immunohistochemistry (Formalin/PFA-fixed paraffin-embedded sections) - Anti-CD127 antibody [EPR23747-333] - BSA and Azide free (AB282011)
  • IHC-P

Supplier Data

Immunohistochemistry (Formalin/PFA-fixed paraffin-embedded sections) - Anti-CD127 antibody [EPR23747-333] - BSA and Azide free (AB282011)

This data was developed using ab259806, the same antibody clone in a different buffer formulation.

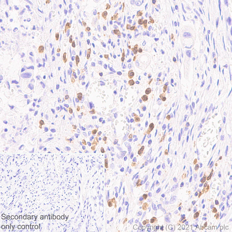
Immunohistochemical analysis of paraffin-embedded Human gastric carcinoma tissue labelling CD127 with ab259806 at 1/500 (1.13 ug/ml) dilution followed by a ready to use LeicaDS9800 (Bond™ Polymer Refine Detection). Positive staining on immune cells of human gastric carcinoma.The section was incubated with ab259806 for 30 mins at room temperature. The immunostaining was performed on a Leica Biosystems BOND® RX instrument. Counterstained with Hematoxylin.

Secondary antibody only control : Secondary antibody is a ready to use LeicaDS9800 (Bond™ Polymer Refine Detection) .

Heat mediated antigen retrieval with Tris-EDTA buffer (pH 9.0, epitope retrieval solution2) for 20 mins.

Immunohistochemistry (Formalin/PFA-fixed paraffin-embedded sections) - Anti-CD127 antibody [EPR23747-333] - BSA and Azide free (AB282011)
  • IHC-P

Supplier Data

Immunohistochemistry (Formalin/PFA-fixed paraffin-embedded sections) - Anti-CD127 antibody [EPR23747-333] - BSA and Azide free (AB282011)

This data was developed using ab259806, the same antibody clone in a different buffer formulation.

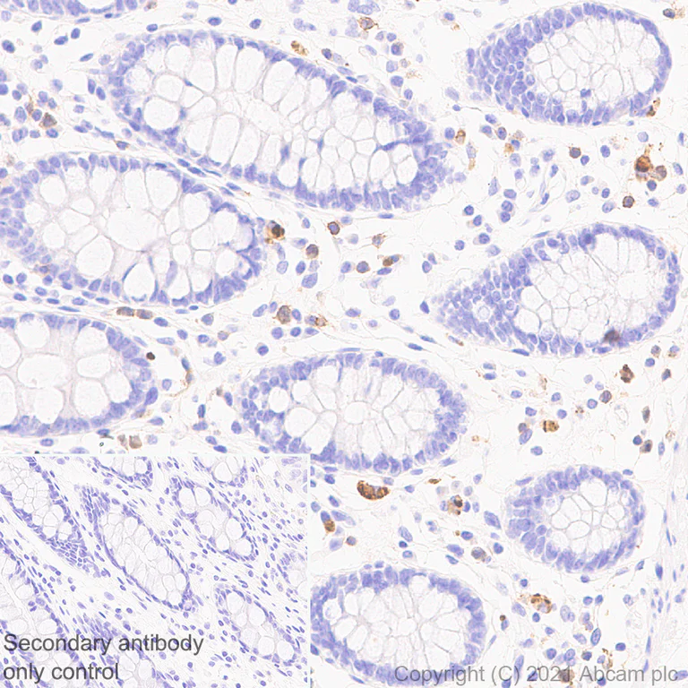
Immunohistochemical analysis of paraffin-embedded Human colon tissue labelling CD127 with ab259806 at 1/500 (1.13 ug/ml) dilution followed by a ready to use LeicaDS9800 LeicaDS9800 (Bond™ Polymer Refine Detection) . Positive staining on lymphocytes of human colon (PMID : 30939120).The section was incubated with ab259806 for 30 mins at room temperature. The immunostaining was performed on a Leica Biosystems BOND® RX instrument. Counterstained with Hematoxylin.

Secondary antibody only control : Secondary antibody is a ready to use LeicaDS9800 (Bond™ Polymer Refine Detection) .

Heat mediated antigen retrieval with Tris-EDTA buffer (pH 9.0, epitope retrieval solution2) for 20 mins

Immunohistochemistry (Formalin/PFA-fixed paraffin-embedded sections) - Anti-CD127 antibody [EPR23747-333] - BSA and Azide free (AB282011)
  • IHC-P

Supplier Data

Immunohistochemistry (Formalin/PFA-fixed paraffin-embedded sections) - Anti-CD127 antibody [EPR23747-333] - BSA and Azide free (AB282011)

This data was developed using ab259806, the same antibody clone in a different buffer formulation.

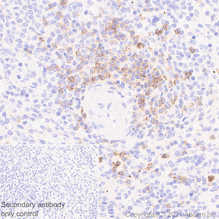
Immunohistochemical analysis of paraffin-embedded Human spleen tissue labelling CD127 with ab259806 at 1/500 (1.13 ug/ml) dilution followed by a ready to use LeicaDS9800 (Bond™ Polymer Refine Detection) . Positive staining on human spleen (PMID : 18025189). The section was incubated with ab259806 for 30 mins at room temperature. The immunostaining was performed on a Leica Biosystems BOND® RX instrument. Counterstained with Hematoxylin.

Secondary antibody only control : Secondary antibody is a ready to use LeicaDS9800 (Bond™ Polymer Refine Detection) .

Heat mediated antigen retrieval with Tris-EDTA buffer (pH 9.0, epitope retrieval solution2) for 20 mins.

Immunohistochemistry (Formalin/PFA-fixed paraffin-embedded sections) - Anti-CD127 antibody [EPR23747-333] - BSA and Azide free (AB282011)
  • IHC-P

Supplier Data

Immunohistochemistry (Formalin/PFA-fixed paraffin-embedded sections) - Anti-CD127 antibody [EPR23747-333] - BSA and Azide free (AB282011)

This data was developed using ab259806, the same antibody clone in a different buffer formulation.

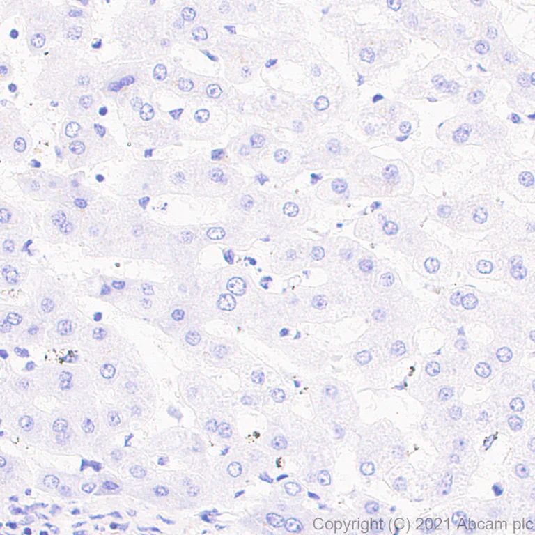
Immunohistochemical analysis of paraffin-embedded Human liver tissue labelling CD127 with ab259806 at 1/500 (1.13 ug/ml) dilution followed by a ready to use LeicaDS9800 (Bond™ Polymer Refine Detection). Negative control : no staining on human liver (PMID : 2317865). The section was incubated with ab259806 for 30 mins at room temperature.The immunostaining was performed on a Leica Biosystems BOND® RX instrument. Counterstained with Hematoxylin.

Secondary antibody only control : Secondary antibody is a ready to use LeicaDS9800 (Bond™ Polymer Refine Detection).

Heat mediated antigen retrieval with Tris-EDTA buffer (pH 9.0, epitope retrieval solution2) for 20 mins.

Immunohistochemistry (Formalin/PFA-fixed paraffin-embedded sections) - Anti-CD127 antibody [EPR23747-333] - BSA and Azide free (AB282011)
  • IHC-P

Supplier Data

Immunohistochemistry (Formalin/PFA-fixed paraffin-embedded sections) - Anti-CD127 antibody [EPR23747-333] - BSA and Azide free (AB282011)

This data was developed using ab259806, the same antibody clone in a different buffer formulation.

Immunohistochemical analysis of paraffin-embedded Human cerebrum tissue labelling CD127 with ab259806 at 1/500 (1.13 ug/ml) dilution followed by a ready to use LeicaDS9800 (Bond™ Polymer Refine Detection). Negative control : no staining on human cerebrum.The section was incubated with ab259806 for 30 mins at room temperature.The immunostaining was performed on a Leica Biosystems BOND® RX instrument. Counterstained with Hematoxylin.

Secondary antibody only control : Secondary antibody is a ready to use LeicaDS9800 (Bond™ Polymer Refine Detection).

Heat mediated antigen retrieval with Tris-EDTA buffer (pH 9.0, epitope retrieval solution2) for 20 mins.

Key facts

Host species

Rabbit

Clonality

Monoclonal

Clone number

EPR23747-333

Isotype

IgG

Carrier free

Yes

Reacts with

Human

Applications

IHC-P

applications

Immunogen

The exact immunogen used to generate this antibody is proprietary information.

Reactivity data

{ "title": "Reactivity Data", "filters": { "stats": ["", "Species", "Dilution Info", "Notes"], "tabs": { "all-applications": {"fullname" : "All Applications", "shortname": "All Applications"}, "ICCIF" : {"fullname" : "Immunocytochemistry/ Immunofluorescence", "shortname":"ICC/IF"}, "IP" : {"fullname" : "Immunoprecipitation", "shortname":"IP"}, "FlowCyt" : {"fullname" : "Flow Cytometry", "shortname":"Flow Cyt"}, "WB" : {"fullname" : "Western blot", "shortname":"WB"}, "IHCP" : {"fullname" : "Immunohistochemistry (Formalin/PFA-fixed paraffin-embedded sections)", "shortname":"IHC-P"} }, "product-promise": { "all": "all", "testedAndGuaranteed": "tested", "guaranteed": "expected", "predicted": "predicted", "notRecommended": "not-recommended" } }, "values": { "Human": { "ICCIF-species-checked": "notRecommended", "ICCIF-species-dilution-info": "", "ICCIF-species-notes": "<p></p>", "IP-species-checked": "notRecommended", "IP-species-dilution-info": "", "IP-species-notes": "<p></p>", "FlowCyt-species-checked": "notRecommended", "FlowCyt-species-dilution-info": "", "FlowCyt-species-notes": "<p></p>", "WB-species-checked": "notRecommended", "WB-species-dilution-info": "", "WB-species-notes": "<p></p>", "IHCP-species-checked": "testedAndGuaranteed", "IHCP-species-dilution-info": "", "IHCP-species-notes": "<p></p>" }, "Mouse": { "ICCIF-species-checked": "notRecommended", "ICCIF-species-dilution-info": "", "ICCIF-species-notes": "", "IP-species-checked": "notRecommended", "IP-species-dilution-info": "", "IP-species-notes": "", "FlowCyt-species-checked": "notRecommended", "FlowCyt-species-dilution-info": "", "FlowCyt-species-notes": "<p></p>", "WB-species-checked": "notRecommended", "WB-species-dilution-info": "", "WB-species-notes": "<p></p>", "IHCP-species-checked": "notRecommended", "IHCP-species-dilution-info": "", "IHCP-species-notes": "<p></p>" }, "Rat": { "ICCIF-species-checked": "notRecommended", "ICCIF-species-dilution-info": "", "ICCIF-species-notes": "", "IP-species-checked": "notRecommended", "IP-species-dilution-info": "", "IP-species-notes": "", "FlowCyt-species-checked": "notRecommended", "FlowCyt-species-dilution-info": "", "FlowCyt-species-notes": "", "WB-species-checked": "notRecommended", "WB-species-dilution-info": "", "WB-species-notes": "<p></p>", "IHCP-species-checked": "notRecommended", "IHCP-species-dilution-info": "", "IHCP-species-notes": "<p></p>" } } }

Product details

What is this antibody validated in?
Anti-CD127 antibody [EPR23747-333] - BSA and Azide free (ab282011) is a rabbit recombinant monoclonal antibody and is validated for use in Immunohistochemistry (IHC-P) in Human samples.

Other related products
We have a range of other formats of antibody clone [EPR23747-333] also available for your convenience: ab259806, Carrier free - ab282011, Alexa Fluor® 488 - ab282659, Alexa Fluor® 647 - ab303455

Patented technology
Our RabMAb® technology is a patented hybridoma-based technology for making rabbit monoclonal antibodies. For details on our patents, please refer to RabMAb® patents.

What are the advantages of a recombinant monoclonal antibody?
This product is a recombinant monoclonal antibody, which offers several advantages including:

  • - High batch-to-batch consistency and reproducibility
  • - Improved sensitivity and specificity
  • - Long-term security of supply
  • - Animal-free batch production

For more information, read more on recombinant antibodies.

Conjugation ready
Our carrier-free antibodies are typically supplied in a PBS-only formulation, purified and free of BSA, sodium azide and glycerol. This conjugation-ready format is designed for use with fluorochromes, metal isotopes, oligonucleotides, and enzymes, which makes them ideal for antibody labelling, functional and cell-based assays, flow-based assays (e.g. mass cytometry) and Multiplex Imaging applications.

Use our conjugation kits for antibody conjugates that are ready-to-use in as little as 20 minutes with 1 minute hands-on-time and 100% antibody recovery: available for fluorescent dyes, HRP, biotin and gold.

Compatibility
This product is compatible with the Maxpar® Antibody Labeling Kit from Fluidigm, without the need for antibody preparation. Maxpar® is a trademark of Fluidigm Canada Inc.

Properties and storage information

Form
Liquid
Purification technique
Affinity purification Protein A
Storage buffer
pH: 7.2 - 7.4 Constituents: PBS
Shipped at conditions
Blue Ice
Appropriate short-term storage conditions
+4°C
Appropriate long-term storage conditions
+4°C

Supplementary information

This supplementary information is collated from multiple sources and compiled automatically.

CD127 also known as IL-7R alpha or IL-7Rα is a protein found on the surface of cells involved in key immune functions. The CD127 protein has an approximate mass of 55-60 kDa. It is a component of the interleukin-7 receptor which also includes the common gamma chain. You can find CD127 expressed on various immune cells like T cells B cells and dendritic cells. As a marker CD127 is an important indicator of T cell maturity and function. Researchers often target CD127 in studies using antibodies in assay formats like ELISA to measure its expression level and function.
Biological function summary

CD127 plays an important role in regulating lymphocyte development and survival. It is part of the IL-7R complex partnering with IL-7 for signal transduction that promotes cell proliferation and survival. This interaction is essential for the development and homeostasis of T cells and B cells. In the absence of proper CD127 signaling lymphocytes may suffer from poor survival impacting overall immune competence. The IL-7-CD127 interaction informs researchers about mechanisms of immune modulation and resilience.

Pathways

CD127 participates in the JAK/STAT signaling pathway which is pivotal for transmitting information from extracellular signals to the cell nucleus influencing gene expression. This pathway plays a vital role in immune cell response. When IL-7 binds to the IL-7R complex on CD127 it initiates a cascade that involves proteins like JAK1 and STAT5. These proteins mediate responses necessary for cell proliferation and differentiation within immune system networks.

CD127 has implications in conditions like severe combined immunodeficiency (SCID) and autoimmune diseases. In SCID mutations or defects in CD127 cause impaired T cell development leading to compromised immune function. Additionally CD127 dysregulation can contribute to autoimmune disorders by affecting T regulatory cells creating an imbalance in immune response. Ocrevus a monoclonal antibody therapy used for multiple sclerosis indirectly relates to CD127 by targeting the B cells which rely on IL-7R signaling mechanisms for survival and function. Researchers continue to investigate CD127 to better understand its role in immune-related diseases.

Product protocols

For this product, it's our understanding that no specific protocols are required. You can visit:

Target data

Receptor for interleukin-7. Also acts as a receptor for thymic stromal lymphopoietin (TSLP).
See full target information IL7R

Publications (1)

Recent publications for all applications. Explore the full list and refine your search

Cell 187:3120-3140.e29 PubMed38714197

2024

Mapping the cellular biogeography of human bone marrow niches using single-cell transcriptomics and proteomic imaging.

Applications

Unspecified application

Species

Unspecified reactive species

Shovik Bandyopadhyay,Michael P Duffy,Kyung Jin Ahn,Jonathan H Sussman,Minxing Pang,David Smith,Gwendolyn Duncan,Iris Zhang,Jeffrey Huang,Yulieh Lin,Barbara Xiong,Tamjid Imtiaz,Chia-Hui Chen,Anusha Thadi,Changya Chen,Jason Xu,Melissa Reichart,Zachary Martinez,Caroline Diorio,Chider Chen,Vinodh Pillai,Oraine Snaith,Derek Oldridge,Siddharth Bhattacharyya,Ivan Maillard,Martin Carroll,Charles Nelson,Ling Qin,Kai Tan
View all publications

Product promise

We are committed to supporting your work with high-quality reagents, and we're here for you every step of the way. In the unlikely event that one of our products does not perform as expected, you're protected by our Product Promise.
For full details, please see our Terms & Conditions

Please note: All products are 'FOR RESEARCH USE ONLY. NOT FOR USE IN DIAGNOSTIC OR THERAPEUTIC PROCEDURES'.

For licensing inquiries, please contact partnerships@abcam.com